Search Dental Tribune

Cirugía implantológica avanzada

vie. 24 mayo 2019

guardar

El experto en implantología oral Juan Manuel Aragoneses, Vicerrector Académico de IESO, de UNINCE y ex-Director de Odontología de la Universidad Europea de Madrid, describe técnicas avanzadas para la colocación de implantes, que abarcan desde la Regeneración Ósea Guiada a los Injertos en Bloque o la Elevación de Seno.

1. REGENERACION OSEA GUIADA (ROG)

La Regeneración Osea Guiada (ROG) tiene como objetivo PROMOVER la regeneración de defectos óseos localizados en procesos alveolares a través de la interposición de elementos barrera que favorecen la colonización del defecto por células osteoprogenitoras de la cavidad medular adyacente al defecto y no por células del tejido blando1,2,3.

Sin embargo, la cantidad de hueso regenerado dependerá del espacio creado bajo el elemento barrera. Por ello, es imprescindible la existencia y el mantenimiento de dicho espacio a lo largo del período de cicatrización ósea4,5. Teniendo en cuenta la facilidad de las membranas para la colapsarse, en ocasiones, no hay necesidad de una o más paredes, será necesario recurrir a materiales de injerto6,7,8.

TABLA 1. TECNICAS DE ROG 9
EN UNA FASE: Colocación inmediata del implante EN DOS FASES: Colocación diferida del implante, a los 4 - 6 meses tras la regeneración
INDICACIONES

  • Crestas finas ≥ 3.5 mm
  • Implantes postextracción
  • Dehiscencias o fenestraciones
INDICACIONES

  • Crestas finas ≥ 3.5 mm
  • Implantes postextracción
  • Ausencia de estabilidad primaria del implante
  • Colocación prostodóntica del implante inadecuada
  • Defectos óseos residuales amplios
  • Preparación de áreas futuras
CONTRAINDICACIÓN

  • Ausencia de estabilidad primaria del implante
  • Colocación prostodóntica del implante inadecuada
  • Defectos óseos amplios

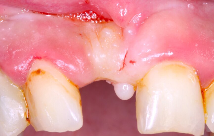
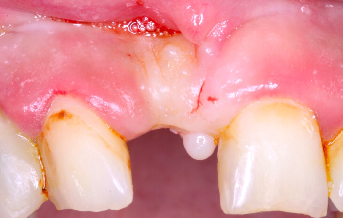
TECNICA EN DOS FASES

Fig. 1
Figura 1

  1. Anestesia infiltrativa vestibular y lingual o palatina en la zona a intervenir.
  2. Incisión paracrestal 2 mm hacia el palatino con hoja de bisturí 15C e intrasurcular al diente adyacente. Realización de la descarga de la distadora para una correcta visión del campo quirúrgico.

Fig. 2 Figura 2

  1. Elevación del colgajo mucoperióstico de espesor total con periostotomo exponiendo el defecto en su totalidad.
  2. Desbridamiento de todo el tejido blanco y granulomatoso presente en el defecto con la ayuda de cucharillas quirúrgicas.

Fig. 3 Figura 3

  1. Determinación de las dimensiones del defecto

Fig. 4 Figura 4

  1. Relleno del defecto con biomaterial (autólogo, homólogo, heterólogo, aloplástico o combinación).

Fig. 5 Figura 5

  1. Recubrimiento de la zona regenerada con membrana reabsorbible, adaptándola y extendiéndose 2 mm por fuera del defecto.

Fig. 6 Figura 6

  1. Reposición del colgajo mucoperiótico, en el caso de la liberación del perióstico para garantizar un colgajo sin tensión, cierre primario del lecho10.
  2. Sutura del colgajo con puntos simples y colchoneros horizontales con sutura 4/011,12.

 

TECNICA EN DOS FASES O SANDWICH13

Fig. 7 Figura 7

  1. Anestesia infiltrativa vestibular y lingual o palatina de la zona a intervenir.
  2. Incisión paracrestal 2 mm hacia palatino con hoja de bisturí 15C e intrasurcular a los dientes adyacentes.

Fig. 8 Figura 8

  1. Elevación del colgajo mucoperióstico a espesor total con periostotomo exponiendo el defecto en su totalidad.
  2. Desbridamiento de todo el tejido blando y granulomatoso presente en el defecto con la ayuda de cucharillas quirúrgicas.

Fig. 9 Figura 9

  1. Determinación de la posición del implante con la ayuda de férula quirúrgica y con una fresa redonda o lanceolada.
  2. Continuar con el protocolo de fresado estándar.

Fig. 10 Figura 10

  1. Inserción del implante, con una estabilidad primaria correcta y posición prostodóntica ideal.
  2. Realización de perforaciones en el lecho con fresa redonda para aumentar la disponibilidad de células osteogénicas y acelerar la revascularización y mejorar la unión injerto huésped.

Fig. 11 Figura 11

  1. Relleno del defecto con biomaterial: "Técnica de Sandwich".
  • 1a Capa: hueso autólogo o hueso particulado de reabsorción rápida.
  • 2da Capa: hueso particulado de reabsorción lenta.
  1. Recubrimiento de la zona regenerada con membrana reabsorbible, adaptándola y extendiéndose 2 mm por fuera del defecto.

Fig. 12 Figura 12

    1. Reposición del colgajo mucoperióstico, en el caso de la liberación del perióstico para garantizar un colgajo sin tensión, cierre primario del lecho10.
    2. Sutura del colgajo con puntos simples y colchoneros horizontales con sutura 4/011,12.

2 INJERTOS EN BLOQUE

Los injertos onlay se emplean para el aumento de altura y/o anchura del reborde alveolar (< 3.5 mm de anchura) a través de la inserción de fragmentos o bloques óseos asociados o no a membranas con refuerzo de titanio en la zona receptora14,15. Esta técnica se lleva a cabo con la colocación diferida de implantes tras un periodo de curación de 6-9 meses16,17,18,19.

En la elección del tipo de material de injerto, se debe tener en consideración que ante hueso tipo I o II según la clasificación de Lekholm y Zard (frecuente a nivel mandibular), será preferible la aplicación de hueso autólogo por sus propiedades osteoinductivas, ostoconductivas y osteogénicas. No obstante, en hueso tipo III o IV según la clasificación de Lekholm y Zard (habitual en el maxilar superior), el tipo de biomaterial no será tan determinante20.

LECHO RECEPTOR

Fig. 13 Figura 13

      1. Anestesia infiltrativa vestibular y lingual o palatina de la zona a intervenir.
      2. Incisión paracrestal 2 mm hacia palatino con hoja de bisturí 15C y descargas liberadoras mesial y distal para una correcta visión del campo quirúrgico.

Fig. 14 Figura 14

      1. Elevación del colgajo mucoperióstico a espesor total con periostotomo exponiendo el defecto en su totalidad.
      2. Determinación de las dimensiones del injerto.

LECHO DADOR

ALOINJERTO

Manipulación extraoral del injerto según las dimensiones del lecho receptor.

Aloinjerto1 Aloinjerto2

RAMA MANDIBULAR

- Anestesia troncular bilateral e infiltrativa

- Incisión medial a la cresta oblicua externa que se extiende lateralmente y anteriormente a la almohadilla retromolar, no se
extiende más allá del plano oclusal para no dañar la arteria e intrasurcular en molares

Aloinjerto1 - Elevación del colgajo a espesor total
- Osteotomías

  • a. Corte oblicuo externo: parte anterior al proceso coronoides y 3-5 mm medial a la cresta oblicua. Puede extenderse hasta distal del 1º molar.
  • Longitud del corte:
    15 o 40 mm si es para uno o mas dientes respectivamente.
    b. Corte superior de la rama: por encima y perpendicular a la cresta oblicua externa.
  • c. Corte anterior del cuerpo mandibular: extensión hacia la región del 1º y 2º molar.
  • d. Osteotomía inferior de grosor parcial

- Despegamiento del injerto con cincel a lo largo de la osteotomía oblicua externa paralela a la pared lateral de la rama para no dañar el nervio alveolar inferior
- Conservación del injerto en solución salina
- NO recolectar hueso esponjoso adicional
- Redondear cualquier borde afilado que quede en la rama con fresa o lima
- Reposición del colgajo
- Sutura 3/011

SINFISIS MANDIBULAR
- Anestesia troncular bilateral e infiltrativa
- Tipo de incisión según estado periodontal y nivel de
inserción muscular (extensión limitada a los caninos)

a. Incisión vestibular en la mucosa alveolar: a 3-5 mm de la línea mucogingival.
- Gran iAloinjerto1 nflamación
- Pérdida ósea entorno a los dientes

Aloinjerto1

b. Incisión surcular:
- Vestíbulo poco profundo
-Tensión musculatura mentoniana
- Elevación del colgajo a espesor total
- Osteotomía con fresa redonda a 4 a 5 mm de los ápices dentarios, foramen del mentoniano y borde inferior de la sínfisis delineando el contorno externo del injerto
- Despegamiento del injerto con cincel (no perforar la cortical lingual)
- Conservación del injerto en solución salina
- Relleno del lecho dador con hueso particulado y membrana
- Reposición del colgajo
- Sutura 3/011,21,22

LECHO RECEPTOR

Fig. 15 Figura 15
5. Fijación del injerto previamente modelado al lecho con microtornillo de 1.5 a 2 mm de diámetro.

Fig. 16 Figura 16
6. Relleno de hueso particulado en la intersección entre el injerto óseo y el lecho receptor.

Fig. 17 Figura 17
7. Recubrimiento con una membrana reabsorbible o no reabsorbible para evitar la infiltración de tejido blando y garantizar la regeneración del defecto.
8. Fijación de la membrana con chinchetas para evitar su desplazamiento durante la reposición del colgajo.

Fig. 18 Figura 18
9. Reposición del colgajo mucoperióstico, en caso necesario liberación del periostio para garantizar un colgajo sin tensión y cierre primario del lecho12.
10. Sutura de los colgajos con puntos simples y colchoneros horizontales con sutura de 4/013, 14.

3. ELEVACIÓN SINUSAL (ES)

Procedimiento quirúrgico dirigido al aumento del tejido óseo para la rehabilitación de los tramos edéntulos en el sector posterior del maxilar a través de la elevación de la membrana sinusal. En la actualidad, existen distintas técnicas de aumento óseo, según la disponibilidad de hueso residual remanente (Tabla 2)23.

TABLA 2. CLASIFICACION DE JENSEN & JENSEN
HUESO RESIDUAL TECNICA A REALIZAR, COLOCACION DE LOS IMPLANTES
Clase D ((≥ 10 mm)
Clase C (7-9 mm)
Clase B (4-6 mm)
Clase A (0-3 mm)
Colocación simultánea de los implantes
ES Atraumática con osteotomos y colocación simultánea de los implantes (con o sin biomaterial)
ES Traumática en 1 sola fase (colocación simultánea de los implantes)
ES Traumática en 2 fases (colocación diferida de los implantes)

ELEVACION DE SENO TRAUMATICA24

Fig. 19 Figura 19
1. Anestesia infiltrativa vestibular y lingual para la anestesia del nervio infraorbitario, alveolar posterosuperior y palatino mayor.
2. Incisión paracrestal 2 mm hacia palatino con hoja de bisturí 15C, intrasurcular al 1.2. y descargas liberadoras mesial y distal para una correcta visión del campo quirúrgico.

Fig. 20 Figura 20
3. Elevación del  colgajo mucoperióstico a espesor total con periostotomo exponiendo el la tabla vestibular maxilar ligeramente superior a la altura prevista del techo de la ventana lateral.

Fig. 21 Figura 21
4. Confección de la ventana lateral a 2-3 mm del suelo del seno con ayudad de un piezoeléctrico, rascador o fresa de bola de carburo de tugsteno nº 6 u 8 sobre un contraángulo.

Fig. 22 Figura 22
5. Despegamiento y elevación de la membrana sinusal con curetas de elevación desde los bordes laterales e inferiores del seno hasta la pared medial hasta conseguir
la proyección de la membrana hacia arriba.

La manipulación de la tabla ósea vestibular antes de la elevación de la membrana puede realizarse de las siguientes maneras:
1. Adelgazamiento del hueso de la ventana hasta dejar una laminilla ósea.
2. Remoción de la ventana.
Fractura de la tabla ósea cortical como una puerta “vaivén” para usarla como borde superior del compartimiento del seno dejándola unida a la mucosa del seno.
ELEVACION CON COLOCACION DIFERIDA DEL IMPLANTE
(Clasificación de Jensen & Jensen, Clase A).

Fig. 23 Figura 23
5. Relleno del compartimento creado con biomaterial. No debe compactarse mucho para evitar el riesgo de perforación de la membrana. Tras un periodo de curación de 6 meses se procederá a la colocación de los implantes dentales.
6. El recubrimiento de la ventana con membrana reabsorbible está en controversia. Sin embargo, en caso de colocarla es fundamental adaptarla a las dimensiones de la ventana sobreextendiéndola 2 mm25,26,27.
ELEVACION CON COLOCACION SIMULTANEA DEL IMPLANTE
(Clasificación de Jensen & Jensen, Clase B)
- 1ª Opción: Relleno de la cavidad sinusal con el material de injerto y posterior preparación del lecho y colocación de implantes dentales.
- 2ª Opción: Preparación del lecho y colocación de implantes dentales y posterior relleno de la cavidad sinusal con material de injerto.

Fig. 24 Figura 24
7. Reposición del colgajo mucoperióstico, en caso necesario liberación de periostio para garantizar un colgajo sin tensión, cierre primario del lecho10.
8. Sutura de los colgajos con puntos simples y colchoneros horizontales con sutura 4/1011,12.

ELEVACION DE SENO ATRAUMATICA28
Fig. 25 Figura 25
1. Anestesia infiltrativa vestibular y lingual para la anestesia del nervio infraorbitario, alveolar posterosuperior y palatino mayor.
2. Incisión paracrestal 2 mm hacia palatino con hoja de bisturí 15C, intrasurcular los dientes adyacentes

Fig. 26 Figura 26
3. Elevación del colgajo mucoperióstico a espesor total exponiendo la cresta ósea.

Fig. 27 Figura 27
4. Determinación de la posición del implante con la férula quirúrgica y una fresa redonda o lanceolada.

Fig. 28 Figura 28
5. Continuar con el protocolo de fresado estándar a una distancia de unos 2 mm por debajo del suelo del seno.

Fig. 29 Figura 29
6. Con osteotomos troncocónicos de diámetro pequeño (1-1.5 mm menos que el diámetro del implante) se dan golpes suaves hacia el hueso compacto del suelo del seno para rear una fractura en “tallo verde”.

A. COLOCACION DEL IMPLANTE SIN MATERIAL DE INJERTO

- Introducir el osteotomo troncocónico (1-1.5 mm de diámetro menor que el implante) hasta que penetre en el piso del seno.
- Mantener el control de la longitud precisa de penetración, para evitar perforaciones.
- El último osteotomo, debe tener el diámetro y forma adecuado para que se coloque el IOI, ya que si demasiado pequeño habrá que ejercer demasiada fuerza para insertar
el implante y por consiguiente habrá más riesgo de reabsorción.
- Verificar si la profundidad de inserción es la correcta con osteotomos con punta redondeada.

B. COLOCACION DEL IMPLANTE CON BIOMATERIAL

Fig. 30 Figura 30
- Inserción del biomaterial en el lecho y aplicación de los osteotomos hasta 2 mm por debajo del suelo del seno, sin penetrar en la cavidad sinusal.

Fig. 31 Figura 31- A la 4ª o 5ª vez que se aplica el material de injerto, se puede penetrar con la punta del osteotomo hasta 1 mm en la cavidad sinusal.

Fig. 32 Figura 32
7. Inserción del implante seleccionado.
8. Reposición del colgajo mucoperióstico, en caso necesario liberación del periostio para garantizar un colgajo sin tensión, el cierre primario de todo el lecho10.
9. Sutura del colgajo con puntos simples con sutura 4/011,12.

TABLA 3. INDICACIONES POSTOPERATORIAS GENERALES 29,30.
MEDIDAS FISICAS• Mantener la gasa apretada durante unos 30 - 45 minutos, Si continúa el sangrado colocar otras gasa durante 1h.

• Aplicar hielo en la zona intervenida durante 10 minutos intermitentes durante las primeras 18 horas

• No llevar prótesis removible el máximo tiempo posible, mínimo 2 meses. En caso de colocarla rebasarla.

• Remoción de la sutura en 2 semanas

MEDIDAS HIGIENICAS

• Higiene oral estricta cuidadosa en la zona intervenida para facilitar el control de la placa
• Aplicación de gel de clorhexidina al 0.12% 2-3 veces al dia durante 2 semanas
• Enjuagues de clorhexidina al 0.12% 2-3 veces al día durante 2 semanas. comenzar pasadas 24h de la intervención

MEDIDAS POSTURALES
• No realizar ejercicio físico
• Dormir con la cabeza más alta que el cuerpo

MEDIDAS FARMACOLOGICAS
• Tratamiento antibiótico (Amoxicilina 750 mg-1g o Clindamicina 300 en caso de alergia) durante 7 días
• Tratamiento antiinflamatorio Ibuprofeno 400-600 mg cada 8h durante 3 días o con dolor.

*CORTICOIDES: Metilprednisolona (Urbason) 40 mg i.m. (o v.o. 1 comprimido cada 24 durante 3 días).

 

Referencias

  1. Buser D, Dula K, Hirt HP, Schenk RK. Lateral ridge augmentation using autografts and barrier membranes: a clinical study with 40 partially edentulous patients. J Oral Maxillofac Surg 1996; 54:420-32.
  2. Hämmerle CHF. Membranes and bone substitutes in guided bone regeneration. En: Lang NP, Karring T, Lindhe J (Eds.). Proceedings of the 3rd European Workshop on Periodontology. Implant Dentistry Quintessence.1999:468-99.
  3. Blanco J, Alonso A, Sanz M. Long term results and survival rate of implants treated with guided bone regeneration: a 5-year case series prospective study. Clin Oral Impl Res 2005;16:294-301.
  4. Dahlin C, Andersson L, Linde A. Bone augmentation at fenestrated implants by an osteopromotive membrane technique: A controlled clinical study. Clin Oral Impl Res 1991;2:159-165.
  5. Hurzeler M, Kohal R, Nagshbandi J, Mota L, Conradt J, Hutmacher D, Caffesse R. Evaluation of a new bioresorbable barrier to facilitate guided bone regeneration around exposed implant threads. Int J Oral Maxillofac Implants 1998;27:315-320.
  6. Schenk R, Buser D, Harwick W, Dahlin C. Healing pattern of bone regeneration in membrane protected defects. A histologic study in the canine mandible. Int J Oral Maxillof Implants 1994; 9:13-29.
  7. Cornelini R, Cangini F, Martuscelli G, Wennström J. Deproteinized bovine bone and biodegradable barrier membranes to support healing following immediate placement of transmucosal implants: a short-term controlled clinical trial. Int J Perio Rest Dent 2004;24:555-63.
  8. Kohal R, Trejo P, Wirsching M, Hürzeler M, Caffesse R. Comparison of bioabsorble membranes for guided bone regeneration around submerged implants. An experimental study in the mongrel dog. Clin Oral Impl Res 1999;10:226-237.
  9. JIa-Hui Fu, Hom-Lay Wang. Horizontal Bone Augmentation: The Decision Tree. Int J Periodontics Restorative Dent. 2011; 31: 429-436.
  10. Burkhardt R, Lang NP. Role of flap tension in primary wound closure of mucoperiosteal flaps: a prospective cohort study. Clin. Oral Impl. Res. 21, 2010; 50–54.
  11. Burkhardt R, Preiss A, Joss A, Lang NP. Influence of suture tension to the tearing characteristics of the soft tissues: an in vitro experiment. Clin. Oral Impl. Res. 19, 2008; 314–319.
  12. Knut A. Seivig. Guy R. Blagiofti, Knut N. Leknes, M. E.Wtkesjö. Oral Tissue Reactions to Suture Materials. Int J Periodont Rest Dent 1998:18:475-487.
  13. Wang HL, MIsch C, Neiva RF. “Sandwich” bone augmentation technique: Rationale and report of pilot cases. Int J Periodontics Restorative Dent. 2004; 24: 232-245.
  14. Schwartz-Arad D, Levin L. Intraoral autogenous block onlay bone grafting for extensive reconstruction of atrophic maxillary alveolar ridges. J Periodontol. 2005; 76: 636-641.
  15. Kainulainen VT, Sandor GK, Oikarinen KS, Clokie CM. Zygomatic bone: An addition aldonor site for alveolar bone reconstruction. Technical note. Int J Oral Maxillofac Implants. 2002;17: 723-8.
  16. Lekholm U, Wannfors K, Isaksson S, Adielsson B. Oral implants in combination with bone grafts. A 3-year retrospective multicenter study using the Branemark implant system. Int J. Oral MaxillofacSurg. 1999; 28: 181-7.
  17. Von Arx T, Buser D. Horizontal ridge augmentation using autogenous block grafts and the guided bone regeneration technique with collagen membranes: a clinical study with 42 patients. Clinical Oral Implants Research. 2006; 17: 359-66.
  18. Misch C, Misch C, Resnik R, Ismail Y. Reconstruction of maxillary alveolar defects with mandibular symphysis grafts for dental implants: A preliminary procedural report. Int J Oral Maxillofac Implants. 1992; 7: 360-366.
  19. Brener D. The mandibular ramus donor site. Australian Dental Journal. 2006; 51(2):187-90.
  1. Park SH, Lee KW, Oh TJ, Misch CE, Shotwell J, Wang HL. Effect of absorbable membranes on sandwich bone augmentation. Clin Oral Implants Res. 2008; 19: 32-41.
  2. Garh AK, Morales MJ, Navarro I, Durarte F. Autogenous mandibular bonegraft in the treatment of the resorbed maxillary anterior alveolar ridge: rationale and approach. Implant Dent. 1998; 7 (3): 169-176
  3. Cranin AN, Katzap M, Demirdjan E, Ley J. Autogenous bone ridge augmentation using the mandibular symphysis as a donor. The Journal of Oral Implantology. 2001; 127: 43–47.
  4. Jensen OT, Shulman LB, Block MS, Iacono VJ. Report of the Sinus Consensus Conference of 1996. Int J Oral Maxillofac Implants. 1998;13 Suppl:11-45.
  5. Tatum H Jr. Maxillary and sinus implant reconstructions. Dent Clin North Am. 1986;30:207-29.
  6. Summers RB. A new concept in maxillary implants surgery: the osteotome technique. The compendium of continuing education in dentistry. 1994. 15(2) 152-162
  7. Froum SJ, Tarnow DP, Wallace SS, Rohrer MD &Cho SC. Sinus floor elevation using an organic bovine bone matrix (OsteoGraft/N) with or without autogenous bone: a clinical, histologic, radiographic, and histomorphometric analysis. Part 2 of an ongoing prospective study. Int J Periodo Rest Dent. 1998. 18(6), 525-543.
  8. Tarnow DP, Wallace SS & Froum SJ. Histologic and clinical comparison of bilateral sinus floor elevations with or without barrier membrane placement in 12 patients: Part C an ongoing prospective study. Int J Period Rest Dentistry. 2000. 20 (2). 117-125.
  9. Tawil G, Mawla M. Sinus Floor Elevation Using a Bovine Bone Mineral (Bio-Oss) With or Without the Concomitant Use of a Bilayered Collagen Barrier (Bio-Gide): A Clinical Report of Immediate and Delayed Implant Placement. IntJ Oral Maxillofac Implants. 2001;16:713–721.
  10. Resnik RR, Misch CE. Prophylactic Antibiotic Regimens in Oral Implantology: Rationale and Protocol. Implant Dent 2008;17:142–150.
  11. Romero-Ruiz MM, Herrero-Climent M, Torres-Lagares D, Gutiérrez-Pérez JL. Protocolo de control del dolor y la inflamación postquirúrgica. Una aproximación racional. RCOE. 2006;11 (2): 205-215

 

advertisement
advertisement