El flúor en pequeñas dosis promueve la salud oral al fortalecer el esmalte dental y prevenir la caries dental, según han demostrado una amplia cantidad de estudios. Sin embargo, consumido en grandes cantidades durante largos períodos de tiempo puede causar fluorosis esquelética.
INVESTIGACION
En algunas partes del mundo, específicamente en África, Asia y América Central, el flúor puede ocurrir naturalmente en niveles que lo hacen peligroso. Para evitar que esto suceda, un equipo de investigadores ha desarrollado recientemente una prueba que no requiere experiencia científica y puede ayudar a detectar niveles peligrosos de flúor en el agua potable.
"En los Estados Unidos, sabemos que el flúor está en la pasta de dientes y en el agua municipal", comentó el autor principal, el Dr. Julius B. Lucks, profesor asociado de ingeniería química y biológica en la Universidad Northwestern en Evanston. “Produce flúor de calcio, que es muy duro, por lo que fortalece nuestro esmalte dental. Pero por encima de cierto nivel, el flúor también endurece las articulaciones. Esto no es un problema en Estados Unidos, pero puede ser un problema debilitante en otros países si no se identifica y aborda".
El flúor es un elemento natural que puede fluir de un lecho de rocas hacia el agua subterránea. Es particularmente abundante en zonas que rodean volcanes y se encontra en las cenizas volcánicas. Los investigadores probaron el sistema tanto en el laboratorio de la universidad como en el campo en Costa Rica, cerca del volcán Irazú.
"Cada prueba en estas muestras de campo funcionó", comentó Lucks. "Es emocionante que funcione en el laboratorio, pero es mucho más importante saber que funciona en el campo". Queremos que sea una solución fácil y práctica para las personas que más lo necesitan. Nuestro objetivo es capacitar a las personas para controlar la presencia de flúor en el agua" que beben.
El equipo de Lucks secó por congelación la reacción del ácido ribonucleico (ARN), que se asemeja a una pequeña bola de algodón, y la puso en un tubo de ensayo con una pequeña pipeta. Cuando se coloca en agua, la pipeta absorbe 20 µl, exactamente la cantidad necesaria para rehidratar la reacción. Aunque actualmente los investigadores tardan 2 horas en obtener resultados, Lucks quiere acelerar el proceso en un futuro cercano.
El dispositivo es fácil de usar, pero el tubo de ensayo preparado contiene una sofisticada reacción de biología sintética. “El ARN se pliega en un pequeño bolsillo y espera un ion de flúor. El ion cabe perfectamente en ese bolsillo. Cuando aparece el ion, el ARN expresa un gen que cambia el color del agua que se hace amarilla. Si el ion no aparece, entonces el ARN cambia de forma y detiene el proceso", explicó.
El estudio, titulado "Detección en el punto de uso de flúor ambiental mediante un biosensor basado en riboswitch sin células", se publicó en línea en la revista “ACS Synthetic Biology”, antes de que aparezca en la edición impresa.
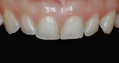
Introducción. La odontología estética y restauradora ofrece diferentes materiales y alternativas de tratamiento para la zona anterior. El protocolo ...
El grupo de Stavros Pelekanos compara técnicas y materiales con sorprendentes resultados en este caso clínico de Michalis Diomataris, Stavros Pelekanos y...
Si el agua pura es vital para la salud humana, lo mismo ocurre con algunos dispositivos que son esenciales para conseguir una verdadera desinfección de los...
La compañía holandesa Bruxlab ha desarrollado una serie de herramientas diagnósticas para grabar y cuantificar los sonidos del rechinar...
La caries es la enfermedad no transmisible más común y un gran problema de salud pública a nivel mundial. En este artículo los autores, expertos ...
Líderes de las organizaciones más importantes de la odontología del continente americano se reunieron en el Congreso Regional de la Federación Dental ...
La compañía norteamericana Air Techniques presentó en el Congreso Lima 2016 por medio de su distribuidor un avanzado detector de caries...
Prostodoncista con Postgrado realizado en la Universidad Hokkaido de Japón, Roberto Rendón Yúdice es uno de los conferencistas del Congreso ...
La figura del higienista dental ha evolucionado más allá de la profilaxis y la educación en salud bucodental convirtiéndose en un miembro esencial de ...
La Asociación Dental Americana (ADA) invita anualmente a dentistas de todo el mundo a presentar solicitudes para participar como conferencistas en el...
Webinars en vivo
mar. 19 de mayo 2026
9:00 CST (Mexico City)
Webinars en vivo
mar. 19 de mayo 2026
11:00 CST (Mexico City)
Prof. Dr. med. dent. Ivo Krejci
Webinars en vivo
mié. 20 de mayo 2026
5:00 CST (Mexico City)
Dr. Graham Carmichael BDSc (Hons), DClinDent (Pros), FRACDS, Dr. Robert Gottlander DDS
Webinars en vivo
mié. 20 de mayo 2026
7:00 CST (Mexico City)
Webinars en vivo
mié. 20 de mayo 2026
9:00 CST (Mexico City)
Webinars en vivo
mié. 20 de mayo 2026
11:00 CST (Mexico City)
Prof. Dr. med. dent. Tim Joda PhD, MSc, eMBA
Webinars en vivo
jue. 21 de mayo 2026
10:00 CST (Mexico City)
Dr. Leonardo Muniz DDS, MSC
To post a reply please login or register