Search Dental Tribune

La Microabrasión en Odontología Estética

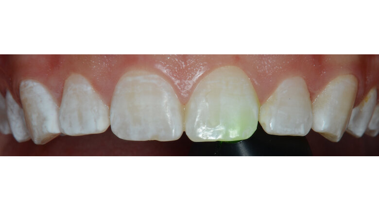
Foto 1. Caso inicial: manchas blancas generalizadas.

mié. 10 abril 2019

guardar

La estética dental en los jóvenes es un tema que cada día tiene más importancia y requiere una atención especial, ya que con el aclaramiento dental consiguen una mejor apariencia y seguridad en su entorno social.

  CASO CLINICO  

Respondiendo a estas necesidades, hoy contamos con procedimientos estéticos seguros y fáciles de obtener, siempre y cuando trabajemos con productos que tengan una estabilidad química y un adecuado porcentaje para cada procedimiento. Esto representa un desafío para nosotros los dentistas cuando nos encontramos con manchas blancas, amarillas o marrones, sean de origen traumático, por descalcificación o por un defecto generado durante la formación del diente, como puede ser la ingesta excesiva de flúor durante la formación de éstos (fluorosis), ya que nuestros pacientes son muy jóvenes y debemos preservar al máximo la estructura dental.

Dentro de las alternativas que tenemos en la Odontología Estética Mínimamente Invasiva, está la microabrasión, en situaciones donde las alteraciones del esmalte sean superficiales, a menos 200µprofundidad, incluyendo decoloraciones causadas por fluorosis que no hayan respondido a aclaramientos realizados con técnicas ambulatorias. La microabrasión es un procedimiento de la odontología cosmética que se utiliza para mejorar la apariencia de los dientes, el cual puede ser mecánico (óxido de aluminio) o químico (ácido clorhídrico al 6,6%), pasta que contiene partículas de carburo de silicio hidrosoluble, através del cual removemos la parte superficial del esmalte. En algunos casos, como en el presente, fue necesario acompañar la microabrasión con un aclaramiento ambulatorio a concentraciones acordes al grado de complejidad y edad del paciente.

“En algunos casos es necesario acompañar la microabrasión con un aclaramiento ambulatorio a concentraciones acordes al grado de complejidad y edad del paciente. ".

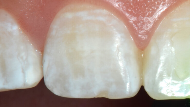
Uno de los factores más importantes de nuestra profesión es el diagnóstico adecuado, para saber qué tipo de procedimiento realizaremos. La transiluminación en estos casos es de suma importancia para identificar la profundidad de la lesión. Si colocamos un lente de color verde o naranja (Valo) detrás del diente afectado, veremos cómo algunas manchas llegan a desaparecer y otras no (Fotos 3 y 5). Las regiones donde llegan a desaparecer son las que tendrían menos de 200µ, donde la pasta abrasiva llegaría a remover las manchas; en las otras áreas, donde tenemos una mayor profundidad, necesitaríamos más aplicaciones o realizar una pequeña abrasión con fresas de diamante fino y luego pulir con pastas diamantadas (Diamond Polish 1µ) y ruedas de goma impregnadas en diamante (Jiffy Natural) (Foto 8).

Caso clínico

Paciente femenino, 20 años, presencia de manchas blancas generalizadas, no presenta sensibilidad, no se ha realizado ningun tipo de aclaramiento dental (Foto 1).

Se realizaron 7 sesiones de 15 minutos aproximadamente cada una, 3 veces por semana, utilizando Opalustre (Ultradent) con un milímetro de espesor por cada diente (Foto 6), con copas de goma de profilaxis, cepillando cada diente por 1 min. aproximadamente, a baja revolución (500 rpm). En nuestra experiencia clínica, no hemos necesitado colocar ningún tipo de protección gingival, debido al corto periodo de permanencia del producto en boca, ni hemos observado ningún tipo de lesión gingival en toda nuestra casuística. Después de cada cita, aplicamos un gel de flúor en el esmalte por 4 minutos, también se confeccionaron cubetas para aclaramiento ambulatorio con Opalescence PF al 10%, con nitrato de potasio y flúor, que ayuda a la remineralización del esmalte, durante los 12 días que duró el aclaramiento dental.

Al final del tratamiento se realizó un pulido con pastas diamantadas (Diamond Polish de 1µ y 0,5µ) y gomas impregnadas de diamante (Jiffy Natural), para realzar el brillo natural y remover irregularidades del esmalte provocadas por la pasta abrasiva. Utilizamos la goma de color amarillo con la pasta de 1µ, y la goma de color blanco con la pasta de 0,5µ . Después de verificar el resultado obtenido de la remoción de casi todas las manchas blancas, se procedió a la reconstrucción de algunos bordes incisales con una resina compuesta de circonio nanométrica (40 nm), simulando el esmalte (Forma – XWB). Con la resina "Forma" obtuvimos un brillo semejante a una resina de micropartículas, debido a sus partículas nanométricas (0,4 nm.) esféricas de circonio y sílice coloidal, que nos permiten obtener un excelente brillo, resistencia y fácil manipulación (Fotos 11 y 12).

___________________________________________________________________________
* El doctor Hernán Velarde Rosauro (DMD – MSc), reconocido especialista en Odontología Estética, ejerce en Santa Cruz de la Sierra, Bolivia.

La impresión 3D transforma la práctica odontológica

Arturo Arciniega destaca que la impresión 3D permite mejorar la precisión de las restauraciones en rehabilitación oral. Fotos: Cortesía del autor

jue. 23 abril 2026

guardar

La odontología vive una transformación profunda impulsada por la digitalización. Tecnologías como el escaneo intraoral, el diseño CAD y la impresión 3D están redefiniendo la forma en que los clínicos planifican, ejecutan y comunican sus tratamientos.

El Dr. Arturo Arciniega Valverde, especialista en rehabilitación oral, implantología y estética, analiza en este artículo cómo estos avances permiten ofrecer una odontología más precisa, eficiente y personalizada.

La incorporación de flujos de trabajo digitales completos ya no es una tendencia, sino una realidad en expansión. En la práctica clínica diaria, estas herramientas permiten optimizar procesos que antes dependían de múltiples pasos analógicos, reduciendo tiempos y mejorando la predictibilidad de los resultados.

“La odontología digital no es una tendencia, es una evolución natural de la profesión”, afirma el Dr. Arciniega.

 

Con más de quince años de experiencia, el Dr. Arciniega ha integrado la tecnología digital en todas las áreas de su consulta. Desde el escaneo intraoral hasta la fabricación mediante impresión 3D, su enfoque se basa en la creación de flujos de trabajo digitales que mejoran la eficiencia y la personalización de los tratamientos.

 

La impresión 3D en la consulta

Uno de los pilares de esta transformación es la impresión 3D, que permite fabricar dispositivos como guías quirúrgicas, restauraciones provisionales o guardas oclusales de forma rápida y precisa en la propia consulta o clínica. Esta tecnología no solo optimiza el trabajo clínico, sino que también mejora la comunicación con el paciente al facilitar la visualización de los resultados.

En el Dental Summit CoLife 2026, donde será uno de los conferenciantes, el tema de la plática del Dr. Arciniega abordará la integración de la impresión 3D en el flujo clínico diario, particularmente en rehabilitación estética y restauradora.

 

El experto presentará casos clínicos de aplicación diaria, sobre fabricación de guías quirúrgicas, guardas oclusales, restauraciones provisionales y planificación estética.

 

“La presentación se centra en cómo la tecnología digital —escaneo intraoral, diseño CAD y fabricación mediante impresión 3D— permite optimizar procesos clínicos, reducir tiempos de tratamiento y mejorar la precisión en múltiples procedimientos”, explica el experto mexicano.

“También discutiré casos clínicos donde esta tecnología se aplica en la práctica diaria, como guías quirúrgicas para implantes, guardas oclusales, restauraciones provisionales y planificación estética”, agrega.

La tecnología digital facilita tratamientos más eficientes, personalizados y predecibles para los pacientes.

 

La precisión es otro de los grandes beneficios de la odontología digital. La captura de datos tridimensionales con alta exactitud mejora la adaptación de restauraciones y dispositivos, reduciendo errores y aumentando la calidad final de los tratamientos.

Además, la digitalización permite una mayor eficiencia en los tiempos de tratamiento. Muchos procedimientos pueden realizarse en menos citas, lo que beneficia tanto al clínico como al paciente.

La inteligencia artificial comienza a desempeñar un papel relevante. Herramientas basadas en IA ayudan a analizar imágenes diagnósticas, automatizar el diseño de restauraciones y optimizar la planificación implantológica.

 

Mejorar resultados

Aunque estas tecnologías no sustituyen al profesional, sí potencian su criterio clínico, permitiendo tomar decisiones más informadas y mejorar los resultados terapéuticos.

El crecimiento de la odontología digital es especialmente notable en países como México, donde cada vez más clínicas adoptan estas tecnologías para responder a la demanda de tratamientos más estéticos y personalizados.

A pesar de los avances, el Dr. Arciniega insiste en que la clave está en la integración progresiva de estas herramientas, comenzando por aplicaciones prácticas que permitan a los profesionales adaptarse de forma gradual al flujo de trabajo de la odontología digital.

“Mi interés es compartir cómo estas herramientas pueden integrarse de manera práctica en la consulta diaria, no solo en grandes centros o laboratorios, sino también en clínicas privadas”, concluyó el Dr. Arciniega.

___________________________________________________________________________________________________________________________________

El Dental Summit CoLife 2026 se celebrará en Barranquilla, Colombia del 21 al 23 de mayo en el Centro de Convenciones Comfamiliar.

___________________________________________________________________________________________________________________________________

 

 

ARTICULOS RELACIONADOS

_______________________________________________________________________________________________________________________________

DENTAL SUMMIT COLIFE 2026 

La impresión 3D transforma la práctica odontológica

Arturo Arciniega

_______________________________________________________________________________________________________________________________

DENTAL SUMMIT COLIFE 2026 

El camino hacia la pasividad perfecta en implantología

Marinelly Mendes

_______________________________________________________________________________________________________________________________

DENTAL SUMMIT COLIFE 2026

“La odontología digital potencia nuestro criterio clínico”

Alvaro Reuter

_______________________________________________________________________________________________________________________________

DENTAL SUMMIT COLIFE 2026 

Promover la salud oral para reducir la necesidad de restauraciones

Eraldo Pesaressi

_______________________________________________________________________________________________________________________________

DENTAL SUMMIT COLIFE 2026

La odontología digital es el nuevo standard clínico

Ahmad Al-Hassiny 

_______________________________________________________________________________________________________________________________

 

 

ARTICULOS RECOMENDADOS

_______________________________________________________________________________________________________________________________

EXPODENTAL MADRID

La robótica, nueva frontera en cirugía implantológica

Javier de Pisón

VER MAS

_______________________________________________________________________________________________________________________________

EXPODENTAL MADRID

El imparable ímpetu de Expodental Madrid

Javier de Pisón 

VER MAS

_______________________________________________________________________________________________________________________________

EXPODENTAL MADRID

Factores esenciales para adquirir un escáner intraoral 

Enrique Jadad 

VER MAS

_______________________________________________________________________________________________________________________________

REPORTAJE, PARTE 1

"Todo sistema que no tenga medición no es fotogrametría"

Javier de Pisón

VER MAS

_______________________________________________________________________________________________________________________________

REHABILITACION & IMPLANTOLOGIA ORAL

Relevancia de la fotogrametría en casos All-on-X

Enrique Jadad 

VER MAS

_______________________________________________________________________________________________________________________________

REVISION

Los dientes, guardianes silenciosos de nuestra salud

D. Suárez Quintanilla

VER MAS

_______________________________________________________________________________________________________________________________

GESTION DE LA CLINICA

Cómo fijar precios en Odontología 

Juan Carlos Mejía

VER MAS

_______________________________________________________________________________________________________________________________

FORMACION - EDICION ESPECIAL

Nuevas tecnologías en las clínicas universitarias

Varios autores

VER MAS

_______________________________________________________________________________________________________________________________

CIRUGIA ORAL

Todo lo que necesita saber sobre Cirugía Piezoeléctrica

José Rosas Díaz

VER MAS

_______________________________________________________________________________________________________________________________

ESTETICA

La belleza dental a través de la historia 

Javier de Pisón

VER MAS

_______________________________________________________________________________________________________________________________

 

 

 

 

 

 

 

 

 

Temas:

One thought on “La Microabrasión en Odontología Estética

  1. Alejandro Bonnefon says:

    Buen día doctor ,interesante artículo y trabajo publicado lo felicito, me.encantaría que me.envíes el caso y otros que realizó en forma privada gracias Dr Bonnefonalejandro

To post a reply please login or register
advertisement