El autor describe los procedimientos clínicos y terapéuticos para la rehabilitación de dientes anteriores fracturados con fractura extensa y ampliamente afectados a nivel pulpar y periodontal.
La restauración de dientes anteriores fracturados ha sido siempre un gran desafío para la rehabilitación. Esa situación es aún más compleja cuando el diente está comprometido biológica y mecánicamente1,2.
Muchas veces, el cuadro clínico exige la restauración de dientes fracturados comprometidos a nivel pulpar y periodontal, cuando la fractura rompe el conjunto vasculonervioso e invade el espacio biológico3-10.
El conocimiento de la situación clínica y del estado biomecánico de los dientes que necesitan recuperación y la integración de técnicas y materiales de restauración es vital para el éxito del tratamiento de rehabilitación11,12.
El objetivo de este trabajo es describir los procedimientos clínicos y terapéuticos para la rehabilitación de los incisivos centrales 11 y 21, con fractura extensa y ampliamente afectados a nivel pulpar y periodontal.
Caso clínico Paciente del sexo masculino de 25 años que buscaba atención odontológica, presentaba los dientes 11 y 21 gravemente fracturados debido a accidente (Figs. 1 y 2).
Durante el examen clínico se detectó fractura del tercio central del diente 21 sin otros daños, y fractura extensa del diente 11 a nivel cervical, con ruptura del conjunto vasculonervioso e invasión del espacio biológico (Fig. 3).
En ese momento, como corrección de urgencia, se decidió reposicionar el diente 11 y fijarlo con resina compuesta. En el diente 21 se realizó una restauración provisional con resina, y se colocó una férula palatina para sostener los arreglos (Fig. 4).
Después de 15 días, el paciente volvió para el control, y se le realizaron pruebas de sensibilidad pulpar al frío y al calor con excelentes resultados positivos. Sin embargo, la resistencia mecánica de los dientes era preocupante, y se le presentó al paciente la posibilidad de realizarle un procedimiento endodóntico por razones mecánicas, posibilidad que el paciente rechazó. Se decidió esperar durante un período prolongado de control biológico y mecánico para establecer la restauración final. Una semana después, el paciente volvió con la férula y la prótesis del diente 11 sueltas, comprobando la debilidad mecánica del diente (Fig. 5).
Se reafirmó la necesidad de realizar un procedimiento endodóntico en el diente 11 por razones mecánicas, para posterior colocación de un perno de fibra para anclaje de la corona fracturada, dado que, estando adherida al fragmento sólo gracias al esmalte palatino, ésta no poseía resistencia suficiente. El paciente mostró extrema resistencia al tratamiento y rechazó esa posibilidad. Pidió la recolocación de la férula y la determinación de otro período de espera (Fig. 6).
Se fijó un control después de 15 días, pero el paciente no se presentó. Pasaron 3 meses sin contacto hasta que el paciente volvió presentando la situación verificada en la figura 7.
Según el testimonio del paciente, tuvo que hacer un viaje y el diente se soltó durante ese período, siendo necesaria atención odontológica de emergencia que resultó en esa situación. Ante este panorama, no hubo otra alternativa. El paciente fue dirigido a operación de endodoncia (Fig. 8).
Después de la endoncia se le colocó un perno de fibra de vidrio (EXACTO – ANGELUS) (Figs. 9 y 10) en el interior del conducto asociado a un muñón prefabricado, también de fibra de vidrio (REFORCORE – ANGELUS) (Fig. 11), para realizar el anclaje de la corona. Después del cementado, se realizó una preparación (Figs. 12 y 13).
Los restos de la corona del diente 11 fueron limpiados, y el contenido de la cámara pulpar retirado para adaptarse al muñón de fibra de vidrio (Fig. 14). El muñón se fijó con cemento resinoso (Figs. 15 y 16).
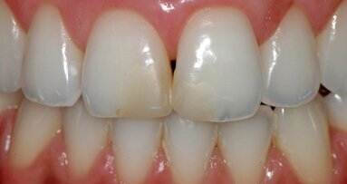
Después de 3 semanas para control gingival, el paciente volvió para el procedimiento final de restauración, donde fueron hechas 2 facetas directas en resina compuesta para los dientes 11 y 21 (Fig. 17).
Discusión
Restaurar y recuperar dientes anteriores fracturados exige siempre un análisis mecánico y biológico extremamente minucioso13,14. Los dientes que requieren tratamiento endodóntico exigen la colocación de un perno de fibra de vidrio para aumentar la resistencia al desgaste. Este procedimiento es esencial para evitar la fractura cervical de estos dientes3,4,5,6,7.
Además, gracias a la evolución de los sistemas de implante Core y la introducción del sistema Reforcore de Angelus, ha habido un gran desarrollo en el anclaje de prótesis dentales, con gran confiabilidad mecánica. Exacto y Reforcore son sistemas de fibra de vidrio de fácil y rápido uso, que permiten la confección inmediata de muñones para el anclaje de prótesis dentales anteriores y posteriores, dando resistencia y estética a los restos dentales. Esta integración del perno y muñón de fibra de vidrio permite eliminar dudas en relación a la resistencia de pernos en dientes extremamente destruidos, como era común con las operaciones con perno de fibra y muñón de resina compuesta.
Conclusión
La integración de técnicas de restauración con el sistema Exacto-Reforcore permitió, con gran seguridad biomecánica, la recuperación inmediata con resina compuesta de los dientes 11 y 21, devolviendo forma, función y estética exactas.
* Doctor, Maestro y Profesor de Odontología
Restauradora en la Universidad Estatal de
Londrina (Brasil). ____________________________________________________________________________
1. Monga P, Sharma V, Kunar S. Comparison of fracture resistance of endodontically treated teeth using different coronal restorative materials: an in vitro study. Journal of Conservative Dentistry. 2009;12(4):154–159.
2. Sterzenbach G, Franke A, Naumann M. Rigid versus flexible dentine-like endodontic posts-Clinical testing of a biomechanical concept, Seven year results of a randomized controlled clinical pilot trial on endodontically treated abutment teeth with severe hard tissue loss. Journal of Endodontics. 2012;38(12):1557–1563.
3. Signore A, Benedicenti S, Kaitsas V, Barone M, Angiero F, Ravera G. Long-term survival of endodontically treated, maxillary anterior teeth restored with either tapered or parallel-sided glass-fiber posts and full-ceramic crown coverage. Journal of Dentistry. 2009;37(2):115–121.
4. Schmitter M, Hamadi K, Rammelsberg P. Survival of two post systems—five-year results of a randomized clinical trial. Quintessence International. 2011;42(10):843–850.
5. Soares CJ, Valdivia AD, da Silva GR, Santana FR, Menezes Mde S. Longitudinal clinical evaluation of post systems: a literature review. Brazilian Dental Journal. 2012;23(2):135–140.
6. King PA, Setchell DJ, Rees JS. Clinical evaluation of a carbon fibre reinforced carbon endodontic post. Journal of Oral Rehabilitation. 2003;30(8):785–789
7. Grandini S, Goracci C, Tay FR, Grandini R, Ferrari M. Clinical evaluation of the use of fiber posts and direct resin restorations for endodontically treated teeth. International Journal of Prosthodontics. 2005;18(5):399–404.
8. Dikbas I, Tanalp J. An overview of clinical studies on fiber post systems. Scientific World Journal. 2013 Oct 23 :171-380.
9. Inagaki T, Komada W, Nemoto R, Yoshida K, Miura H. Influence of post and core materials on distortion around 4-unit zirconia bridge margins. Dent Mater J. 2014;33(3):373-82.
10. Gomes GM, Gomes OM, Gomes JC, Loguercio AD, Calixto AL, Reis A. Evaluation of different restorative techniques for filling flared root canals: fracture resistance and bond strength after mechanical fatigue. J Adhes Dent. 2014 Jun;16(3):267-76.
11. Shirinzad M, Ebadi Sh, Shokripour M, Darabi M An In vitro Evaluation of the Effect of Four Dentin Bonding System on the Bond Strength between Quartz Fiber Post and Composite Core. J Dent. 2014 Mar;15(1):22-7.
12. Sharafeddin F, Alavi AA, Zare S. Fracture resistance of structurally compromised premolar roots restored with single and accessory glass or quartz fiber posts. Dent Res J. 2014 Mar;11(2):264-71.
El Dr. Yassine Harichane recrea un cráneo y dientes mayas, incluyendo las incrustaciones dentales realizadas con fines estéticos que distinguían a las ...
El autor presenta el caso clínico de una paciente de edad avanzada con problemas de salud sistémicos a la que se le realizó una rehabilitación fija del ...
La odontología moderna ya no depende únicamente de la excelencia clínica.
Hoy, dirigir un consultorio rentable exige saber interpretar datos financieros,...
Decenas de miles de odontólogos, técnicos dentales y estudiantes recorrieron los stands comerciales de los principales distribuidores de la industria ...
To post a reply please login or register