Los nuevos materiales y avances tecnológicos han permitido un renacimiento de las carillas prefabricadas de resina compuesta para la restauración de dientes anteriores. Este artículo presenta un caso en el que se colocaron seis carillas prefabricadas de resina, logrando óptimos resultados estéticos.
Hace algún tiempo, la creación de restauraciones directas de resina compuesta era un sueño. Las resinas compuestas carecían de las propiedades ópticas básicas de los dientes. A fines de 1990, los fabricantes comenzaron a mejorar las propiedades ópticas de las resinas compuestas, que presentaban un mayor rango de tonalidades para esmalte y dentina, y mejores propiedades ópticas.1,2
Sin embargo, esta variedad puede hacer que el odontólogo tenga dificultades a la hora de seleccionar los tonos durante el procedimiento restaurador. Lamentablemente, pocos dominan el arte de lograr resultados realistas con una técnica de estratificación directa debido a su significativa curva de aprendizaje. Especialmente cuando se trata de carillas directas en dientes anteriores.
Las carillas para dientes anteriores fueron propuestas por primera vez en 1937.5 Casi 40 años más tarde, la técnica fue revisada sin éxito debido a las limitaciones de los materiales (matriz de metil-metacrilato y relleno de vidrio de partículas grandes), que llevaban a la rápida perdida del brillo superficial y la degradación de la superficie.4
Con la aparición de las carillas de porcelana adheridas, que tienen también la ventaja de un proceso de fabricación individual, el concepto de carillas prefabricadas fue prácticamente abandonado hasta ahora.
Caso clínicoUn paciente de sexo masculino de 38 años de edad, con varias discordancias estéticas en los dientes anteriores, se presentó para ser tratado por motivos estéticos. La Figura 1, que ilustra la situación previa al tratamiento, muestra grandes restauraciones y pérdida de la anatomía y color natural de los dientes, y una pieza no vital, decolorada (incisivo central superior izquierdo) debido a un procedimiento endodóntico realizado años antes.
El paciente también quería resolver sus diastemas. Otra solicitud fue que los dientes no tuvieran una apariencia artificial luego del tratamiento o que el resultado final se homologara con la dentición natural para resolver no sólo la forma, sino también el color. En este caso, esto era particularmente importante ya que los dientes presentaban una variación de color muy amplia: más oscuros y coloridos en la región cervical y mucho más translúcidos y con menos color en la región incisal.
Después de discutir varias opciones de tratamiento, se seleccionó la colocación de carillas en los dientes anteriores, utilizando para ello una innovadora carilla prefabricada de composite llamada Edelweiss (Ultradent). Este sistema le ofrece al clínico una alternativa a las carillas de colocación directa en una sesión; y es una buena opción comparada con las carillas cerámicas, que fueron rechazadas por el paciente por motivos económicos.
Las carillas están fabricadas en composite, pero son sometidas a presión y templadas térmicamente durante el proceso de fabricación. Esto permite lograr carillas muy fuertes y delgadas (superficie vestibular de alrededor de 0,5mm, pero más finas en cervical y más gruesas en el borde incisal). También pasan a través de un proceso de vitrificación por láser, mediante el cual se logra una superficie vidriosa pura, inorgánica, homogénea y suave como la de la porcelana, con un brillo excelente.
Primero se desplazaron los tejidos gingivales con hilo (Ultrapak #0, Ultradent). Luego se efectuó la preparación, utilizando primero piedras de diamante a alta velocidad con refrigeración. La preparación final también se efectuó con piedras de diamante, pero con un contraángulo multiplicador (KaVo). La Figura 2 muestra los dientes ya preparados. Como las carillas son relativamente finas comparadas con las indirectas, es posible observar que casi toda la preparación se efectuó a nivel del esmalte, excepto en algunas porciones de la región cervical donde es posible ver algunas zonas de dentina expuesta. La preparación tenía una profundidad de menos de 0,8mm, lo que es más que suficiente para la carilla y la resina compuesta.
El sistema Edelweiss incluye una guía transparente de tamaños para seleccionar el tamaño ideal de la carilla. De tres opciones disponibles (grande, mediana y pequeña), se seleccionó el tamaño pequeño. La Figura 3 muestra las carillas colocadas sobre los dientes preparados. En la imagen se aprecia que las carillas ajustan relativamente bien, pero se requirieron más ajustes con resina compuesta convencional, especialmente en la región cervical de los incisivos central y lateral superiores izquierdos.
Después de grabar y preparar adecuadamente la superficie dentaria, se efectuó el cementado a pares, comenzando con ambos incisivos centrales (derecho e izquierdo), luego los incisivos laterales (derecho e izquierdo) y finalmente los caninos (derecho e izquierdo). La resina compuesta utilizada fue Amelogen Plus (Ultradent), y se colocó tanto en forma directa sobre la estructura dentaria (una fina capa de tono A3), como en la parte posterior de las carillas Edelweiss. Para lograr una transición natural del color, se aplicaron los tonos A4, A3 y A2 y uno translúcido final llamado Trans Gray en las partes onduladas de la parte posterior de las carillas, comenzando con A4 en la región cervical y terminando con Trans Gray en la región incisal.
El proceso completo fue mucho más rápido y fácil de lo esperado. La adaptación del color de la resina compuesta en las zonas interproximales fue muy buena, y se efectuó con un color de esmalte llamado Enamel Neutral. El mismo color fue utilizado en la región cervical de los incisivos central y lateral superiores izquierdos, y se acopló muy bien con las carillas. El resultado final puede verse en la Figura 4.
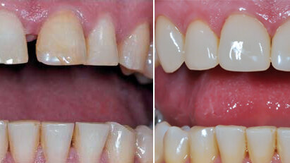
La Figura 5 muestra una vista aumentada del tejido gingival 30 días después del procedimiento, donde se evidencia una correcta cicatrización. Las Figuras 6a y b y 7a y b, ilustran la situación antes y después, demostrando la buena integración estética de los tejidos duros y blandos en cuanto a forma y color. Utilizando estas carillas de composite fue posible cumplir con todas las necesidades y requerimientos del paciente en forma económica y rápida.
Conclusión
El renacimiento de las carillas prefabricadas ofrece ahora una alternativa rentable y de una sola sesión y es una buena opción en comparación con las carillas cerámicas. Es una solución reparable y relativamente económica y rápida porque no hay gastos de laboratorio y no requiere de provisionales. Aprender a utilizar este sistema es rápido y sencillo. Los nuevos materiales y avances tecnológicos permiten obtener una superficie brillante, resistente, vítrea e inorgánica, que se maneja en forma casi idéntica al composite. Cuando se trata de colocar carillas en dientes anteriores, esta solución ofrece tanto al odontólogo como al paciente una alternativa nueva y promisoria.
Los Drs. Beolchi y Forti ejercen en práctica dental privada en São Paulo (Brasil). Correspondencia: rafael.beolchi@usp.br.
______________________________________________________________________________
Un odontólogo ruso presenta la reconstrucción de dientes anteriores con coronas completas de cerámica vítrea que ofrecen opalescencia, fluorescencia y ...
El Dr. Norberto Manzanares, profesor de Implantología y Rehabilitación Oral en la Universidad de Alcalá de Henares y en la Universidad de Barcelona, ...
El Dr. Norberto Manzanares, profesor de Implantología y Rehabilitación Oral en la Universidad de Alcalá de Henares y en la Universidad de Barcelona, ...
Las tomografías de momias egipcias están reescribiendo lo que creíamos saber sobre la salud bucal en el Antiguo Egipto. Detrás del esplendor de estas ...
Formación
Webinars en vivo mar. 19 de mayo 2026 9:00 CST (Mexico City)
La odontología moderna ya no depende únicamente de la excelencia clínica.
Hoy, dirigir un consultorio rentable exige saber interpretar datos financieros,...
Decenas de miles de odontólogos, técnicos dentales y estudiantes recorrieron los stands comerciales de los principales distribuidores de la industria ...
To post a reply please login or register