El protésico dental Chia Heng Chung explica que para que una corona anterior individual se integre armoniosamente en la estética dental es preciso reproducir los rasgos característicos de los dientes adyacentes naturales.
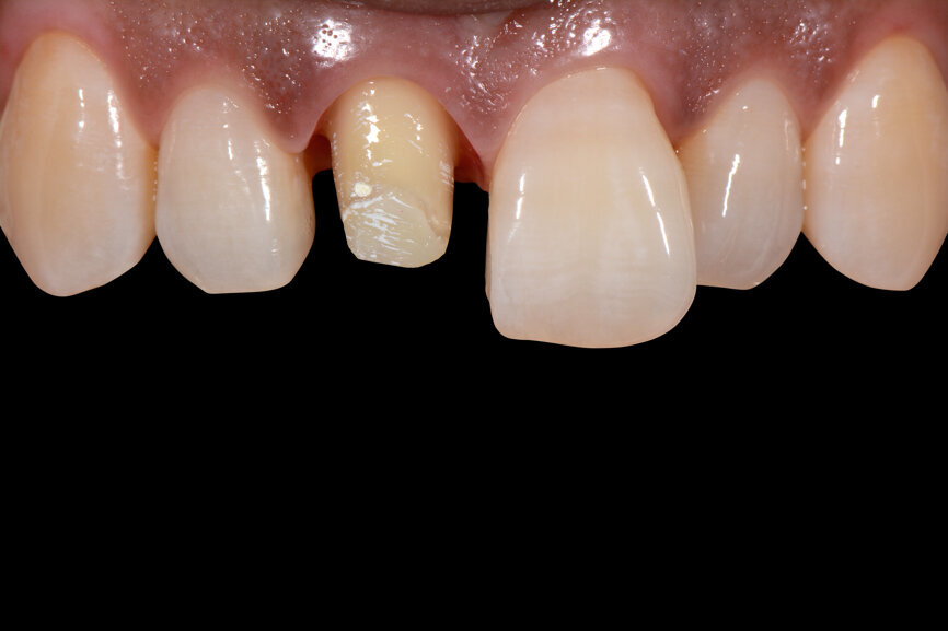
En el presente caso se rehabilitó con una corona el diente 11. El reto radicaba en replicar pronunciadas características individuales de la dentadura natural, tales como calcificaciones. El protésico dental Chia Heng Chung explica cómo consiguió un resultado natural utilizando la cerámica de recubrimiento VITA VM 9 (VITA Zahnfabrik, Bad Säckingen, Alemania).
Situación intraoral
Tras la obturación de una lesión cariosa avanzada en el diente 11, el tejido blando pulpar de una paciente de 37 años mostraba signos de una infección irreversible. Se llevó a cabo una endodoncia para evitar dolores y reabsorciones óseas. Tras esta terapia invasiva, se hizo necesario estabilizar funcionalmente el diente. A fin de posibilitar una restauración altamente estética y natural, se planificó una corona de dióxido de circonio de VITA YZ HT con un recubrimiento de VITA VM 9.
Determinación del color y confección de la estructura
La determinación del color dental mediante la guía Toothguide 3D-MASTER de VITA fue un paso decisivo para el éxito del recubrimiento de la corona. Como color base se determinó 2M1. Una fotografía en blanco y negro ayudó a seleccionar la claridad y la saturación cromática correctas. La preparación para una corona completa se llevó a cabo con un chamfer pronunciado, a fin de crear espacio para la restauración. Mediante la impresión se confeccionó un modelo maestro. Se modeló una estructura de cera en el diente 11 y a continuación se digitalizó mediante un escáner de laboratorio. La estructura de dióxido de circonio diseñada se fresó a partir de un bloque de VITA YZ HTwhite (VITA Zahnfabrik) y se sinterizó.
Recubrimiento
“Tras la primera cocción, el color y la claridad de base de la estructura recubierta deberían coincidir con el color dental determinado. Para ello, en este caso utilicé una combinación de VITA AKZENT Plus EFFECT STAINS y VITA VM 9 BASE DENTINE”, explica Chia Heng Chung refiriéndose al primer e importante paso. A su juicio, la claridad correcta representa un 60 por ciento del éxito. “Mediante la regulación de la intensidad y de la tonalidad cromáticas podemos alcanzar ya un 80 por ciento de la apariencia natural. El 20 por ciento restante depende de las aptitudes individuales del protésico”, comenta Chia Heng Chung.
Resultado del tratamiento
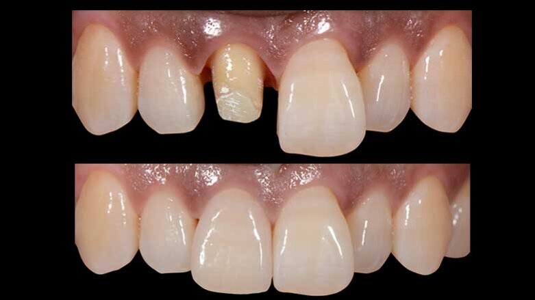
La restauración terminada se integra armoniosamente en la zona estética. La corona de cerámica sin metal presentaba un juego cromático y de luz natural. Gracias a la determinación exacta del color base del diente y a la cerámica de recubrimiento VITA VM 9 perfectamente armonizada con éste, fue posible llevar a cabo un procedimiento sencillo y estructurado. La paciente se mostró muy satisfecha con el resultado estético. Para Chia Heng Chung, el método CAD/CAM y la destreza artesanal se complementan mutuamente: “La sinergia de tecnología, arte y belleza es el factor clave para el éxito de las restauraciones de coronas y puentes de cerámica sin metal”.
Fig. 1, Antes: Preparación de corona completa en el diente 11 tras endodoncia.
Fig. 2. Color dental base reproducido con AKZENT PLUS ES15 por cervical, ES06 en los dos tercios superiores y BASE.
Fig. 3. Coincidencia perfecta entre la guía Toothguide 3D-MASTER de VITA y el color de la cofia.
Fig. 4. La fluorescencia cervical (rojiza/pardusca) se logró mediante EL3, y para un efecto incisal más claro se empleó EL1.
Fig. 5. Se estratificó CHROMA PLUS 2 para obtener una tonalidad cromática cálida y controlar la claridad.
Fig. 6. Estratificación de corona completa con DENTINE 2M1 antes del cut back.
Fig. 7. Se añadió puntualmente EE1 (blanquecino translúcido) para integrar líneas blancas finas.
Fig. 8. Restauración tras la primera cocción, seguida de la coloración interna para el control exacto del color.
Fig. 9. Efecto halo de EE2 y BASE DENTINE. Finalización mediante capas finas de ENL, END y WIN.
Fig. 10. La corona de cerámica sin metal terminada, sobre el modelo maestro tras la cocción de glaseado y el pulido.
Fig. 11. Después: La restauración final en el diente 11; la paciente se mostró satisfecha con el resultado altamente estético.
Nota: Este artículo fue publicado originalmente" en “das dental labor“ 08/2017, Neuer Merkur GmbH, Alemania
El Profesor Rony Joubert, experto en odontología estética y reconocido conferenciante internacional, y sus colegas, explican la restauración de un caso ...
El Profesor Rony Joubert, experto en odontología estética y reconocido conferenciante internacional, y sus colegas, explican la restauración de un caso ...
El director de un reconocido centro internacional de formación en implantología y rehabilitación oral reveló que el primer ciclo de cursos de 2018 se ...
La inesperada y renovada popularidad de la Rehabilitación Neurooclusal del Maestro Pedro Planas es la motivación de este artículo, en un momento donde ...
La odontología moderna ya no depende únicamente de la excelencia clínica.
Hoy, dirigir un consultorio rentable exige saber interpretar datos financieros,...
Decenas de miles de odontólogos, técnicos dentales y estudiantes recorrieron los stands comerciales de los principales distribuidores de la industria ...
Las camisetas y otras referencias al Campeonato Mundial de Fútbol fueron uno de los temas de la 82 Expo AMIC Dental. En la imagen, Enrique Edwards, Coordinador de recursos audiovisuales de UNAM, con su equipo. Fotos: Maritza de los Ríos
Decenas de miles de odontólogos, técnicos dentales y estudiantes recorrieron los stands comerciales de los principales distribuidores de la industria dental durante la 82ª edición de Expo AMIC Dental.
El cuarto día de la exposición demostró que la combinación de innovación tecnológica y actualización científica es la fórmula que ha consolidado este evento como uno de los principales encuentros dentales de América Latina, respaldado por una buena dosis de networking internacional.
Desde primeras horas de la mañana, los salones de la exposición mostraron una alta afluencia de asistentes interesados en conocer las nuevas soluciones clínicas y digitales presentadas por compañías nacionales e internacionales. La digitalización, la odontología mínimamente invasiva y la optimización de los flujos de trabajo clínicos siguen marcando las principales tendencias de esta edición de Expo AMIC Dental.
Así de concurridas estuvieron las presentaciones de GC, reconocida por productos como MI Paste con Recaldent.
Nadie se quiere perder el Simposio Internacional en Tokio de los 70 años de GC.
Tres representantes mexicanos de la compañía.
Soluciones digitales
Uno de los espacios más visitados fue el de W&H, donde la compañía realizó demostraciones continuas de su micromotor eléctrico para cirugía oral y mostró el módulo Implantmed Plus, tecnología enfocada en cirugía piezoeléctrica que ha despertado gran interés por su precisión y menor invasividad quirúrgica.
El poder está con ellos y con la línea Power Edition de piezas de mano de W&H.
También destacó la participación de la compañía japonesa GC, que mantuvo una intensa agenda de actividades y demostraciones como parte de las celebraciones internacionales por los 70 años de la compañía. La empresa continúa promoviendo el gran simposio internacional que celebrará en octubre en Tokio, considerado el evento científico más importante de su aniversario.
El stand de Dentsply Sirona fue uno de los polos de atracción de la exposición gracias a su amplio ecosistema digital. Los asistentes pudieron interactuar con soluciones como Primescan, CEREC y diversos sistemas de radiología digital y restauración, que reflejan el avance de los flujos digitales integrados en odontología.
Maritza de los Ríos, representante de Dental Tribune en México, con la camiseta de la selección mexicana.
La presencia de FGM también generó una importante respuesta entre los profesionales interesados en estética dental y blanqueamiento, especialmente por las nuevas alternativas clínicas orientadas a tratamientos conservadores y protocolos de alta eficiencia estética.
Por su parte, Ivoclar mantuvo una constante actividad en torno a sus soluciones restauradoras y sistemas cerámicos, reforzando la importancia de la estética y la precisión en rehabilitación oral contemporánea.
Empresas como Laboratorios Gayz, Uniseal y Toletek también aprovecharon la exposición para presentar novedades orientadas a optimizar procesos clínicos y de laboratorio, así como soluciones enfocadas en productividad y precisión.
La actividad comercial fue igualmente intensa en espacios como Depósito Dental Villa de Cortés y Equipos Dentales Villa de Cortés, donde numerosos odontólogos analizaron nuevas opciones de equipamiento y tecnología para modernizar sus clínicas.
Mientras tanto, el Congreso Nacional e Internacional de Odontología de la Universidad Nacional Autónoma de México continuó ofreciendo actividades académicas centradas en nuevas terapias interdisciplinarias.
Los equipos de Dentsply Sirona ya están listo para jugar sus partidos para la clasificación.
“Today”, lectura obligada en la expo
Uno de los fenómenos editoriales más visibles de la jornada fue nuevamente la distribución masiva de Today Expo AMIC Dental, el periódico oficial de exposiciones de Dental Tribune International, cuya edición tuvo una extraordinaria aceptación entre odontólogos y expositores.
La publicación se convirtió en uno de los materiales más consultados del evento gracias a la variedad y actualidad de sus contenidos editoriales, especialmente aquellos enfocados en las nuevas tecnologías que están transformando la odontología contemporánea.
Entre los artículos que generaron mayor interés destacó el análisis sobre la innovación tecnológica que se presenta en la exposición, donde se exploran los principales avances en digitalización, inteligencia artificial, impresión 3D y automatización clínica.
Otro de los contenidos más comentados fue el perfil dedicado a tres destacados líderes de la industria dental, un artículo que despertó gran interés por mostrar las estrategias, visión empresarial y trayectoria de figuras clave del sector odontológico internacional.
También tuvo una excelente recepción el reportaje con recomendaciones para adquirir tecnología dental, un tema especialmente relevante para odontólogos interesados en invertir de manera eficiente en equipos digitales y sistemas clínicos de última generación.
Los automóviles se rifan entre los compradores en la feria, pero nuestras revistas se regalan.
La felicidad de tener las maletas llenas de productos dentales no tiene precio.
Nuevas tendencias
La Medicina Dental del Sueño fue igualmente protagonista en las páginas de Today, mediante un artículo que explora esta nueva vía terapéutica para odontólogos y el creciente papel de la odontología en el diagnóstico y manejo de trastornos respiratorios del sueño.
En el ámbito estético, llamó especialmente la atención el artículo sobre la nueva estrategia de blanqueamiento dental aplicada durante tratamientos de ortodoncia, un enfoque que combina estética y funcionalidad para responder a las demandas de pacientes cada vez más orientados hacia resultados inmediatos.
Otro de los temas con gran impacto fue la presentación del nuevo ecosistema digital desarrollado por Alliedstar y SprintRay para realizar restauraciones chairside mediante la integración de escáner intraoral e impresión 3D. El artículo despertó gran interés entre clínicos interesados en acelerar tratamientos y optimizar flujos digitales.
La entrada a la exposición cuenta ahora con murales y esculturas alusivas a la odontología.
La representante de Dental Tribune, Maritza de los Ríos, en el stand de la editorial desde donde sale toda la magia de nuestras publicaciones.
Asimismo, los asistentes mostraron gran interés por los artículos orientados a la gestión clínica y relación con pacientes, especialmente el dedicado a las estrategias para manejar pacientes conflictivos en la consulta dental, así como el reportaje sobre los programas de posgrado ofrecidos por la Universidad La Salle del Bajío.
Finalmente, uno de los textos más comentados de la edición fue el relacionado con la necesidad de valorar adecuadamente el trabajo del odontólogo y fortalecer el reconocimiento profesional dentro de un entorno cada vez más competitivo.
La intensa actividad científica, comercial y editorial en el cuarto día de Expo AMIC Dental 2026 confirmó nuevamente la capacidad del evento para reunir innovación, educación y debate profesional en un mismo escenario.
Ver más artículos sobre 82 edición de Expo AMIC Dental:
La odontología moderna ya no depende únicamente de la excelencia clínica.
Hoy, dirigir un consultorio rentable exige saber interpretar datos financieros,...
El tercer día de la 82ª edición de Expo AMIC Dental confirmó el enorme dinamismo de la industria odontológica en México, con pasillos llenos, intensa ...
To post a reply please login or register