Search Dental Tribune

Estética y blanqueamiento dental en la era digital (Capítulo 4)

En el blanqueamiento dental ambulatorio se utilizan concentraciones bajas de agente blanqueador que no implican riesgo para el paciente.
Kohen, de Franceschi, Rodríguez, Varas

Kohen, de Franceschi, Rodríguez, Varas

lun. 26 agosto 2024

guardar

Este es el resumen del cuarto capítulo del libro “Estética y blanqueamiento dental en la era digital”, escrito por Sergio Kohen, Agustín Varas y Enrique Jadad. En este apartado, los autores del capítulo describen los procedimientos de blanqueamiento externo ambulatorio y de blanqueamiento profesional en el consultorio dental, los cuales siempre deben basarse en el conocimiento de la etiología de la decoloración para realizar el diagnóstico correcto.

Capítulo 4. El blanqueamiento  externo

El blanqueamiento externo consiste en la aplicación del peróxido en distintas concentraciones sobre la superficie externa de una o más piezas dentarias con el objetivo de lograr un aclaramiento del color dentario original sin producir efectos secundarios sobre los tejidos. Es un tratamiento conservador que restaura la estética dental perdida en dientes pigmentados o manchados, como consecuencia de agentes etiológicos extrínsecos. Estos son factores agresivos que, en algunos casos, si no se controlan, pueden modificar sustancialmente el color natural de las piezas y derivar en la inseguridad de quien no se atreve a sonreír.

El color que presenta un objeto tiene relación directa con la cantidad y longitud de las ondas de luz incidentes que son reflejadas y absorbidas por él. La constitución de cadenas moleculares complejas y largas dentro de la estructura dentaria es la responsable de un aumento en el índice de absorción de la luz del diente, lo que da lugar a su oscurecimiento. Es sobre estas moléculas sobre las que actúa el blanqueador.

Este capítulo describe los pasos clínicos de cada técnica, así como a las precauciones y pronóstico de cada una y los distintos productos comerciales disponibles.

Un profundo conocimiento de la etiología de la decoloración es importante para arribar a un correcto diagnóstico, a partir del cual se puede planear un tratamiento, con relación a dosis, duración y estableciendo el pronóstico. Sin embargo, es el confort del paciente y la disponibilidad de tiempo para dedicarle al tratamiento, lo que va a determinar la elección de la técnica a emplear. La misma puede variar desde el uso de cubetas durante ocho horas diarias (ambulatorio) hasta los tratamientos profesionales. Esto es posible dado que el resultado final alcanzado es independiente de la técnica empleada.

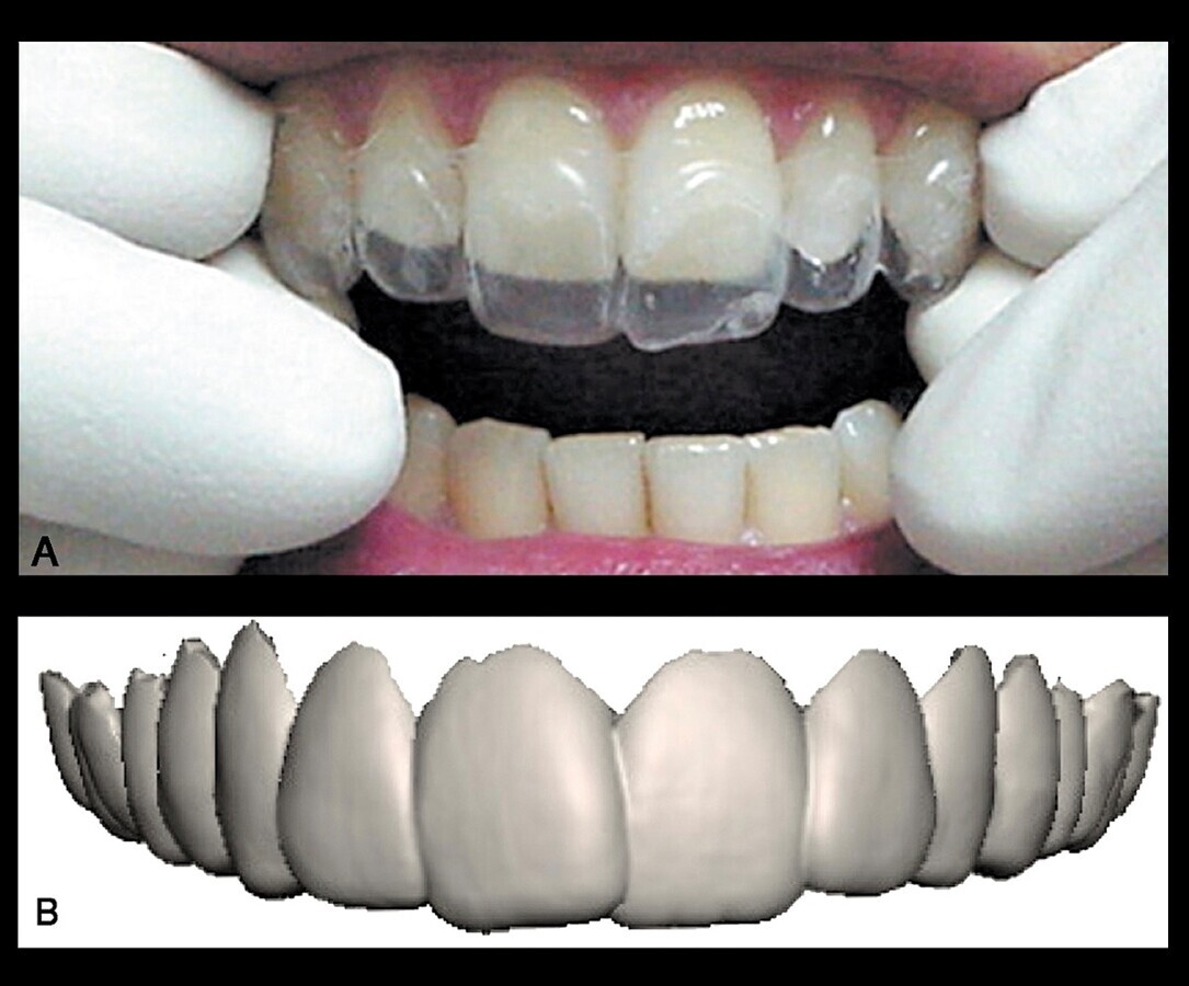
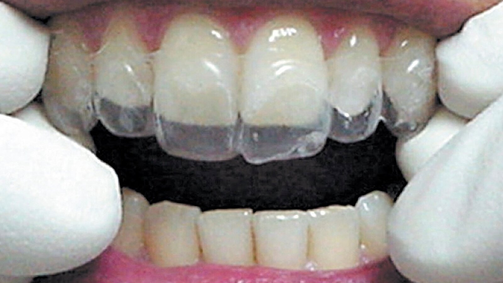
Figura 1. En la imagen superior, blanqueamiento con cubeta analógica (A) y en la imagen inferior con cubeta diseñada digitalmente (B).

El presente capítulo explica detalladamente las distintas técnicas que se utilizan actualmente para el blanqueamiento externo. Como toda técnica, se enumeran las indicaciones y contraindicaciones de cada una de ellas, así como las maniobras previas que tiene en común y la importancia de cada una. Se vuelve a resaltar la importancia del correcto diagnóstico etiológico de las pigmentaciones para lograr un tratamiento exitoso.

Las dos grandes categorías del blanqueamiento externo son: el blanqueamiento ambulatorio y el blanqueamiento profesional.

El blanqueamiento ambulatorio es el que realiza el paciente en su casa utilizando una cubeta personalizada y supervisado periódicamente por el profesional. En esta técnica se utilizan concentraciones bajas de agente blanqueador (peróxido de carbamida inferiores al 30% o concentraciones de peróxido de hidrógeno inferiores al 9%) que no implica un riesgo para el paciente, por lo que puede utilizarla fuera del consultorio siendo monitoreado y capacitado por el profesional para su uso. La técnica consiste en la utilización de cubetas para man­tener el agente blanqueador en contacto con la superficie a blanquear, en general de uso nocturno, ocho horas aproximadamente, o diurno al menos durante tres horas.

Para llevar a cabo esta técnica es indispensable la fabricación de una cubeta plástica o férula para la contención del material blanqueador durante su uso. En el capítulo se explica detalladamente como confeccionarla, tanto de la manera tradicional (con el modelo de yeso) como de forma digital (mediante programas de diseño).

Portada del libro "Estética y blanqueamiento dental en la era digital", que ofrece respuestas clínicas basadas en años de investigación.
Toque en la imagen para adquirir el libro.

El blanqueamiento profesional es el que se lleva a cabo utilizando altas concentraciones de agente blanqueador. Una de las opciones es utilizando las mismas cubetas que se utilizan para el blanqueamiento ambulatorio con concentraciones de peróxido de carbamida mayores al 30% o concentraciones de peróxido de hidrógeno entre el 9 y el 12%. Esta modalidad de tratamiento debe ser con monitoreo constante del profesional (idealmente) o con el paciente en la sala de espera por un lapso de 40-90 minutos según el material y la concentración que se utilice.

El blanqueamiento profesional sin cubeta es la técnica de elección cuando lo que se busca es transferir la responsabilidad del tratamiento al profesional. Consiste en la utilización de un peróxido de alta concentración (peróxido de hidrógeno mayor al 30%) aplicado directamente sobre la superficie dentaria. Es también una técnica más directa y rápida que la ambulatoria, aunque los resultados a mediano plazo no sean significativamente diferentes.

Ambas técnicas (ambulatoria y profesional) pueden combinarse ambos, disminuyendo de esta manera el tiempo de uso y la sensibilidad. Consiste en realizar una visita semanal al odontólogo para realizar el tratamiento profesional y complementarlo diariamente con el uso ambulatorio.

Durante todo el capítulo se hace referencia a los pasos clínicos que implican a cada técnica, así como a las precauciones y pronóstico de cada una y los distintos productos comerciales disponibles. También se sugiere una dieta para mejorar los resultados del tratamiento y se resalta la necesidad e importancia tanto de la remoción de la placa bacteriana en forma periódica, como de la disminución de la ingesta de factores pigmentarios, para evitar la recidiva del color y como prolongar los objetivos logrados.

Figura 2. El blanqueamiento profesional se lleva a cabo en el consultorio dental utilizando altas concentraciones de agente blanqueador. En la imagen, aislamiento absoluto de los dientes para proteger al paciente.

 

Conclusiones

El blanqueamiento externo es una técnica segura y eficiente para tratar de forma conservadora las pigmentaciones dentarias. Es necesario conocer las diferentes técnicas existentes para lograr la mayor satisfacción del paciente.

NOTA: Ver el próximo lunes el Capítulo 5: El blanqueamiento externo profesional.</h5

 

Autores

Sergio Gustavo Kohen. Profesor Adjunto, Cátedra de Odontología Integral Adultos, Facultad de Odontología UBA, Docente de la Facultad de Odontología de la Universidad de Buenos Aires. Profesor de postgrado de la Universidad del Salvador y AOA.

Carla De Franceschi. Jefe de Trabajos Prácticos de la Cátedra de Odontología Integral Adultos, FOUBA. Docente de postgrado de la Asociación Odontológica Argentina y USAL.

Guillermo Adrián Rodríguez. Ex Titular de las Cátedras Técnica de Operatoria, Clínica Preventiva, Cariología y Clínica Integrada A; Facultad de Odontología de la Universidad Maimónides, Buenos Aires. Especialista en Implantología y Endodoncia.

Pablo Agustín Varas. Especialista en Prostodoncia; y en Operatoria y Estética Dental, FOUBA. Jefe de Trabajos Prácticos de la Cátedra de Odontología Integral Adultos; Facultad de Odontología, UBA. Prof. Adjunto, Cátedra de Operatoria Dental, Pontificia Universidad Católica Argentina.

_____________________________________________________________________________

Para adquirir el libro en Latinoamérica hacer clic aquí. 

_____________________________________________________________________________

 

Serie de artículos del libro "Estética y blanqueamiento dental en la era digital"

Dental Tribune ofrece en abierto con acceso libre los primeros seis artículos de este libro. Para ver los demás artículos, por favor inscríbase para recibir nuestra Newsletter, un servicio que le ofrecemos de forma gratuita.

 

Capítulo 1. La estética del color dentario

Descripción de los distintos métodos para evaluar el color de los dientes, de gran importancia para realizar restauraciones imperceptibles ...  Ver más

 

Capítulo 2. Las alteraciones de color dental

Un correcto diagnóstico etiológico de cada paciente es fundamental para el éxito del tratamiento blanqueador ...  Ver más

 

Capítulo 3. Agentes blanqueadores y mecanismos de acción

Cada agente blanqueador es descrito en detalle, así como sus características diferenciales y sus distintas formas de comercialización ...  Ver más

 

Capítulo 4. El blanqueamiento externo

Pasos clínicos de cada técnica, precauciones y pronóstico de cada una y los distintos productos ...  Ver más

 

Capítulo 5. Blanqueamiento externo profesional

Una correcta técnica de blanqueamiento profesional incluye fotografías previas y registro del color inicial, higiene de ... Ver más

 

Capítulo 6. La técnica de la microabrasión

Se describen la técnica operatoria correcta de la microabrasión y las recomendaciones clínicas para un procedimiento más ...  Ver más

 

Suscríbase gratis haciendo clic aquí para ver los demás capítulos del libro

 

Capítulo 7. Blanqueamiento interno de dientes no vitales

La probabilidad de que este tratamiento produzca reabsorción radicular externa es cada vez más lejana si se ... Suscríbase gratis

Capítulo 8. Blanqueamiento de dientes calcificados

Las alternativas son el blanqueamiento externo en piezas vitales y no vitales, y/o el blanqueamiento interno de ... Suscríbase gratis

Capítulo 9. Aclaramiento y mantenimiento

Los resultados del blanqueamiento dental pueden cambiar a través del tiempo, por lo que es importante incluir un ... Suscríbase gratis

Capítulo 10. Efectos de los peróxidos sobre los tejidos dentarios y biomateriales

Se analizan los efectos de los materiales blanqueadores sobre el esmalte y la dentina, sobre la pulpa y sobre distintos ... Suscríbase gratis

Capítulo 11. La hipersensibilidad dentinaria

El tratamiento requiere identificar los signos, descartar otras causas, educar sobre las técnicas correctas de cuidado oral y ... Suscríbase gratis

Capítulo 12. Diseño Digital de la Sonrisa

El DSD combina la tecnología digital con los principios estéticos y funcionales de la odontología para crear un diseño personalizado de ... Suscríbase gratis

Capítulo 13. La Odontología Digital

El flujo de trabajo digital se utiliza para el diagnóstico, la planificación, y el tratamiento involucra estos tres procesos ... Suscríbase gratis

Capítulo 14. Carillas estéticas de cerámica

Las carillas son alternativas de trabajo viables, que nos conducen hacia la “armonía estética”, pero que ... Suscríbase gratis

Capítulo 15. Aclaramiento dental durante la ortodoncia

En este tratamiento se deben utilizar agentes aclaradores con bajas concentraciones, que minimizan el riesgo de ... Suscríbase gratis

Capítulo 16. Ortodoncia con alineadores

Es aconsejable no realizar el blanqueamiento en los inicios de la ortodoncia, ya que el movimiento dentario muchas veces ... Suscríbase gratis

Capítulo 17. Blanqueamiento y rehabilitación integral

Para obtener los mejores resultados estéticos, la oportunidad de realizar una rehabilitación prostética debe ser ... Suscríbase gratis

Capítulo 18. Comunicación y marketing

Este capítulo ofrece consejos para promocionar la clínica dental y explica el futuro de ... Suscríbase gratis

Capítulo 20. Consideraciones legales

Antes de comenzar un tratamiento estético, todos los procedimientos clínicos deben estar totalmente claros para el paciente ... Suscríbase gratis

Capítulo 21. Inteligencia Artificial y su aplicación odontología estética

Los escáneres faciales permiten crear modelos digitales precisos de la cara del paciente y su dentadura que se utilizan para ... Suscríbase gratis

Suscríbase gratis haciendo clic aquí para ver todos los capítulos del libro

 

 

Nota editorial:

Este resumen del libro “Estética y blanqueamiento dental en la era digital” se publica con la autorización de la editorial.

 

MAS SERIES DE ARTICULOS

 

• Edición Especial sobre Odontogeriatría
• Edición Especial sobre Láser en Odontología
• Edición Especial sobre Cirugía Piezoeléctrica
Temas:
To post a reply please login or register
advertisement
advertisement