El Dr. Norberto Manzanares, profesor de Implantología y Rehabilitación Oral en la Universidad de Alcalá de Henares y en la Universidad de Barcelona, describe una técnica para la preservación y regeneración alveolar en dientes anteriores. Los resultados a largo plazo (8 años) en 250 casos controlados son una regeneración ideal, con gran estabilidad estética y volumétrica.
CASO CLINICO
Introducción
Uno de los principales problemas que nos encontramos en la pérdida de los dientes anteriores es la posible atrofia de la tabla ósea cortical vestibular tras la reabsorción del ligamento periodontal.
Cuando realizamos la exodoncia de un diente se inicia una serie fenómenos que conlleva a la reabsorción, en mayor o menor grado, de la tabla ósea vestibular.
Durante años pensamos que la implantología inmediata solucionaba este problema, pero posteriormente se ha observado que no es así.
Iniciamos la colocación de injertos de tejido conectivo, los cuales mejoraban esa pérdida de volumen, pero no todos eran estables con el paso del tiempo.
“Esta técnica soluciona en un solo acto quirúrgico, tanto la preservación como la regeneración ósea, con gran estabilidad de los resultados en el tiempo".
Es por ello que, desde el año 2011, utilizamos una técnica para preservar o regenerar intraoperatoriamente la posible pérdida de la cortical en la zona premaxilar, la cual utiliza no solo injertos de tejido conectivo sino especialmente biomateriales particulados, tanto de origen bovino como aloplástico.
Una de las claves de esta técnica consiste precisamente en “no colocar ninguna membrana ni de corta ni de larga duración entre el material particulado mezclado con sangre del paciente y el periostio”. De esta forma, gran parte de estas partículas no solo se unirán al hueso, sino que muchas de ellas se incorporarán al interior del nuevo tejido conectivo. Esto provocará una fibrosis en el interior del tejido blando, la cual confiere un resultado estable a lo largo de los años, tal como hemos publicado en diferentes artículos.
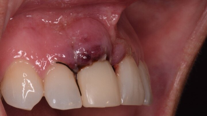
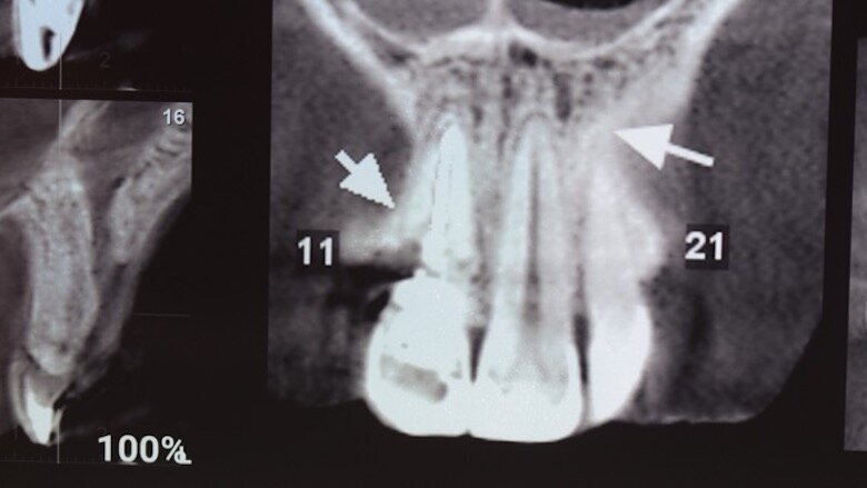
Figura 1. Atrofia de más del 50% de la pared vestibular en el diente 11 con infecciones de repetición de varios años de evolución.
Figuras 2 y 3. Imágenes de tomografía CBCT donde se observa el grado de destrucción de la pared vestibular.
Figuras 2 y 3. Imágenes de tomografía CBCT donde se observa el grado de destrucción de la pared vestibular.
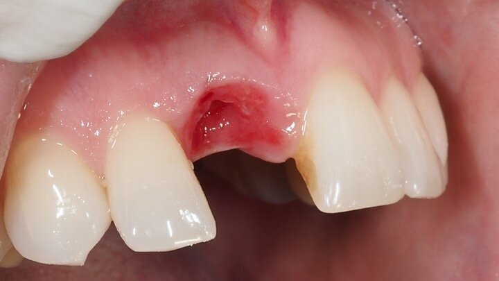
Figura 4. Exodoncia del diente.
Figura 5. Hundimiento de la zona estética anterior inmediatamente después de la extracción del diente por la reabsorción de la pared vestibular.
Figura 6. A pesar del defecto óseo, siempre buscamos la posibilidad de crear un nuevo alveolo quirúrgico que emerja por la zona del cíngulo de los dientes adyacentes, es decir, el margen de emergencia adecuado. En estos defectos, intentamos siempre el anclaje en profundidad con implantes largos de unos 16 mm debido al gran defecto existente. Es la única forma de que la estabilidad primaria del implante permita realizar una Prótesis Inmediata.
Figura 7. Implante de conexión interna insertado 2 mm por debajo de la cresta ósea, independientemente del defecto existente y a 55 Nw. Al no existir margen vestibular, tomamos como referencia los dos picos óseos de las papilas y entre ellos trazamos una línea imaginaria que los una enterrando el hombro unos 2 ó 3 mm por debajo de ella.
Figura 8. Esperamos a que la superficie del implante esté siempre cubierta por un coágulo de sangre antes de adaptar el material encima de éste.
Figura 9. Antes de realizar el relleno con las partículas de biomaterial retiramos el transportador y lo sustituimos por el Transfer de impresiones. De esta forma, impedimos que alguna partícula de biomaterial penetre en la conexión y nos cree un ‘gap’ en la impresión.
Figura 10. Colocación de las partículas de biomaterial mezcladas con sangre del paciente. Vamos aumentando el número de partículas hasta corregir el defecto, pasando de un defecto cóncavo a un volumen convexo.
Figura 11. Podemos observar el volumen conseguido en los tejidos blandos por lo que “no” intentaremos obtener un cierre primario de la herida. Tampoco usamos membranas de larga duración, que son mucho más difíciles de moldear en dientes unitarios. Únicamente utilizamos membranas de colágeno que se adaptan perfectamente al coágulo y suturamos.
NUNCA INSERTO MEMBRANAS NI DE LARGA NI DE CORTA DURACION ENTRE EL MATERIAL Y EL PERIOSTIO. Dejamos siempre que el particulado esté en contacto directo con el periostio, de tal forma que las partículas se incorporan tanto al tejido duro como al blando.
Figuras 12 y 13. En el laboratorio realizan la prótesis provisional en acrílico sobre un semicalcinable con conexión mecanizada para verla en la radiovisiografía (RVG). Dicha prótesis provisional tendrá un perfil de emergencia cóncavo para dejar ese espacio vacío que ocupará el coágulo sanguíneo, transformándose en tejido conectivo posteriormente.
Figuras 12 y 13. En el laboratorio realizan la prótesis provisional en acrílico sobre un semicalcinable con conexión mecanizada para verla en la radiovisiografía (RVG). Dicha prótesis provisional tendrá un perfil de emergencia cóncavo para dejar ese espacio vacío que ocupará el coágulo sanguíneo, transformándose en tejido conectivo posteriormente.
Figura 14. Durante las 24 h. siguientes a la intervención, el paciente tiene que evitar los enjuagues hasta que la prótesis provisional haya sido insertada. Al retirar el pilar de cicatrización temporal podemos observar por fuera la forma que adoptan las membranas de colágeno para cerrar el defecto, y, por dentro, la posición esférica de las partículas debido a su contacto con el pilar.
Figura 15. Observamos el aumento de volumen obtenido por vestibular ante un defecto muy grande. Además, en la emergencia del implante se pueden apreciar las partículas inmersas en la fibrina que posteriormente formarán el nuevo tejido conectivo con el biomaterial en su interior.
Figura 16. Atornillado directo del diente provisional a 20 Nw. Aprovechamos para llevar el margen de la restauración a la posición correcta en relación con los dientes contiguos y a pesar de la inflamación normal existente. De esta forma, el trabajo ya está realizado, ya que ese diente provisional tiene todas las características del diente definitivo.
Figura 17. Imágenes de RVG donde se aprecia:
1. El ajuste perfecto del semicalcinable, ya que el diente no lo vemos al ser de acrílico.
2. La presencia de las partículas de biomaterial en la zona vestibular en contacto con el defecto óseo y las más superficiales, que se incorporarán al tejido conectivo nuevo.
Figura 18. Imagen a los 3 meses al retirar la corona provisional. Obsérvese el grosor del margen gingival debido al uso del pilar cóncavo y la presencia de algunas partículas de biomaterial dentro del tejido blando. Estas partículas realizan una fibrointegración en el tejido conectivo que produce la estabilidad de estos tejidos durante años.
Figura 19. Diseño de la corona por CAD/CAM.
Figura 20. Pilar Duomo y corona de zirconio con cerámica feldespática.
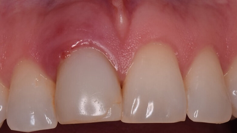
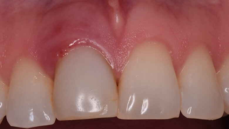
Figuras 21 y 22. Imágenes del día de la intervención y a los 2 años de evolución. Se observa una regeneración casi completa del periodonto, a pesar de presentar un defecto óseo inicial muy importante en la tabla ósea cortical vestibular. Con esta técnica solucionamos en un solo acto quirúrgico, tanto la preservación como la regeneración ósea, con gran estabilidad de los resultados en el tiempo.
Figuras 21 y 22. Imágenes del día de la intervención y a los 3 años de evolución. Se observa una regeneración casi completa del periodonto, a pesar de presentar un defecto óseo inicial muy importante en la tabla ósea cortical vestibular. Con esta técnica solucionamos en un solo acto quirúrgico, tanto la preservación como la regeneración ósea, con gran estabilidad de los resultados en el tiempo.
Conclusión
Después de 8 años de utilizar esta técnica con biomateriales particulados para la preservación o regeneración de la tabla ósea alveolar en presencia de implantes, nos hemos atrevido a ir disminuyendo el número de ocasiones en las que la acompañamos del uso de injertos de tejido conectivo.
Sabemos que el grado de atrofia de la tabla vestibular está relacionado con diferentes causas. Una de los más importantes es el grosor inicial de dicha tabla ósea y el tipo de biotipo gingival del paciente.
Nosotros tratamos a todos estos pacientes con pérdida de un diente anterior solo o acompañada de un defecto óseo como si su grosor cortical anterior fuera muy fino, al igual que su biotipo gingival. A la fecha, llevamos más de 250 casos controlados con esta técnica y los resultados a largo plazo son de una gran estabilidad estética y volumétrica.
____________________________________________________________________
* El doctor Norberto Manzanares es Codirector del Master de Implantología y Rehabilitación Oral, Universidad Alcalá de Henares de Madrid. Profesor del Master de Clínica Implantológica y Rehabilitación Oral de la Universidad de Barcelona.
El Dr. Norberto Manzanares, profesor de Implantología y Rehabilitación Oral en la Universidad de Alcalá de Henares y en la Universidad de Barcelona, ...
La Universidad de León y el Colegio de Odontólogos y Estomatólogos de León han formado una simbiosis perfecta en la que las dos instituciones participan...
Un odontólogo ruso presenta la reconstrucción de dientes anteriores con coronas completas de cerámica vítrea que ofrecen opalescencia, fluorescencia y ...
Los nuevos materiales y avances tecnológicos han permitido un renacimiento de las carillas prefabricadas de resina compuesta para la ...
Los nuevos materiales y avances tecnológicos han permitido un renacimiento de las carillas prefabricadas de resina compuesta para la ...
Las clínicas y los laboratorios disponen de una cerámica vítrea altamente resistente reforzada con dióxido de circonio con excelentes propiedades ...
La interacción de la dentina y el esmalte determina las características cromáticas de las diferentes regiones del diente. En la ...
La restauración protésica de los incisivos superiores constituye una tarea exigente para el odontólogo y el protésico dental. En el siguiente caso ...
Las tomografías de momias egipcias están reescribiendo lo que creíamos saber sobre la salud bucal en el Antiguo Egipto. Detrás del esplendor de estas ...
Las barreras oclusivas se utilizan para los pacientes que han sufrido una pérdida ósea de tal magnitud que no son candidatos para una ...
Webinars en vivo
mar. 19 de mayo 2026
9:00 CST (Mexico City)
Webinars en vivo
mar. 19 de mayo 2026
11:00 CST (Mexico City)
Prof. Dr. med. dent. Ivo Krejci
Webinars en vivo
mié. 20 de mayo 2026
5:00 CST (Mexico City)
Dr. Graham Carmichael BDSc (Hons), DClinDent (Pros), FRACDS, Dr. Robert Gottlander DDS
Webinars en vivo
mié. 20 de mayo 2026
7:00 CST (Mexico City)
Webinars en vivo
mié. 20 de mayo 2026
9:00 CST (Mexico City)
Webinars en vivo
mié. 20 de mayo 2026
11:00 CST (Mexico City)
Prof. Dr. med. dent. Tim Joda PhD, MSc, eMBA
Webinars en vivo
jue. 21 de mayo 2026
10:00 CST (Mexico City)
Dr. Leonardo Muniz DDS, MSC
To post a reply please login or register