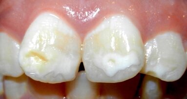
La desmineralización provocada por la acumulación de placa a menudo produce lesiones de mancha blanca en los dientes después de la remoción de los brackets de ortodoncia. Según un estudio realizado por investigadores de España, Reino Unido y Brasil, este problema podría abordarse con una nueva clase de biomateriales adhesivos.
Los tres nuevos tipos de adhesivos experimentales fueron desarrollados por investigadores del Departamento de Odontología de la Universidad CEU Cardenal Herrera en Valencia, en colaboración con el King's College London Dental Institute del Reino Unido y la Universidad Federal de Rio Grande do Sul en Porto Alegre, Brasil.
El estudio comparó tres adhesivos experimentales que contienen un nano-mineral bioactivo llamado halloysite, en cuyos nano-tubos se introdujo triclosan, un potente agente antibacteriano y fungicida, en diferentes concentraciones: al 5, 10 y 20 por ciento. La investigación comparó los tres nuevos biomateriales experimentales en cuanto a su capacidad de polimerización, su capacidad antibacteriana y sus propiedades bioactivas, no solo evitando la desmineralización de los dientes, sino promoviendo su remineralización.
Los tres materiales experimentales testados en laboratorio han demostrado capacidad de inhibición de la proliferación bacteriana en las primeras 24 horas tras su aplicación, pero solo la muestra con mayor concentración de triclosan, al 20 por ciento, ha mantenido esta capacidad tras 72 horas. En cuanto a la capacidad remineralizante, los tres materiales testados han demostrado ser efectivos solo dos semanas después de su aplicación en muestras de esmalte dental sumergidas en saliva experimental.
Estos resultados suponen un prometedor avance en el desarrollo de nuevos adhesivos capaces de evitar la aparición de las bacterias que desmineralizan el esmalte entorno a los brackets y, al mismo tiempo, remineralizar la zona, evitando así la aparición de manchas blancas en los dientes.
El Prof. Salvatore Sauro dijo a Dental Tribune International que "el siguiente paso que tenemos que afrontar ahora es organizar ensayos clínicos in vivo para evaluar si los excelentes resultados que obtuvimos in vitro pueden traducirse en un escenario clínico. Una vez que hayamos logrado esto, podremos comenzar a pensar en algún tipo de estrategia para la distribución y comercialización de estos materiales".
El estudio, titulado "Polymerisation, antibacterial and bioactivity properties of experimental orthodontic adhesives containing triclosan-loaded halloysite nanotubes", se publicó en el Journal of Dentistry.
Un grupo de investigadores ha creado un adhesivo que protege de la caries a los dientes alrededor de los brackets. Según un metaanálisis de 2015, la ...
Bebidas como el té, el café, los refrescos de cola o el vino tinto pueden decolorar la superficie de los dientes. Sin embargo, investigadores ...
Los congresos de la Federación Dental Internacional se caracterizan por presentar un alto nivel académico. El FDI Regional Congress 2025, que tendrá ...
El deseo de llevar brackets entre los adolescentes de países como Tailandia, Indonesia y Camboya es tal, que muchos se sienten decepcionados cuando ...
La mayor concienciación social por la salud bucodental unido a los innegables progresos tecnológicos en el diseño digital y de nuevos materiales ...
Los doctores Julio Pertuiset y Andrea Kristeller fueron los dos líderes de opinión chilenos invitados a las W&H Surgical Sessions, un evento de dos días ...
Nuestro deber como practicantes apasionados de la odontología es crear un ambiente especial en la consulta para que nuestros clientes se sientan cómodos. ...
Los ortodoncistas, y por extensión los dentistas, siempre nos movemos entre la dualidad del pragmatismo de nuestra práctica clínica cotidiana y la ...
Investigadores de la Universidad Nacional de Singapur (NUS) han desarrollado un escudo portátil con forma de carpa para prevenir la propagación del ...
Webinars en vivo
mar. 10 de febrero 2026
18:00 CST (Mexico City)
Prof. Dr. Wael Att, Dr. Robert A. Levine DDS, FCPP, FISPPS, AOD, Dr. Larissa Bemquerer ITI Scholar at Harvard
Webinars en vivo
mié. 11 de febrero 2026
10:00 CST (Mexico City)
Dr. med. dent. Sven Mühlemann
Webinars en vivo
mié. 11 de febrero 2026
11:00 CST (Mexico City)
Prof. Dr. Samir Abou Ayash
Webinars en vivo
vie. 13 de febrero 2026
11:00 CST (Mexico City)
Webinars en vivo
lun. 16 de febrero 2026
11:00 CST (Mexico City)
Webinars en vivo
mar. 17 de febrero 2026
11:00 CST (Mexico City)
Webinars en vivo
mié. 18 de febrero 2026
8:00 CST (Mexico City)
Dr. Anna Lella, Ms. Francesca Nava
To post a reply please login or register