Search Dental Tribune

Estética y blanqueamiento dental en la era digital (Capítulo 6)

La fluorosis es una situación que se presta para el blanqueamiento dental.
S. Kohen, C. de Franceschi y G. Rodríguez

S. Kohen, C. de Franceschi y G. Rodríguez

lun. 9 septiembre 2024

guardar

Este es el resumen del sexto capítulo del libro “Estética y blanqueamiento dental en la era digital”, escrito por Sergio Kohen, Agustín Varas y Enrique Jadad. En esta ocasión, el capítulo describe la técnica de microabrasión, que se utiliza para eliminar las pigmentaciones dentarias en las capas superficiales del esmalte.

Capítulo 6. La tecnología de la microabrasión

La técnica de microabrasión que se utiliza para tratar las pigmentaciones dentarias es la técnica química y mecánica combinada que elimina capas superficiales del esmalte. Esta es útil para la eliminación de pigmentaciones que se encuentran en dicha zona del esmalte, en ciertas indicaciones como manchas superficiales, ya sea de color blanca o marrones, o bien en defectos de “desmineralización del esmalte” tanto con irregularidades topográficas del mismo como con ciertas pigmentaciones multicolores que acompañan a estos cambios de la superficie de la pieza dental, generalmente causadas por fluorosis. También puede utilizarse en la nivelación de la superficie dental cuando esta presenta pérdidas localizadas de esmalte y de poca profundidad (entre 50 y 150 μ).

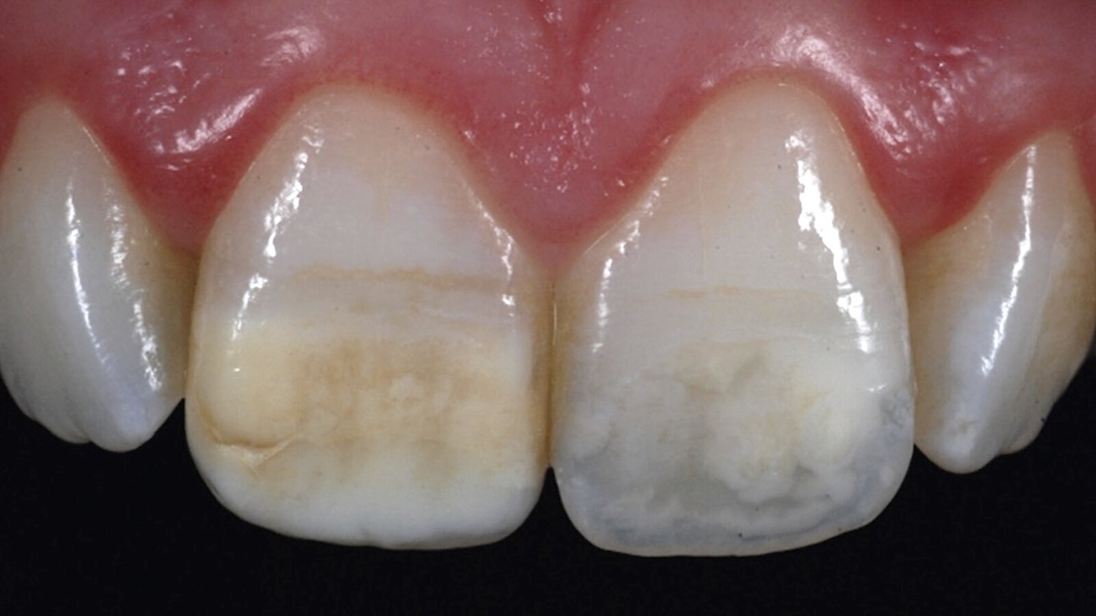
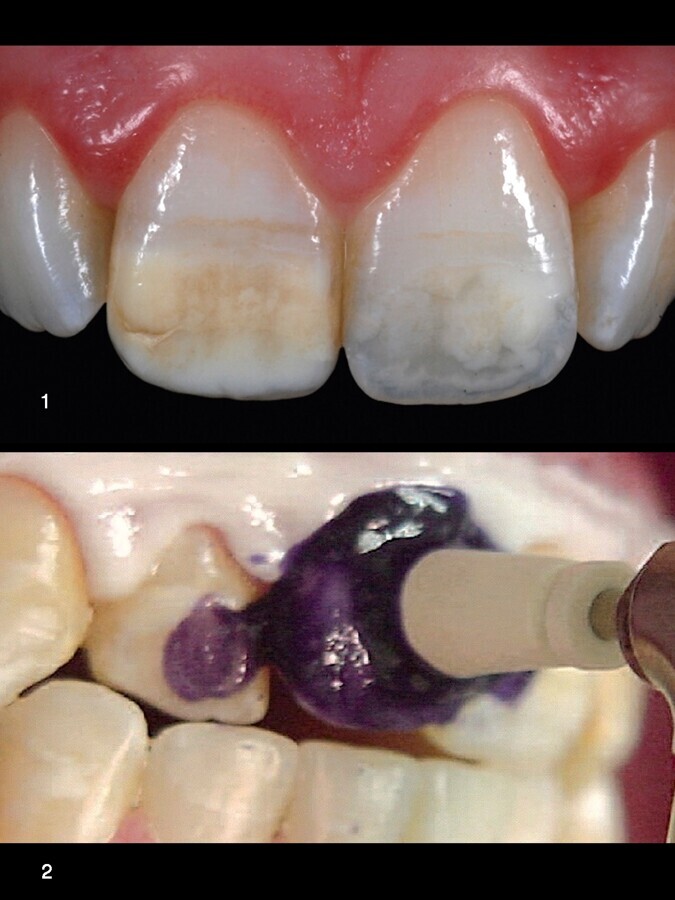
Figuras 1 y 2. La combinación de microabrasión y blanqueamiento dental es un excelente recurso en casos de fluorosis y amelogénesis imperfecta (Fig. 1). En la imagen inferior, barrera gingival colocada y aplicación del material microabrasivo a baja velocidad del instrumento impulsor (micromotor y contra-ángulo reductor), para poder efectuar durante la microabrasión la presión requerida sobre la superficie del tejido afectado (Fig. 2).

Para llevar a cabo esta técnica, se utiliza un ácido fuerte de baja concentración (clohídrico al 6%) y un agente abrasivo de partícula pequeña para que pula la superficie del esmalte. Se recomienda también el empleo de un gel para que las partículas de abrasivo y el ácido estén en suspensión de manera tal que, cuando se lo aplique sobre el diente, no fluya y dañe tanto a otros tejidos como al profesional. El gel debe ser soluble en agua para poder enjuagarlo rápidamente. Por último, se recomienda el empleo de extrema baja velocidad en el instrumento impulsor (micromotor y contra-ángulo reductor) para poder efectuar durante el momento de la microabrasión la presión requerida sobre la superficie del tejido afectado.

En este capítulo se describe en forma meticulosa la técnica operatoria correcta para la aplicación de este material, junto con las recomendaciones clínicas para un procedimiento más eficiente.

Portada del libro "Estética y blanqueamiento dental en la era digital", que ofrece respuestas clínicas basadas en años de investigación.
Toque en la imagen para adquirir el libro.

La microabrasión del esmalte implica el uso de agen­tes ácidos y abrasivos, como ácido fosfórico al 37% y piedra pómez o ácido clorhídrico al 6% y sílice, aplicados a la superficie del esmalte alterado con presión mecánica desde una copa de goma acoplada a un mandril rotatorio de bajo micromotor de rotación. Si es necesario, este tratamiento se puede combinar con seguridad con el blanqueamiento para obtener mejores resultados estéticos.

Conclusión

Estudios recientes demuestran que la microabrasión es un tratamiento conservador cuando el desgaste del esmalte es mínimo y clínicamente imperceptible. El factor más importante que contribuye al éxito de la microabrasión del esmalte es la profundidad del defecto, ya que las manchas opacas más profundas, como las que resultan de la hipoplasia, no se pueden resolver con microabrasión y requieren un enfoque restaurador.

 

NOTA: Ver el próximo lunes el Capítulo 7: El blanqueamiento interno de dientes no vitales.

 

Autores

Sergio Gustavo Kohen. Profesor Adjunto, Cátedra de Odontología Integral Adultos, Facultad de Odontología UBA, Docente de la Facultad de Odontología de la Universidad de Buenos Aires. Profesor de postgrado de la Universidad del Salvador y AOA.

Carla De Franceschi. Jefe de Trabajos Prácticos de la Cátedra de Odontología Integral Adultos, FOUBA. Docente de postgrado de la Asociación Odontológica Argentina y USAL.

Guillermo Adrián Rodríguez. Ex Titular de las Cátedras Técnica de Operatoria, Clínica Preventiva, Cariología y Clínica Integrada A; Facultad de Odontología de la Universidad Maimónides, Buenos Aires. Especialista en Implantología y Endodoncia.

_____________________________________________________________________________

Para adquirir el libro en Latinoamérica hacer clic aquí. 

_____________________________________________________________________________

 

Serie de artículos del libro "Estética y blanqueamiento dental en la era digital"

Dental Tribune ofrece en abierto con acceso libre los primeros seis artículos de este libro. Para ver los demás artículos, por favor inscríbase para recibir nuestra Newsletter, un servicio que le ofrecemos de forma gratuita.

 

Capítulo 1. La estética del color dentario

Descripción de los distintos métodos para evaluar el color de los dientes, de gran importancia para realizar restauraciones imperceptibles ...  Ver más

 

Capítulo 2. Las alteraciones de color dental

Un correcto diagnóstico etiológico de cada paciente es fundamental para el éxito del tratamiento blanqueador ...  Ver más

 

Capítulo 3. Agentes blanqueadores y mecanismos de acción

Cada agente blanqueador es descrito en detalle, así como sus características diferenciales y sus distintas formas de comercialización ...  Ver más

 

Capítulo 4. El blanqueamiento externo

Pasos clínicos de cada técnica, precauciones y pronóstico de cada una y los distintos productos ...  Ver más

 

Capítulo 5. Blanqueamiento externo profesional

Una correcta técnica de blanqueamiento profesional incluye fotografías previas y registro del color inicial, higiene de ... Ver más

 

Capítulo 6. La técnica de la microabrasión

Se describen la técnica operatoria correcta de la microabrasión y las recomendaciones clínicas para un procedimiento más ...  Ver más

 

Suscríbase gratis haciendo clic aquí para ver los demás capítulos del libro

 

Capítulo 7. Blanqueamiento interno de dientes no vitales

La probabilidad de que este tratamiento produzca reabsorción radicular externa es cada vez más lejana si se ... Suscríbase gratis

Capítulo 8. Blanqueamiento de dientes calcificados

Las alternativas son el blanqueamiento externo en piezas vitales y no vitales, y/o el blanqueamiento interno de ... Suscríbase gratis

Capítulo 9. Aclaramiento y mantenimiento

Los resultados del blanqueamiento dental pueden cambiar a través del tiempo, por lo que es importante incluir un ... Suscríbase gratis

Capítulo 10. Efectos de los peróxidos sobre los tejidos dentarios y biomateriales

Se analizan los efectos de los materiales blanqueadores sobre el esmalte y la dentina, sobre la pulpa y sobre distintos ... Suscríbase gratis

Capítulo 11. La hipersensibilidad dentinaria

El tratamiento requiere identificar los signos, descartar otras causas, educar sobre las técnicas correctas de cuidado oral y ... Suscríbase gratis

Capítulo 12. Diseño Digital de la Sonrisa

El DSD combina la tecnología digital con los principios estéticos y funcionales de la odontología para crear un diseño personalizado de ... Suscríbase gratis

Capítulo 13. La Odontología Digital

El flujo de trabajo digital se utiliza para el diagnóstico, la planificación, y el tratamiento involucra estos tres procesos ... Suscríbase gratis

Capítulo 14. Carillas estéticas de cerámica

Las carillas son alternativas de trabajo viables, que nos conducen hacia la “armonía estética”, pero que ... Suscríbase gratis

Capítulo 15. Aclaramiento dental durante la ortodoncia

En este tratamiento se deben utilizar agentes aclaradores con bajas concentraciones, que minimizan el riesgo de ... Suscríbase gratis

Capítulo 16. Ortodoncia con alineadores

Es aconsejable no realizar el blanqueamiento en los inicios de la ortodoncia, ya que el movimiento dentario muchas veces ... Suscríbase gratis

Capítulo 17. Blanqueamiento y rehabilitación integral

Para obtener los mejores resultados estéticos, la oportunidad de realizar una rehabilitación prostética debe ser ... Suscríbase gratis

Capítulo 18. Comunicación y marketing

Este capítulo ofrece consejos para promocionar la clínica dental y explica el futuro de ... Suscríbase gratis

Capítulo 20. Consideraciones legales

Antes de comenzar un tratamiento estético, todos los procedimientos clínicos deben estar totalmente claros para el paciente ... Suscríbase gratis

Capítulo 21. Inteligencia Artificial y su aplicación odontología estética

Los escáneres faciales permiten crear modelos digitales precisos de la cara del paciente y su dentadura que se utilizan para ... Suscríbase gratis

Suscríbase gratis haciendo clic aquí para ver todos los capítulos del libro

 

 

Temas:
To post a reply please login or register
advertisement
advertisement