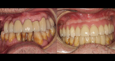
Una paciente de 74 años que lleva una prótesis total desde hace muchos años se presenta pidiendo que le mejoren el aspecto estético y funcional de su prótesis. Al primer examen se nota una incongruencia entre la prótesis total superior, muy antigua y estropeada, y una prótesis total inferior hecha recientemente sobre 4 implantes.
Se nota que el montaje de los dientes se ha hecho de manera incorrecta para poder dar espacio a la estructura sobre implantes, ocupando demasiado espacio para los dientes y dejándolos muy expuestos. Incluso con la boca en posición de reposo, las dimensiones de los dientes resultan excesivas respecto al espacio disponible. Llegados a este punto y, de acuerdo con la paciente, se procede a rehacer un montaje completo superior e inferior de los dientes.
El procedimiento permitirá recuperar un óptimo resultado estético y la función masticatoria. Solamente tras realizar estas evaluaciones se procede a personalizar el más adecuado sistema retentivo y de conexión entre implantes y estructura para garantizar el tamaño necesario para una prótesis correcta y una estructura y sobrestructura técnicamente idóneas al caso.
Discusión del caso
La paciente se presenta en la clínica para solucionar problemas estéticos-funcionales debidos a una prótesis superior antigua y a una inferior (Fotos 1 y 2), que ha sido rehecha recientemente de manera incorrecta.
embedImagecenter("Imagecenter_1_1729",1729, "large");
Tras las evaluaciones iniciales y escuchar las peticiones de la cliente, el protésico y el odontólogo empiezan a pensar en la rehabilitación y a ejecutar el primer montaje de los dientes. Todo esto después de haber tomado las impresiones.
Sólo después haber llegado a un buen resultado estético-funcional como el que esperaba la paciente, el protésico realiza máscaras vestibular y lingual en silicona que le guiarán en la construcción de la estructura y sobrestructura, evaluando los espacios a disposición y la posición de los dientes y de los implantes. Así se podrá elegir la solución más adecuada al caso.
El paso siguiente es tomar el modelo de trabajo para posicionarlo debajo del paralelómetro, buscando el eje de inserción. Hay que evaluar la línea incisal horizontal de los incisivos, la línea oclusal de los posteriores, de las eventuales áreas retentivas debajo de la cresta anterior y la inclinación de los implantes. Tras haber encontrado el eje de inserción y atornillado los pivotes calcinables regulando sus altura gracias a la máscara, se empieza a posicionar la barra calcinable sector por sector, fijándola a las extremidades con resina (Fotos 4 - 7).
Una vez terminada la unión de todas las partes de la estructura, se fresan las áreas sobre los implantes con una fresa a dos grados. Al final, el protésico verifica todo el trabajo con las máscaras de silicona (Foto 8). Una vez que se comprueba que la barra respeta todas las características deseadas, se procede a poner los pivotes directamente sobre el modelo para evitar distorsiones durante el enfriamiento de la cera (Foto 9).
Luego se realiza la fusión con la técnica a presión y un primer control inmediatamente después de la limpieza de la misma del revestimiento (Foto 10). El paso sucesivo es entregar a la clínica el producto acabado para probarlo sobre el paciente haciendo los controles adecuados (Foto 11).
Después de verificar que todo esté correcto y pasivo, el laboratorio procede a la rectificación de los fresados y a pulir la barra. Luego se comprueba que los espacios para el cepillo dental sean adecuados sobre el modelo y lo mismo hace el dentista con el paciente (Fotos 12 - 14).
Tras comprobar con las placas de silicona que los espacios a disposición son adecuados (Foto 15), se empieza la construcción de la sobrestructura directamente sobre la barra, posicionando los contenedores de clips (Foto 16). Sobre los contenedores se insertan los box calcinables, siempre bajo el control de las máscaras en silicona (Foto 17). Tras haber eliminado las áreas retentivas con la cera, se utiliza la resina para construir la sobrestructura después de haber aislado la barra y el modelo (Foto 18). Luego se extrae de ahí y se pegan las retenciones (Foto 19).
Tras la inserción sobre la barra, se procede a poner los pivotes directamente sobre el modelo (Fotos 20-21). Después de la fusión, se vuelve a limpiar el revestimiento, se separan los pivotes de colado y se verifica sus precisión y la fricción de la misma una vez rociada con un barniz revelador sobre la barra (Fotos 22 - 23).
El montaje de los dientes con la ayuda de las placas de silicona es el paso sucesivo al acabado (Fotos 24 - 26). Se procede a sustituir los contenedores de clips con cofias rosadas (Foto 27) y se entrega a la clínica para la prueba final (Foto 28). Cuando las prótesis vuelven al laboratorio se trasforman los montajes en cera, utilizando sistemas precisos y prácticos (Foto 29), preparando la sobrestructura refinándola y procurando que sea opaca (Foto 30). Después de reinsertarla sobre la sobrestructura, se cierran los cortes con cera, se resinan las prótesis y se procede con el acabado y pulido (Fotos 32 - 34). Finalmente, se pulen todas las partes que componen las prótesis, las cuales se entregan a la clínica para la prueba final (Fotos 35 - 38).
Conclusión
Sólo poniendo en práctica los conocimientos técnicos-clínicos sobre las prótesis totales de los sistemas retentivos sobre implantes y el uso de componentes adecuados, se pueden conseguir resultados óptimos, prácticos y rápidos, tanto con sistemas clásicos como con sistemas CAD.
Contacto
borrcarlo@tiscali.it
Una paciente de 74 años que lleva una prótesis total desde hace muchos años se presenta pidiendo que le mejoren el aspecto ...
La Dra. Marinelly Mendes, experta en Estética dental y Rehabilitación Oral y Prótesis sobre Implantes, es una de las conferencistas que participarán en ...
El Dr. Norbert Puello impartió un curso en Arequipa titulado "Planeamiento en prótesis sobre implantes" en el marco del 35 Congreso ...
La Clínica Universitaria de la Escuela Superior de Implantología y Rehabilitación Oral (Esiro) anuncia una nueva serie de cursos personalizados para ...
Luis Giner-Tarrida, Decano de la Facultad de Odontología de la Universidad Internacional de Cataluña, explica la especial importancia que adquiere la ...
La colocación de implantes unitarios suele ser la restauración más sencilla en implantología oral, pero en el sector anterior ...
La colocación de implantes unitarios suele ser la restauración más sencilla en implantología oral, pero en el sector anterior ...
El Dr. Sérgio R. Bernardes, Profesor en el Instituto Latinoamericano de Investigación y Docencia Dental en Curitiba (Brasil) y Jefe de Desarrollo de ...
Las Newsletters de Dental Tribune, donde aparecen éste y otros artículos, ofrecen contenido exclusivo para suscriptores y también artículos de acceso ...
Caso clínico elaborado por expertos en Cirugía Bucal e Implantología de la Universidad de Valencia, España, que explican el tratamiento con el sistema ...
Webinars en vivo
mié. 29 de abril 2026
17:00 CST (Mexico City)
Dr. Renato Leonardo D.M.D.
Webinars en vivo
jue. 30 de abril 2026
11:00 CST (Mexico City)
Webinars en vivo
dom. 3 de mayo 2026
10:00 CST (Mexico City)
Dr. Rickard Brånemark MSc, MD, PhD, Dr. Robert Gottlander DDS
Webinars en vivo
dom. 3 de mayo 2026
18:00 CST (Mexico City)
Webinars en vivo
mar. 5 de mayo 2026
8:00 CST (Mexico City)
Webinars en vivo
mar. 5 de mayo 2026
10:00 CST (Mexico City)
Webinars en vivo
mar. 5 de mayo 2026
11:00 CST (Mexico City)
Dr. Maximilian Dobbertin M.Sc
To post a reply please login or register