El experto brasileño Rafael Beolchi analiza la evolución del fotocurado y explica que el mayor culpable por las fallas del material no es la resina en sí, sino el odontólogo que hizo la restauración.
ACTUALIDADES ODONTOLOGICAS
En la columna pasada, escribí sobre lo fundamental que es reconocer, como odontólogos, que nuestra ciencia no ha creado ningún material superior al diente. Sabiendo con humildad que nada de lo que podamos hacer va a ser mejor que la propia pieza dental, mi filosofía es que, siempre que sea posible, las opciones de tratamiento deben estar encabezadas ante todo por soluciones no invasivas, o sino, por las mínimamente invasivas.
Uno de los mitos que la Odontología ha creado es el de la restauración definitiva. Es audaz imaginar que nosotros vamos a hacer la última restauración, la última corona, o sea, que nuestra intervención va a ser la especial, la definitiva. Sea lo que sea que hagamos, los tejidos originales son mejores. Sin embargo, no hay duda alguna de que tenemos que trabajar con el objetivo de que la restauración sea lo más definitiva posible.
Las resinas compuestas son hoy uno de los materiales restauradores directos más utilizados en el mundo. Creadas alrededor de 1955, se hicieron populares en Latinoamérica a fines de los años 80, y en los 90 empezaron a remplazar a la amalgama de plata, que hasta entonces era el material restaurativo de elección.
“La pérdida de brillo, las microinfiltraciones, las fracturas y las deslaminaciones se relacionan, en general, con deficiencias en la fotopolimerización.”
Una de las principales ventajas de la amalgama de plata es la facilidad con que se aplica: es un material tan sencillo de manipular que ni siquiera necesita de un odontólogo, ya que se conoce desde hace más de 300 años, o sea, por lo menos unas tres veces la edad de nuestra profesión. Otra ventaja es su durabilidad, fácil de explicar por su microexpansión y la necesidad de realizar cavidades extensas. Y, justamente, ése es su mayor pecado: ser responsable por la remoción de mucho tejido sano. ¿Cuántas fracturas de cúspides o fracturas coronarias podrían haberse evitado con materiales sin esas características?
En general, las cavidades que se hacen para las resinas son mucho menores que las que se requieren para las amalgamas. Aunque las resinas se hayan vuelto populares (menos por su característica de mínima invasión y más por su característica estética), es una conquista de la Odontología el tener un material que preserva más estructura dentaria. La mala noticia, en el caso de las resinas compuestas, es que aplicarlas es más difícil: el material es mucho más exigente que su antecesor, la amalgama de plata.
En comparación, hoy se hacen muchas menos restauraciones metálicas directas que resinas compuestas, sobre todo en pacientes privados. Los estudios confirman que más del 40% de las restauraciones de resina compuesta con más de 10 años de permanencia en boca tienen un rendimiento comparable solamente con las peores restauraciones de amalgama. En otras palabras: cambiamos de material restaurador y empezamos a utilizar uno que sí, es más conservador y estético, pero que no permanece en la cavidad oral ni mitad del tiempo que el material anterior.
La primera tentación odontológica es echarle la culpa al material restaurador o a la técnica adhesiva. No hay duda de que son importantes y hay que tenerlos en cuenta, pero lo más probable es que la culpa sea de un fotocurado mal hecho.
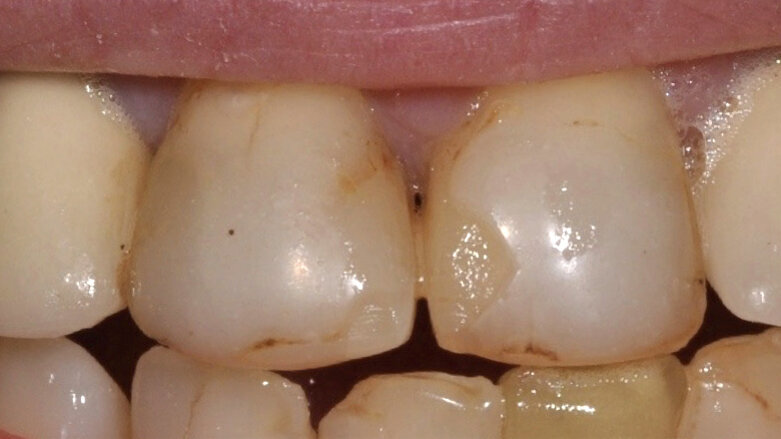
Fig. 2. Restauración del mismo paciente hecha por el autor hace 5 años, en este caso bien fotocurada.
La pérdida de brillo, las microinfiltraciones, las fracturas y las deslaminaciones serelacionan, en general, con deficiencias en la fotopolimerización. El problema esque clínicamente, la diferencia entre una restauración bien fotocurada y una mal fotocurada es imperceptible. Esto puede percibirse bien en un ambiente de laboratorio. Así que, necesitamos conocer mejor este proceso.
El fotocurado no es un proceso nuevo en la Odontología. Lo que sí es nuevo, es que actualmente tenemos un mayor conocimiento técnico del proceso. Hoy sabemos que muchas de las lámparas halógenas necesitan más de 90 segundos para fotocurar bien la zona más profunda de una restauración clase II. Seguramente, pocos profesionales fotocuraron ese tiempo completo.
Y hoy, con las nuevas lámparas LED, ¿cuánto tiempo necesitamos? Es de verdad desleal e injusto que las compañías fabricantes de resina tengan que contestar esa pregunta: ¿cómo pueden saberlo, si no saben qué tipo de lámpara tienen los odontólogos? Todas las lámparas son distintas entre sí, unas más potentes, otras más colimadas, y así vamos.
Lo que las compañías hacen es “imaginar”: imaginan que el odontólogo tendrá por lo menos una lámpara con una potencia de 800mW/cm2, capaz de transmitir en 20 segundos los 16J/cm2necesarios para polimerizar la mayoría de las resinas.
Sobre este tema escribí en Dental Tribune otro artículo que tiene información más detallada y técnica sobre este tópico.
Como profesionales de la salud, es fundamental que no culpemos más al material por sus deficiencias. En cambio, esforcémonos por conocerlo mejor, conocer sus características, exigencias, fragilidades y ventajas. Con eso en mente, y en particular en los casos de resinas compuestas directas, procedimiento tan común en nuestra practica diaria, debemos saber que el mayor culpable por las fallas del material no es la resina en sí, sino el odontólogo que hizo la restauración ¡No seamos nosotros ese profesional!
El doctor Rafael Beolchi, graduado de la Universidad de São Paulo (USP), es especialista en odontología estética y rehabilitación oral. Tiene una maestría en biomateriales del Instituto de Investigación Energética y Nuclear de USP, es miembro de la Academia Brasileira de Odontología Estética y responsable del curso de educación continua sobre estética con resinas compuestas directas de FACOP. Además, imparte el curso de posgrado de la Facultad São Leopoldo Mandic, de Campinas. Ha impartido conferencias y talleres en Brasil, Latinoamérica, Estados Unidos, Europa y Asia.
Hablamos con Mariela Padilla, líder de opinión, profesora asociada y subdirectora de los programas de educación en línea de la Herman Ostrow School of ...
La figura del higienista dental ha evolucionado más allá de la profilaxis y la educación en salud bucodental convirtiéndose en un miembro esencial de ...
Una nueva serie de contra-ángulos de alta velocidad permite ahora procesar y remover fácilmente materiales cerámicos como el zirconio, por lo que son la ...
La rentabilidad del instrumental dental depende de una amplia serie de factores, como la calidad de los materiales utilizados o el proceso de fabricación. ...
La periodontitis se ha asociado con un riesgo de enfermedad de Alzheimer en varios estudios. El Estudio de la Salud en Pomerania (Study of Health in ...
El Dr. Jairo Quintana, presidente del Colegio Colombiano de Odontólogos y especialista en odontología digital, explicó a Dental Tribune las razones del ...
Yomi es un dispositivo quirúrgico asistido por robot desarrollado por la empresa de atención médica Neocis. Es el único sistema de este tipo que ha ...
En 2022, 39 millones de personas en todo el mundo tenían VIH, según ONUSIDA. También en el mismo año, 1,3 millones de personas se infectaron por el VIH ...
Formación
Webinars en vivo mar. 19 de mayo 2026 9:00 CST (Mexico City)
La odontología moderna ya no depende únicamente de la excelencia clínica.
Hoy, dirigir un consultorio rentable exige saber interpretar datos financieros,...
Decenas de miles de odontólogos, técnicos dentales y estudiantes recorrieron los stands comerciales de los principales distribuidores de la industria ...