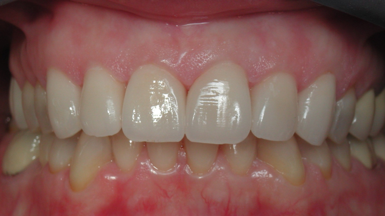
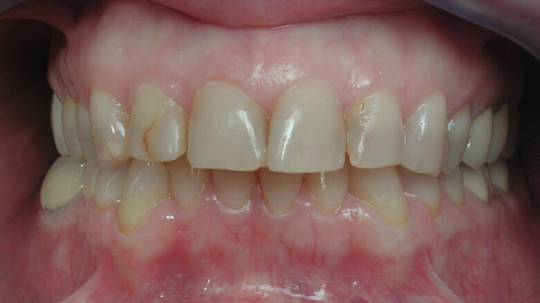
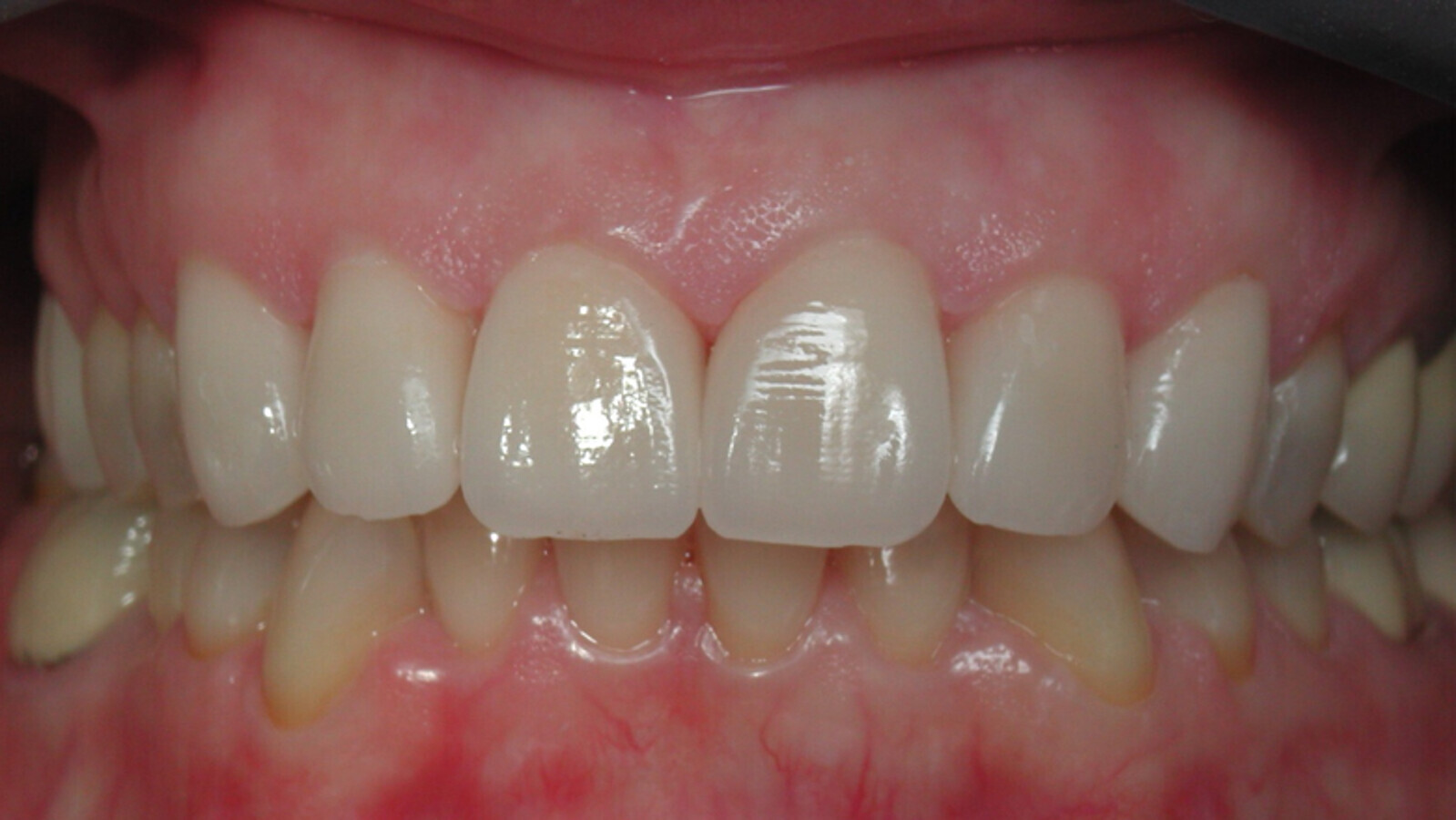
Hoy la odontología dispone de materiales artificiales que tiene la capacidad de imitar muy bien a los tejidos dentarios, y la cerámica dental es uno de ellos.
DESDE SANTO DOMINGO
Básicamente, para realizar carillas estéticas debemos utilizar cerámicas que contengan vidrio en su composición. Nos referimos fundamentalmente a cerámicas feldespáticas (80% de vidrio) o a las de disilicato de litio (25% de vidrio). Aunque el contenido de vidrio es diferente en ambas, estas son grabables y silanizables, por lo que se puede realizar una adecuada cementacion adhesiva, la cual permite mejorar resistencia funcional de las cerámicas con vidrio.Para tener un ejemplo, la resistencia a la fractura de una cerámica feldespática convencional es de unos 60 megapascales. Cuando ésta se graba con ácido fluorhídrico al 9%, se silaniza y se cementa con cemento de composite, su resistencia a quebrarse aumenta unas ocho veces. El vidrio le dará buenas propiedades estéticas y ópticas al material, y la cementacion adhesiva mejorará su resistencia.
Las carillas están indicadas para modificar el color y la textura de los dientes, para modificar sus formas y/o dimensiones, para cerrar diastemas, para crear mecanismos desoclusivos, etc.
Las facetas cerámicas pueden confeccionarse sin preparación alguna del diente o preparando el tejido duro del mismo. Preferiblemente, se deben confeccionar sobre esmalte. Cuando se involucre dentina, todo el margen de la preparación deberá quedar en tejido adamantino.
El grado mayor o menor de la preparación dentaria irá en relación directa a la posición del diente, el grado de enmascaramiento que se necesite realizar, así como como el sistema cerámico a utilizar.
El grado mayor o menor de la preparación dentaria irá en relación directa a la posición del diente, el grado de enmascaramiento que se necesite realizar, así como como el sistema cerámico a utilizar.
"El grado de la preparación irá en relación directa a la posición del diente, el grado de enmascaramiento y el sistema cerámico".
El involucramiento de bordes incisales y caras proximales dependerá de la necesidad de modificar las dimensiones dentarias, así como de la necesidad de generar o no mecanismos desoclusivos con la restauración.
Hoy las carillas pueden ser confeccionadas de manera artesanal o mecanizada.
El tipo de cerámica con vidrio a seleccionar estará relacionado con el grado de estética y la demanda funcional de la restauración, aunque con la técnica de cementación adhesiva con resinas compuestas, las cerámicas menos resistentes pueden ser "reforzadas" y ofrecer propiedades físicas y mecánicas muy aptas para funcionar en boca.
El Dr. Andreas Kurbad, experto alemán en Odontología Estética, explica en el siguiente caso clínico que las correcciones estéticas con carillas deben ...
El Dr. Andreas Kurbad, experto alemán en Odontología Estética, explica en el siguiente caso clínico que las correcciones estéticas con carillas deben ...
El Dr. Sérgio R. Bernardes, Profesor en el Instituto Latinoamericano de Investigación y Docencia Dental en Curitiba (Brasil) y Jefe de Desarrollo de ...
Introducción. La odontología estética y restauradora ofrece diferentes materiales y alternativas de tratamiento para la zona anterior. El protocolo ...
El grupo de Stavros Pelekanos compara técnicas y materiales con sorprendentes resultados en este caso clínico de Michalis Diomataris, Stavros Pelekanos y...
La Clínica Universitaria de la Escuela Superior de Implantología y Rehabilitación Oral (Esiro) anuncia una nueva serie de cursos personalizados para ...
Formación
Webinars en vivo mar. 19 de mayo 2026 9:00 CST (Mexico City)
La odontología moderna ya no depende únicamente de la excelencia clínica.
Hoy, dirigir un consultorio rentable exige saber interpretar datos financieros,...
Decenas de miles de odontólogos, técnicos dentales y estudiantes recorrieron los stands comerciales de los principales distribuidores de la industria ...