Search Dental Tribune

Tratamiento preventivo en el paciente adulto mayor (7)

Foto: "Bicicleta" escultura de Antoni Miró, imagen que es parte del ensayo fotográfico "Mirando a Miró”/ Javier de Pisón
El Dr. José Carmelo Ortola Siscar, Codirector del Diploma de Especialista en Gerodontología en la Universidad de Valencia, explica que la higiene, el nivel de riesgo de caries y el tipo de prótesis son factores que se deben evaluar para determinar los tratamientos necesarios, el tipo de profilaxis y la periodicidad de las revisiones en el paciente adulto mayor.

lun. 14 agosto 2023

guardar

El Dr. José Carmelo Ortola Siscar, Codirector del Diploma de Especialista en Gerodontología en la Universidad de Valencia, describe en este artículo el tratamiento preventivo en el paciente adulto mayor, que requiere una exhaustiva higiene oral y, frecuentemente, también tratamiento periodontal para evitar la pérdida de dientes comprometidos. El diagnóstico dictará el tipo de profilaxis necesaria y una evaluación del nivel de riesgo bucodental nos permitirán determinar la periodicidad de las revisiones que requiere el paciente.

Séptimo artículo

EDICION ESPECIAL SOBRE ODONTOGERIATRIA 

Serie de 12 artículos sobre la especialidad de Dental Tribune

La correcta higiene oral es el punto de partida de la prevención de las principales enfermedades que pueden afectar a los dientes, la caries y la enfermedad periodontal, siendo éstas las responsables de la pérdida dental. Con el paso de los años, se van afectando todas las estructuras bucales. La higiene oral continúa siendo perfectamente válida para ayudar a mantener la salud buco-dental, con independencia de la edad.

Por regla general, conforme aumenta la edad, empeora la higiene oral, por distintas causas, existiendo una asociación directa entre el grado de deterioro mental y el deterioro de la higiene oral, causando acúmulos de placa, gingivitis, sangrado gingival y todas sus repercusiones1.

Por regla general, conforme aumenta la edad, empeora la higiene oral, y existe una asociación directa entre el grado de deterioro mental y el deterioro de la higiene oral.

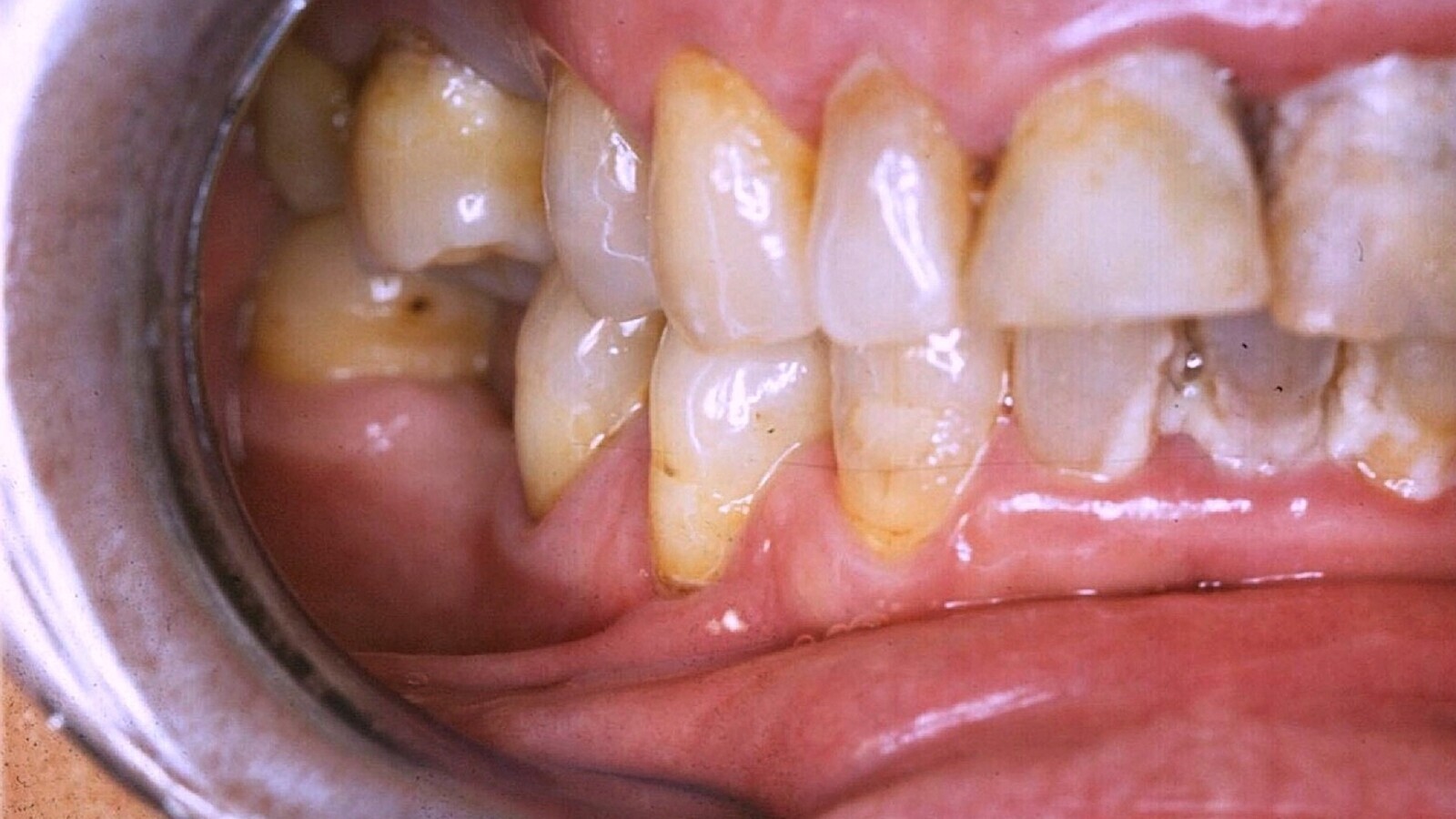
Así pues, antes de plantear cualquier medida higiénica, se tiene que valorar el estado del paciente y su capacidad para poder proceder al mantenimiento de su higiene oral, ya que podemos encontrar desde paciente mayores perfectamente válidos hasta pacientes frágiles o con distintos grados de dependencia e incapaces de mantener sus cuidados higiénicos personales mínimos diarios ni tampoco los bucodentales (Fig. 1).

Figura 1. La higiene deficiente es habitual en este colectivo por diversas razones, entre ellas problemas médicos; de hecho, existe una asociación directa entre el grado de deterioro mental y el deterioro de la higiene oral.

Esto nos conduce a que deberemos insistir en las instrucciones de higiene oral, que en aquellos pacientes mayores válidos serán las mismas que en los adultos jóvenes: cepillado correcto para el control mecánico de placa (cepillo manual o eléctrico). En aquellos casos con problemas motores o de limitación de movimiento, deberemos de adaptar y personalizar los mangos del cepillo con la finalidad de facilitar su manejo. Además, se aconseja instruirles en el uso de auxiliares higiénicos, especialmente de cepillos interproximales, ya que el manejo correcto de la seda o cinta dental se hace complicado. A todo ello, si es necesario podemos añadir elementos de control químico de placa en función de las necesidades, como son los colutorios de antisépticos o bien añadir colutorios fluorados para el refuerzo de las estructuras.

En casos con problemas motores o de limitación de movimiento, deberemos de adaptar y personalizar los mangos del cepillo con la finalidad de facilitar su manejo.

Pero en este colectivo adquiere mayor importancia cada día la higiene bucodental en los pacientes dependientes, siendo en éstos donde el profesional tiene que tomar una postura más activa. Los pacientes dependientes y también los denominados como “frágiles”, suelen ser pacientes que además de tener otras patologías añadidas que requieren múltiples medicaciones, pueden presentar algún grado de deterioro mental. Estos tienen una mayor tendencia a padecer problemas orales, especialmente aquellos que aún mantienen dientes naturales. Muchos de ellos, están infradiagnosticados en cuanto a sus problemas bucodentales, ya que su propio estado impide una correcta comunicación verbal y no pueden transmitir sus problemas. Es en estos casos donde el papel de supervisión de un profesional en salud oral se impone, ya que serán ellos quienes tienen que decidir los protocolos a aplicar a cada paciente.

Los pasos a seguir en este colectivo de pacientes para poder realizar un correcto programa preventivo de su salud oral, son los siguientes:

1. Realizar un diagnóstico de sus necesidades de tratamiento

Es una reivindicación histórica que se incluya en los exámenes de valoración geriátrica integral (VGI) un examen de salud oral. Con ello, se podrían detectar las necesidades de tratamiento de estas personas. Actualmente, ya se está desarrollando una validación de un test dirigido a profesionales de la atención geriátrica para que con su aplicación puedan detectar la necesidad de que un odontólogo revise a las personas que lo necesiten, y estamos hablando del “interRAI oral health” (instrumento de evaluación geriátrica integral que se utiliza para determinar la capacidad y las necesidades funcionales, sanitarias y sociales de las personas mayores), cuya aplicación supondrá un avance en el campo de la salud buco-dental de este colectivo de personas dependientes y frágiles2.

Los pacientes dependientes pueden presentar algún grado de deterioro mental y una mayor tendencia a padecer problemas orales, especialmente aquellos que aún mantienen dientes naturales.

Una vez revisados por el odontólogo y realizado el diagnóstico de sus necesidades, se le realizarán los tratamientos necesarios (empezando por la higiene-detartraje y/o raspados, extracciones de dientes no recuperables y tratamientos de caries si las hubiera). Posteriormente, el odontólogo valorará al paciente en función del “riesgo percibido” para poder incluirlo en un protocolo de mantenimiento, programando así las visitas futuras, con una frecuencia que dependerá de su situación de salud general (Figs. 2, 3 y 4).

Figura 2. Paciente de bajo riesgo de caries, con una higiene aceptable. En casos de riesgo bajo de caries se recomienda realizar una revisión cada 6 meses.

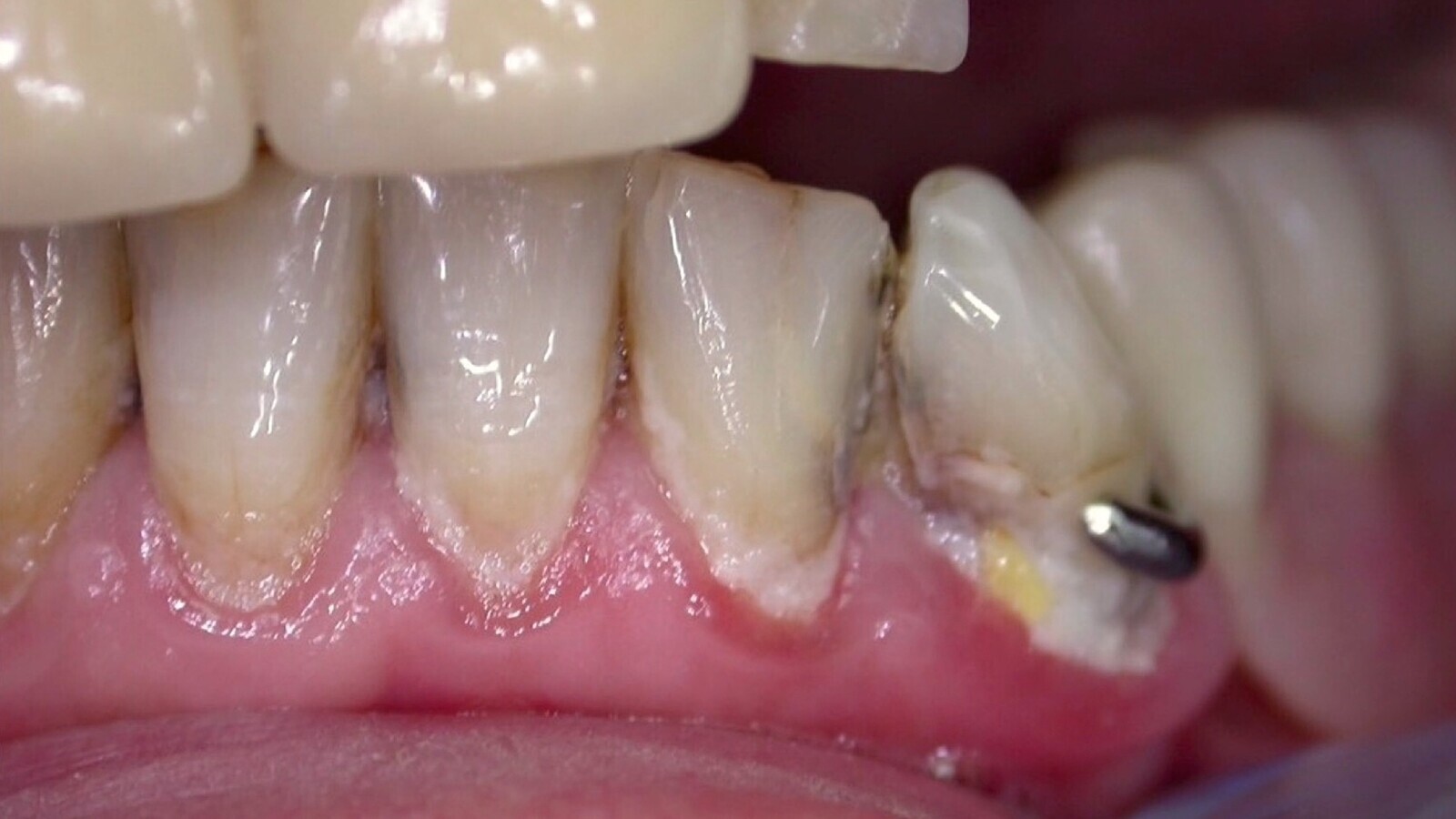
Figura 3. Paciente con riesgo moderado de caries, higiene deficiente, ausencia de dientes y obturaciones (historia de caries). En casos de riesgo moderado de caries se aconseja realizar revisiones cada 3 a 4 meses.

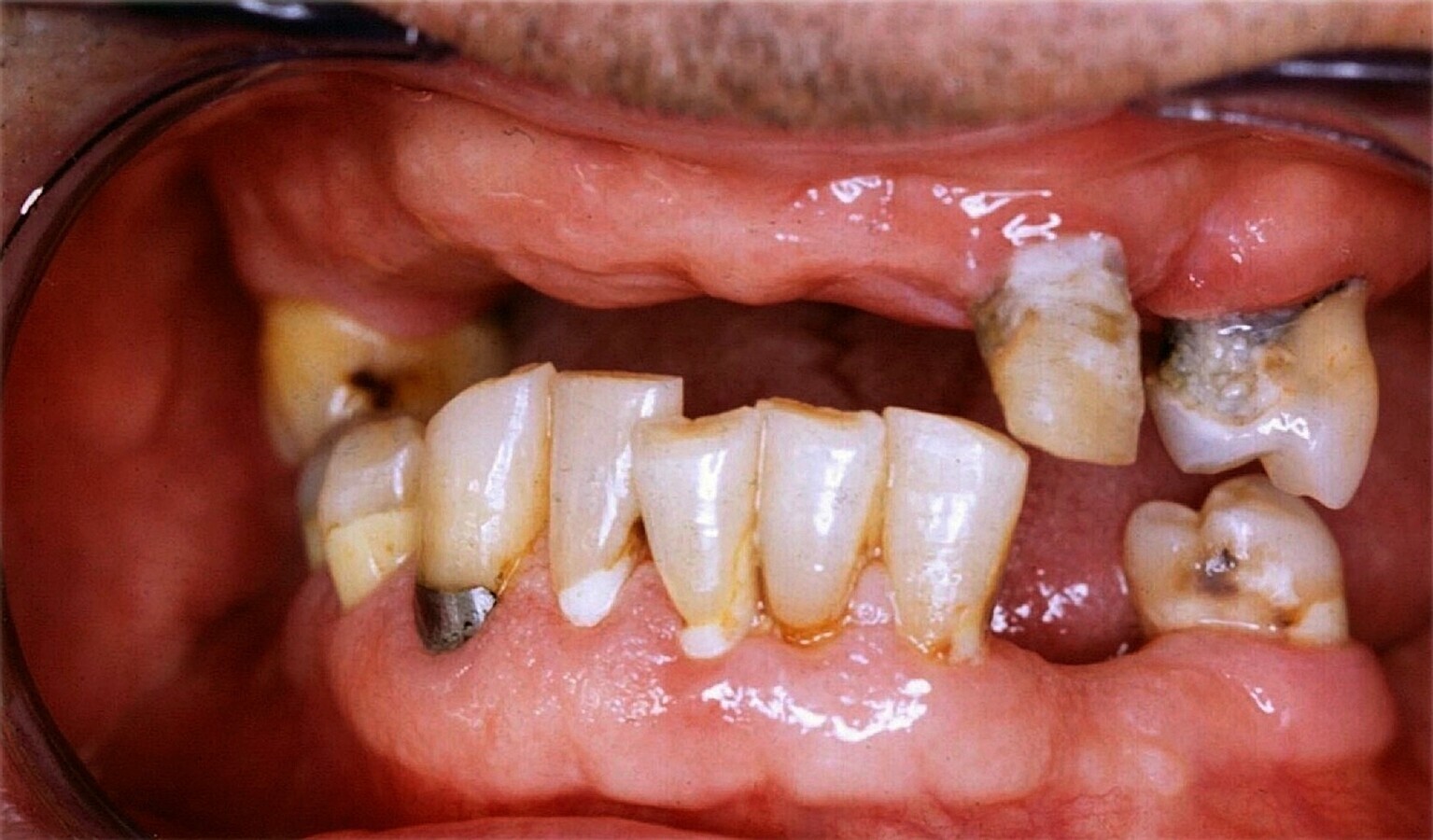
Figura 4. Paciente de alto riesgo, con ausencias dentales, portador de prótesis removible, obturaciones, caries activas y presencia de placa. En casos de alto riesgo se deben realizar los tratamientos pertinentes y las revisiones cada 2 a 3 meses.

2. Nivel de riesgo bucodental

Una vez que el paciente se cataloga de bajo, medio o alto riesgo de desarrollar problemas bucodentales (acumulo de placa, caries radiculares), se le incluirá en un programa. El consejo es realizar visitas inicialmente cada 2 meses en aquellos pacientes de alto riesgo y como máximo cada 6 meses en los de bajo riesgo. En cada una de las visitas, el odontólogo hace una revisión, si hay que realizarle algún tratamiento y valoración de su evolución, y el/la higienista dental procede a realizarle una limpieza nuevamente y aplicar el barniz o gel fluorados que le indique el odontólogo (Figs. 5, 6 y 7). Posteriormente, se reforzarán las instrucciones para la limpieza diaria por el propio paciente, personal auxiliar cuidador o familiares del paciente.

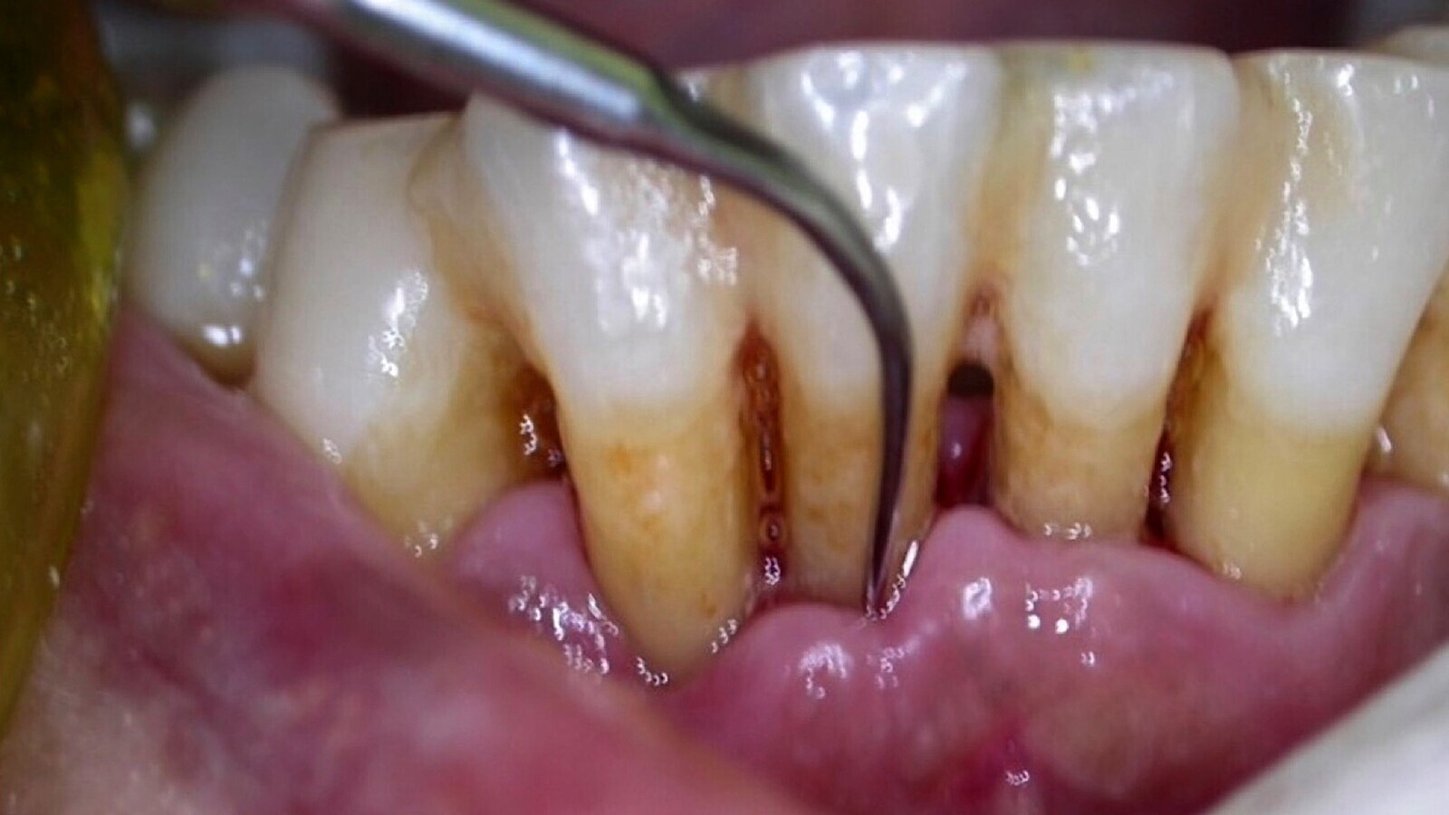
Figura 5. Se deben realizar limpiezas con ultrasonidos y/o curetas, según las necesidades del paciente.

Figura 6. El pulido con pasta de profilaxis se debe realizar incluso en los espacios interproximales.

Figura 7. La aplicación de barniz de flúor de alta concentración es un protocolo de profilaxis altamente efectivo que protege contra la caries.

Es difícil generalizar estos protocolos, ya que dependen de varios factores. Por ello, es imprescindible poder clasificar a los pacientes en función del riesgo3 y con las sucesivas visitas, si apreciamos que mejora su salud oral, iremos alargando los periodos (de 2 meses, pasamos a 3, hasta llegar a los 6 meses, o sea dos veces al año como mínimo). También puede y suele darse la circunstancia inversa, y es que el paciente vea incrementado su riesgo, entonces reduciremos la periodicidad.

Es posible hacer una “prevención activa” de las dos principales enfermedades buco-dentales más frecuentes en esta población, para lo cual tenemos que conocer los criterios de riesgo para programar protocolos de actuación.

Los servicios de asistencia dental deben coordinarse con otros profesionales de la salud que estén al cuidado de estos pacientes (o familiares) y es de vital importancia para el mantenimiento de su salud bucodental que el personal auxiliar y cuidadores entiendan las medidas que les prescribiremos para el correcto mantenimiento de su higiene oral; de lo contrario, cualquier medida que emprendamos y todos nuestros esfuerzos, fracasarán, por lo que debemos insistir en una correcta formación en esta materia4.

Conclusión

Para poder realizar un buen tratamiento preventivo en los adultos mayores, el papel del profesional es cada vez más importante y participativo en la aplicación correcta de programas preventivos. No podemos confiar en el propio paciente para que mantenga una correcta higiene de su boca e incluso de sus prótesis, por eso la formación del personal auxiliar de enfermería, los cuidadores y los familiares, es de vital importancia para poder garantizar una mínima salud oral.

Los profesionales de la salud bucodental, tanto odontólogos como higienistas dentales, debemos de tener claro que es posible hacer una “prevención activa” de las dos principales enfermedades buco-dentales más frecuentes (enfermedad periodontal y caries, especialmente la radicular en estos pacientes) y para ello, tenemos que conocer bien los criterios de riesgo para programar los distintos protocolos de actuación.

Esta prevención es posible incrementando la frecuencia de visitas al dentista para realizar tratamientos muy básicos. Por ello, se pueden considerar como visitas de “alta frecuencia” y “bajo costo”, ya que, por regla general, el pensionista ve reducido su poder adquisitivo y solo de esta forma podremos ayudar a este colectivo de personas a mantener su salud oral.

______________________________________________________________________________________________________________

Autor

El Dr. José Carmelo Ortola Siscar es Codirector del Diploma de Especialista en Gerodontología, Universidad de Valencia y Profesor coordinador de la asignatura de Gerodontología, Departamento de Estomatología, Universidad de Valencia.

___________________________________________________________________________________________________________________

“Mirando a Miró”. Las imágenes que ilustran este número monográfico pertenecen a “Mirando a Miró”, ensayo fotográfico de Javier de Pisón sobre la obra escultórica del artista Antoni Miró. Esta serie de esculturas de Miró, realizadas entre 2008 y 2011, tiene doble cara (anverso y reverso o positivo y negativo), están hechas en acero corten, y se exhibieron en Altea, Alicante, como parte de las exposiciones "De mar a mar"(2022) y “Arte a la intemperie” (2023).

___________________________________________________________________________________________________________________

Referencias

  1. Gil JA, Sanchez I, Carnero C, Fornieles F, Barrios R, Gonzalez MA, Bravo M. Oral Hygiene in the Elderly with Different Degrees of Cognitive Impairment and Dementia. J Am Geriatr Soc.2017 Mar;65(3):642-647.
  2. Krausch-Hofmann S, Dung T, Janssens B, Duyck J, Declerck D et all. Assessment of oral health in older adults by non-dental professional caregivers—development and validation of a photograph-supported oral health–related section for the interRAI suite of instruments. Clinical Oral Investigations. 2021;25 (6):1-12
  3. Zhang J, Sardana D, Wong MCM, Leung KCM, Lo ECM. Factors Associated with Dental Root Caries: A Systematic Review. JDR Clinical & Translational Research. 2020;5(1):13-29
  4. Rozas N, Sadowsky J, Jeter C. Strategies to improve dental health in elderly patients with cognitive impairment: A systematic review. J Am Dent Assoc. 2017 Apr;148(4):236-245

___________________________________________________________________________________________________________________

Ver la Edición Especial sobre Odontogeriatría de Dental Tribune.

    RECIBE GRATIS TODOS LOS ARTICULOS SOBRE ODONTOGERIATRIA

 

ARTICULO AUTOR
1 Introducción del número: el arte y la ciencia de la Odontogeriatría Belisa Olmo González
2 Gerodontología para el paciente vulnerable institucionalizado o en domicilio Belisa Olmo, Manuel Ribera
3 Importancia de evaluar el rápido deterioro de la salud oral entre los adultos mayores Leonardo Marchini
4 Elaboración de prótesis parciales removibles en pacientes ancianos Rosa Moreno
5 La dependencia en la atención sanitaria y dental en gerodontología Fuensanta López, Susana Martínez
6 Fitoterapia en la tercera edad Claudia Elena
7 Tratamiento preventivo en el paciente adulto mayor José Carmelo Ortola
8 Relación de la enfermedad periodontal con enfermedades sistémicas en el paciente adulto mayor Patricia Truchuelo, Luis Sánchez-Labrador
9 Lesiones de la mucosa oral en odontogeriatría Sonia Egido, Berta Rivas
10 Xerostomía en paciente adulto mayor repercusiones en el manejo dental Ana Póveda
11 Uso de la sedación consciente con óxido nitroso en Gerodontología Victor Gil, Angela Galeotti
12 La cirugía bucal en el paciente adulto mayor Pedro Luis Ruiz Sáenz, Juan Santos Marino

 

 

 

 

 

 

To post a reply please login or register
advertisement
advertisement