Search Dental Tribune

Estética y blanqueamiento dental en la era digital (Capítulo 2)

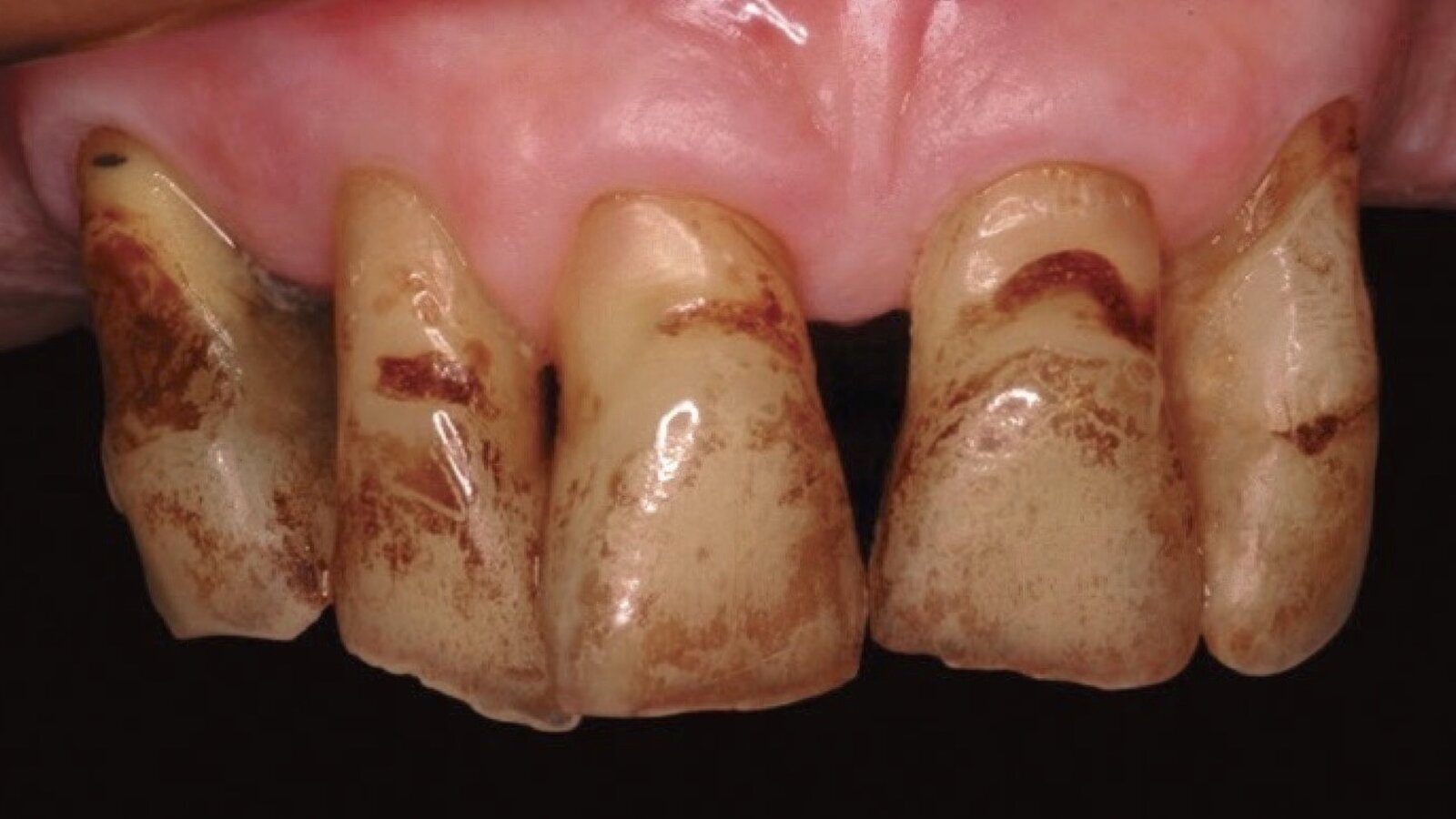
Figura 1. Las manchas externas causadas por pigmentación de nicotina son una de las causas más frecuentes de alteración del color dentario.
S. Kohen, C. de Franceschi y G. Rodríguez

S. Kohen, C. de Franceschi y G. Rodríguez

lun. 12 agosto 2024

guardar

Este es el resumen del segundo capítulo del libro “Estética y blanqueamiento dental en la era digital”, escrito por Sergio Kohen, Agustín Varas y Enrique Jadad. En este capítulo, titulado “Las alteraciones de color”, se explica en detalle la gran variedad de causas que provocan alteraciones en el color dental y los métodos de aclaramiento más seguros y eficientes para lograr una alta estética. El capítulo ha sido escrito por Sergio Kohen, Carla de Franceschi y Guillermo Rodríguez.

Capítulo 2. Las alteraciones del color dental

Existen dos grandes grupos: las alteraciones de color de origen extrínseco, relacionadas con agentes etiológicos externos, y las alteraciones de color de origen intrínseco, afines a agentes etiológicos internos.

Es importante tener en cuenta no sólo el tipo de agente etiológico sino la duración del mismo. Debe analizarse también el tiempo transcurrido desde que actuó hasta el presente. Tampoco debe olvidarse la anamnesis de los tratamientos realizados en las piezas dentarias durante ese tiempo.

Finalmente, existe un tercer grupo de alteraciones que escapan a la clasificación anterior y que se agrupan en un conjunto heterogéneo de alteraciones de color denominado de otros orígenes.

Partiendo de un correcto diagnóstico, las probabilidades de que el tratamiento sea efectivo serán sustancialmente mayores.

Dentro de la composición de los colores están sus propiedades, que hace que un color varíe y sea único. Dichas propiedades incluyen las tres dimensiones del color: el matiz, (es el nombre del color; aquella cualidad por medio de la cual distinguimos un color familiar de otro, como rojo del amarillo, verde del azul o violeta), el croma (determinado por la concentración del mismo matiz), y el valor (varía en la escala de los grises, o sea que un mayor valor se acerca al blanco y un menor valor se aproxima al negro). Otras propiedades que determinan el color dentario son la translucidez, la opalescencia y la fluorescencia. La textura de la pieza dentaria también tiene un rol importante en la percepción del color.

También se aborda la importancia de la iluminación y su influencia en la percepción del color. La intensidad de la fuente de luz, que está relacionada con la cantidad de energía lumínica, influye en la presentación de los matices dominantes de los dientes, de manera que la fuente de luz debe ser lo suficientemente intensa como para sobrellevar la participación del ambiente, pero no tanto como para ocultarnos las variaciones en los matices dentarios.

Figura 2. La alteración del color de los dientes debida a las tetraciclinas es una afección grave de la dentadura, como se observa en estas imágenes.

Dichas variaciones deben ser registradas y en el presente capítulo se detallan los distintos métodos para evaluar el color de los dientes ya que dicho registro es de gran importancia para realizar restauraciones directas imperceptibles y una buena comunicación con el laboratorio en restauraciones indirectas. Los métodos pueden ser visual o instrumental (espectrofotometría, colorimetría y análisis por fotografías digitales).

Pigmentaciones de origen extrínseco

Si dentro de los hábitos alimentarios de cada persona, reiteradas veces en el día y por períodos prolongados, se consumen bebidas y alimentos altamente pigmentarios, podría modificarse el color de las piezas dentarias, oscureciéndolas o generando manchas oscuras localizadas.

Este es el caso del té, café, bebidas artificiales, alimentos con colorantes, tabaco, vino tinto y algunos medicamentos como la clorhexidina.

El mecanismo químico que actúa en las pigmentaciones extrínsecas involucra la participación de fuerzas electrostáticas y de Van der Waals que actúan por mucho tiempo, así como también interacciones hidrofóbicas, fuerzas dipolo y puentes de hidrógeno que actúan por períodos cortos. Estas interacciones permiten al agente cromógeno o precromógeno alcanzar la superficie del diente y determinar la ocurrencia de la adhesión. Si la causa de la alteración de color es de origen extrínseco, es conveniente primero eliminar la misma y luego comenzar el tratamiento de blanqueamiento, ya que ningún blanqueador por intenso que sea puede evitar que el agente etiológico siga actuando sobre el diente.

En este capítulo se explican detalladamente todas las alteraciones cromáticas de los dientes. Debemos recordar que un correcto diagnóstico etiológico es fundamental para el éxito del tratamiento blanqueador que necesita cada paciente.

A lo largo de este capítulo del libro se describe detalladamente el aspecto, ubicación, anamnesis y etiología de ese tipo de pigmentaciones. Las mismas son manchas de tabaco, manchas metálicas, manchas producidas por antibacterianos, y manchas de color marrón, verde, naranja o negro.

Pigmentaciones de origen intrínseco

Las decoloraciones intrínsecas son las que se localizan en el espesor de la dentina y/o el esmalte. Son más difíciles de tratar que las manchas extrínsecas, que se localizan en la superficie del diente, por lo que constituyen un gran desafío clínico a la hora de obtener una solución estética.

Portada del libro "Estética y blanqueamiento dental en la era digital", que ofrece respuestas clínicas basadas en años de investigación.
Toque en la imagen para adquirir el libro.

Otra clasificación es aquella que se refiere a la formación de la pieza dentaria. Las decoloraciones de origen congénito son las que se gestan durante la formación del diente en la vida intrauterina como es el caso de la dentinogénesis imperfecta, amelogénesis imperfecta, fluorosis o tetraciclinas ingeridas a partir de los seis meses de gestación. Las decoloraciones adquiridas aparecen luego del nacimiento. Se clasifican en relación con la erupción dentaria pudiendo ser pre-eruptivas o post-eruptivas.

Las pre-eruptivas abarcan un período que va desde el nacimiento hasta los ocho años de edad aproximadamente y tienen relación directa con la odontogénesis post parto. Se hace un pormenorizado análisis de este tipo de pigmentaciones entre las cuales se incluyen las alteraciones de color por traumatismos, enfermedades hemolíticas, anemia y talasemia, porfiria, y muy especialmente, a las ocasionadas por la ingesta de tetraciclinas (en sus 3 categorías) o por exceso de flúor (fluorosis) y las hipoplasias y la opacidad del esmalte. También se hace hincapié en las alteraciones cromáticas que resultan de las amelogénesis y dentinogénesis imperfectas, ambos desórdenes hereditarios que afectan tanto la anatomía como las características ópticas de dichos tejidos.

Las alteraciones cromáticas post-eruptivas afectan el color de piezas dentarias ya erupcionadas, como es el caso de los traumatismos dentales en los que se produce una hemorragia intrapulpar o las relacionadas con iatrogenia.

En este capítulo se explican detalladamente todas estas situaciones. Debemos recordar que un correcto diagnóstico etiológico de las diversas alteraciones del color es fundamental para facilitar el éxito del tratamiento blanqueador que necesita cada paciente. Por lo tanto, el conocimiento de las causas de las distintas decoloraciones es de vital importancia.

NOTA: Ver el próximo lunes el Capítulo 3: Los agentes blanqueadores.

 

Autores

Sergio Gustavo Kohen. Profesor Adjunto, Cátedra de Odontología Integral Adultos; Facultad de Odontología UBA. Docente autorizado de la Facultad de Odontología de la Universidad de Buenos Aires. Profesor de post grado de la Universidad del Salvador y AOA.

Carla de Franceschi. Jefe de Trabajos Prácticos de la Cátedra de Odontología Integral Adultos, FOUBA. Docente de postgrado de la Asociación Odontológica Argentina y USAL.

Guillermo Adrián Rodríguez. Ex Titular de las Cátedras Técnica de Operatoria, Clínica Preventiva, Cariología y Clínica Integrada A; Facultad de Odontología de la Universidad Maimónides, Buenos Aires, Argentina. Especialista en Implantología y Endodoncia.

_____________________________________________________________________________

Para adquirir el libro en Latinoamérica hacer clic aquí. 

_____________________________________________________________________________

 

Serie de artículos del libro "Estética y blanqueamiento dental en la era digital"

Dental Tribune ofrece en abierto con acceso libre los primeros seis artículos de este libro. Para ver los demás artículos, por favor inscríbase para recibir nuestra Newsletter, un servicio que le ofrecemos de forma gratuita.

 

Capítulo 1. La estética del color dentario

Descripción de los distintos métodos para evaluar el color de los dientes, de gran importancia para realizar restauraciones imperceptibles ...  Ver más

 

Capítulo 2. Las alteraciones de color dental

Un correcto diagnóstico etiológico de cada paciente es fundamental para el éxito del tratamiento blanqueador ...  Ver más

 

Capítulo 3. Agentes blanqueadores y mecanismos de acción

Cada agente blanqueador es descrito en detalle, así como sus características diferenciales y sus distintas formas de comercialización ...  Ver más

 

Capítulo 4. El blanqueamiento externo

Pasos clínicos de cada técnica, precauciones y pronóstico de cada una y los distintos productos ...  Ver más

 

Capítulo 5. Blanqueamiento externo profesional

Una correcta técnica de blanqueamiento profesional incluye fotografías previas y registro del color inicial, higiene de ... Ver más

 

Capítulo 6. La técnica de la microabrasión

Se describen la técnica operatoria correcta de la microabrasión y las recomendaciones clínicas para un procedimiento más ...  Ver más

 

Suscríbase gratis haciendo clic aquí para ver los demás capítulos del libro

 

Capítulo 7. Blanqueamiento interno de dientes no vitales

La probabilidad de que este tratamiento produzca reabsorción radicular externa es cada vez más lejana si se ... Suscríbase gratis

Capítulo 8. Blanqueamiento de dientes calcificados

Las alternativas son el blanqueamiento externo en piezas vitales y no vitales, y/o el blanqueamiento interno de ... Suscríbase gratis

Capítulo 9. Aclaramiento y mantenimiento

Los resultados del blanqueamiento dental pueden cambiar a través del tiempo, por lo que es importante incluir un ... Suscríbase gratis

Capítulo 10. Efectos de los peróxidos sobre los tejidos dentarios y biomateriales

Se analizan los efectos de los materiales blanqueadores sobre el esmalte y la dentina, sobre la pulpa y sobre distintos ... Suscríbase gratis

Capítulo 11. La hipersensibilidad dentinaria

El tratamiento requiere identificar los signos, descartar otras causas, educar sobre las técnicas correctas de cuidado oral y ... Suscríbase gratis

Capítulo 12. Diseño Digital de la Sonrisa

El DSD combina la tecnología digital con los principios estéticos y funcionales de la odontología para crear un diseño personalizado de ... Suscríbase gratis

Capítulo 13. La Odontología Digital

El flujo de trabajo digital se utiliza para el diagnóstico, la planificación, y el tratamiento involucra estos tres procesos ... Suscríbase gratis

Capítulo 14. Carillas estéticas de cerámica

Las carillas son alternativas de trabajo viables, que nos conducen hacia la “armonía estética”, pero que ... Suscríbase gratis

Capítulo 15. Aclaramiento dental durante la ortodoncia

En este tratamiento se deben utilizar agentes aclaradores con bajas concentraciones, que minimizan el riesgo de ... Suscríbase gratis

Capítulo 16. Ortodoncia con alineadores

Es aconsejable no realizar el blanqueamiento en los inicios de la ortodoncia, ya que el movimiento dentario muchas veces ... Suscríbase gratis

Capítulo 17. Blanqueamiento y rehabilitación integral

Para obtener los mejores resultados estéticos, la oportunidad de realizar una rehabilitación prostética debe ser ... Suscríbase gratis

Capítulo 18. Comunicación y marketing

Este capítulo ofrece consejos para promocionar la clínica dental y explica el futuro de ... Suscríbase gratis

Capítulo 20. Consideraciones legales

Antes de comenzar un tratamiento estético, todos los procedimientos clínicos deben estar totalmente claros para el paciente ... Suscríbase gratis

Capítulo 21. Inteligencia Artificial y su aplicación odontología estética

Los escáneres faciales permiten crear modelos digitales precisos de la cara del paciente y su dentadura que se utilizan para ... Suscríbase gratis

Suscríbase gratis haciendo clic aquí para ver todos los capítulos del libro

 

 

Nota editorial:

Este resumen del libro “Estética y blanqueamiento dental en la era digital” se publica con la autorización de la editorial.

 

MAS SERIES DE ARTICULOS

 

• Edición Especial sobre Odontogeriatría
• Edición Especial sobre Láser en Odontología
• Edición Especial sobre Cirugía Piezoeléctrica
Temas:
To post a reply please login or register
advertisement
advertisement