La restauración protésica de los incisivos superiores constituye una tarea exigente para el odontólogo y el protésico dental. En el siguiente caso clínico, el Dr. David Jäger, el Dr. Martin Hammer y Carmen Scheibling, protésica dental, explican cómo trataron conjuntamente paso a paso una situación clínicamente compleja con una cerámica de feldespato elaborada mediante CAD/CAM.
Caso clínico
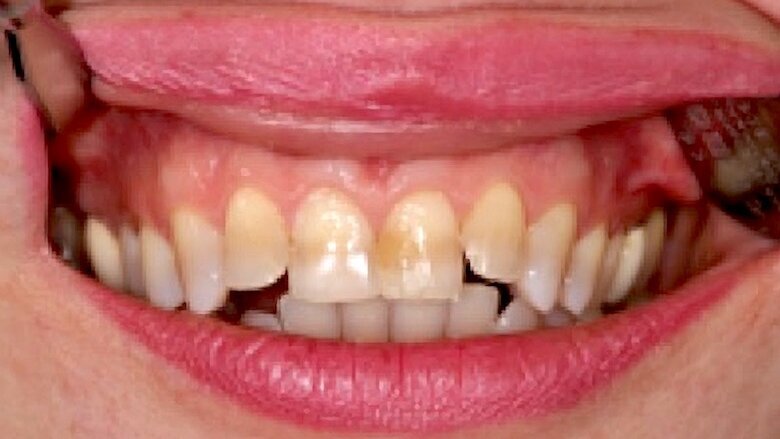
Una paciente acudió a la clínica dental con tinciones masivas, causadas por la administración de tetraciclinas durante su infancia. La inclinación de los dientes 11 y 21 hacia palatino agravaba el malestar de la paciente de 38 años, quien deseaba una solución eficaz y rápida capaz de satisfacer sus expectativas estéticas sin tratamiento ortodóntico previo. Por consiguiente, los odontólogos, la protésica y la paciente se decidieron por un flujo de trabajo digital con la cerámica de feldespato VITA TriLuxe forte (VITA Zahnfabrik, Bad Säckingen, Alemania). Gracias a su transición cromática integrada, el material posibilita una estética natural en la zona de los dientes anteriores.
Fase de mock-up
A partir de modelos de estudio se creó un encerado que se utilizó para debatir con la paciente el objetivo del tratamiento. Mediante una llave de silicona y composite se confeccionaron en el laboratorio mock-ups análogos. En el proceso se modificaron no solo los incisivos centrales fuertemente manchados, sino también la longitud y los recorridos de los bordes incisales de los dientes 12 y 22. "Durante la prueba en boca, la paciente se convenció rápidamente del resultado potencialmente positivo, así que se decidió por la colocación de cuatro carillas", explica la protésica dental Carmen Scheibling, refiriéndose a la sesión de planificación final. A continuación se procedió a la preparación mínimamente invasiva y a la toma de impresión.
REFERENCIAS
Ver todas las fotos y referencias de este caso clínico en la edición digital de Dental Tribune
Ver este caso clínico en formato pdf.
Los nuevos materiales y avances tecnológicos han permitido un renacimiento de las carillas prefabricadas de resina compuesta para la ...
Los nuevos materiales y avances tecnológicos han permitido un renacimiento de las carillas prefabricadas de resina compuesta para la ...
La interacción de la dentina y el esmalte determina las características cromáticas de las diferentes regiones del diente. En la ...
El desarrollo de tecnologías como el CAD/CAM (Diseño y Fabricación por Computadora) surge para mejorar y facilitar el trabajo diario en...
La Clínica Universitaria de la Escuela Superior de Implantología y Rehabilitación Oral (Esiro) anuncia una nueva serie de cursos personalizados para ...
Este nuevo flujo de trabajo digital integrado para dentaduras ofrece precisión, consistencia y resultados premium.
El autor describe paso a paso la restauración mediante corona sobre pilar de un caso en el que se utilizaron supraconstrucciones para absorber las fuerzas ...
El Dr. Andreas Klar, presidente de RK, empresa fabricante de avanzadas cámaras intraorales y sistemas CAD/CAM, habló con Dental Tribune en la ...
El Dr. Paresh B. Patel, instructor clínico en el Instituto de Odontología Reconstructiva de Michigan (USA) y autor de numerosos ...
La tecnología CAD/CAM ha progresado a un ritmo asombroso, lo que actualmente nos permite colocar una corona de cerámica o un puente en una ...
Webinars en vivo
mar. 19 de mayo 2026
9:00 CST (Mexico City)
Webinars en vivo
mar. 19 de mayo 2026
11:00 CST (Mexico City)
Prof. Dr. med. dent. Ivo Krejci
Webinars en vivo
mié. 20 de mayo 2026
5:00 CST (Mexico City)
Dr. Graham Carmichael BDSc (Hons), DClinDent (Pros), FRACDS, Dr. Robert Gottlander DDS
Webinars en vivo
mié. 20 de mayo 2026
7:00 CST (Mexico City)
Webinars en vivo
mié. 20 de mayo 2026
9:00 CST (Mexico City)
Webinars en vivo
mié. 20 de mayo 2026
11:00 CST (Mexico City)
Prof. Dr. med. dent. Tim Joda PhD, MSc, eMBA
Webinars en vivo
jue. 21 de mayo 2026
10:00 CST (Mexico City)
Dr. Leonardo Muniz DDS, MSC