La colocación de implantes unitarios suele ser la restauración más sencilla en implantología oral, pero en el sector anterior presenta una serie de desafíos relacionados con la anatomía del paciente y la importancia crítica que tiene la zona estética de la sonrisa.
Esto ha llevado a muchos clínicos a remitir este tipo de casos a profesionales con más experiencia. Sin embargo, los avances en el diseño de los implantes, el CAD/CAM y los protocolos de tratamiento permiten actualmente obtener un buen resultado en el sector anterior sin mayor dificultad.
El enfoque tradicional para la colocación de un implante unitario era dejar que el sitio de extracción cicatrizara y que finalizara el proceso de osteointegración antes de la carga. Incluso los odontólogos que optaban por la implantación inmediata eran renuentes a cargar el implante antes de que concluyera totalmente la fase de cicatrización. Pero la mejor comprensión de los beneficios de la carga y provisionalización inmediatas, incluyendo la preservación del tejido duro y blando para obtener un resultado estético, es un incentivo para seguir un protocolo más progresivo cuando esté indicado1.
La progresión hacia resultados más predecibles en el sector anterior ha sido asistida por el advenimiento del implante cónico, que ha simplificado su posicionamiento en situaciones donde el espacio anatómico o el volumen de hueso es limitado. Los implantes cónicos Hahn™ (Glidewell Direct; Irvine, USA) se basan en el demostrado concepto de una forma anatómicamente correcta combinado con un diseño de rosca pronunciada, lo que ayuda a situar el implante en la posición labial-lingual ideal y a lograr la estabilidad primaria necesaria para obtener un resultado óptimo. Este diseño es ideal para los procedimientos de carga inmediata, donde mantener la distancia adecuada de la placa facial es de suma importancia.
La carga inmediata tras extracción ofrece numerosas ventajas, incluyendo la preservación del reborde alveolar, del tejido blando y las papilas interdentales2. Esto es crucial en el sector anterior, donde los pacientes son más sensibles a los contornos y márgenes gingivales debido a lsu visibilidad en la zona estética. Una vez colocado el implante en el lugar de extracción, poner un pilar de curación impide que el tejido blando colapse, manteniendo la arquitectura gingival natural del paciente3. Cuando se ha obtenido la estabilidad primaria del implante, la provisionalización ofrece beneficios adicionales como la formación de encía alrededor de la corona temporal, lo cual resulta en una estética de aspecto más natural mientras el tejido cicatriza4,5.
La carga inmediata proporciona también la estimulación continua que el hueso necesita para mitigar la resorción que se produce en ausencia del diente natural6. Mantener la máxima estabilidad y volumen de hueso para la eventual restauración con implante ayuda a obtener un resultado que es a la vez funcional y estético. En cambio, la colocación tardía del implante puede resultar en tasas más altas de pérdida ósea7.
Además del efecto positivo que la sustitución inmediata del diente tiene en la anatomía del paciente y en la restauración final, esto hace que el paciente sea más propenso a aceptar el tratamiento debido a que requiere menos citas y tiene una alta probabilidad de dejar la consulta con un diente provisional. Este protocolo minimiza también el número de incisiones necesarias, lo cual apela al paciente y ayuda a evitar complicaciones en el tejido blando.
El siguiente caso, en el que se utiliza un implante cónico Hahn, demuestra que la carga y provisionalización inmediata produce un resultado predecible y altamente estético en el sector anterior. El caso describe las técnicas para lograr máxima estabilidad primaria, adecuado posicionamiento labial-lingual y un perfil de emergencia natural. Siguiendo estas pautas esenciales, los profesionales pueden abordar con confianza los retos de colocar implantes unitarios en la zona estética.
Caso clínico
Paciente femenino de 45 años que se presentó en la consulta con una restauración en que corona y poste se habían desprendido de la raíz del diente #8 (Fig. 1). Un endodoncista había evaluado el diente, afectado por caries recurrentes, y ofreció un pronóstico desfavorable para tratamiento endodóntico. La evaluación intraoral y radiográfica indicaba que la paciente era una excelente candidato para la extracción, carga y provisionalización inmediata (Fig. 2).
La paciente, que rechazó un puente convencional, aceptó un plan de tratamiento para la sustitución del diente después de que se le presentaran las opciones restaurativas. La paciente encontró este modo de tratamiento atractivo porque mantenía el tejido gingival y el hueso subyacente y ofrecía la posibilidad de provisionalización inmediata. Los incisivos superiores que rodeaban la pieza dentaria #8 también mostraban un deterioro significativo, y se convino que fueran restaurados con coronas convencionales después del tratamiento con un implante unitario en el espacio entre los dientes #7-10.
Se seleccionó un implante cónico Hahn para garantizar la máxima estabilidad inicial, facilitar la colocación hacia la cara vestibular del reborde alveolar y aumentar la probabilidad de provisionalización inmediata. El diseño de rosca del implante es lo suficientemente pronunciado para fijarse adecuadamente en el hueso del sitio de extracción, pero no tanto como para comprometer el hueso delgado durante la colocación, ni para que sea difícil de asentar completamente en un hueso más denso (Figs. 3a, 3b). El diseño cónico del implante proporciona flexibilidad para fijar el implante en la cantidad disponible de hueso y su cuello mecanizado facilita el mantenimiento de los tejidos blandos, lo cual es crucial en la zona anterior.
El diente se extrajo sin causar trauma en el sitio quirúrgico, lo cual es crucial en este tipo de casos, ya que la carga inmediata del implante está contraindicada si se compromete el periodonto (Figs. 4a, 4b). A continuación, se realizó la osteotomía del implante siguiendo un protocolo quirúrgico simplificado (Fig. 5). Se tuvo cuidado para crear una osteotomía que situara el implante aproximadamente a 1,5 mm de los dientes adyacentes y a 2 mm de la placa facial, con la plataforma de 2 mm por debajo de la línea amelocementaria (CEJ) adyacente (Fig. 6). Se colocó entonces un implante Hahn de rosca cónica de 5,0 x 11,5 mm y se fijo firmemente a la pared lingual del alveolo, lo que ayuda a mantener una posición que está a una distancia segura de la placa facial y es ideal para obtener un resultado protésico estético.
El implante obtuvo una excelente estabilidad primaria, lo que permitió la fabricación en el sillón y carga inmediata de una corona provisional atornillada. Se colocó y recortó un cilindro provisional a una altura que ayudara a mantener la corona provisional libre de oclusión (Fig. 7). Después, se fabricó la corona provisional conformando el material temporal Structur 2 SC (VOCO America; Indian Land, S.C., USA) sobre el cilindro recortado (Fig. 8). La corona temporal se fabricó con ligeros contactos interproximales y un borde incisal que mantuviera los provisionales aproximadamente a 1 mm de la oclusión con el fin de minimizar las fuerzas oclusales y laterales sobre el implante. A continuación, se colocó la restauración provisional para apoyar al tejido blando con un diente natural durante la cicatrización, lo que ayuda a contornear la encía para obtener un resultado ideal (Figs. 9a, 9b). La radiografía postoperatoria indicaba una excelente integración del implante con el hueso en el alveolo (Fig. 10).
A los tres meses, la paciente regresó para evaluar el progreso de la cicatrizción y la osteointegración. Se retiró el tornillo de retención provisional, revelando un excelente color y contorno gingival (Fig. 11). La provisionalización inmediata fue crucial para mantener un perfil de emergencia que imita a un diente natural. La estabilidad del implante era excelente y la paciente estaba lista para la fase restaurativa del tratamiento. Por lo tanto, se fijó una cofia de transferencia y se tomaron las impresiones finales (Fig. 12).
El laboratorio produjo las impresiones finales, que fueron escaneadas para que sirvieran de base para el pilar personalizado diseñado por CAD y la corona definitiva. Se fabricó un pilar personalizado de circonio con una base de titanio (Inclusive® Zirconia Custom Abutment), y la corona final se fresó a partir del material BruxZir® Anterior Solid Zirconia (Fig. 13). Esta combinación produce una estética ideal en la zona de la sonrisa, lo cual incluye translucidez incisal y apariencia de dentina subyacente. Después del fresado, se probaron en el modelo el pilar personalizado y la corona final para verificar los diseños protésicos (Figs. 14a, 14b).
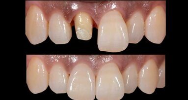
Después de recibir el caso del laboratorio, se citó a la paciente para la restauración final. El pilar personalizado se colocó con el torque que se indica en las especificaciones del fabricante (Figs. 15a, 15b). Los contornos del pilar personalizado diseñado digitalmente se ajustaban exactamente a los márgenes y forma de surco de la zona del implante (Figura 16). Por último, se probó y cementó la corona final, creando una restauración de aspecto natural que superó las expectativas de la paciente (Fig. 17).
Conclusión
La extracción y carga inmediata de implantes unitarios ofrece un protocolo predecible en la zona estética. El resultado restaurador puede mejorarse aún más con la provisionalización inmediata, que apoya y da forma a los contornos de la encía durante la preparación para la colocación de la corona final. Y como este enfoque reduce el número de citas y ofrece a los pacientes un resultado estético, los clínicos obtienen el beneficio adicional de tener más tiempo para ver a otros pacientes.
NOTA: El Dr. Patel dictará una conferencia en el Congreso Internacional de la Asociación Dental Méxicana, que se celebrará en Ciudad de México del 17 al 19 de noviembre. Más información en: congresoadm.mx.
Referencias
1. Noelken R, Neffe BA, Kunkel M, Wagner W. Maintenance of marginal bone support and soft tissue esthetics at immediately provisionalized OsseoSpeed implants placed into extraction sites: 2-year results. Clin Oral Implants Res. 2014 Feb;25(2):214-20.
2. Guarnieri R, Ceccherini A, Grande M. Single-tooth replacement in the anterior maxilla by means of immediate implantation and early loading: clinical and aesthetic results at 5 years. Clin Implant Dent Relat Res. 2015 Apr;17(2):314-26.
3. Qi Yi, Zhang J, Hasi BG, Sun Y, Zhu ZH, Wang RJ. [Clinical study of healing abutment on sealing socket and preservation of the gingival natural profile in single-tooth immediate implantation]. Zhonghua Kou Qiang Yi Xue Za Zhi. 2008 May;43(5):299-301.
4. Khzam N, Mattheos N, Roberts D, Bruce WL, Ivanovski S. Immediate placement and restoration of dental implants in the esthetic region: clinical case series. J Esthet Restor Dent. 2014 Sep-Oct;26(5):332-44.
5. Block MS, Mercante DE, Lirette D, Mohamed W, Ryser M, Castellon P. Prospective evaluation of immediate and delayed provisional single tooth restorations. J Oral Maxillofac Surg. 2009 Nov;67(11 Suppl):89-107.
6. Covani U, Cornelini R, Calvo JL, Tonelli P, Barone A. Bone remodeling around implants placed in fresh extraction sockets. Int J Periodontics Restorative Dent. 2010 Dec;30(6):601-7.
7. Tealdo T, Bevilacqua M, Menini M, Pera F, Ravera G, Drago C, Pera P. Immediate versus delayed loading of dental implants in edentulous maxillae: a 36-month prospective study. Int J Prosthodont. 2011 Jul-Aug;24(4):294-302.
embedImagecenter("Imagecenter_2_2424",2424,"small");
La colocación de implantes unitarios suele ser la restauración más sencilla en implantología oral, pero en el sector anterior ...
Durante tres días del 2 al 4 de diciembre, Barcelona Dental Show (BDS), este nuevo evento tecnológico y de innovación para los profesionales de la salud ...
El valor del mercado del sector dental en España se sitúa en los 800 millones de euros, según los datos preliminares del informe presentado por la ...
Tercera entrevista de la serie “Mujeres que están transformando la Odontología”, en la que Oliver Goetzendorff habla con María Fernanda Vélez, ...
El experto francés Edouard Lanoiselée muestra cómo realizar un análisis de color simple y completo con un espectrofotómetro, lo cual optimiza la ...
El experto francés Edouard Lanoiselée muestra cómo realizar un análisis de color simple y completo con un espectrofotómetro, lo cual optimiza la ...
Una paciente de 74 años que lleva una prótesis total desde hace muchos años se presenta pidiendo que le mejoren el aspecto ...
Una paciente de 74 años que lleva una prótesis total desde hace muchos años se presenta pidiendo que le mejoren el aspecto ...
La digitalización del sector dental es imparable y trae consigo además cambios de un enorme potencial. Muchos técnicos dentales y dentistas quieren ...
El protésico dental Chia Heng Chung explica que para que una corona anterior individual se integre armoniosamente en la estética dental es preciso ...
Webinars en vivo
mié. 29 de abril 2026
17:00 CST (Mexico City)
Dr. Renato Leonardo D.M.D.
Webinars en vivo
jue. 30 de abril 2026
11:00 CST (Mexico City)
Webinars en vivo
dom. 3 de mayo 2026
10:00 CST (Mexico City)
Dr. Rickard Brånemark MSc, MD, PhD, Dr. Robert Gottlander DDS
Webinars en vivo
dom. 3 de mayo 2026
18:00 CST (Mexico City)
Webinars en vivo
mar. 5 de mayo 2026
8:00 CST (Mexico City)
Webinars en vivo
mar. 5 de mayo 2026
10:00 CST (Mexico City)
Webinars en vivo
mar. 5 de mayo 2026
11:00 CST (Mexico City)
Dr. Maximilian Dobbertin M.Sc
To post a reply please login or register