Search Dental Tribune

Complicaciones postoperatorias

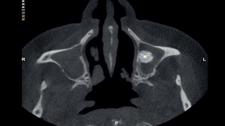
Figura 1. Sinusitis post-injerto.
Jesús Mena Álvarez

Jesús Mena Álvarez

vie. 21 febrero 2020

guardar

Último de una serie de seis artículos. Este artículo sobre “Complicaciones postoperatorias” concluye la serie de resúmenes de capítulos del libro “Elevación sinusal. Perspectiva multidisciplinar”, del Dr. Juan Manuel Aragoneses, publicado por Atlantis Editorial. El Dr. Aragoneses y otros expertos en implantología explican en el mismo técnicas predecibles y realizables de elevación del seno maxilar para todo profesional que cuente con un entrenamiento adecuado. Dental Tribune ofrece estos artículos porque se trata de un libro de consulta que sirve para resolver incertidumbres en la práctica diaria y aprender técnicas útiles en implantología oral.

  IMPLANTOLOGIA ORAL  

La presencia de sinusitis aguda puede poner en peligro la supervivencia del implante y del injerto”. 

El procedimiento de elevación del suelo del seno maxilar es un procedimiento bien conocido, predecible y, a menudo, obligatorio para aumentar la altura del hueso alveolar en el maxilar posterior para la rehabilitación mediante implantes dentales. Sin embargo, el procedimiento también está asociado con ciertas complicaciones que pueden influir en el resultado de la terapia y la calidad de vida de los pacientes. Un conocimiento profundo de la prevención y el manejo adecuado de estas complicaciones es esencial para obtener mejores resultados de tratamiento.

Infección postoperatoria

La prevalencia de infección postoperatoria es relativamente baja. Las infecciones después del procedimiento de elevación del seno pueden ocurrir en dos lugares principalmente que son el seno maxilar y el injerto, siendo la ubicación más común el injerto colocado y no el seno maxilar como tal. Las infecciones de los senos maxilares son mucho menos comunes de lo que parece, pero pueden tener consecuencias más generalizadas, ya que puede darse una sinusitis como resultado de la interconexión de la red de senos.

La etiología de las infecciones postoperatorias puede surgir de dos fuentes generales: una infección asintomática ya existente o una comunicación a través de una perforación, gracias a las bacterias de la cavidad oral o bacterias procedentes de las infecciones periapicales o periodontales.

Algunas modalidades de tratamiento incluyen irrigación, drenaje, administración de antibióticos por vía sistémica y parcial o total remoción del injerto.

Sinusitis postoperatoria

La incidencia de la presencia de sinusitis postoperatoria varía en función de los autores y se encuentra entre el 3 y el 14%. Los síntomas más comunes pueden incluir fístulas, dolor, inflamación, obstrucción nasal, dehiscencia del colgajo y secreción purulenta. El aumento de la presión intrasinusal puede ser un factor secundario que puede dar como resultado el bloqueo del drenaje sinusal.

La presencia de sinusitis aguda puede poner en peligro la supervivencia del implante y del injerto. El tratamiento médico con descongestivos y antibióticos puede ser una solución en aquellos pacientes con una predisposición a la sinusitis.

Migración de implantes a través del seno maxilar

La migración de un implante dental dentro del seno maxilar es una complicación poco habitual. El problema se debe generalmente a una pérdida de estabilidad primaria o inicialmente inadecuada. También puede ser causada por la pérdida de soporte óseo, debido a procesos infecciosos. Si se coloca un implante cuando existe de 1 a 3 mm. de cresta ósea y el cierre primario no se logra, la formación temprana de la anchura biológica eliminará más de la mitad del hueso de soporte antes de la maduración del injerto lo que conllevará la posibilidad de migración del implante al seno maxilar.

La extracción de los implantes puede realizarse usando un acceso directo a través de la mucosa oral o transnasal por endoscopia nasosinusal. El abordaje de Caldwell-Luc se reserva como una técnica de primera elección cuando el cuerpo extraño tiene un tamaño considerable y no es posible eliminarlo por medio de la endoscopia. Cuando el desplazamiento del implante viene acompañado con comunicaciones oroantrales se ha sugerido que el mejor sistema sería un abordaje intraoral con la creación de una nueva ventana.

Vértigo paroxístico posicional benigno (VPPB)

Existen evidencias que sugieren que el VPPB puede ocurrir como una complicación postoperatoria temprana tras una elevación de seno transcrestal realizada con osteotomos. Se plantea en la literatura que el trauma quirúrgico, sobre todo la presión ejercida por los osteotomos, puede causar el desprendimiento de los otolitos, disfunción que es conocida como otoconía de la mácula utricular.

El tratamiento de VPPB incluye seguimiento del paciente, rehabilitación vestibular, maniobras de reposicionamiento e incluso, cirugía. No hay evidencia en la literatura de fármacos efectivos como tratamiento definitivo para el VPPB o sustitutos de las maniobras terapéuticas.

Portada del libro “Elevación sinusal. Perspectiva multidisciplinar”, que es una guía práctica de esta técnica.

La pérdida de hueso marginal se considera un criterio muy importante en la evaluación del éxito de los implantes dentales. Las consecuencias pueden ir desde la leve pérdida de hueso marginal hasta la pérdida dramática del mismo y por consiguiente, el fracaso total del implante. La tendencia que afirma que las perforaciones de la membrana del seno causan un incremento de la pérdida del hueso marginal tras la colocación posterior de implantes puede que sea clínicamente relevante, pero no se ha podido establecer una correspondencia estadísticamente significativa, ya que es probable que el aumento real en la pérdida de hueso marginal causada por una perforación sea muy pequeño en relación con el éxito general de la terapia con implantes en el maxilar posterior.

______________________________________________________________________

* Jesús Mena Álvarez, autor del Capítulo 24 del libro, es Doctor en Odontología, UAX 2011. Licenciado en Odontología, Universidad Complutense de Madrid, 1995. Certificación Básica y Avanzada en Implantología, SEI. Director Académico Master Universitario en Endodoncia y de Endodoncia Avanzada y Microcirugía de UAX.

NOTAS

Este es el último de una serie de seis artículos del libro “Elevación sinusal. Perspectiva multidisciplinar”, del Dr. Juan Manuel Aragoneses. Lea la serie completa, que incluye los siguientes artículos:

0. “Introducción” del libro “Elevación Sinusal. Perspectiva multidisciplinar”

  1. “Anatomía sinusal”. Resumen del Capítulo 3 del libro
  2. “Patologías de seno maxilar”. Resumen del Capítulo 5 del libro
  3. “Biomateriales”. Resumen del Capítulo 17 del libro
  4. “Complicaciones intraoperatorias”. Resumen del Capítulo 22 del libro
  5. “Indicaciones postquirúrgicas”. Resumen del Capítulo 23 del libro
  6. “Complicaciones postoperatorias”. Resumen del Capítulo 24 del libro

Este artículo se reproduce con autorización expresa por escrito de Atlantis Editorial Science & Technology.

Recursos

• Adquiera el libro en Atlantis Editorial Science & Technology

To post a reply please login or register
advertisement