La tecnología CAD/CAM ha progresado a un ritmo asombroso, lo que actualmente nos permite colocar una corona de cerámica o un puente en una sola visita, como se explica en este caso clínico.
Este caso demuestra un procedimiento que permite el tratamiento de un paciente a quien se le ha extraído o ha perdido un diente. En una sola visita, puede colocársele un implante mientras espera que se fabrique una guía de implante a medida. Es más, en la misma visita se puede realizar el modelo del pilar individual o la colocación de un pilar de titanio con una corona temporal o una corona permanente de cerámica, dependiendo del diagnóstico.
La guía del implante que se fabrica mientras el paciente espera (CEREC Guide, Sirona) acelera increíblemente el proceso debido a la precisión de la ubicación planificada con un escáner digital 3D de tomografía computarizada de haz cónico (CBCT) utilizando el software de visualización GALAXIS y GALILEOS (Sirona).
Por otra parte, permite también colocar implantes utilizando la técnica sin colgajo. La fabricación inmediata y el uso de la guía de implantes es aún más importante después de la extracción de dientes con múltiples raíces, donde la colocación manual de implantes es extremadamente difícil o casi imposible.
Además de la Guía CEREC, podemos ordenar la CLASSICGUIDE (SICAT), hecha en base a un impresión convencional, u OPTIGUIDE (SICAT), un stent que se fabrica sin placas de mordida ni impresiones, y que requiere sólo una tomografía digital de la boca del paciente con CEREC AC (Sirona) y un escán con CBCT de la mandíbula del paciente (utilizando GALILEOS u ORTHOPHOS XG 3D). De las tres guías que se pueden utilizar —una fresa piloto, "sleve on sleve" o stents totalmente guiados—, solo la Guía CEREC puede fabricarse en la clínica. La Guía de CEREC se utilizó en el siguiente caso clínico.
Caso clínico
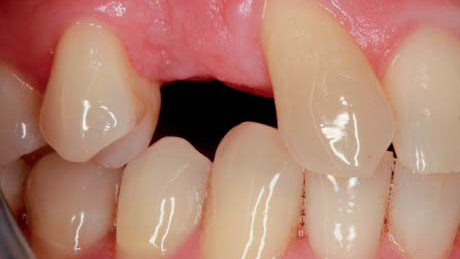
Paciente masculino de 55 años de edad, que rechazó un tratamiento ortodóntico para corregir la posición de la pieza 13 y ganar espacio para reemplazar el diente 12. El paciente había estado masticando con el diente primario 53, que se extrajo 14 días antes de colcar el implante. La Figura 1 muestra la brecha después de extracción del diente 53. El diente 12 estaba ausente y el 13 se había trasladado hacia mesial ocupando su espacio (Fig. 2). En general, el paciente estaba sano y no tenía ninguna enfermedad hereditaria.
Figura 1.
Figura 2.
Figura 3.
Figura 4.
Comenzamos la tratamiento tomando una impresión convencional de la mandíbula, teniendo en cuenta que íbamos a colocar un implante para reemplazar el diente ausente. Utilizamos yeso de secado rápido que se adapta bien para fabricar el modelo de yeso (Fig. 3). Colocamos un cuerpo de referencia en la ubicación del implante previsto en el modelo de yeso para determinar el tamaño correcto (hay tres tamaños: pequeño, mediano y grande).
El cuerpo de referencia debe apoyarse contra el lado de diente y llenar el mayor área vacía, pero no debe quedar atrapado entre la dientes adyacentes durante la colocación. Una vez que se determina el tamaño óptimo, mojamos el modelo de yeso con agua y aplicamos el material del stent termoplástico suavizado con agua tibia para cubrir idealmente de uno a dos dientes adyacentes a cada lado. El compuesto de stent adecuadamente calentado parece ser vítreo/transparente, el cual por su transparencia indica también el intervalo de plasticidad. Una vez que el color cambia a opaco, comienza a fijarse. Si bien el compuesto del stent estaba todavía cálido y se había adaptado al modelo de yeso, insertamos el cuerpo de referencia (tamaño medio en este caso; Fig. 4).
Cuando el material termoplástico está todavía claro, es posible observar y corregir la relación del cuerpo de referencia con el espacio edéntulo. Se pueden realizar correcciones hasta que el material se vuelve opaco. Los cortes en la parte inferior del modelo de yeso pueden bloquearse antes de usarse, por ejemplo, un composite (pero no cera) para permitir un desprendimiento más fácil del material termoplástico del stent con el cuerpo de referencia del modelo. Yo personalmente no bloqueo los cortes inferiores para asegurar que la adaptación sea lo más exacto posible. Incluso en la prueba posterior en boca del paciente se debe oír el sonido característico de un chasquido.
Una vez satisfecho con la colocación y retención del stent del cuerpo de referencia en boca, escaneamos al paciente con CBCT utilizando el software GALILEOS o ORTHOPHOS XG 3D. Hay que asegurarse de que la gran porción que contiene las caras del cuerpo de referencia estén en posición oral como se muestra en la Figura 4 y no bucal en el ORTHOPHOS XG 3D, ya que existe la tendencia a cortar esta parte en el campo de vista de 8x8 cms. Mientras esperamos que la imagen se cargue en la PC, escaneamos el diseño del espacio de implante en el modelo utilizando un escáner intraoral (CEREC CA) y después el software de modelo de la corona propuesta, con la forma, el tamaño y la ubicación adecuadas de la futura posición del implante.
Figura 5.
Figura 6.
Una vez que el escaneado por CBCT ha cargado, comenzamos la planificación del implante con el software GALAXIS. El primer paso es insertar la corona CEREC propuesta y exportarla en formato *ssi porque es el único formato que el software GALAXIS reconoce (Fig. 5). La colocación exacta de la corona propuesta de CAD/CAM en el escaneado por CBCT permitirá una precisa lectura de los márgenes entre tejidos duros y blandos (Figs. 6-8) y la colocación de implante digital bajo la corona, de forma que sea posible la conexión futura del implante con la corona usando un pilar (Fig. 9).
Una vez que el implante digital se importó a GALAXIS, se hizo evidente la necesidad de utilizar la Guía CEREC (u otra guía quirúrgica) debido a un dramático estrechamiento apical cónico de las raíces de los dientes adyacentes 14 y 13 en el espacio previsto para el implante (Fig. 10). Debido a la falta de espacio entre estas raíces, se optó por un implante de 3,3/8 mm (SwishPlus, Implant Direct). Después de la colocación digital del implante, seleccionamos continuar y editar el "sleeve system". Cuando se selecciona esta opción aparece un nueva casilla llamada "organismo de referencia". En esta pantalla, marcamos los puntos de fresado con el nivel debajo de la imagen y lo movemos hasta que las marcas de alineación sean tan redondas y claras como sea posible. Por último, hacemos doble clic en los tres puntos más claros, tras lo cual el software busca automáticamente y determina la puntos restantes (Fig. 11). A continuación, confirmamos que los puntos encontrados y la referencia del cuerpo aparecen en imágenes en 2-D y 3-D (Fig. 12). Con el fin de visualizar mejor la interacción de la ruta de navegación y de perforación del cuerpo con el implante, la ruta final de navegación y de la fresa piloto deben estar activadas en 2-D (Fig. 13). El cuerpo de referencia debe ajustarse exactamente dentro de la trayectoria de perforación para ser fresado.
La parte más importante de la fabricación de la Guía CEREC es establer el valor 2D. El valor 2D, también conocido como longitud de detención del fresado, es la distancia desde el ápice del implante a la parte superior de la guía. Si medimos la longitud de la fresa desde la punta a su punto de dentención, el valor 2D será la longitud menos 1 mm, que es el grosor del mango de la guía del implante. En nuestro caso, para el implante de 8 mm utilizado, este valor fue de 23 mm (la fresa de 24 mm menos 1 mm del mango). El valor 1D cambia con el 2D de forma automática (Fig. 14).
Figura 7.
Figura 8.
Figura 9.
Figura 10.
Después, exportamos estos datos de vuelta a la unidad de impresión óptica CEREC AC como un archivo *.cmg o *.DXD. Una vez abierto el archivo correcto con el CEREC Software 4.xx, la propuesta de fresado del cuerpo aparece en la vista de fresado previa (Fig. 15). Ahora podemos colocar el tamaño apropiado de bloque (en nuestro caso, era "M") en la unidad de fresado (MCXL en inLab MC XL, Sirona) y seleccionamos "fresar".
El tiempo de fresado es aproximadamente de 12 a 16 minutos (Fig. 16). Rompemos el cuerpo de la broca fuera del bloque y removemos cuidadosamente.
A continuación, sacamos el organismo de referencia del stent termoplástico y, con un bisturí o fresa a muy baja velocidad, cortamos una capa delgada del material termoplástico de la parte inferior de la guía para permitir que la fresa pase a través de la guía. Cuando se rompe el cuerpo de la broca en el stent termoplástico, es importante asegurarse de que se inserta el cuerpo de la broca con la orientación vestíbulo-bucal correcta (Fig. 17).
Sirona tiene mangos de guías específicos para cada tamaño de bloque (pequeños, medianos y grandes) y para varios kits quirúrgicos. En este caso, utilizamos los mangos de Straumann para el siguiente paso porque son compatibles con el implante de Implant Direct utilizado.
Cirugía
Comenzamos anestesiando el tejido alrededor el área de trabajo y colocando la Guía CEREC, limpia y desinfectada, en boca, tras lo cual evaluamos el ajuste. La guía debe sentirse segura y no moverse sobre los dientes. Usando la técnica del colgajo, comenzamos perforando el tejido (Fig. 18). Luego retiramos la guía y separamos y retiramos fácilmente el tejido perforado (Fig. 19). Colocamos la Guía CEREC en su posición y continuamos perforando y colocando señales de guía.
Usando el kit de guía de Straumann (Sirona CEREC Guide Drill Key Set ST), empezamos con el asa M 2.2 y la fresa de 2,2 mm (Fig. 20), seguida del asa M 2,8 y la fresa de 2,8 mm (Fig. 21). Finalmente, removimos la Guía de CEREC e insertamos el implante SwishPlus de 3,3/8 mm sin la guía, es decir, manualmente (Fig. 22).
Temporales
Colocamos un pilar sólido (Implante Direct; Figura 23) en la parte interna del implante y cubrimos el hueco del tornillo con teflón. Inmediatamente después se realizó un escaneo intraoral. Como no se puede utilizar polvo en el margen de los tejidos blandos sin cicatrizar, usamos la nueva cámara CEREC OmniCam sin polvo. A continuación, seguimos los pasos indicados por el programa CERECSoftware 4.xx (Fig. 24) para fresar la corona temporal de un bloque de LAVA Ultimate (3M ESPE; Figs. 25 y 26). Si bien la odontología no es tan rápida como la Fórmula Uno, el paciente quedó muy satisfecho con los 115 minutos que duró todo el tratamiento.
Figura 11.
Figura 12.
Figura 13.
Figura 14.
Figura 15.
Figura 16.
Figura 17.
Figura 18.
Figura 19.
Figura 20.
Figura 21.
Figura 22.
Figura 23.
Figura 24.
Figura 25.
Figura 26.
Conclusión
Este caso explica el flujo de trabajo y la fabricación de guías CEREC. Invitamos a los interesados en este tipo de procedimientos a visitar nuestro centro de formación, donde se pueden ver cirugías de pacientes en vivo y participar en un curso de demostración práctica.
Nota importante: Si no puede crear un modelo de yeso en su clínica, puede utilizar un stent de material hidro-plástico con un cuerpo de referencia del tamaño correcto conjuntamento con un escaneo intra-oral de la boca para ser colocado directamente en la boca sin un modelo de yeso.
El Dr Kunkela es odontólogo con práctica privada en la República Checa (www.gototraining.cz). Contacto: kunkela@dentalpoint.cz.. ____________________________________________________________________________
El especialista en CAD/CAM de la compañía Dent Import ofreció una demostración a Dental Tribune sobre la efectividad de sus sistemas para la confección...
El experto en sistemas CAD/CAM Aldo Cháves fue uno de los especialistas que explicó el funcionamiento de avanzados equipos de diseño e impresión durante...
Antes, durante y después de la compra de un sistema es fundamental contar con un servicio de asistencia integral. La capacitación, la solución para cada ...
Formación
Webinars en vivo mar. 19 de mayo 2026 9:00 CST (Mexico City)
La odontología moderna ya no depende únicamente de la excelencia clínica.
Hoy, dirigir un consultorio rentable exige saber interpretar datos financieros,...
Decenas de miles de odontólogos, técnicos dentales y estudiantes recorrieron los stands comerciales de los principales distribuidores de la industria ...
To post a reply please login or register