Search Dental Tribune

Flujo digital vs analógico: prueba en diez carillas cerámicas en el maxilar

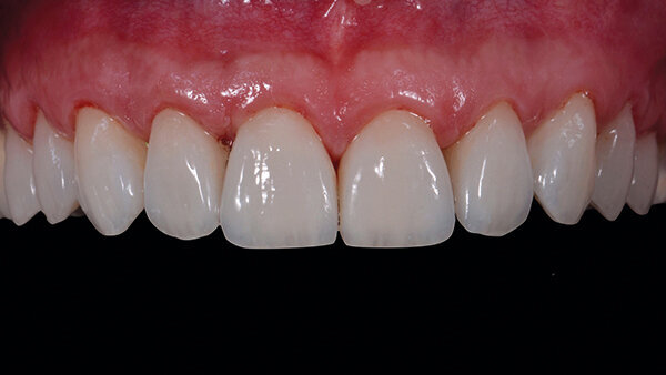
Fig. 1. Fotografía inicial de los dientes anteriores antes del tratamiento de ortodoncia.
Dental Tribune International

Dental Tribune International

sáb. 12 octubre 2019

guardar

Introducción. La odontología estética y restauradora ofrece diferentes materiales y alternativas de tratamiento para la zona anterior. El protocolo convencional, que incluye la impresión analógica con poliéter o polivinilsiloxano, la fabricación de un molde maestro y matrices, y el encerado y prensado de materiales cerámicos, requiere dominar habilidades excepcionales y su resultado depende de la técnica que se utilice. El escaneado intraoral y la toma de impresiones digitales proporcionan un método alternativo preciso para transferir información de la boca al laboratorio dental (1). El archivo digital siempre está en la computadora y puede procesarse inmediatamente o en otro momento, a diferencia del procedimiento convencional.

   CASO CLINICO  

Por Michalis Diomataris 1 , Stavros Pelekanos y Michalis Papastamos 3 

En cuanto a los materiales, varios productos nuevos como la cerámica prensada o fresada, ofrecen una mayor resistencia y funcionalidad; sin embargo, en dimensiones más delgadas, carecen de la belleza estética inherente de los materiales básicos como la porcelana feldespática. A medida que ha aumentado en los últimos años la demanda del paciente por una mejor estética, también lo que he hecho la necesidad de materiales restauradores que imiten minuciosamente la dentición natural del paciente. Utilizado convertido para crear dentaduras de porcelana, la porcelana feldespática se ha convertido en el material principal estético para restauraciones personalizadas con carillas. En los últimos años, El uso de porcelana feldespática en polvo/líquido en capas colocadas a mano ha revivido por sus valores altamente estéticos y sus pocos o ningún requisito de preparación. Manteniendo la preparación al mínimo, se elimina menos estructura dental y los procedimientos son mucho menos invasivos, que es exactamente lo que desean los pacientes (2).

En contraste, los métodos convencionales de fabricación de cerámica toman mucho tiempo, depende de la técnica empleada y son impredecibles debido a las muchas variables, por lo que el CAD/CAM puede ser una buena alternativa, tanto para dentistas como para laboratorios (3) . El CAD/CAM puede reducir también el tiempo de fabricación de cerámica de alta resistencia en hasta un 90% (1). Es más, los bloques fabricados industrialmente son más homogéneos, con defectos específicos y se ha determinado que las restauraciones CAD/CAM se comparan favorablemente con otras opciones de restauración (4,5).

En cuanto a las propiedades ópticas del CAD/CAM, los complejos fenómenos de ilusión óptica en la estética anterior no siempre se pueden alcanzar con los materiales estéticos monocromáticos sin tener que pasar por la caracterización final de un técnico dental. Para superar las desventajas estéticas de una restauración monocromática, se han desarrollado bloques de cerámica multicromática para crear una estructura tridimensional de capas. Estos bloques de cerámica ofrecen un gradiente cromático desde el área cervical a las áreas incisales que replican la dentina y el esmalte en un mismo bloque (6-8).

El objetivo de este caso clínico es comparar el flujo de trabajo analógico versus el digital en diez carillas de cerámica en el maxilar, en términos de resultado estético, la duración de los procedimientos y la dependencia de la capacidad técnica, tanto para el odontólogo como para el técnico dental.

Caso clínico 

Una paciente de 35 años se presentó en el consultorio con el deseo principal de cambiar la estética de la zona anterior (Fig. 1). Se realizó un encerado diagnóstico, maqueta seguida de la fabricación, para obtener una visualización preliminar del resultado final. Se propuso un tratamiento de ortodoncia para alinear los dientes en una posición más favorable para las carillas de preparación mínima y para reducir la sobremordida. Un año después del tratamiento, la paciente regresó para la rehabilitación protésica final (Figs. 2a y 2b).

Métodos y materiales

se realizó un diseño de sonrisa digital según Coachman y Calamita (9), a partir del cual se propuso un plan de tratamiento de alargamiento de coronas y carillas en los dientes # 15-25 (Fig. 3). Se hizo también un encerado de diagnóstico convencional (Fig. 4). Se utilizarán maquetas digitales y específicos y se llegó a un acuerdo sobre las formas y proporciones de los dientes. El alargamiento de coronas se realizó, guiado por la maqueta digital, con el uso de una guía acrílica transparente de alargamiento doble de corona, que especificó los bordes de la gingivectomía y la alveolectomía necesaria en cirugía periodontal para la rehabilitación estética (Figs. 5 y 6) (10).

Después de seis meses de estabilización del tejido (Fig. 7), se produjo una maqueta con Telio CS C&B (Ivoclar Vivadent) desde el sillon (Figs. 8a y 8b), y se realizaron las preparaciones dentales con guías de silicona ( Figuras 9a-9c). Vea tomar impresiones específicas con polivinilsiloxano (Fig. 10) e impresiones digitales (TRIOS, 3Shape) (Fig. 11).

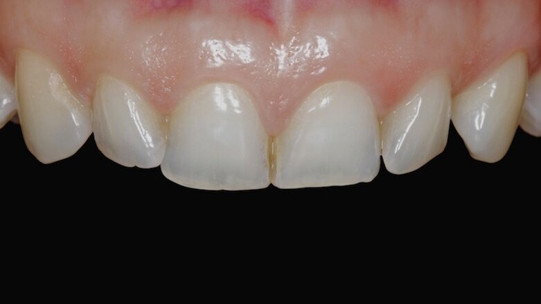
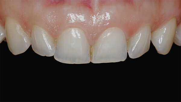
La provisionalización se ejecutó digitalmente, utilizando Telio CAD (Ivoclar Vivadent) en la fresadora Wieland Select CNC. El diseño se realizó con el S = software 3Shape DentalDesigner (Figs. 12a y 12b). Se fabricaron dos juegos finales de restauraciones. El conjunto de carillas feldespáticas se fabricó en un modelo de piedra con IPS Style (Ivoclar Vivadent), mientras que para las restauraciones digitales se realizó IPS Empress CAD Multi (Ivoclar Vivadent) (Figs. 13, 14). Ambos juegos de restauraciones se examinarán intraoralmente con una pasta de prueba para comparar las propiedades ópticas de las carillas feldespáticas y las CAD/CAM (Figs. 15a – 15c).

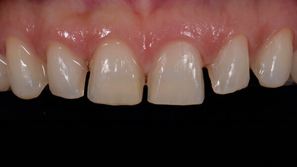
La decisión subjetiva del clínico y el paciente fue cementar las carillas feldespáticas, debido a que existen ligeras diferencias en la longitud de los incisivos centrales entre los dos juegos de restauraciones. A esto le siguieron procedimientos adhesivos (Figs. 16a-f), y una semana después se tomaron las fotografías intraorales y extraorales finales (Figs. 17a-17e).

Resultados

El escaneo digital intraoral es una alternativa clínica perfecta procedimiento comparado con la impresión convencional técnica. La planificación digital y el procedimiento de maquetas es una poderosa herramienta de comunicación para el dentista, aunque se requieren habilidades especiales para el uso de software. Respecto al flujo de trabajo del laboratorio, la mayoría de los procedimientos analógicos requieren más tiempo (matrices refractarias, carillas acumuladas, ajustes), excepto la tinción/acristalamiento (Figs. 18a y 18b). Aunque el resultado estético de las carillas feldespáticas fue elegido subjetivamente en este caso, el flujo de trabajo analógico es mucho más exigente. El enfoque digital, debido a su menor dificultad,  velocidad, complejidad e incomodidad para el paciente, tiende a ser preferible (Figs. 18a y18b).

Conclusión

El conocimiento y la aplicación de los procedimientos de diseño de sonrisa virtual, la configuración con el uso de tecnologías innovadoras de laboratorio, permiten realizar el diagnóstico, la planificación, crear y entregar nuevas restauraciones estéticamente agradables. Además, los avances en la tecnología CAD/CAM han catalizado el desarrollo de restauraciones de carillas estéticas con materiales producidos industrialmente que ofrecen propiedades biomecánicas superiores y buena estética.

_________________________________________________________________________

Autores

  1. El Dr. Michalis Diomataris se graduó en la Universidad de Atenas, Grecia en 2009 y en 2017 obtuvo su Maestría en Operatoria Dental. Desde 2011, es supervisor de educación de estudiantes de pregrado en principios de odontología estética y restauradora. En 2014 se incorporó al equipo de la Clínica AthinaSmile de Stavros Pelekanos, donde se dedica una odontología estética y restauradora y prostodoncia.
  2. El Dr. Stavros Pelekanos se graduó en la Escuela de Odontología de la Universidad Nacional y Kapodistriana de Atenas, Grecia, y realizó su doctorado en el Departamento de Prostodoncia de la Universidad Albert-Ludwigs de Friburgo, Alemania. Ha sido instructor clínico de Prostodoncia de la Universidad Nacional de 1994-2001, ha publicado numerosos artículos, un capítulo de un libro y obtuvo el segundo premio científico en el concurso de la Academia Europea de Odontología Estética en 2018. Mantiene práctica privada en Atenas ( www.athenasmile.gr) con énfasis en prostodoncia, odontología estética, periodoncia preprotésica e implantología. Actualmente es Profesor asistente de Prostodoncia en la Universidad Nacional.
  3. El TD Michalis Papastamos es propietario del laboratorio dental “Dental Aesthetic” en restauraciones estéticas. Organiza seminarios y demostraciones en las que participa, activación con dentistas griegos y extranjeros, en programas de rehabilitación en vivo. Colabora también en el campo de Prostodoncia con la National y Kapodistrian University de Atenas.

 

To post a reply please login or register

La impresión 3D transforma la práctica odontológica

Arturo Arciniega destaca que la impresión 3D permite mejorar la precisión de las restauraciones en rehabilitación oral. Fotos: Cortesía del autor

jue. 23 abril 2026

guardar

La odontología vive una transformación profunda impulsada por la digitalización. Tecnologías como el escaneo intraoral, el diseño CAD y la impresión 3D están redefiniendo la forma en que los clínicos planifican, ejecutan y comunican sus tratamientos.

El Dr. Arturo Arciniega Valverde, especialista en rehabilitación oral, implantología y estética, analiza en este artículo cómo estos avances permiten ofrecer una odontología más precisa, eficiente y personalizada.

La incorporación de flujos de trabajo digitales completos ya no es una tendencia, sino una realidad en expansión. En la práctica clínica diaria, estas herramientas permiten optimizar procesos que antes dependían de múltiples pasos analógicos, reduciendo tiempos y mejorando la predictibilidad de los resultados.

“La odontología digital no es una tendencia, es una evolución natural de la profesión”, afirma el Dr. Arciniega.

 

Con más de quince años de experiencia, el Dr. Arciniega ha integrado la tecnología digital en todas las áreas de su consulta. Desde el escaneo intraoral hasta la fabricación mediante impresión 3D, su enfoque se basa en la creación de flujos de trabajo digitales que mejoran la eficiencia y la personalización de los tratamientos.

 

La impresión 3D en la consulta

Uno de los pilares de esta transformación es la impresión 3D, que permite fabricar dispositivos como guías quirúrgicas, restauraciones provisionales o guardas oclusales de forma rápida y precisa en la propia consulta o clínica. Esta tecnología no solo optimiza el trabajo clínico, sino que también mejora la comunicación con el paciente al facilitar la visualización de los resultados.

En el Dental Summit CoLife 2026, donde será uno de los conferenciantes, el tema de la plática del Dr. Arciniega abordará la integración de la impresión 3D en el flujo clínico diario, particularmente en rehabilitación estética y restauradora.

 

El experto presentará casos clínicos de aplicación diaria, sobre fabricación de guías quirúrgicas, guardas oclusales, restauraciones provisionales y planificación estética.

 

“La presentación se centra en cómo la tecnología digital —escaneo intraoral, diseño CAD y fabricación mediante impresión 3D— permite optimizar procesos clínicos, reducir tiempos de tratamiento y mejorar la precisión en múltiples procedimientos”, explica el experto mexicano.

“También discutiré casos clínicos donde esta tecnología se aplica en la práctica diaria, como guías quirúrgicas para implantes, guardas oclusales, restauraciones provisionales y planificación estética”, agrega.

La tecnología digital facilita tratamientos más eficientes, personalizados y predecibles para los pacientes.

 

La precisión es otro de los grandes beneficios de la odontología digital. La captura de datos tridimensionales con alta exactitud mejora la adaptación de restauraciones y dispositivos, reduciendo errores y aumentando la calidad final de los tratamientos.

Además, la digitalización permite una mayor eficiencia en los tiempos de tratamiento. Muchos procedimientos pueden realizarse en menos citas, lo que beneficia tanto al clínico como al paciente.

La inteligencia artificial comienza a desempeñar un papel relevante. Herramientas basadas en IA ayudan a analizar imágenes diagnósticas, automatizar el diseño de restauraciones y optimizar la planificación implantológica.

 

Mejorar resultados

Aunque estas tecnologías no sustituyen al profesional, sí potencian su criterio clínico, permitiendo tomar decisiones más informadas y mejorar los resultados terapéuticos.

El crecimiento de la odontología digital es especialmente notable en países como México, donde cada vez más clínicas adoptan estas tecnologías para responder a la demanda de tratamientos más estéticos y personalizados.

A pesar de los avances, el Dr. Arciniega insiste en que la clave está en la integración progresiva de estas herramientas, comenzando por aplicaciones prácticas que permitan a los profesionales adaptarse de forma gradual al flujo de trabajo de la odontología digital.

“Mi interés es compartir cómo estas herramientas pueden integrarse de manera práctica en la consulta diaria, no solo en grandes centros o laboratorios, sino también en clínicas privadas”, concluyó el Dr. Arciniega.

___________________________________________________________________________________________________________________________________

El Dental Summit CoLife 2026 se celebrará en Barranquilla, Colombia del 21 al 23 de mayo en el Centro de Convenciones Comfamiliar.

___________________________________________________________________________________________________________________________________

 

 

ARTICULOS RELACIONADOS

_______________________________________________________________________________________________________________________________

DENTAL SUMMIT COLIFE 2026 

La impresión 3D transforma la práctica odontológica

Arturo Arciniega

_______________________________________________________________________________________________________________________________

DENTAL SUMMIT COLIFE 2026 

El camino hacia la pasividad perfecta en implantología

Marinelly Mendes

_______________________________________________________________________________________________________________________________

DENTAL SUMMIT COLIFE 2026

“La odontología digital potencia nuestro criterio clínico”

Alvaro Reuter

_______________________________________________________________________________________________________________________________

DENTAL SUMMIT COLIFE 2026 

Promover la salud oral para reducir la necesidad de restauraciones

Eraldo Pesaressi

_______________________________________________________________________________________________________________________________

DENTAL SUMMIT COLIFE 2026

La odontología digital es el nuevo standard clínico

Ahmad Al-Hassiny 

_______________________________________________________________________________________________________________________________

 

 

ARTICULOS RECOMENDADOS

_______________________________________________________________________________________________________________________________

EXPODENTAL MADRID

La robótica, nueva frontera en cirugía implantológica

Javier de Pisón

VER MAS

_______________________________________________________________________________________________________________________________

EXPODENTAL MADRID

El imparable ímpetu de Expodental Madrid

Javier de Pisón 

VER MAS

_______________________________________________________________________________________________________________________________

EXPODENTAL MADRID

Factores esenciales para adquirir un escáner intraoral 

Enrique Jadad 

VER MAS

_______________________________________________________________________________________________________________________________

REPORTAJE, PARTE 1

"Todo sistema que no tenga medición no es fotogrametría"

Javier de Pisón

VER MAS

_______________________________________________________________________________________________________________________________

REHABILITACION & IMPLANTOLOGIA ORAL

Relevancia de la fotogrametría en casos All-on-X

Enrique Jadad 

VER MAS

_______________________________________________________________________________________________________________________________

REVISION

Los dientes, guardianes silenciosos de nuestra salud

D. Suárez Quintanilla

VER MAS

_______________________________________________________________________________________________________________________________

GESTION DE LA CLINICA

Cómo fijar precios en Odontología 

Juan Carlos Mejía

VER MAS

_______________________________________________________________________________________________________________________________

FORMACION - EDICION ESPECIAL

Nuevas tecnologías en las clínicas universitarias

Varios autores

VER MAS

_______________________________________________________________________________________________________________________________

CIRUGIA ORAL

Todo lo que necesita saber sobre Cirugía Piezoeléctrica

José Rosas Díaz

VER MAS

_______________________________________________________________________________________________________________________________

ESTETICA

La belleza dental a través de la historia 

Javier de Pisón

VER MAS

_______________________________________________________________________________________________________________________________

 

 

 

 

 

 

 

 

 

Temas:
To post a reply please login or register
advertisement
advertisement