Search Dental Tribune

Rehabilitación bucal estética con asistencia de ortodoncia

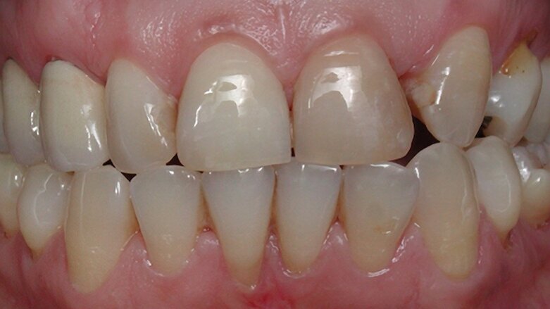
Fig 1. Caso clínico con compromiso estético. Ausencia del diente lateral izquierdo y pérdida del espacio. Mordida borde a borde.

jue. 13 junio 2019

guardar

El Profesor Rony Joubert, experto en odontología estética y reconocido conferenciante internacional, y sus colegas, explican la restauración de un caso clínico con compromiso estético, manifestado por la ausencia del diente lateral izquierdo y pérdida del espacio.

  DESDE SANTO DOMINGO  

La pérdida prematura de piezas dentarias genera la movilización de los dientes vecinos, así como la alteración de los tejidos gingivales de la zona en cuestión, perdiéndose aveces los contornos adecuados de la encía y hasta la morfología de las papilas interproximales. En ocasiones, hasta llega a desaparecer totalmente el triángulo de tejido blando.

Cuando los espacios se han modificado por la pérdida de dientes, lo correcto es acudir a la ortodoncia y alinear adecuada y tridimensionalmente los dientes en la arcada, para de esta forma establecer los adecuados diámetros mesiodistales de las zonas edentulas, así como poder ubicar allí dientes artificiales con proporciones y formas adecuadas.

Debemos recordar que de cada 4 pacientes, 3 de ellos presenta coincidencia entre la forma de la cara y la del incisivo central superior, pero de manera invertida.

Fig. 2. Tratamiento ortodóntico para ganar el espacio perdido y descruzar la mordida en anterior.Adecuado manejo gingival.

La composición estética del sector anterior de la boca demanda de planos de referencias paralelos entre sí y que corten a 90 grados con la línea media superior interdentaria, la cual debe de ser francamente vertical.

El plano incisal frontal debe de ser paralelo, no solo al bipupilar, sino también al gingival y papilar, y todos estos deben cortar en ángulo recto a la línea media interdental superior. Esa línea media superior, que no tiene necesariamente que coincidir con la inferior, debe de ser francamente vertical, tolerando un desplazamiento lateral de hasta 3 mms en ambos sentidos antes de que el ojo registre “la alteración”. Si la línea media superior no fuera totalmente vertical, nuestra vista registraría la “anormalidad” solo con medio mm de desplazamiento lateral de ésta.

Los dientes anteriores deben de estar posicionados y ubicados correctamente en el arco maxilar y guardar proporciones adecuadas entre ellos y sus vecinos. En líneas generales, el incisivo central superior es quien domina el escenario de la sonrisa, ya que es un diente grande y plano (por lo que refleja mucha luz), amén de que es el que está más cerca del observador.

Fig. 3. Modelo de trabajo donde vemos las correctas preparaciones dentarias para prótesis metal-cerámicas con márgenes libres de metal.

Este diente, el central, en condiciones ideales es más alto que ancho en una relación 7-8 a 10. Vale decir que, el ancho mesiodistal del central, es el 70-80% de su alto. Por su parte, el incisivo lateral y el canino, evaluados frontalmente, serán solo el 60% en diámetro de quien les precede. El diámetro mesiodistal del lateral solo es el 60% del central, y la vertiente mesial del canino solo será el 60% del ancho del lateral. El borde incisal del lateral será 0.5 mms más corto que el del central, y el canino alcanzará la misma altura que el central con respecto al plano oclusal. Este escalón generado entre los bordes incisales de los incisivos centrales y laterales produce el conocido efecto visual de “Ala quebrada de Gaviota”.

Cuando el biotipo gingival es fino o tenemos duda, el cierre vestibular de la restauración debe ser sin metal, vale decir, hacer restauraciones métalo cerámicas con margen libre de metal (hombro cerámico) o utilizar infra-estructuras protésicas en cerámica vítrea de disilicato de litio o en cerámica de óxido de zircornia.

El establecimiento de los puntos de contactos interdentarios a unos 5 mms del margen óseo permitirá la presencia de papilas o la aparición de ésta, evitando así las troneras oscuras tan desagradables.

Fig. 4. Restauraciones metal-cerámicas con aleación dental al 2% de oro y porcelana feldespática de cobertura. Cierre vestibular libre de metal.

_____________________________________________________________________________

* El Prof. Dr. Rony Joubert es un experto en rehabilitación bucal e implantes y conferencista internacional que ejerce en Santo Domingo, República Dominicana. El Dr. Valera es endodoncista y el Dr. Rodríguez ortodoncista.

 

 

 

 

 

La impresión 3D transforma la práctica odontológica

Arturo Arciniega destaca que la impresión 3D permite mejorar la precisión de las restauraciones en rehabilitación oral. Fotos: Cortesía del autor

jue. 23 abril 2026

guardar

La odontología vive una transformación profunda impulsada por la digitalización. Tecnologías como el escaneo intraoral, el diseño CAD y la impresión 3D están redefiniendo la forma en que los clínicos planifican, ejecutan y comunican sus tratamientos.

El Dr. Arturo Arciniega Valverde, especialista en rehabilitación oral, implantología y estética, analiza en este artículo cómo estos avances permiten ofrecer una odontología más precisa, eficiente y personalizada.

La incorporación de flujos de trabajo digitales completos ya no es una tendencia, sino una realidad en expansión. En la práctica clínica diaria, estas herramientas permiten optimizar procesos que antes dependían de múltiples pasos analógicos, reduciendo tiempos y mejorando la predictibilidad de los resultados.

“La odontología digital no es una tendencia, es una evolución natural de la profesión”, afirma el Dr. Arciniega.

 

Con más de quince años de experiencia, el Dr. Arciniega ha integrado la tecnología digital en todas las áreas de su consulta. Desde el escaneo intraoral hasta la fabricación mediante impresión 3D, su enfoque se basa en la creación de flujos de trabajo digitales que mejoran la eficiencia y la personalización de los tratamientos.

 

La impresión 3D en la consulta

Uno de los pilares de esta transformación es la impresión 3D, que permite fabricar dispositivos como guías quirúrgicas, restauraciones provisionales o guardas oclusales de forma rápida y precisa en la propia consulta o clínica. Esta tecnología no solo optimiza el trabajo clínico, sino que también mejora la comunicación con el paciente al facilitar la visualización de los resultados.

En el Dental Summit CoLife 2026, donde será uno de los conferenciantes, el tema de la plática del Dr. Arciniega abordará la integración de la impresión 3D en el flujo clínico diario, particularmente en rehabilitación estética y restauradora.

 

El experto presentará casos clínicos de aplicación diaria, sobre fabricación de guías quirúrgicas, guardas oclusales, restauraciones provisionales y planificación estética.

 

“La presentación se centra en cómo la tecnología digital —escaneo intraoral, diseño CAD y fabricación mediante impresión 3D— permite optimizar procesos clínicos, reducir tiempos de tratamiento y mejorar la precisión en múltiples procedimientos”, explica el experto mexicano.

“También discutiré casos clínicos donde esta tecnología se aplica en la práctica diaria, como guías quirúrgicas para implantes, guardas oclusales, restauraciones provisionales y planificación estética”, agrega.

La tecnología digital facilita tratamientos más eficientes, personalizados y predecibles para los pacientes.

 

La precisión es otro de los grandes beneficios de la odontología digital. La captura de datos tridimensionales con alta exactitud mejora la adaptación de restauraciones y dispositivos, reduciendo errores y aumentando la calidad final de los tratamientos.

Además, la digitalización permite una mayor eficiencia en los tiempos de tratamiento. Muchos procedimientos pueden realizarse en menos citas, lo que beneficia tanto al clínico como al paciente.

La inteligencia artificial comienza a desempeñar un papel relevante. Herramientas basadas en IA ayudan a analizar imágenes diagnósticas, automatizar el diseño de restauraciones y optimizar la planificación implantológica.

 

Mejorar resultados

Aunque estas tecnologías no sustituyen al profesional, sí potencian su criterio clínico, permitiendo tomar decisiones más informadas y mejorar los resultados terapéuticos.

El crecimiento de la odontología digital es especialmente notable en países como México, donde cada vez más clínicas adoptan estas tecnologías para responder a la demanda de tratamientos más estéticos y personalizados.

A pesar de los avances, el Dr. Arciniega insiste en que la clave está en la integración progresiva de estas herramientas, comenzando por aplicaciones prácticas que permitan a los profesionales adaptarse de forma gradual al flujo de trabajo de la odontología digital.

“Mi interés es compartir cómo estas herramientas pueden integrarse de manera práctica en la consulta diaria, no solo en grandes centros o laboratorios, sino también en clínicas privadas”, concluyó el Dr. Arciniega.

___________________________________________________________________________________________________________________________________

El Dental Summit CoLife 2026 se celebrará en Barranquilla, Colombia del 21 al 23 de mayo en el Centro de Convenciones Comfamiliar.

___________________________________________________________________________________________________________________________________

 

 

ARTICULOS RELACIONADOS

_______________________________________________________________________________________________________________________________

DENTAL SUMMIT COLIFE 2026 

La impresión 3D transforma la práctica odontológica

Arturo Arciniega

_______________________________________________________________________________________________________________________________

DENTAL SUMMIT COLIFE 2026 

El camino hacia la pasividad perfecta en implantología

Marinelly Mendes

_______________________________________________________________________________________________________________________________

DENTAL SUMMIT COLIFE 2026

“La odontología digital potencia nuestro criterio clínico”

Alvaro Reuter

_______________________________________________________________________________________________________________________________

DENTAL SUMMIT COLIFE 2026 

Promover la salud oral para reducir la necesidad de restauraciones

Eraldo Pesaressi

_______________________________________________________________________________________________________________________________

DENTAL SUMMIT COLIFE 2026

La odontología digital es el nuevo standard clínico

Ahmad Al-Hassiny 

_______________________________________________________________________________________________________________________________

 

 

ARTICULOS RECOMENDADOS

_______________________________________________________________________________________________________________________________

EXPODENTAL MADRID

La robótica, nueva frontera en cirugía implantológica

Javier de Pisón

VER MAS

_______________________________________________________________________________________________________________________________

EXPODENTAL MADRID

El imparable ímpetu de Expodental Madrid

Javier de Pisón 

VER MAS

_______________________________________________________________________________________________________________________________

EXPODENTAL MADRID

Factores esenciales para adquirir un escáner intraoral 

Enrique Jadad 

VER MAS

_______________________________________________________________________________________________________________________________

REPORTAJE, PARTE 1

"Todo sistema que no tenga medición no es fotogrametría"

Javier de Pisón

VER MAS

_______________________________________________________________________________________________________________________________

REHABILITACION & IMPLANTOLOGIA ORAL

Relevancia de la fotogrametría en casos All-on-X

Enrique Jadad 

VER MAS

_______________________________________________________________________________________________________________________________

REVISION

Los dientes, guardianes silenciosos de nuestra salud

D. Suárez Quintanilla

VER MAS

_______________________________________________________________________________________________________________________________

GESTION DE LA CLINICA

Cómo fijar precios en Odontología 

Juan Carlos Mejía

VER MAS

_______________________________________________________________________________________________________________________________

FORMACION - EDICION ESPECIAL

Nuevas tecnologías en las clínicas universitarias

Varios autores

VER MAS

_______________________________________________________________________________________________________________________________

CIRUGIA ORAL

Todo lo que necesita saber sobre Cirugía Piezoeléctrica

José Rosas Díaz

VER MAS

_______________________________________________________________________________________________________________________________

ESTETICA

La belleza dental a través de la historia 

Javier de Pisón

VER MAS

_______________________________________________________________________________________________________________________________

 

 

 

 

 

 

 

 

 

Temas:
To post a reply please login or register
advertisement