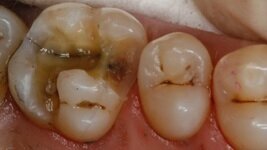
W&H presentó una nueva e innovadora forma de detectar la caries durante el tratamiento, el dispositivo Facelight.
Gracias a la iluminación de las cavidades abiertas con Facelight, la caries aparece en rojo fluorescente, lo que la distingue fácilmente del tejido sano, que se visualiza en verde fluorescente. Este contraste se intensifica gracias a las gafas de diagnóstico que se incluyen.
Esta nueva tecnología ofrece una rápida y exacta de detección de la caries y facilita un tratamiento mínimamente invasivo, ya que npermite eliminar de forma selectiva la dentina infectada durante el tratamiento, garantizando un mínimo riesgo de recidiva de caries.
La compañía W&H presentó durante la reciente feria de IDS en Colonia (Alemania) una nueva e innovadora forma de detectar la caries ...
La compañía norteamericana Air Techniques presentó en el Congreso Lima 2016 por medio de su distribuidor un avanzado detector de caries...
Con el fin de contribuir al desarrollo de políticas públicas en salud bucal infantil y en defensa de los intereses de los pacientes en el ...
El Greater New York Dental Meeting (GNYDM) presentará una serie de nuevos programas educativos, pabellones de tecnología y de laboratorio, y ...
La compañía holandesa Bruxlab ha desarrollado una serie de herramientas diagnósticas para grabar y cuantificar los sonidos del rechinar...
Este artículo describe una técnica denominada «fisurotomía» para la eliminación de la caries que ayuda a conservar ...
Una encuesta realizada entre un amplio grupo de población indica que la mayoría de las personas encuestadas piensa que el papel del equipo de salud ...
La reconocida empresa italiana fabricante de instrumental odontológico, Medesy, presenta un nuevo periotomo que ofrece una amplia seria de ventajas. ...
Iveri Whitening Sytem presentó en Puerto Rico su sistema de blanqueamiento dental para uso en el consultorio en una o dos sesiones de 20 minutos, el ...
El V-Posil es un material que ofrece máxima precisión y tiempos de manipulación y fraguado que se adaptan a las exigencias prácticas del odontólogo.
Webinars en vivo
mié. 29 de abril 2026
17:00 CST (Mexico City)
Dr. Renato Leonardo D.M.D.
Webinars en vivo
jue. 30 de abril 2026
11:00 CST (Mexico City)
Webinars en vivo
dom. 3 de mayo 2026
10:00 CST (Mexico City)
Dr. Rickard Brånemark MSc, MD, PhD, Dr. Robert Gottlander DDS
Webinars en vivo
dom. 3 de mayo 2026
18:00 CST (Mexico City)
Webinars en vivo
mar. 5 de mayo 2026
8:00 CST (Mexico City)
Webinars en vivo
mar. 5 de mayo 2026
10:00 CST (Mexico City)
Webinars en vivo
mar. 5 de mayo 2026
11:00 CST (Mexico City)
Dr. Maximilian Dobbertin M.Sc
To post a reply please login or register