Luis Giner-Tarrida, Decano de la Facultad de Odontología de la Universidad Internacional de Cataluña, explica la especial importancia que adquiere la comunicación con el paciente en los casos de odontología estética y los beneficios que conlleva explicar claramente la situación odontológica inicial y las expectativas del tratamiento.
LA HORA DE LA VERDAD
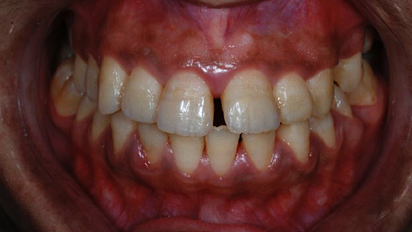
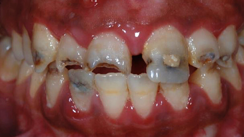
La estética dental, entendiendo por dental los tejidos duros, los tejidos blandos y de soporte, actualmente es una parte muy importante de nuestra actividad clínica; de hecho, debe formar parte indivisible de nuestro diagnóstico y plan de tratamiento junto con la función y el mantenimiento de su salud oral.
En la actualidad, es un motivo frecuente de consulta y en ocasiones de primera visita al profesional de la odontología, encontrándonos muchas veces con sorpresas en cuanto a la salud bucal y a la posibilidad de dar solución a las expectativas del paciente.
También hemos de contemplar que el concepto de estética ha cambiado en parte a lo largo de la evolución de la humanidad y que aun actualmente hay concepciones algo diferentes según las diferentes culturas, y que, gracias a la movilidad de la sociedad actual, existe unainfluencia de los diferentes cánones estéticos.
"Hemos de asegurarnos que el paciente ha entendido realmente la situación y las posibilidades de tratamiento, lo cual puede ser largo y no exento de sacrificios importantes por parte de éste; si es así, el resultado final superará con creces el esfuerzo que habrá tenido que hacer".
Como en toda consulta, el diálogo y la transmisión de la situación clínica que se presenta debe ser clara e inteligible para nuestros pacientes, pero en el caso de la estética dental, debe serlo aún más. Nosotros hemos de ser capaces de captar sus expectativas y asegurarnos que el paciente ha entendido realmente la situación y las posibilidades de tratamiento, lo cual en ocasiones puede ser largo y tedioso, y no exento de sacrificios importantes por parte de éste; si es así, el resultado final en la mayoría de las ocasiones superará con creces el esfuerzo que habrá tenido que hacer.
Otro aspecto que ha ido cambiando en las últimas décadas ha sido la especialización de la odontología. En la mitad del siglo pasado, hablar de odontología estética era hablar básicamente de odontología protésica, y la especialización en las diferentes áreas era anecdótica. En la actualidad, para lograr la excelencia, las especialidades son imprescindibles, si bien también es imprescindible una perfecta coordinación entre ellas, y en este caso el mejor situado para coordinarlo es el que podríamos llamar, haciendo un símil con la medicina, el odontólogo de cabecera.
La especialización actual permite solucionar muchos problemas en el ámbito oral que, muchas veces no siendo vitales para la persona, sí que incomodan mucho o le afectan psicológica o emocionalmente. La correcta coordinación entre los diferentes profesionales especialistas y una comunicación fluida, precisa e inteligible para y con el paciente, hará que el mismo tratamiento lo viva con mayor o menor dramatismo y que los resultados esperados sean para ambos, odontólogo y paciente, totalmente satisfactorios.
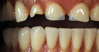
El gran desarrollo de las especialidades en cirugía ortognática, en ortodoncia, en odontología restauradora y protésica, en periodoncia, ha permitido tratamientos mucho menos invasivos con una menor morbilidad, pudiendoofrecer soluciones que hace tan solo unos pocos años eran impensables o quedaban descartados al valorar los resultados que se podíanobtener y el coste-beneficio para el paciente así como las posibles complicaciones, algo que en la actualidad tenemos mucho más controlado y es mucho más predecible.
Tanto el diagnostico radiológico 3D, los programas de simulación, las técnicas de impresión digitalizada, nos permiten una mayor seguridad en nuestro diagnóstico y planificación del tratamiento, herramientas que también nos son de gran utilidad para comunicar con claridad al paciente cuál es su situación y cuáles las diversas posibilidades de tratamiento, para después conjuntamente odontólogo y paciente decidir el plan de tratamiento que más se adecúe a su estado actual y a sus expectativas .
Pero hay una premisa que debemos cumplir primero en todas las ocasiones, el de proporcionar salud oral y diseñar el tratamiento de tal forma que permita un correcto mantenimiento, tanto por parte del paciente como por parte del profesional, algo que al paciente puede costarle un poco más de entender, ya que él busca un objetivo o una necesidad que nos demanda, que es el de tener un aspecto más agradable con los cánones estéticos actuales bajo el concepto que él tenga de estética, con el añadido que puede pensar que sea una solución fácil y un resultado óptimo.
Este primer esfuerzo de transmitir la realidad que presenta su salud oral es básico y que el paciente lo entienda y tenga conciencia de lo que a medio plazo puede perjudicarle, tanto en su salud bucal como en su salud general, para que sea un buen aliado en el tratamiento que vamos a ofrecerle; aunque el fin primero y último para él sea mejorar su estética, para nosotros será mejorar la estética siempre dentro del entorno de su salud.
Quiero terminar con una frase del Dr. Miquel Cortada, primer decano de la facultad de odontología de la UIC-Barcelona, que decía el primer día de clase de prótesis a los alumnos, “Lo sano es bello, buscad la salud de los tejidos orales y encontraréis la belleza”.
* El doctor Luis Giner-Tarrida es Decano de la Facultad de Odontología de la Universidad Internacional de Cataluña (UIC), Profesor titular Facultad de Odontología, UIC-Barcelona, Secretario de la conferencia de decanos de España.
David Suárez Quintanilla disecciona en este artículo los múltiples tipos de pacientes odiosos que pasan por nuestras consultas dentales y nos explica ...
El Consejo General de Dentistas de España publica en su página web un Informe Técnico especial en el que explica lo que se sabe del Coronavirus y ofrece ...
El medio de comunicación más leído en Expo AMIC Dental, la mayor exposición dental de habla hispana, fue como se aprecia en las imágenes el periódico ...
La odontología moderna ya no depende únicamente de la excelencia clínica.
Hoy, dirigir un consultorio rentable exige saber interpretar datos financieros,...
Decenas de miles de odontólogos, técnicos dentales y estudiantes recorrieron los stands comerciales de los principales distribuidores de la industria ...