La ausencia de los incisivos laterales superiores crea un problema funcional y estético que puede ser manejado con diferentes modalidades de tratamiento.
Presentación del caso
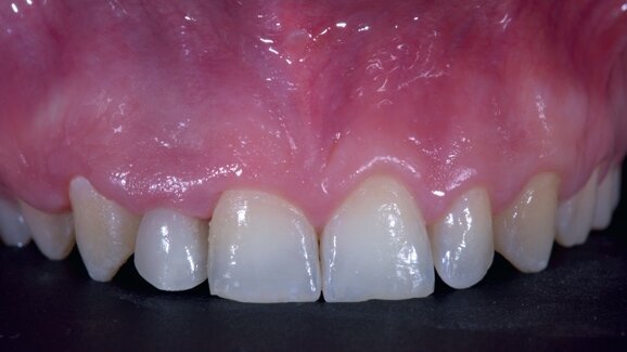
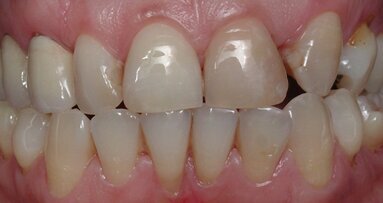
El presente caso ilustra un enfoque interdisciplinario de la ortodoncia y la odontología restauradora para tratar el caso de una mujer caucásica de 24 años con agenesia del incisivo lateral derecho superior, presencia del canino derecho superior en lugar del incisivo lateral, microdoncia del incisivo lateral izquierdo superior y desviación de la línea media. El tratamiento incluyó la apertura del espacio y la colocación de un implante de 3 mm que soporta una corona de una sola unidad, colocada mediante cirugía guiada por plantillas asistida por computadora.
Conclusión
La rehabilitación interdisciplinaria integral con la filosofía CRANIO fue eficaz para restaurar exitosamente la función y la estética en una joven paciente afectada por la ausencia congénita de un incisivo lateral maxilar.
Nota editorial: El artículo completo se publicó en el número 1/2017 del Journal of Oral Science and Rehabilitation, al que se puede acceder de forma gratuita en www.dtscience.com.
El Dr. Guillermo Cagnone, subsecretario de postgrado y profesor en la Facultad de Odontología de la Universidad de Buenos Aires (Argentina), ...
El autor presenta el caso clínico de una paciente de edad avanzada con problemas de salud sistémicos a la que se le realizó una rehabilitación fija del ...
El Profesor Rony Joubert, experto en odontología estética y reconocido conferenciante internacional, y sus colegas, explican la restauración de un caso ...
El Profesor Rony Joubert, experto en odontología estética y reconocido conferenciante internacional, y sus colegas, explican la restauración de un caso ...
La colocación de implantes unitarios suele ser la restauración más sencilla en implantología oral, pero en el sector anterior ...
La colocación de implantes unitarios suele ser la restauración más sencilla en implantología oral, pero en el sector anterior ...
El director de un reconocido centro internacional de formación en implantología y rehabilitación oral reveló que el primer ciclo de cursos de 2018 se ...
La odontología estética ha evolucionado hacia un enfoque integral que combina función, biología y estética en un mismo plan terapéutico. En este ...
La Escuela Superior de Implantología de Barcelona (ESI Barcelona), en asociación con su filial en Bolivia (ESI Bolivia), ofrece una amplia ...
La Clínica Universitaria de la Escuela Superior de Implantología y Rehabilitación Oral (Esiro) anuncia una nueva serie de cursos personalizados para ...
Webinars en vivo
mar. 19 de mayo 2026
9:00 CST (Mexico City)
Webinars en vivo
mar. 19 de mayo 2026
11:00 CST (Mexico City)
Prof. Dr. med. dent. Ivo Krejci
Webinars en vivo
mié. 20 de mayo 2026
5:00 CST (Mexico City)
Dr. Graham Carmichael BDSc (Hons), DClinDent (Pros), FRACDS, Dr. Robert Gottlander DDS
Webinars en vivo
mié. 20 de mayo 2026
7:00 CST (Mexico City)
Webinars en vivo
mié. 20 de mayo 2026
9:00 CST (Mexico City)
Webinars en vivo
mié. 20 de mayo 2026
11:00 CST (Mexico City)
Prof. Dr. med. dent. Tim Joda PhD, MSc, eMBA
Webinars en vivo
jue. 21 de mayo 2026
10:00 CST (Mexico City)
Dr. Leonardo Muniz DDS, MSC
To post a reply please login or register