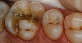
La compañía norteamericana Air Techniques presentó en el Congreso Lima 2016 por medio de su distribuidor un avanzado detector de caries que permite visualizar mediante luz LED los tejidos comprometidos por bacterias, lo cual facilita sobremanera el diagnóstico y el tratamiento de la caries.
Jomara Cardoso, representante de Air Techniques para América Latina, demostró en el Décimo Congreso de la Sociedad Peruana de Prótesis Dental y Maxilofacial el funcionamiento del sofisticado detector Spectra, el único dispositivo de detección de caries que funciona como un radar Doppler para descubrir tanto caries iniciales en una etapa temprana como caries en esmalte y dentina, donde no hay cavitación visible.
La detección temprana permite examinar las lesiones cariosas en una etapa previa a su desarrollo, lo que conduce a una mayor conservación y, a su vez, reduce la necesidad de realizar excavaciones profundas. Por otro lado, visualizar lesiones de caries donde no hay cavitación es también de gran beneficio para el paciente y el odontólogo.
"Es una gran herramienta que permite practicar una odontología preventiva o una odontología mínimamente invasiva, lo cual es algo novedoso", comentó Cardoso. La experta agregó que esta es la segunda generación del detector Spectra, "que es cada vez mejor, más sencillo y más fácil de operar".
Spectra utiliza un sistema de fluorescencia para detectar caries en fisuras y superficies lisas que pueden pasar desapercibidas en las imágenes de rayos X. Las regiones cariosas aparecen en color rojo, mientras que el esmalte sano aparece en verde.
El dispositivo es capaz de detectar las caries ocultas entre los márgenes de compuesto y restauraciones con amalgama. Además, Spectra puede utilizarse también durante la fase de restauración para verificar que se han eliminado todas las caries.
Mayor aceptación de casos
La experta brasileña explicó que el detector Spectra es un dispositivo muy popular entre los odontológos, ya que un diagnóstico temprano permite persuadir a los pacientes para que aprueben el tratamiento que necesitan.
"Es uno de los productos que todos los doctores buscan, que es parte de la línea de imagenología de Air Techniques, que incluye la cámara de video digital intraoral de alta resolución Cam-X Luna HD", continuó Cardoso.
Esta cámara ofrece una alta claridad para el diagnóstico y un enfoque continuo de la superficie de diente, lo que permite tomar desde imágenes del diente, la corona o el puente hasta un retrato del rostro completo del paciente. Un simple botón de captura de imagen mejora el flujo de trabajo, simplificado por su conexión USB.
"Tenemos también una línea de escáners de placas de fósforo, como el ScanX Duo", agregó Cardoso.
"Estamos en el año 2016 y hay clínicas que todavía siguen trabajando con películas y químicos que, además de ser un proceso lento, causan daño al medio ambiente", comentó la experta brasileña.
Cardoso manifestó que mientras que revelar una película suele tomar cinco minutos y requiere lidiar con un ambiente tóxico, los escáneres digitales obtienen imágenes en cuatro o cinco segundos con placas que son reutilizables de 1,500 a 1,800 veces.
"Y como las placas son flexibles, son mucho más cómodas para el paciente y más fáciles de manejar para el odontólogo, comparadas con un sensor rígido", explicó.
Air Techniques fabrica también una línea de compresores de alta calidad que funcionan con aire seco y limpio al 100%, conectados por un software a la clínica. Esto permite al odontólogo controlar a distancia el compresor, equipado con un sistema mediante el cual puede recibir servicio técnico vía internet.
Cardoso explicó que cuando el compresor detecta cualquier problema, automáticamente envía un email al servicio técnico de la compañía que se ocupa de que el mismo siga funcionando. Las diversas bombas de succión de Air Techniques cuentan con este mismo sistema, que garantiza la operabilidad constante del equipamiento.
En Perú, la empresa Dent Import distribuye los productos de Air Techniques.
Recursos
• Dent Import
• Sociedad Peruana de Prótesis Dental
MAESTROS DE LA ODONTOLOGIA — DRS. JUAN CARLOS BUITRAGO Y LESTER GIL
Directores del Dental Training Center de Miami, una de las principales ...
El autoclave Lina es el sistema de esterilización y desinfección más avanzado del mercado. El dispositivo utiliza un protocolo de esterilización de ...
W&H presentó una nueva e innovadora forma de detectar la caries durante el tratamiento, el dispositivo Facelight.
La compañía W&H presentó durante la reciente feria de IDS en Colonia (Alemania) una nueva e innovadora forma de detectar la caries ...
La empresa Orthoplus, líder en tratamientos de ortodoncia invisible, tiene ahora una plataforma online propia que permite recibir imágenes intraorales ...
La innovación es parte de las señas de identidad de algunas compañías que invierten en el desarrollo e investigación de dispositivos y materiales con ...
La innovación es parte de las señas de identidad de algunas compañías que invierten en el desarrollo e investigación de intrumental, dispositivos y ...
El flúor en pequeñas dosis promueve la salud oral al fortalecer el esmalte dental y prevenir la caries dental, según han demostrado una amplia cantidad ...
La compañía holandesa Bruxlab ha desarrollado una serie de herramientas diagnósticas para grabar y cuantificar los sonidos del rechinar...
La falta de inversión revela la negligencia de los gobiernos en el primer nivel de atención.
Webinars en vivo
mar. 19 de mayo 2026
9:00 CST (Mexico City)
Webinars en vivo
mar. 19 de mayo 2026
11:00 CST (Mexico City)
Prof. Dr. med. dent. Ivo Krejci
Webinars en vivo
mié. 20 de mayo 2026
5:00 CST (Mexico City)
Dr. Graham Carmichael BDSc (Hons), DClinDent (Pros), FRACDS, Dr. Robert Gottlander DDS
Webinars en vivo
mié. 20 de mayo 2026
7:00 CST (Mexico City)
Webinars en vivo
mié. 20 de mayo 2026
9:00 CST (Mexico City)
Webinars en vivo
mié. 20 de mayo 2026
11:00 CST (Mexico City)
Prof. Dr. med. dent. Tim Joda PhD, MSc, eMBA
Webinars en vivo
jue. 21 de mayo 2026
10:00 CST (Mexico City)
Dr. Leonardo Muniz DDS, MSC
To post a reply please login or register