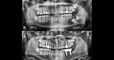
La radioterapia y la cirugía ablativa, el tratamiento primario para cáncer de cabeza y cuello, a menudo causan problemas en las funciones orofaciales de los pacientes y pueden tener efectos secundarios, como hipofunción salival, alteraciones del gusto y patología de los músculos masticatorios. Investigadores de la Universidad de Copenhague han analizado si las reconstrucciones protésicas mejoran la función oral y por lo tanto afectan la salud bucodental de los pacientes y la percepción subjetiva de la calidad de vida (OHRQoL).
En el estudio, se evaluó la OHRQoL usando el cuestionario Oral Health Impact Profile (OHIP-49). Con el fin de comparar los resultados del tratamiento, los investigadores analizaron puntajes de OHRQoL de 43 pacientes de 42-84 años de edad que habían sido tratados con radioterapia y/o cirugía ablativa, antes y después de la rehabilitación oral.
Con el objetivo de medir si las deficiencias se mejoraron por diferentes métodos y si OHRQoL de los pacientes cambió a través del tratamiento de rehabilitación oral, los investigadores compararon las prótesis con y sin implantes fijos y extraíbles.
En general, los datos indicaron que la rehabilitación oral resultó en una mejor apariencia y función masticatoria y por tanto, en una mejora significativa de la OHRQoL. Treinta y nueve de los 43 pacientes estudiados tenían puntuaciones OHIP inferiores después del tratamiento, pasando de una media de 77 puntos a 40 puntos, según el estudio.
Sin embargo, al comparar prótesis fijas versus removibles, no se encontró un efecto significativo en los resultados OHIP de los pacientes. Lo mismo aplica a los efectos de los implantes. Los pacientes tratados con implantes no difirieron significativamente en OHIP de los pacientes sin prótesis implantosoportadas.
Según los investigadores, los resultados pueden haber sido afectados por el limitado tamaño de la muestra y la gran variación entre los pacientes en el estudio. Una investigación futura tendrá que incluir una mayor muestra de pacientes con el fin de demostrar los beneficios significativos de los implantes, concluyeron.
El estudio, titulado "Oral prosthetic rehabilitation with and without implants after radiation therapy and ablative surgery", fue publicado el 25 de agosto en la edición especial sobre Prostodoncia y Prostodoncia Maxilofacial de la revista del International Journal of Dentistry and Oral Science.
El autor presenta el caso clínico de una paciente de edad avanzada con problemas de salud sistémicos a la que se le realizó una rehabilitación fija del ...
Este caso clínico explica el manejo de un paciente de la tercera edad con osteonecrosis en el maxilar superior izquierdo, que tenía antecedente de cáncer...
La doctora Margarita Vásquez nos habla sobre la importancia de mantener una buena salud buco dental antes de iniciar cualquier tratamiento contra el ...
El respeto por la biología de las estructuras de soporte y protección del aparato óseo dentario ha cobrado importancia en las actuales técnicas de ...
El respeto por la biología de las estructuras de soporte y protección del aparato óseo dentario ha cobrado importancia en las actuales técnicas de ...
El evento, que conmemora los 80 años de la SPPDMF, reunirá a referentes internacionales como los doctores Julián Conejo, Jonathan Esquivel, Bruno Kraft, ...
El Dr. Francisco García Torres, Profesor de Prostodoncia en la Universidad de LaSalle Bajío, México, explica en esta videoconferencia que durante la ...
Recientemente presentamos los casos de Jesús y Luna, dos bebés recién nacidos que llegaron al mundo con disfunción craneofacial diagnosticada como Labio...
La Clínica Universitaria de la Escuela Superior de Implantología y Rehabilitación Oral (Esiro) anuncia una nueva serie de cursos personalizados para ...
La odontología estética ha evolucionado hacia un enfoque integral que combina función, biología y estética en un mismo plan terapéutico. En este ...
Webinars en vivo
mar. 19 de mayo 2026
9:00 CST (Mexico City)
Webinars en vivo
mar. 19 de mayo 2026
11:00 CST (Mexico City)
Prof. Dr. med. dent. Ivo Krejci
Webinars en vivo
mié. 20 de mayo 2026
5:00 CST (Mexico City)
Dr. Graham Carmichael BDSc (Hons), DClinDent (Pros), FRACDS, Dr. Robert Gottlander DDS
Webinars en vivo
mié. 20 de mayo 2026
7:00 CST (Mexico City)
Webinars en vivo
mié. 20 de mayo 2026
9:00 CST (Mexico City)
Webinars en vivo
mié. 20 de mayo 2026
11:00 CST (Mexico City)
Prof. Dr. med. dent. Tim Joda PhD, MSc, eMBA
Webinars en vivo
jue. 21 de mayo 2026
10:00 CST (Mexico City)
Dr. Leonardo Muniz DDS, MSC
To post a reply please login or register