La especialista colombiana Patricia Uribe explica las ventajas y los peligros de los aclaramientos dentales, un procedimiento clínico cada vez más popular pero que requiere de apropiada planificación clínica para evitar causar daños irreversibles.
ESTETICA
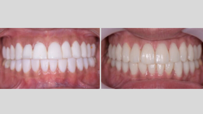
La salud oral y la apariencia estética dental tiene mayor protagonismo hoy, siendo una razón mas por la cual el aclaramiento dental es mas solicitado que en la última década. Al volverse mas popular, también se han descuidado factores éticos, y biológicos que pueden afectar delicadamente a nuestros pacientes.
Actualmente, tanto los adultos mayores como los adultos jóvenes están muy preocupados por la apariencia estética de sus dientes, lo cual tiene mucho que ver con el ser más aceptado socialmente, en el trabajo y hasta en el vida familiar, siendo un motivo más para que las personas exijan tener los dientes más blancos. Tanto es así, que los tratamientos de aclaramiento dental ha aumentado en un 25% en los últimos 5 años.
Creo que nuestra misión como odontólogos, al hacer una cita de valoración cosmética, es enseñarle a nuestros pacientes las diferentes causas de tener los dientes amarillos o oscurecidos, y que así aprendan a diferenciar si un aclaramiento dental en el consultorio odontológico es suficiente para el caso específico.
“Aunque el aclaramiento dental parece ser un tratamiento simple de realizar y con pocas consecuencias, no lo es y no se debe tomar a la ligera”.
Una de las consultas más frecuentes para aclaramiento dental son los traumatismos no tratados efectivamente, por ejemplo, golpes durante la niñez que con el tiempo provocan la paulatina muerte o necrosis del diente, que se va tornando de un color gris verduzco y que sabemos que no se soluciona con un simple blanqueamiento dental. Otra cosa muy diferente es que nuestros pacientes tengan una dieta con altos insumos de alimentos cítricos o bebidas carbonatadas, que afectan directamente el esmalte dental, facilitan la aparición de manchas y, por último, está la acción del café, el cigarrillo y tabaco, y si a esto le adicionamos la falta de higiene oral, sabemos que el color natural de los dientes se verá afectado negativamente.
La ingesta de algunos medicamentos a la edad en que los dientes están en formación, también puede generar una hipoplasia o mala formación del esmalte, generando que los dientes tengan un tono gris general, lo que es bastante difícil de blanquear con un simple aclaramiento dental.
Al hablar de un factor genético podemos señalar que el grosor del diente también es relevante. Los dientes más blancos son los que poseen una capa de esmalte más gruesa, pero si tenemos un diente grande con espesor grueso de dentina y un esmalte muy delgado, ese diente será de color más amarillento.
También debemos enseñarle a nuestros pacientes que los dientes naturales no son blancos, y por más blanqueamiento que se realicen nunca van a ser completamente blancos, y que persistir en hacer aclaramientos repetitivos puede dañar sustancialmente el esmalte y posiblemente altere la dentina y la pulpa dental.
Esta de moda aclarar los dientes y, como no llegan a un blanco extremo, algunas veces se utiliza el llamado diseño de sonrisa para llegar a este efecto deseado, realizado con carillas poliméricas, las cuales para opacar el color natural del diente se deben utilizar varias capas, generando muchas veces sobrecontornos en los tejidos circundantes al diente y alterando el espacio bilógico, creando alteraciones muy difíciles de reparar.
Es primordial conocer las diferentes concentraciones de los tipos de aclaramiento dental, al igual que las dosis y el tiempo de aplicación.
Por lo tanto, si bien la demanda de blanqueamiento dental de los pacientes es alta y los odontólogos tenemos la obligación de educar a nuestros pacientes, tanto en la biología del color natural de los dientes como en la biología de las estructuras que componen los tejidos del diente y a la vez advertirles de los efectos secundarios, como el aumento de la sensibilidad causada por la deshidratación de los tejidos dentarios, la posibilidad de regresión, explicar las diferentes opciones de tratamiento, los diferentes tipos de aclaramiento dental profesional y casero.
Es transcendental que los odontólogos justiprecien cuál de las opciones es la más adecuada para sus pacientes, teniendo en cuenta los costos biológicos si no se hace una buena planeación del tratamiento y por consiguiente una excelente aplicación del protocolo de cada tipo de aclaramiento dental.
Aunque el aclaramiento dental parece ser un tratamiento simple de realizar y con pocas consecuencias, no lo es y no se debe tomar a la ligera. No estoy en contra de este tipo de tratamiento, en realidad lo promuevo, pero sí quiero que todos los odontólogos que lo realizamos seamos conscientes que no es un procedimiento simple.
____________________________________________________________________
* La doctora Patricia Uribe es Especialista en Rehabilitación Oral Integral (FUSM), con énfasis en Estética y Rehabilitación Oral (NYU), Implantología Oral (EIRO), Embajadora de ICOI para Colombia, miembro Junta directiva ACOED, miembro fundador CIAEO, director científico Centro Odontológico Especializado The Beauty Smile en Bogotá (Colombia). Práctica Privada en Implantología oral y Estética desde 1995.
El especialista advierte que la obsesión actual por obtener dientes blancos y brillantes conlleva el peligro de que el paciente pierda la dentadura.
Nuestro deber como practicantes apasionados de la odontología es crear un ambiente especial en la consulta para que nuestros clientes se sientan cómodos. ...
El objetivo de este artículo es revelar el lenguaje microscópico y bioquímico oculto en los dientes, un lenguaje realmente extraordinario que nos permite...
La reciente popularidad de la película “Don’t look up”, una dura sátira de la política norteamericana, ha vuelto a llevar a un primer plano el ...
Este es un relato poco conocido de la Historia de la Odontología, cuando los dientes de los muertos se convirtieron en un objeto preciado para confeccionar...
Nuestra columnista escribe desde Chile sobre la relación entre la salud bucal y la salud mental, ya que que la primera es imprescindible para el buen ...
“Se cuenta que personajes históricos como Aníbal, Luis XIV y Ricardo III presentaron dientes al nacer”.
Las tomografías de momias egipcias están reescribiendo lo que creíamos saber sobre la salud bucal en el Antiguo Egipto. Detrás del esplendor de estas ...
El siguiente artículo, publicado recientemente en “Le Monde Diplomatique en Español”, ofrece una perspectiva diferente de la práctica de la ...
Webinars en vivo
dom. 3 de mayo 2026
10:00 CST (Mexico City)
Dr. Rickard Brånemark MSc, MD, PhD, Dr. Robert Gottlander DDS
Webinars en vivo
dom. 3 de mayo 2026
18:00 CST (Mexico City)
Webinars en vivo
mar. 5 de mayo 2026
8:00 CST (Mexico City)
Webinars en vivo
mar. 5 de mayo 2026
10:00 CST (Mexico City)
Webinars en vivo
mar. 5 de mayo 2026
11:00 CST (Mexico City)
Dr. Maximilian Dobbertin M.Sc
Webinars en vivo
mar. 5 de mayo 2026
13:00 CST (Mexico City)
Webinars en vivo
mié. 6 de mayo 2026
11:00 CST (Mexico City)