Search Dental Tribune

El uso del láser en Periodoncia (6)

El láser de diodo es muy efectivo para el raspado y alisado radicular. (Foto: Shutterstock)

vie. 21 octubre 2022

guardar

El Láser en Odontología 6 – Este es el sexto artículo de una Edición Especial de Dental Tribune sobre el Láser en Odontología.

— EL LASER EN ODONTOLOGIA —

Serie de 12 artículos de Dental Tribune

Alfredo Aragüés González, periodoncista en exclusiva y experto en láser que ejerce en Burgos, apunta en este artículo sobre las aplicaciones del láser en Periodoncia que se trata de una tecnología que no pretende cambiar nuestra forma de trabajar, sino contribuir al progreso de la especialidad en la que se emplee. El autor explica su efectividad en el raspado y alisado radicular, la hipersensibilidad dentinaria y, especialmente, en las gingivectomías, donde es una intervención mínimamente invasiva, indolora para el paciente y que no requiere de sutura.

Uno de los principales avances en el campo de la Medicina —y también de la Odontología— en el siglo XX fue el desarrollo del láser. En mi opinión, la Periodoncia es la base de la odontología moderna, ya que se basa en la prevención, el diagnóstico y el tratamiento de los tejidos de soporte de los dientes, al igual que de sus sustitutos, que son los implantes dentales.

En este artículo quiero centrarme en las aplicaciones del láser como tratamiento único y también como complemento del tratamiento periodontal quirúrgico y no quirúrgico en periodoncia.

La periodoncia y la implantología oral son dos de las áreas de conocimiento de la odontoestomatología que mayor interés han despertado entre los jóvenes dentistas y entre quienes empiezan su andadura en este campo. Mientras que algunos se empeñan en unir ambas disciplinas, otros luchamos diariamente por conseguir que la periodoncia y la implantología sean dos áreas complementarias pero que no estén englobadas en una misma unidad.

En un libro publicado en 1928 por Balint Joseph Orban y titulado "Dental histology and embryology", aparecen los conceptos básicos de la periodoncia que hoy conocemos y las líneas de trabajo y actuación que podríamos denominar como periodoncia moderna. Desde entonces, el tratamiento y los objetivos del propio tratamiento periodontal se han mantenido prácticamente invariables. Lo que sorprendió, o podríamos decir que revolucionó, en el año 1953 fue el protocolo de abordaje de la enfermedad periodontal del profesor Sigurd Ramfjord. Este abordaje marcó la línea a seguir en cuanto al manejo del “enfermo” y de la enfermedad periodontal como una enfermedad crónica que requiere un diagnóstico, una planificación y un tratamiento específico, así como una terapia de mantenimiento periodontal, algo que es importantísimo para conseguir el éxito a largo plazo del tratamiento y del control de la enfermedad.

Uno de los objetivos principales del tratamiento periodontal sigue siendo controlar la enfermedad, con la terapia más simple, menos invasiva, más confortable para el dentista y el paciente y con los menores efectos negativos, y es aquí, donde el láser puede complementar al tratamiento periodontal convencional y contribuir a su éxito.

El uso del láser en la odontoestomatología en general y de sus aplicaciones en el área de la periodoncia en particular ha sido de gran ayuda como tratamiento único y también como complemento de la técnica convencional o “gold standard”. En este sentido, hay algo que siempre debemos tener presente: el uso del láser (o de cualquier otro instrumento, tecnología o incluso técnica) no viene a competir ni a cambiar nuestra forma de trabajar, sino a contribuir al progreso de la especialidad en la que se emplee.

PUBLICIDAD

El láser es una herramienta que nos ofrece una serie de ventajas respecto a la técnica convencional para lograr los objetivos del tratamiento. Dicho de otra forma, el láser no sustituye a la técnica convencional sino que la complementa.

Uno de los ejemplos más claros de esta máxima en el campo de la periodoncia es posiblemente el tratamiento más básico y a la vez más importante de esta especialidad, el raspado y alisado radicular.

Este tratamiento se puede realizar mediante la técnica convencional (Figura 1), o con el láser de erbio, bien sea YAG o Er,Cr:YSGG (Waterlase) (Figura 2). Pero el uso del láser no elimina ni sustituye a las curetas, sino que las complementa, mejorando y potenciando el resultado del tratamiento (Figura 3).

Figura 1. El tratamiento de la enfermedad periodontal se puede realizar mediante la técnica convencional de raspado y alisado radicular.

Figura 2. El láser de erbio, bien sea YAG o Er,Cr:YSGG, es eficaz para el tratamiento de la enfermedad periodontal.

Figura 3. El uso del láser no sustituye a las curetas, sino que las complementa, mejorando y potenciando el resultado del tratamiento.

El raspado y alisado radicular fue descrito hace muchos años por la Academia Americana de Periodoncia como un tratamiento meticuloso, arduo y que lleva tiempo, pero que al mismo tiempo y según la evidencia, ha demostrado ser muy eficaz en el control de la enfermedad periodontal. Si bien debemos considerar este tratamiento convencional como “gold standard”, no es menos cierto que puede ser complementado, simplificado e incluso mejorado con el láser.

La combinación del raspado y alisado radicular con el láser produce una mejoría clínica moderada en comparación con la técnica convencional, como constataron Borrajo y colaboradores1.

En otro estudio, Castro y colaboradores fueron más allá y concluyeron que además de lo anterior, el láser de diodo puede ser utilizado rutinariamente como complemento al raspado y alisado radicular sin que dañe el cemento radicular2. Esto debe darnos tranquilidad en cuanto al uso de esta tecnología en este tratamiento concreto y llevarnos a utilizarlo en nuestro día a día, siguiendo, eso sí, los parámetros de seguridad adecuados.

Indicaciones en la práctica clínica diaria

Una de las preguntas más frecuentes es si todos los tipos de láser están indicados y son seguros para las aplicaciones clínicas que realizamos en la práctica clínica diaria. Existe un gran número de artículos en este sentido, entre los que podemos citar el de Theodoro y colaboradores que compara el láser de diodo con el de Er:YAG como complemento al raspado y alisado radicular3.

El láser de diodo presenta ventajas comparado con el Er:YAG, ya que aunque en ninguno de los casos se produjeron cambios morfológicos ni aumentos en la temperatura de la pulpa significativos, las irregularidades en la superficie radicular fueron más pronunciadas tras la irradiación con el Er:YAG3. Este es sólo un ejemplo para ilustrar que se pueden usar varios tipos de láser para un tratamiento dado, obteniendo en muchos casos resultados similares pero no idénticos. Esto es aplicable tanto al raspado y alisado radicular como a la mayoría de los tratamientos periodontales y odontológicos en general.

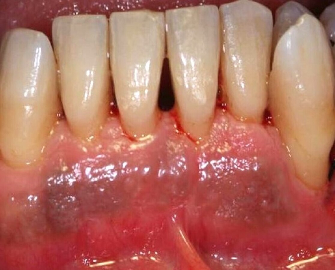
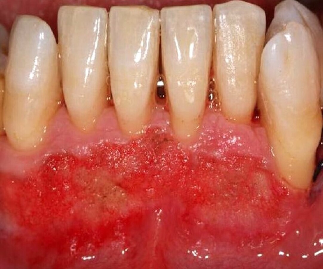
Por otra parte, sabemos que independientemente de la técnica o del instrumental utilizado, algunos tratamientos pueden tener aparejados efectos no deseados. En el caso del raspado, alisado y pulido radicular, además de los efectos “deseados”, también se generan otros “indeseados” como la hipersensibilidad dentinaria. El láser es un buen complemento para reducir o eliminar consecuencias indeseadas como la hipersensibilidad (Figura 4). De hecho, la aplicación del láser para la hipersensibilidad es más eficaz que otras técnicas, tanto al finalizar el tratamiento como al mes y a los 6 meses4. Kimura y colaboradores, en una revisión bibliográfica de casi 15 años, concluyeron que la eficacia del tratamiento de la hipersensibilidad utilizando láser era mayor que con otras técnicas5.

Figura 4. El láser reduce o elimina consecuencias indeseadas del tratamiento como la hipersensibilidad.

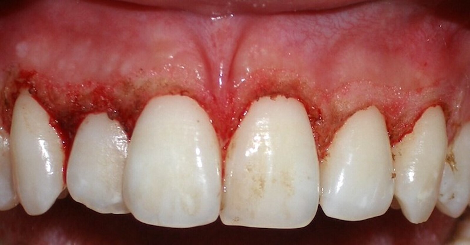
Figura 5. Los efectos de la fotobiomodulación que produce el láser aceleran la cicatrización de las heridas.

El uso del láser como refuerzo del tratamiento convencional es cada vez más común. Un buen ejemplo de ello es el uso de la fotobiomodulación (antes llamada bioestimulación) en el tratamiento de la enfermedad periodontal (Figura 5), que es muy utilizada debido a que acelera la cicatrización de las heridas y a sus propiedades analgésicas, antiinflamatorias y antiedematosas.

Cuando se complementa el tratamiento convencional con la fotobiomodulación lumínica, se acorta su duración y se consigue eliminar el dolor más rápido que solo con el tratamiento convencional. Asimismo, la reducción de la profundidad de la bolsa periodontal en las visitas sucesivas es estadísticamente mayor en el grupo tratado con láser que en el grupo control, siendo esta reducción aún mayor en las bolsas más profundas6.

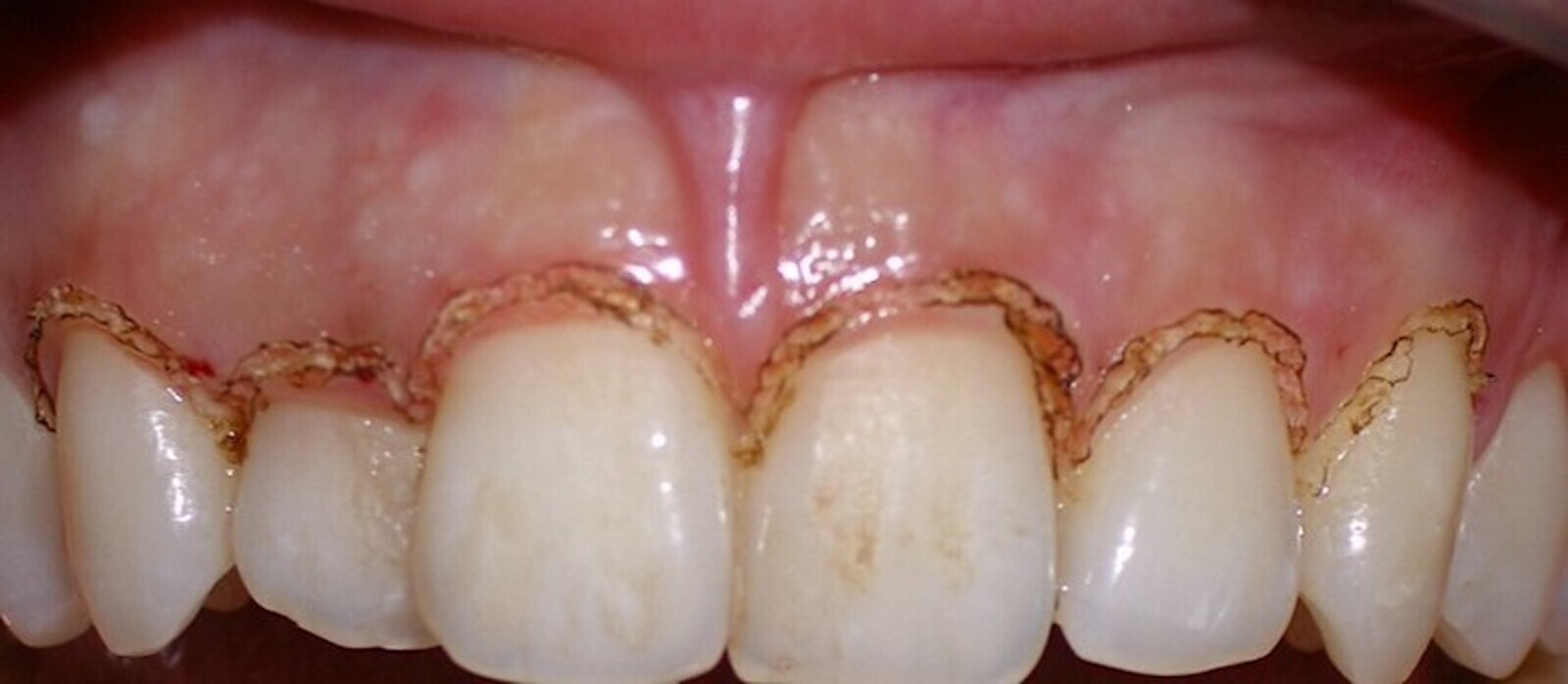
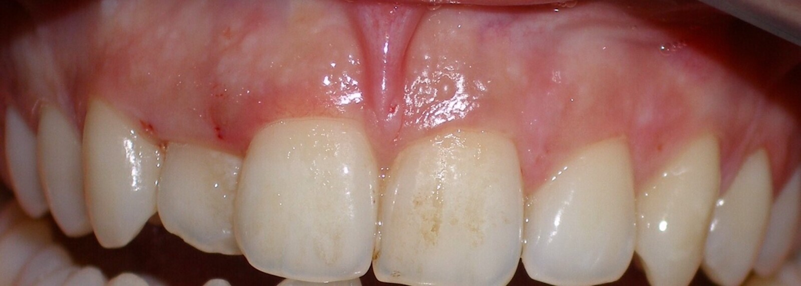
Uno de los principales motivos de consulta de los pacientes es la estética, y las pigmentaciones de melanina son uno de los síntomas más comunes que se quieren eliminar.

"Una revisión bibliográfica de casi 15 años concluyó que la eficacia del tratamiento de la hipersensibilidad utilizando láser era mayor que con otras técnicas". 

Varios tipos de láser, como el de Alejandrita, causan daño selectivo a las células cutáneas pigmentadas y se usan en el tratamiento de estas lesiones. Por su parte, el láser de diodo, afecta selectivamente a las estructuras pigmentadas, siendo los melanosomas las células diana de la radiación de este láser. La especificidad del láser de diodo para la melanina proporciona una gran base biológica para el éxito del tratamiento de las pigmentaciones cutáneas superficiales con este dispositivo7. En relación a este tema, se ha publicado una investigación que afirma que la excesiva pigmentación de las encías de los niños podrían estar asociadas con ser fumadores pasivos8.

El tratamiento de estas pigmentaciones con el láser de diodo obtiene buenos resultados a nivel estético, es cómodo para el paciente durante y después de la intervención, y los resultados son muy estables a lo largo del tiempo (Figuras 6-8).

El láser de diodo obtiene buenos resultados estéticos en el tratamiento de pigmentaciones (ver Figuras 6-8).

Figura 6.

Figura 7.

Figura 8. Las figuras 6-8 muestran el tratamiento de las pigmentaciones con el láser de diodo obtiene buenos resultados a nivel estético y es cómodo para el paciente.

El láser en tejidos duros

Pero la periodoncia no es solo se centra en los tejidos blandos que rodean y dan soporte a los dientes o implantes, sino que también es la “encargada” del tejido duro. Por lo tanto, vamos a abordar brevemente la aplicación del láser en los tejidos duros no dentales.

Algunos láseres como los de erbio, y en mi día a día en concreto el de Er,Cr:YSGG (Waterlase), permiten realizar un corte óseo quirúrgico muy preciso (Figuras 9-13), que transmite un daño térmico mínimo a los tejidos adyacentes9.

El láser Er,Cr:YSGG de alta potencia permite realizar cortes óseos quirúrgicos muy precisos (ver Figuras 9-13).

Figura 9.

Figura 10.

Figura 11.

Figura 12.

Figura 13. Las figuras 9-13 permiten observar un corte óseo quirúrgico muy preciso realizado con láser de erbio que produce un daño térmico mínimo en los tejidos adyacentes.

Además, produce un buen corte en los tejido duros dentales (Figuras 14-16), lo que ofrece una serie de ventajas10.

El corte de los tejidos duros dentales con el láser Er,Cr:YSGG ofrece una serie de ventajas (ver Figuras 14-16).

Fig. 14.

Fig. 15.

Fig. 16. Las figuras 14-16 muestran los cortes precisos que los láseres de erbio permiten realizar en los tejidos duros dentales.

En la cirugía de tejidos blandos, la gingivectomía es probablemente uno de los tratamientos más básicos y que más frecuentemente se realizan en periodoncia quirúrgica (Figuras 17-19). Realizar una gingivectomía con láser es un procedimiento muy sencillo y a la vez bastante rápido que produce un efecto inmediato y que, comparado con una gingivectomía convencional con bisturí, ofrece una serie de ventajas como por ejemplo una hemostasia excelente, lo que mejora la visibilidad del campo y resulta en una molestia postoperatoria mínima para el paciente11.

La gingivectomía con láser es un procedimiento muy rápido y sencillo que ofrece beneficios comparado con una gingivectomía convencional (ver Figuras 17-19).

Fig. 17.

Fig. 18.

Fig. 19. Las figuras 17-19 muestran que la gingivectomía con láser es un procedimiento muy rápido y sencillo que produce un efecto inmediato y ofrece ventajas comparado con la gingivectomía convencional con bisturí.

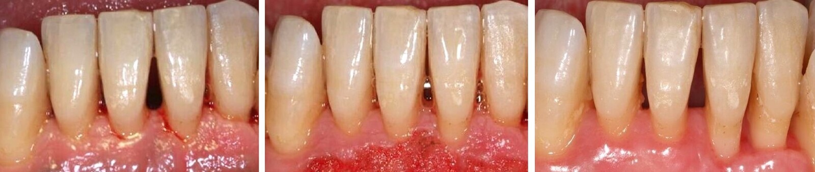
Cuando el aumento del volumen de los tejidos blandos es grande y generalizado, estos agrandamientos gingivales son medicamentosos, y es en estos casos en los que la utilización del láser presenta ventajas realmente importantes y llamativas frente a la técnica convencional (Figuras 20 y 21).

Fig. 20.

Figuras 20 y 21. Las figuras 20 y 21 indican que en los agrandamientos gingivales voluminosos, la utilización del láser presenta ventajas llamativas frente a la técnica convencional.

Figura 22. El uso del láser requiere formación inicial y continuada, al igual que adoptar medidas de seguridad para protegernos a nosotros y a nuestros pacientes.

Mavrogiannis y colaboradores publicaron un trabajo en el que compararon tres técnicas quirúrgicas diferentes para este tratamiento y concluyeron que la cirugía de colgajo no ofreció ventajas frente a la gingivectomía convencional respecto a recurrencia y que el índice de recurrencia fue significativamente menor en pacientes tratados con láser12.

La gran mayoría de las publicaciones valoran sólo algunos parámetros clínicos, aunque hay otros que son también importantes. Respecto al láser por ejemplo se recomienda o no esta tecnología dependiendo de sus resultados comparados con la técnica convencional.

Pues bien, aunque estos criterios pueden ser lógicos, debemos ser críticos en nuestra lectura y tener una visión más amplia, ya que muchos artículos nos dicen que no se recomienda el uso de la tecnología láser en determinado tratamiento porque podemos obtener el mismo resultado con la técnica convencional y el costo de estos dispositivos es elevado.

Estas afirmaciones son verdades a medias en el sentido de que el láser, según esos mismos artículos reconocen, obtiene los mismos resultados que la técnica convencional, pero en mucho menos tiempo, con mayor comodidad para el dentista y máximo confort intra y post operatorio para el paciente, entre otras cosas.

Ahondemos pues en estas afirmaciones. Una de las cosas a tener en cuenta es que algunos tratamientos con láser, tanto quirúrgicos como no quirúrgicos, se hacen sin necesidad de usar anestesia local, lo que permite realizar tratamientos en toda la boca en la misma sesión, lo cual es bien aceptado por el paciente y requiere aproximadamente un 50% menos de tiempo que la técnica convencional13.

"Algunos tratamientos con láser se hacen sin necesidad de usar anestesia local, lo que permite realizar procedimientos en toda la boca en la misma sesión, algo que es bien aceptado por el paciente y requiere un 50% menos de tiempo que la técnica convencional".

Además, el campo operatorio está prácticamente libre de sangre, en muchos casos no es necesario el uso de suturas y los pacientes refieren ausencia de dolor postoperatorio14. Otras ventajas son la precisión, la “esterilidad” del campo y la estabilidad y predictibilidad de los resultados de la interacción del láser con el tejido. La versatilidad del láser es patente en procedimientos como la cirugía plástica periodontal, el alargamiento coronario, la gingivectomía, la toma de muestras para biopsias, las segundas fases de implantes o las frenectomías de todo tipo15.

Muchas personas refieren que el miedo al dolor es la principal razón por la que no acuden a la consulta dental, por lo que el uso del láser es una técnica de tratamiento más aceptable para los pacientes en general y para este tipo de pacientes en particular16.

La ansiedad derivada de la visita a nuestras clínicas afecta a más del 20% de las personas, y el grado de satisfacción de estos pacientes respecto al tratamiento dental es mucho menor que entre otros pacientes17.

El uso del láser tiene múltiples beneficios en la práctica clínica diaria, aunque los resultados dependen en gran medida de los parámetros usados por el odontólogo en cada tratamiento concreto18, por lo que se debe insistir en que la formación inicial y continuada es de vital importancia. Además, debemos adoptar una serie de medidas para protegernos nosotros y proteger a pacientes y trabajar siempre dentro de los parámetros de seguridad establecidos (Figura 22).

Un estudio realizado por Mavrogiannis concluyó que el uso del láser en periodoncia, especialmente en pacientes que habían sufrido un trasplante y necesitaban ser tratados con una técnica que evitara la pérdida de sangre intra y postoperatoria, así como la incomodidad postoperatoria, podía llevar a alterar la práctica clínica actual19.

Pues bien, si el uso de la tecnología láser está indicado en pacientes especiales, con patologías sistémicas asociadas y/o pacientes medicamente comprometidos, quiero finalizar este capítulo diciendo que en pacientes sanos el tratamiento con láser mejora la calidad de vida y la salud de nuestros pacientes de una forma sencilla y mínimamente invasiva.

_________________________________________________________________________________________________________________________________________________________________________________________________

Dr. Alfredo Aragüés González es Licenciado en Odontología por la Universidad ISCSS de Lisboa. Máster en Láser en Odontología (MLO/EMDOLA), Especialista en Periodoncia (OMD-Portugal) con reconocimiento europeo. Máster en Tabaquismo por la Universidad de Cantabria. Práctica limitada a periodoncia y láser en la Clínica ESENCIAL de Burgos.

Ver Bibliografía debajo

Serie de artículos de Edición Especial sobre Láser en Odontología

01. Beneficios del uso del láser — Javier de Pisón
02. Introducción al uso del láser — Antoni España
03. Aplicaciones del láser en Cirugía Bucal — Antoni España
04. Rejuvenecimiento del labio superior — Kathrin Trelles y Mario Trelles
05. Utilización del láser en Implantología  Daniel Abad
06. El uso del láser en Periodoncia  Alfredo Aragüés
07. Terapia Fotodinámica — Marta Pascual
08. Láser en Odontología Conservadora — Josep Arnabat
09. Láser en Endodoncia — Jaime Donado
10. Láser en Prótesis Dental — Hernán Giraldo
11. Fotobiomodulación en odontología — María Pérez
12. Láser en Ortodoncia - Diana Montoya
 

13. EDICIÓN ESPECIAL de DENTAL TRIBUNE sobre Láser en Odontología

Incluye todos estos artículos, promociones, descuentos y extras

• Ediciones Digitales. Consulta más de 15 años de ediciones de Dental Tribune Latinoamérica.

Bibliografía

1. Borrajo JL et al. Diode laser (980) as adjunct to scaling and root planning. Photomed Laser Surg. 2004 Dec ; 22 (6):509-12.

2. Castro GL et al. Histological evaluation of the use of diode laser as an adjunct to traditional periodontal treatment. Photomed Laser Surg. 2006 Feb; 24 (1):64-8.

3. Theodoro LH et al. Effect of Er:YAG and diode laser irradiation on the root surface: morphological and thermal analysis. J. Periodontol. 2003 Jun; 74 (6):838-43

4. Hu C. Dentine hypersensitivity treated with Nd:YAG laser: experience with 262 cases. Di Yi Jun Da Xue Xue Bao. 2004 Mar; 24 (3):319-20.

5. KimuraY et al. Treatment of dentine hypersensitivity by lasers: a review. J. Clin. Periodontol. 2000 Oct; 27 (10):715-21.

6. Kiernicka M et al. Comparison of the effectiveness of the conservative treatment of the periodontal pockets with or without the use of laser biostimulation. Ann Univ Mariae Curie Sklodowska [Med]. 2004; 59 (1):488-94.

7. Procaccini EM et al. The effects of a diode laser (810) on pigmented guinea-pig skin. Lasers Med Sci. 2001; 16 (3):171-5.

8. Hanioka T et al. Association of melanin pigmentation in the gingival of children with parents who smoke. Pediatrics. 2005 Aug; 116 (2):186-90.

9. Wang X et al. Morphological changes of bovine mandibular bone irradiated by Er,Cr:YSGG laser: an in vitro study. J. Clin. Med. Surg. 2002 Oct; 20 (5):245-50.

10. Yu DG et al. Morphological and atomic analytical studies on enamel and dentin irradiated by an erbium, chromium: YSGG laser. J. Clin. Laser Med. Surg. 2000 Jun; 18 (3): 139-43.

11. Russo J. Periodontal laser surgery. Dent. Today. 1997 Nov; 16 (11): 80-1.

12. Mavrogiannis M et al. The efficacy of three different surgical techniques in the management of drug-induced gingival overgrowth. J. Clin. Periodontol. 2006 Sep; 33 (9): 677-82.

13. Lioubavina-Hack N. Lasers in dentistry, 5. The use of lasers in periodontology. Ned. Tijdschr. Tandheelkd. 2002 Aug; 109 (8): 286-92.

14. Pick RM et al. Current status of lasers in soft tissue dental surgery. J. Periodontol. 1993 Jul; 64 (7): 589-602.

15. Passes H et al. A case study of lasers in cosmetic dentistry. Curr. Opin Cosmet. Dent. 1995: 92-9.

16. Smith TA et al. Assessing patient pain during dental laser treatment. J. Am. Dent. Assoc. 1993 Fe; 124 (2): 90-5.

17. Thomson et al. The west coast study. II: Dental anxiety and satisfaction with dental services. N Z Dent J. 1999 Jun; 95 (420): 44-8.

18. Romanos G et al. Diode laser (980 nm) in oral and maxillofacial surgical procedures: clinical observations based on clinical applications. J. Clin Laser Med Surg. 1999 Oct; 17 (5): 193-7.

19. Mavrogiannis M et al. Lasers in periodontology. Dent Update. 2004 Nov; 31(9): 535-8, 541-2, 545-7.a.

To post a reply please login or register
advertisement
advertisement