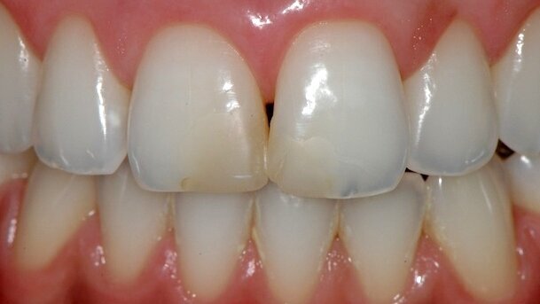
La interacción de la dentina y el esmalte determina las características cromáticas de las diferentes regiones del diente. En la región cervical la mayor presencia de dentina permite observar un área más saturada. En cambio en el tercio medio, el mayor volumen del esmalte y la presencia de dentina de color más claro y menor espesor aumenta la luminosidad de esta zona.
Pero es en el tercio incisal de los dientes donde se observa la mayor riqueza de detalles. La transición entre la dentina y el esmalte define el formato de los mamelones y, en dirección al borde incisal, la ausencia de dentina ofrece una imagen translúcida, y, en algunos casos, se puede observar un margen incisal opaco.
Estos aspectos incisales son visibles en mayor o menor medida siempre que el paciente no exhiba un desgaste del margen incisal, lo cual aumenta la complejidad del procedimiento restaurador y requiere que el profesional conozca las propiedades ópticas de los tejidos dentales y del material restaurador.
Además del desafío de reproducir los detalles de la región incisal, una dificultad adicional en los dientes anteriores es conseguir que la línea de transición diente/resina sea imperceptible.
Generalmente, cuando se utiliza poco color de dentina la restauración permanece gris y la línea de resina en el diente se vueve visible. Por eso, es fundamental utilizar gran cantidad de color de dentina en la línea de transición, lo que determina un espacio mínimo para el color del esmalte, cuyo volumen debe aumentarse en dirección a la región incisal.
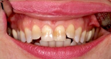
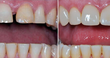
Este artículo, basado en dos casos clínicos, ofrece estrategias para mimetizar los detalles de la región incisal utilizando una resina compuesta.
* Máster en Clínica Odontológica en la Facultad de Odontología de la Universidad Federal de Bahía (FO-UFBA), profesor de Clínica Integrada en la Escuela Bahiana de Medicina y Salud Pública, especialista en Endodoncia en FO-UFBA y coordinador del Curso de Actualización en Operatoria- Estética con Composites y Procedimientos Directos de la Asociación Brasileña de Odontología en Bahía.
** Odontóloga graduada en la Facultad de Tecnología y Ciencias de Bahía (Brasil).
Vea todas las fotos de estos casos clínicos en la edición electrónica de Dental Tribune Latin America #2.
La restauración protésica de los incisivos superiores constituye una tarea exigente para el odontólogo y el protésico dental. En el siguiente caso ...
Las clínicas y los laboratorios disponen de una cerámica vítrea altamente resistente reforzada con dióxido de circonio con excelentes propiedades ...
Un odontólogo ruso presenta la reconstrucción de dientes anteriores con coronas completas de cerámica vítrea que ofrecen opalescencia, fluorescencia y ...
Los nuevos materiales y avances tecnológicos han permitido un renacimiento de las carillas prefabricadas de resina compuesta para la ...
Los nuevos materiales y avances tecnológicos han permitido un renacimiento de las carillas prefabricadas de resina compuesta para la ...
El Dr. Norberto Manzanares, profesor de Implantología y Rehabilitación Oral en la Universidad de Alcalá de Henares y en la Universidad de Barcelona, ...
El Dr. Norberto Manzanares, profesor de Implantología y Rehabilitación Oral en la Universidad de Alcalá de Henares y en la Universidad de Barcelona, ...
El instrumento de limpieza dental más antiguo del mundo ha evolucionado: una camarera norteamericana ha introducido los "Licker Pickers", ...
El experto en estética dental francés Yassine Harichane continúa con la presentación de este caso clínico con una serie de tres artículos realizados ...
Zolid HT+ Preshades pertenecen a una nueva generación de piezas de óxido de circonio de la casa Amann Girrbach, que son el complemento perfecto de la ...
Webinars en vivo
mar. 19 de mayo 2026
9:00 CST (Mexico City)
Webinars en vivo
mar. 19 de mayo 2026
11:00 CST (Mexico City)
Prof. Dr. med. dent. Ivo Krejci
Webinars en vivo
mié. 20 de mayo 2026
5:00 CST (Mexico City)
Dr. Graham Carmichael BDSc (Hons), DClinDent (Pros), FRACDS, Dr. Robert Gottlander DDS
Webinars en vivo
mié. 20 de mayo 2026
7:00 CST (Mexico City)
Webinars en vivo
mié. 20 de mayo 2026
9:00 CST (Mexico City)
Webinars en vivo
mié. 20 de mayo 2026
11:00 CST (Mexico City)
Prof. Dr. med. dent. Tim Joda PhD, MSc, eMBA
Webinars en vivo
jue. 21 de mayo 2026
10:00 CST (Mexico City)
Dr. Leonardo Muniz DDS, MSC
To post a reply please login or register