Search Dental Tribune

El Síndrome Periodontal No Carioso

Figura 1. Paciente 12 años con anatomía gingival y estructura dentaria prístina, y línea roja sin alteraciones. Fotos: Imaáenes de los autores
J Hernández, F. Pérez, L Méndez, T Valadez

J Hernández, F. Pérez, L Méndez, T Valadez

vie. 17 abril 2026

guardar

Debido a la creciente importancia de la estética en la sociedad contemporánea, las necesidades de los pacientes han evolucionado, posicionando la armonía bucofacial como un objetivo central del tratamiento odontológico. 

En este contexto, la línea roja o línea de la sonrisa adquiere un papel fundamental tanto en la salud bucal como en la estética facial. Los autores revisan conceptos históricos y actuales sobre las lesiones cervicales no cariosas (LCNC), analizando la interacción de los factores etiológicos que las originan. Asimismo, se propone un enfoque diagnóstico integral orientado a la prevención, identificación temprana y tratamiento de estas lesiones, considerando su impacto estructural y periodontal.

 

Introducción

Las LCNC representan una condición multifactorial que compromete tanto las estructuras dentarias como el periodonto. A pesar de su alta prevalencia, persiste una falta de integración entre las áreas periodontal y restauradora, lo que ha generado abordajes terapéuticos fragmentados.

Esta falta de consenso puede atribuirse a la evolución independiente de ambas disciplinas y a la lenta adopción de enfoques interdisciplinarios. Como consecuencia, la línea roja (LN) no ha sido abordada con una visión integral.

La reabsorción ósea, los factores socioeconómicos y la distribución desigual de enfermedades bucales incrementan la complejidad de estas lesiones, que actualmente se posicionan entre las afecciones más frecuentes.

 

Figura 2. A) Paciente 14 años con cinturón cervical. B) Paciente de 18 años, con cinturón cervical e influencia de desmineralización.

Figura 3. Delimitación del cinturón cervical adamantino vestibular (rojo). Unión esmalte-cemento (amarillo). Rasgos sulculares en diente anterior, líneas incrementales formulando dehisencia (azul)

 

Factores etiológicos y mecanismos

Las LCNC tienen un origen multifactorial, donde destacan:

• Abfracción: producto de fuerzas oclusales que generan microfracturas en esmalte y dentina.

• Erosión: disolución química por ácidos intrínsecos o extrínsecos.

• Abrasión: desgaste mecánico, principalmente por cepillado traumático.

Estos factores actúan de manera conjunta, generando una destrucción progresiva del tejido dentario y alteraciones en el periodonto.

 

Manifestaciones clínicas

Las lesiones suelen presentarse como defectos cervicales en forma de cuña o cavidades irregulares. En muchos casos son asintomáticas, aunque pueden cursar con hipersensibilidad dentinaria.

Con el tiempo, pueden asociarse a recesión gingival, alteraciones estéticas y compromiso funcional.

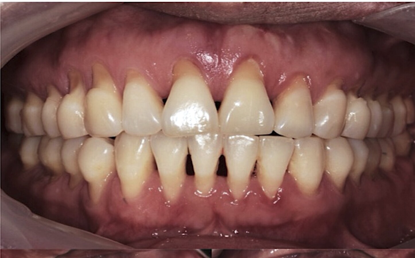
Figura 4. A) Paciente de 18 años con condiciones prístinas de periodonto, línea roja (LR) sin alteración. Paciente de 50 años con colapso simétrico severo total e incongruencia de la arquitectura en la LR. Estadio 4 de la clasificación periodontal de la PPA/ FPA, 2017.

Figura 5. A) Paciente de 30 años con LCNC masivas (SPNC). B) Paciente de 32 años con serie de dramáticas recesiones vestibulares. Ambos reportan bruxópatia y dieta acida.

Figura 6. Paciente de 45 años. Reportó tratamiento ortodóncico de 4 años, tratamiento de ácido alendrónico, bruxópatia y, dieta matinal acida. Se observa afectación masiva de LCNC/SPNC.

Figura Figura 7. A) Paciente de 28 años con tipología diversa en un solo sector: erosión, fisura de Stillman y abfracción, B) Hipoplasia y fractura de cinturón amelo vestibular, reporte de bruxopatia. Decantamiento con prolongación hacia tercio incisal. Detección con señalador de caries.

 

Diagnóstico

El diagnóstico debe ser integral e incluir:

• Anamnesis detallada
• Evaluación de hábitos
• Exploración clínica cuidadosa
• Uso de instrumentos no traumáticos
• Diagnóstico por imagen (CBCT)

El uso de tecnología tridimensional permite evaluar con precisión la extensión de las lesiones y planificar el tratamiento.

Figura 8. Diagnóstico visual 3D, medición y registro de los defectos.

 

Tratamiento

El manejo debe ser interdisciplinario y adaptado a cada caso:

- Eliminación de factores etiológicos
- Modificación de hábitos
- Restauraciones adhesivas
- Tratamiento periodontal en casos avanzados

El éxito del tratamiento depende de la correcta integración entre las disciplinas.

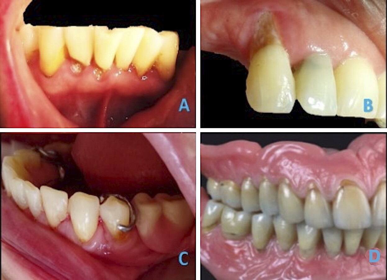
Figura 9 A) Paciente de 55 años con caries en tercio cervical de dientes anteriores en mandíbula B) Caries radicular promovida por soportación protésica. C) Recesiones y desajuste de retenedores de prótesis removible. D) Prostodoncia total con caracterización de LCNC.

 

Síndrome periodontal no carioso

El concepto de síndrome periodontal no carioso se propone como una entidad que integra la interacción de factores destructivos que afectan simultáneamente tejidos dentarios y periodontales.

Este enfoque permite comprender las LCNC no como lesiones aisladas, sino como parte de un proceso crónico, multifactorial e irreversible.

 

Conclusión

Las LCNC deben ser abordadas desde una perspectiva integral. El concepto de síndrome periodontal no carioso permite mejorar el diagnóstico, la prevención y el tratamiento, promoviendo una visión interdisciplinaria que optimiza los resultados clínicos y la calidad de vida del paciente.

______________________________________

Autores

1. Jorge Hernández Sánchez es especialista en Ortodoncia, Ciudad de México.
2. Francisco Shamed Pérez Ordóñez, Especialista en Ortodoncia, Ciuad de México.
3. Tonatiuh Valadez García es Cirujano Oral en Ciudad de México.
4. Lilia Méndez Puentes es Especialista en Ortodoncia en Ciudad de México.

 

Bibliografía

1. Carrillo S. C. Michael G Buonocore, padre de la odontología adhesiva moderna, 63 años del desarrollo de la técnica del grabado del esmalte (1955-2018). Revista ADM 2018; 75(3): 135-142.
2. Informe sobre la situación mundial de la salud bucodental: hacia la cobertura sanitaria universal para la salud bucodental de aquí a 2030: resumen ejecutivo. OMS.
3. Time to take gum disease seriously. The Economist Intelligence Unit Limited 2021. Ultima revisión 1 sept 2025.
4. Manzanilla L., Millones M., Civera M. Practicas funerarias en la ciudad de los dioses. Los enterramientos humanos de la antigua Teotihuacan. Capitulo VIII. Los entierros de Oztoyahualco. Primera edición, UNAM. México. 1999. p. 261.
5. Afur M.C., Gili M.A., Bessone G.G. Análisis del espesor de los tejidos duros en la dentición permanente humana. Odontol. Sanmarquina 2020; 23(4): 40-408.
6. Taboada O. Frecuencia y distribución de enfermedades periodontales asociadas a placa bacteriana en pacientes que acuden a una clínica universitaria Revista ADM 2018; 75 (3): 147-152.
7. Carlos Carrillo Sánchez. Desmineralización y remineralización. El proceso en balance y la caries dental. Revista ADM. enero – febrero 2010. VOL. LXVII. N. 1. p 30-32.
8. Castellanos J.E., et al. La remineralización del esmalte bajo el entendimiento actual de la caries dental. Univ Odontol. 2013. Jul-Dic; 32(69): 49-59.
9. Genco J.R Clasificación y características clínicas y radiográficas de la enfermedad periodontal. Capítulo 4. Periodoncia. Mc GRAW HILL; México 1993. p. 65 - 83.
10. Willman E. D., Harris O. N. El papel de la placa dentobacteriana en la etiología y el progreso de la enfermedad periodontal. Odontología preventiva primaria. Capítulo 4. Oharris Francklyn- García Godoy; Segunda edición. Manual Moderno. México 2005. p.53- 66.
11. El papel del odontólogo como facilitador de la relación con el paciente adolescente: una revisión de literatura. Ultima revisión, 2 sept 2025.
12. Hernández R. Bruxismo: panorámica actual Rev. Arch Med Camagüey Vol21(1)2017 913-930.
13. Hernández R. B. et al. Caracterización de lesiones cervicales no cariosas en pacientes bruxópatas. Arch méd Camagüey. 2020;25(1): e7729 p 24 -33.
14. Cunibert N., RossiG. Un punto de vista diferente en las lesiones cervicales no cariosas, ¿por qué las lesiones cervicales en cuña no son producidas por la erosión ácida? RODYB volumen V. Número 3. agosto-diciembre 2016 p. 10-19.
15. Kapila Arambawatta, Roshan Peiris and Deepthi Nanayakkara. Morphology of the cemento-enamel junction in premolar teeth. Journal of Oral Science, Vol. 51, No. 4, 623-627, 2009.
16. Rashmi Paramashivaiah, MLV Prabhuji. Raspado mecanizado con ultrasonidos: peligros y medidas proactivas. Sociedad India de Periodontología. 2013 julio-agosto; 17 (4): 423-428.
17. Kapila Arambawatta, Roshan Peiris and Deepthi Nanayakkara. Morphology of the cemento-enamel junction in premolar teeth. Journal of Oral Science, Vol. 51, 2009 No. 4, p. 623-627.
18. García G. X., et al. Lesiones cervicales no cariosas en los adolescentes de un área de salud. Rev. Ciencias Médicas. 2020; 24(2): e4324.

 

ARTICULOS RECOMENDADOS

__________________________________________________________________

DENTAL SUMMIT COLIFE 2026

El camino hacia la pasividad perfecta en implantología

Marinelly Mendes

__________________________________________________________________

DENTAL SUMMIT COLIFE 2026

“La odontología digital potencia nuestro criterio clínico”

Alvaro Reuter

____________________________________________________________________

DENTAL SUMMIT COLIFE 2026

Promover la salud oral para reducir la necesidad de restauraciones

Eraldo Pesaressi

__________________________________________________________________

DENTAL SUMMIT COLIFE 2026

La odontología digital es el nuevo standard clínico

Ahmad Al-Hassiny 

__________________________________________________________________

EXPODENTAL MADRID

La robótica, nueva frontera en cirugía implantológica

Javier de Pisón

VER MAS

__________________________________________________________________

EXPODENTAL MADRID

El imparable ímpetu de Expodental Madrid

Javier de Pisón 

VER MAS

__________________________________________________________________

EXPODENTAL MADRID

Factores esenciales para adquirir un escáner intraoral 

Enrique Jadad 

VER MAS

__________________________________________________________________

REPORTAJE

"Todo sistema que no tenga medición no es fotogrametría"

Javier de Pisón

VER MAS

__________________________________________________________________

REHABILITACION & IMPLANTOLOGIA ORAL

Relevancia de la fotogrametría en casos All-on-X

Enrique Jadad 

VER MAS

__________________________________________________________________

REVISION

Los dientes, guardianes silenciosos de nuestra salud

David Suárez Quintanilla

VER MAS

__________________________________________________________________

GESTION DE LA CLINICA

Cómo fijar precios en Odontología 

Juan Carlos Mejía

VER MAS

__________________________________________________________________

FORMACION - EDICION ESPECIAL

Nuevas tecnologías en las clínicas universitarias

Varios autores

VER MAS

__________________________________________________________________

CIRUGIA ORAL

Todo lo que necesita saber sobre Cirugía Piezoeléctrica

José Rosas Díaz

VER MAS

__________________________________________________________________

HISTORIA DE LA ESTETICA DENTAL

La belleza dental a través de la historia 

Javier de Pisón

VER MAS

__________________________________________________________________

 

 

Temas:
To post a reply please login or register
advertisement
advertisement