Search Dental Tribune

Interacción entre factores protésicos y sistémicos en la periimplantitis 

Figura 1. Evidencia clínica de periimplantitis en un paciente con diabetes mellitus tipo 1. Imágenes: Iván Herrera
Iván Herrera

Iván Herrera

lun. 26 enero 2026

guardar

El doctor Iván Herrera Ustariz examina en este artículo las implicaciones clínicas y sistémicas que determinan la progresión de la enfermedad periimplantaria en el paciente.

Introducción

La periimplantitis es una enfermedad inflamatoria crónica que afecta los tejidos blandos y duros que rodean los implantes dentales osteointegrados. A pesar de los elevados índices de supervivencia reportados para los implantes dentales, la creciente prevalencia de las enfermedades periimplantarias ha generado una preocupación sustancial en la práctica clínica que se refleja en la literatura científica contemporánea. La evidencia actual respalda un modelo etiopatogénico multifactorial en el que la interacción entre el biofilm bacteriano, los factores locales asociados al diseño protésico y las condiciones sistémicas del paciente determinan la progresión de la enfermedad periimplantaria (Figura 1).

 

Factores protésicos en la etiopatogenia de la periimplantitis

Los factores  relacionados con la rehabilitación sobre implantes desempeñan un papel determinante en el mantenimiento de la salud periimplantaria. El diseño protésico, el perfil de emergencia, el contorno transmucoso, el tipo de conexión implante–pilar y la precisión del ajuste protésico influyen directamente en la acumulación y maduración del biofilm, así como en la estabilidad del sello mucoso periimplantario.

Rehabilitaciones sobrecontorneadas o con perfiles de emergencia mayores a 30° dificultan el control de la placa por parte del paciente y favorecen una inflamación crónica de los tejidos blandos, facilitando la transición de mucositis periimplantaria a periimplantitis. Asimismo, la presencia de microgaps en la interfaz implante–pilar puede actuar como reservorio bacteriano, perpetuando el estímulo inflamatorio y contribuyendo a la pérdida ósea marginal.

Desde el punto de vista biomecánico, la distribución inadecuada de las cargas oclusales, los contactos prematuros y las fuerzas excéntricas no controladas pueden inducir microdaño óseo periimplantario. Aunque la sobrecarga oclusal no se considera un factor etiológico primario independiente, su coexistencia con inflamación inducida por biofilm puede acelerar la progresión de la pérdida ósea, actuando como un cofactor modificador del daño tisular.

Figura 2. Periimplantitis asociada a una corona cementada con exceso de biomaterial.

 

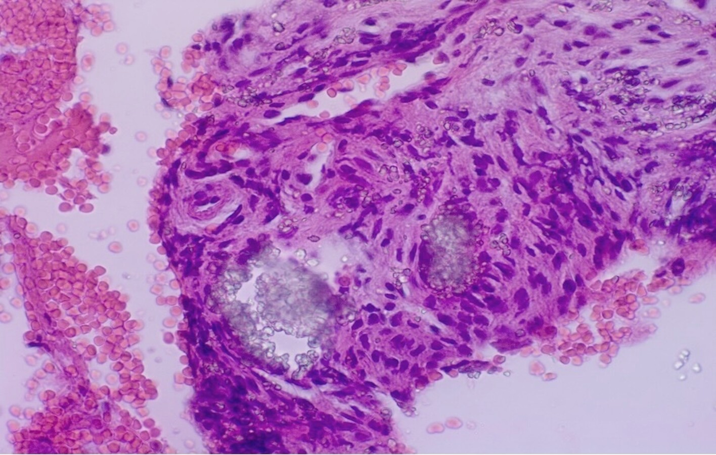
Figura 3. Fragmento de epitelio y tejido conectivo de la mucosa, en el que se observan múltiples cristales de cemento residual disgregados en el tejido.

 

Influencia de factores sistémicos y farmacológicos

Las condiciones sistémicas del paciente modulan de manera significativa la respuesta inflamatoria periimplantaria. Las enfermedades metabólicas como la diabetes mellitus, hábitos nocivos como el tabaquismo y estados de inmunosupresión se han asociado consistentemente con una mayor prevalencia de periimplantitis y con resultados terapéuticos menos predecibles.

De especial relevancia clínica es el impacto de los tratamientos farmacológicos que interfieren con la remodelación ósea y la angiogénesis, incluyendo los agentes antirresortivos, antiangiogénicos e inmunomoduladores utilizados en osteoporosis, oncología y en enfermedades autoinmunes. Estos fármacos pueden alterar de manera significativa la homeostasis ósea periimplantaria, incrementando el riesgo de complicaciones graves como la osteonecrosis de los maxilares relacionada con medicamentos.

La coexistencia de periimplantitis y alteraciones farmacológicamente inducidas del metabolismo óseo, representa un escenario clínico complejo, en el que la progresión de la enfermedad puede ser más agresiva y la respuesta al tratamiento menos favorable. En este contexto, se enfatiza la importancia del reconocimiento temprano de estos pacientes y de la adopción de estrategias preventivas específicas en la práctica implantológica.

 

Impacto sistémico de la periimplantitis

Aunque la periodontitis ha demostrado una asociación consistente con diversas enfermedades sistémicas, el impacto sistémico de la periimplantitis ha sido menos explorado. No obstante, la evidencia disponible sugiere que la periimplantitis no se limita a una inflamación local, sino que puede contribuir a una carga inflamatoria sistémica .

Estudios experimentales en modelos animales han mostrado que la periimplantitis inducida se asocia con alteraciones hematológicas y bioquímicas reversibles, compatibles con una respuesta inflamatoria sistémica mediada por citocinas. En humanos, los escasos estudios clínicos disponibles han identificado asociaciones entre periimplantitis y marcadores de riesgo cardiovascular, como niveles elevados de triglicéridos, ácido úrico y leucocitos, junto con concentraciones reducidas de vitamina D. Asimismo, se han descrito correlaciones positivas entre estos parámetros sistémicos y la severidad clínica de la inflamación periimplantaria.

Desde el punto de vista biológico, la periimplantitis presenta una respuesta inflamatoria más extensa e intensa que la periodontitis, caracterizada por un infiltrado predominantemente neutrofílico y una mayor expresión local de mediadores proinflamatorios, entre ellos IL-1β, IL-6, TNF-α y metaloproteinasas de matriz, particularmente MMP-8. Estos mediadores, ampliamente implicados en procesos sistémicos como la aterogénesis y el deterioro del control glucémico, podrían actuar como vínculo biológico entre la inflamación periimplantaria crónica y determinadas condiciones sistémicas.

Figura 4. Cultivo microbiológico de un implante perdido como consecuencia de periimplantitis.

 

Los mecanismos propuestos incluyen la diseminación hematógena de bacterias orales y sus productos, así como la liberación persistente de mediadores inflamatorios capaces de amplificar el estado inflamatorio sistémico. Si bien la evidencia actual no permite establecer una relación causal definitiva, estos hallazgos refuerzan la necesidad de considerar la periimplantitis dentro del contexto de la salud integral del paciente.

 

Diagnóstico y estratificación del riesgo

El diagnóstico de la periimplantitis debe basarse en una evaluación clínica y radiográfica sistemática que permita identificar signos tempranos de inflamación periimplantaria, sangrado al sondaje, aumento de la profundidad de sondaje y pérdida ósea progresiva. La correcta diferenciación entre mucositis periimplantaria y periimplantitis establecida es fundamental para implementar medidas terapéuticas oportunas y evitar la progresión de la enfermedad.

Figura 5. Inflamación de los tejidos periimplantares (a) como resultado de la acumulación de biopelícula en la prótesis (b).

 

En pacientes con antecedentes de enfermedades sistémicas o bajo tratamiento con fármacos de riesgo, la estratificación individualizada del riesgo debe formar parte integral de la planificación implantológica. En estos casos, la toma de decisiones debe apoyarse en una valoración exhaustiva del balance riesgo–beneficio, priorizando la prevención y la estabilidad biológica a largo plazo.

 

Implicaciones terapéuticas y enfoque clínico

El manejo de la periimplantitis requiere un enfoque integral y personalizado, orientado no solo al control del biofilm y la descontaminación de la superficie implantar, sino también a la corrección de los factores protésicos y biomecánicos subyacentes y a la optimización del estado sistémico del paciente. La evidencia actual respalda la necesidad de combinar estrategias preventivas, terapias de mantenimiento y, cuando está indicado, abordajes quirúrgicos cuidadosamente seleccionados.

En pacientes con riesgo de osteonecrosis de los maxilares relacionada con medicamentos, el enfoque terapéutico debe ser particularmente conservador, enfatizando la prevención, la planificación interdisciplinaria y el seguimiento clínico estrecho, con el objetivo de minimizar la aparición de complicaciones severas.

 

Conclusiones

La periimplantitis representa una patología compleja en la que convergen factores biológicos, protésicos y sistémicos. La comprensión profunda de esta interacción es esencial para la prevención, el diagnóstico precoz y el manejo eficaz de la enfermedad. Un enfoque clínico basado en la evidencia científica, complementado por una planificación protésica rigurosa y una adecuada selección del paciente, resulta fundamental para optimizar los resultados a largo plazo de la rehabilitación implantosoportada y reducir la incidencia de complicaciones mayores, incluidas aquellas de potencial impacto sistémico y la osteonecrosis de los maxilares.

 

Autor

El Dr. Iván Herrera, Especialista en Periodoncia que ejerce en Barranquilla, Colombia, es también especialista en Farmacia Clínica con Máster en Farmacovigilancia y en Infectología Clínica.

 

Referencias  

  1. Albrektsson T, Isidor F. Consensus report of Session IV. In: Lang NP, Karring T, Lindhe J, editors. Proceedings of the 1st European Workshop on Periodontology. London: Quintessence, 1994. p. 365-369.
  2. Berglundh T, Armitage G, Araujo MG, et al. Peri-implant diseases and conditions. J Clin Periodontol. 2018;45(Suppl 20):S286-S291.
  3. Derks J, Tomasi C. Peri-implant health and disease. J Clin Periodontol. 2015;42(Suppl 16):S158-S171.
  4. Lindhe J, Meyle J. Peri-implant diseases. J Clin Periodontol. 2008;35(Suppl 8):282-285.
  5. Schwarz F, Derks J, Monje A, Wang HL. Peri-implantitis. J Clin Periodontol. 2018;45(Suppl 20):S246-S266.
  6. Heitz-Mayfield LJA. Peri-implant diseases. J Clin Periodontol. 2008;35(Suppl 8):292-304.
  7. Serino G, Ström C. Peri-implantitis and plaque control. Clin Oral Implants Res. 2009;20(2):169-174.
  8. Kim Y, Oh TJ, Misch CE, Wang HL. Occlusal considerations in implant therapy. Clin Oral Implants Res. 2005;16(1):26-35.
  9. Monje A, Aranda L, Diaz KT, et al. Maintenance therapy and periimplant diseases. J Dent Res. 2016;95(4):372-379.
  10. Chrcanovic BR, Albrektsson T, Wennerberg A. Smoking and dental implants. J Dent. 2015;43(5):487-498.
  11. Roccuzzo M, Bonino F, Dalmasso P, Aglietta M. Implants in periodontally compromised patients. J Clin Periodontol. 2012;39(11):1144–1152.
  12. Sanz M, Chapple IL. Clinical research on peri-implant diseases. J Clin Periodontol. 2012;39(Suppl 12):202–206.
  13. Marx RE. Bisphosphonate-induced osteonecrosis. J Oral Maxillofac Surg. 2003;61(9):1115-1121.
  14. Ruggiero SL, Dodson TB, Fantasia J, et al. MRONJ - 2014 update. J Oral Maxillofac Surg. 2014;72(10):1938-1956.
  15. Otto S, Pautke C, Opelz C, et al. Osteonecrosis of the jaw. J Oral Maxillofac Surg. 2010;68(11):2837–2845.
  16. Camps-Font O, Figueiredo R, Valmaseda-Castellón E, GayEscoda C. Implants and antiresorptives. Med Oral Patol Oral Cir Bucal. 2016;21(1):e65-e75.
  17. Giovannacci I, Meleti M, Manfredi M, et al. MRONJ around implants. J Craniomaxillofac Surg. 2016;44(8):1012-1018.
  18. Aghaloo T, Hazboun R, Tetradis S. Pathophysiology of MRONJ. Oral Maxillofac Surg Clin North Am. 2015;27(4):489-499.
  19. Herrera Ustariz I. Anticuerpos monoclonales y osteonecrosis de los maxilares. Dental Tribune Hispanic & Latin America, 2025.
  20. Herrera Ustariz I. Osteonecrosis de los maxilares: pautas clínicas para evitarla. Dental Tribune Hispanic & Latin America, 2024.

 

ARTICULOS RECOMENDADOS 

_______________________________________________________________________________________________________________________________

GESTION DE LA CLINICA

Cómo fijar precios en Odontología 

Juan Carlos Mejía Ossa 

VER MAS

_______________________________________________________________________________________________________________________________

ORTODONCIA

Sobre los biotipos faciales

David Suárez Quintanilla

VER MAS

 

_______________________________________________________________________________________________________________________________

FORMACION - EDICION ESPECIAL

Nuevas tecnologías en las clínicas universitarias

Varios autores

VER MAS

_______________________________________________________________________________________________________________________________

GESTION DE LA CLINICA

Marketing del Deseo

David Suárez Quintanilla y Pedro Suárez Suquía

VER MAS

_______________________________________________________________________________________________________________________________

CIRUGIA ORAL

Todo lo que necesita saber sobre Cirugía Piezoeléctrica

José Rosas Díaz

VER MAS

_______________________________________________________________________________________________________________________________

CLINICA

La gran estafa de la Odontología Holística

David Suárez Quintanilla

VER MAS

_______________________________________________________________________________________________________________________________

ESTETICA

La belleza dental a través de la historia 

Javier de Pisón

VER MAS

_______________________________________________________________________________________________________________________________

NUEVAS TECNOLOGIAS

Manual de IA en Odontología

Javier de Pisón

VER MAS

_______________________________________________________________________________________________________________________________

 

 

 

 

Temas:
To post a reply please login or register
advertisement
advertisement