Search Dental Tribune

Enucleación de quiste dentígero mandibular y rehabilitación con implantes dentales

Arriba: Imagen inicial que muestra un proceso osteolítico circunscrito a las coronas de los dientes 3.6 y 3.7 no erupcionados. Debajo: Resultado a los 24 meses tras el tratamiento y la la carga funcional de los implantes.
Dental Tribune International

Dental Tribune International

sáb. 1 agosto 2020

guardar

Este caso clínico ha sido elaborado por expertos internacionales en Cirugía Bucal e Implantología de la Universidad de Valencia, España. Los autores son también los directivos de una primicia en el campo de la educación odontológica: el Primer Master Internacional ONLINE en Cirugía Oral e lmplantología, curso universitario que comienza en septiembre de 2020. Más información al final del artículo.

  CASO CLINICO 

Sumario

Los quistes dentígeros son los más comunes de los quistes del desarrollo, y los segundos más prevalentes de todos los quistes maxilares, después de los quistes radiculares. Su desarrollo está asociado a la corona de uno o más dientes incluidos o no erupcionados. Clínicamente, suelen cursar asintomáticos, excepto cuando se encuentran en fase inflamatoria (a causa de dientes deciduos suprayacentes con infección). Su hallazgo suele ser casual, asociado a otros motivos de consulta o evaluaciones rutinarias, como la ausencia de dientes (no erupcionados). Radiográficamente se presentan como una lesión radiotransparente, bien delimitada, y muestran una estrecha relación con la corona de un diente incluido. Se considera quiste dentígero cuando el espacio pericoronario alcanza un tamaño a partir de 2.5 mm. El presente trabajo muestra un caso de quiste dentígero mandibular asociado a dos dientes incluidos, que tras su enucleación y seguimiento, se rehabilitó con implantes dentales osteointegrados.

Significado clínico

El tratamiento de los quistes dentígeros en la mandíbula, debe considerar el tamaño de la lesión, la proximidad a estructuras nobles como el conducto dentario inferior, el grado de afectación periodontal y la posible presencia de rizólisis. El tratamiento quirúrgico a través de la extracción de los dientes afectados, enucleación del tejido inflamatorio y exodoncia del diente impactado mostró ser un enfoque predecible, y permitió la rehabilitación satisfactoria de la zona afectada con implantes dentales.

Introducción

La etimología del término “quiste” proviene del Griego “Kystis” que significa “saco o vejiga”. El quiste se define como una cavidad que retiene un contenido líquido, semilíquido o gaseoso, y que no es originado por el acúmulo de pus. Suele estar revestido por un epitelio, aunque no siempre de forma exclusiva1.

La mandíbula y el maxilar son los huesos del cuerpo humano con mayor prevalencia de quistes, debido a la existencia de restos epiteliales. Estos restos pueden ser de tejido odontógeno, de derivados de los restos epiteliales de Malassez (vestigio de la vaina de Hertwig), de la lámina dentaria, o de los órganos del esmalte. Por otro lado, pueden formarse a partir de epitelio no odontógeno, como el de los procesos embrionarios que originan los maxilares o el conducto nasopalatino.

Los quistes odontogénicos representan hasta el 90% de los quistes maxilares, y según la última clasificación de Organización Mundial de la Salud (OMS), se catalogan en quistes inflamatorios (p.ej., radicular, colateral inflamatorio) o quistes del desarrollo (p.ej., dentígero o folicular, erupción, periodontal lateral)2. El quiste dentígero es el más común de los quistes del desarrollo, y segundo de los quistes odontógenos más frecuentes (15%) después de los quistes radiculares inflamatorios3.

Los quistes dentígeros se asocian a la corona de un diente total o parcialmente incluidos (terceros molares o caninos maxilares). Es una alteración derivada del epitelio reducido del esmalte después de la formación de la corona, causados por el acúmulo de líquido entre el epitelio reducido del esmalte y la corona dental. Por otro lado, ha sido asociado a una diferenciación quística de las células epiteliales del folículo dental, formando una cavidad quística única que envuelve la corona del diente4.

Inscríbete al Primer Máster Online Cirugía e Implantología de la Universidad de Valencia haciendo click aquí y pide el descuento de Dental Tribune!

En la mayoría de los casos cursan asintomáticos, excepto cuando se encuentran en fase inflamatoria (quistes dentígeros inflamados, a causa de dientes deciduos suprayacentes con infección). Estos quistes se detectan de forma casual por la ausencia de caninos o terceros molares en boca, tras hacer una radiografía de control.

Respecto al diagnóstico, radiográficamente se presentan como una lesión radiotransparente, bien delimitada, y con una estrecha relación con la corona de un diente incluido. Esta imagen no es diagnóstica de quiste dentígero, ya que pueden presentarla también otro tipo de quistes o tumores. Además, no se debe de confundir con un saco folicular aumentado de tamaño, ya que el espacio pericoronario tiene que alcanzar los 2.5 mm para que sea considerado como presunto quiste.

Figura 1. Fotografía intraoral. Imagen preoperatoria. Se observa el tercer cuadrante parcialmente dentado, nótese la ausencia clínica de los dientes 3.7 y 3.8

Figura 1. Fotografía intraoral. Imagen preoperatoria. Se observa el tercer cuadrante parcialmente dentado, nótese la ausencia clínica de los dientes 3.7 y 3.8

El tratamiento varía según su tamaño: los más pequeños (hasta aproximadamente 2 cm) se extirpan quirúrgicamente en su totalidad. Los quistes más grandes que conllevan una gran pérdida de hueso y lo adelgazan de forma peligrosa, con frecuencia son tratados mediante descompresión por la inserción de un drenaje quirúrgico (fenestración) o bien mediante la marsupialización. Estos procedimientos originan el alivio de la presión y el gradual encogimiento del espacio quístico por aposición periférica de hueso nuevo.

El presente caso clínico presenta la resolución de una caso de quiste dentígero mandibular, que tras su enucleación fue rehabilitado con implantes dentales osteointegrados.

 

Presentación clínica

Paciente de 45 años de edad referido a la Unidad de Cirugía Bucal de la Facultad de Medicina y Odontología de la Universidad de Valencia, en Junio de 2016. El paciente presentaba aparente buen estado general, no refería antecedentes médicos ni sistémicos de consideración y se presentó asintomático. Además, demandaba tratamiento rehabilitador mediante implantes dentales de la zona parcialmente desdentada.

A la exploración clínica intraoral no se observaron alteraciones aparentes en suelo de boca, carrillos ni paladar blando. Los tejidos periodontales se observaron sanos y sin inflamación. Se observó ausencia de los dientes 3.6 y 3.7 (Fig. 1).

Evaluación radiológica

Tras realizar la evaluación radiológica bidimensional, en la ortopantomografía (Planmeca ProMax 3D Classic, Helsinki, Finland) se observó una imagen osteolítica radiotransparente que englobaba a los dientes 3.7 y 3.8 no erupcionados. Además la lesión había producido rizólisis de los dientes 3.5 y 3.6. El paciente era portador de prótesis implantosoportada a nivel 1.5 y 2.5, y había recibido tratamiento de conductos en el diente 1.4. Se observó la presencia de los cordales no erupcionados en el primer, segundo y cuarto cuadrante (Fig. 2).

Figura 2. Evaluación radiológica bidimensional. La ortopantomografía advierte la presencia de un proceso osteolítico circunscrito a las coronas de los dientes 3.6 y 3.7 no erupcionados. Nótese la reabsorción radicular de los dientes 3.5 y 3.6 debido a la extensión del proceso osteolítico en sentido antero posterior.

Figura 2. Evaluación radiológica bidimensional. La ortopantomografía advierte la presencia de un proceso osteolítico circunscrito a las coronas de los dientes 3.6 y 3.7 no erupcionados. Nótese la reabsorción radicular de los dientes 3.5 y 3.6 debido a la extensión del proceso osteolítico en sentido antero posterior.

La TCHC (Planmeca ProMax 3D Classic) mostró una extensa imagen osteolítica poco radiodensa en el tercer cuadrante. La lesión era visible en los planos axial, coronal y sagital. Se observó la afectación de la cortical vestibular relacionada a la lesión osteolítica (Fig. 3).

Figura 3. Tomografía computarizada de haz cónico. A) Corte axial. Nótese como la extensión de la lesión osteolítica se extiende en sentido antero posterior afectando la raíz distal de 3.6. A´) Corte axial. En un corte más apical se visualiza la parcialmente la corona de 3.7, y una mayor extensión de la lesión en sentido antero-posterior hasta distal de 3.5. B). Corte coronal. Se observa cómo la lesión osteolítica ha comprometido la integridad de la cortical en sentido craneal. C) Corte axial. La zona poco radiodensa está relacionada a los dientes 3.7 y 3.8 no erupcionados.

Figura 3. Tomografía computarizada de haz cónico. A) Corte axial. Nótese como la extensión de la lesión osteolítica se extiende en sentido antero posterior afectando la raíz distal de 3.6. A´) Corte axial. En un corte más apical se visualiza la parcialmente la corona de 3.7, y una mayor extensión de la lesión en sentido antero-posterior hasta distal de 3.5. B). Corte coronal. Se observa cómo la lesión osteolítica ha comprometido la integridad de la cortical en sentido craneal. C) Corte axial. La zona poco radiodensa está relacionada a los dientes 3.7 y 3.8 no erupcionados.

En la reconstrucción tridimensional a partir de la TCHC, se pudo observar con mayor claridad la afectación de las corticales vestibular (Fig. 4A) y lingual (Fig. 4B), además se observó la rizólisis de las raíces de los dientes 3.6 y 3.5 (Fig. 4C).

Figura 4. Reconstrucción tridimensional a partir de TCHC. A) Vista de la afectación de la cortical vestibular en el tercer cuadrante, nótese la proximidad del nervio dentario inferior. B) Vista de la afectación de la cortical lingual. C) La extensión antero posterior de la lesión osteolítica ha producido la rizólisis de las raíces del primer molar y segundo premolar.

Figura 4. Reconstrucción tridimensional a partir de TCHC. A) Vista de la afectación de la cortical vestibular en el tercer cuadrante, nótese la proximidad del nervio dentario inferior. B) Vista de la afectación de la cortical lingual. C) La extensión antero posterior de la lesión osteolítica ha producido la rizólisis de las raíces del primer molar y segundo premolar.

Tratamiento

En primer lugar se realizó la extracción de los dientes afectados por la rizólisis, luego se procedió con la enucleación completa del quiste, y finalmente con la extracción de los dientes impactados. Tras realizar el legrado de la cavidad quística se suturó el colgajo de acceso de forma inmediata tras la cirugía.

Técnica quirúrgica

La cirugía se realizó bajo anestesia local infiltrativa y troncular del nervio dentario inferior izquierdo con Articaína al 4% (1:100,000) (Inibsa; Lliça de Vall, Barcelona, Spain). Se realizó una incisión a espesor completo con una hoja bisturí 15c, para elevar un colgajo mucoperióstico. Tras la elevación del colgajo, antes de acceder a la cavidad quística, se procedió a la extracción de los dientes afectados por la rizólisis (Fig.5), así como del tejido membrana fibrosa del proceso quístico (Fig. 5C).

Figura 5. Enucleación del quiste. A) Elevación de colgajo mucoperióstico. B) Extracción del diente 3.6 afectado por la rizólisis debido al proceso osteolítico. C) Se procede a enuclear la parte más superficial de la lesión. D) Dientes 3.5 y 3.6 tras la extracción.

Figura 5. Enucleación del quiste. A) Elevación de colgajo mucoperióstico. B) Extracción del diente 3.6 afectado por la rizólisis debido al proceso osteolítico. C) Se procede a enuclear la parte más superficial de la lesión. D) Dientes 3.5 y 3.6 tras la extracción.

Tras enuclear el tejido inflamatorio, se pudo observar los dientes impactados relacionados al quiste dentígero, y que fueron extraídos previa odontosección de la porción coronaria empleando fresas de carburo tungsteno (Jota AG, Rüthi SG, Switzerland) empleando una pieza de mano recta 1:1 (Synea Vision, W&H Dentalwerk, Bürmoos, Austria) (Fig. 6).

Figura 6. Extracción de los dientes impactados. Imagen intraoral - vista oclusal. A) Tras las extracción de los dientes afectados por la rizólisis y posterior enucleación del quiste, se pudo visualizar los dientes impactados que causaron la patología. B) Se procede a realizar la odontosección de la porción coronal. C) Extracción de los fragmentos coronales tras la odontosección.

Figura 6. Extracción de los dientes impactados. Imagen intraoral - vista oclusal. A) Tras las extracción de los dientes afectados por la rizólisis y posterior enucleación del quiste, se pudo visualizar los dientes impactados que causaron la patología. B) Se procede a realizar la odontosección de la porción coronal. C) Extracción de los fragmentos coronales tras la odontosección.

Para la extracción de las porción radicular del diente 3.7, se realizó la ostectomía de la cortical vestibular creando una pequeña ventana de acceso, mediante la cual se insertó un elevador recto (Fig.7).

Figura 7. Extracción de los dientes impactados. Imagen intraoral – vista lateral. A) Nótese el ensanchamiento de la cortical vestibular y proximidad de la emergencia del nervio mentoniano. B) Se realiza una ostectomía a manera de ventana, para así acceder a la porción radicular del diente 3.6 para su extracción con ayuda de un elevador recto. C) El diente 3.6 ha sido desplazado. D) Diente fuera de boca tras su extracción.

Figura 7. Extracción de los dientes impactados. Imagen intraoral – vista lateral. A) Nótese el ensanchamiento de la cortical vestibular y proximidad de la emergencia del nervio mentoniano. B) Se realiza una ostectomía a manera de ventana, para así acceder a la porción radicular del diente 3.6 para su extracción con ayuda de un elevador recto. C) El diente 3.6 ha sido desplazado. D) Diente fuera de boca tras su extracción.

Una vez realizada la extracción de los dientes impactados, se legró la cavidad quística irrigando con abundante solución salina estéril, luego se realizó el cierre del colgajo (Fig. 8). El tejido inflamatorio extraído fue remitido a patología para el análisis histopatológico respectivo.

Figura 8. Extracción de los dientes impactados. Imagen intraoral - vista oclusal. A) Cavidad osteolítica tras la enucleación de la patología y extracción de los dientes impactados . B) Se realiza la sutura con puntos interrumpidos y seda no reabsorbible. C) Cicatrización a la semana postoperatoria. D) Ortopantomografía postoperatoria inmediata.

Figura 8. Extracción de los dientes impactados. Imagen intraoral - vista oclusal. A) Cavidad osteolítica tras la enucleación de la patología y extracción de los dientes impactados . B) Se realiza la sutura con puntos interrumpidos y seda no reabsorbible. C) Cicatrización a la semana postoperatoria. D) Ortopantomografía postoperatoria inmediata. 

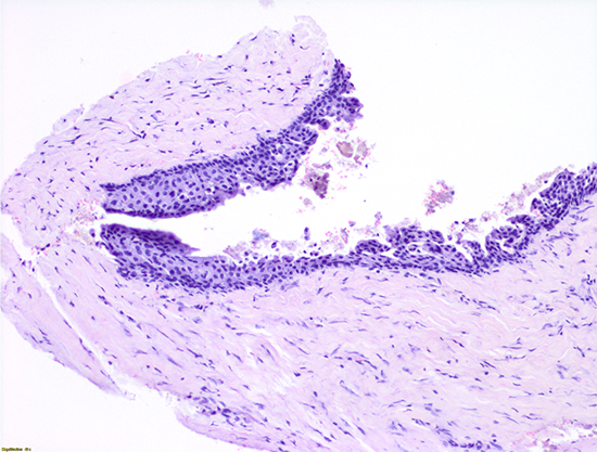
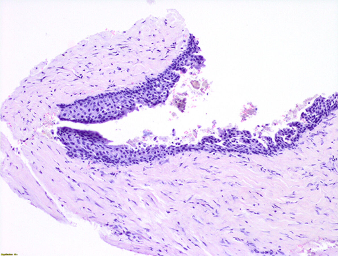
Análisis histológico

Los fragmentos analizados estaban constituidos por una pared conectiva fibrocelular densa, que mostraba un infiltrado inflamatorio difuso, así como focos con reacción a cuerpo extraño con cristales de colesterol, células gigantes multinucleadas y alguna espícula ósea. Se reconoció un epitelio de revestimiento delgado, poliestratificado no queratinizado, parcialmente desprendido en algunas zonas (Fig. 9). Estos hallazgos confirmaron el diagnóstico presuntivo de quiste odontógeno del desarrollo (quiste dentígero). La histopatología fue realizada por el Dr. José Manuel Aguirre Urizar (Servicio Diagnóstico Patología Oral y Maxilofacial, Las Arenas - Areeta, Bizkaia, España).

Figura 9. Análisis histopatológico. Se observa la pared quística compuesta por tejido fibroso y tejido conectivo revestido por un epitelio estratificado no queratinizado, y algunos fragmentos óseos.

Figura 9. Análisis histopatológico. Se observa la pared quística compuesta por tejido fibroso y tejido conectivo revestido por un epitelio estratificado no queratinizado, y algunos fragmentos óseos.

Rehabilitación implantosoportada

Se realizó el control radiográfico de la zona tratada durante 12 meses. El paciente fue evaluado de forma clínica y radiológica (Fig. 10).

Figura 10. Evolución postoperatoria. El paciente acude a consulta para control radiográfico de la zona intervenida. A) La ortopantomografía evidencia el área menos radiotransparente y sugiere una neoformación ósea de la cavidad quística a los 8 meses. B) A los 12 meses se observa un tejido más radiopaco y con trabeculado óseo, compatible con hueso en fase de maduración.

Figura 10. Evolución postoperatoria. El paciente acude a consulta para control radiográfico de la zona intervenida. A) La ortopantomografía evidencia el área menos radiotransparente y sugiere una neoformación ósea de la cavidad quística a los 8 meses. B) A los 12 meses se observa un tejido más radiopaco y con trabeculado óseo, compatible con hueso en fase de maduración.

Se planificó la colocación de dos implantes mediante TCHC. Tras la evaluación tridimensional se observó un defecto óseo residual en distal del implante planificado en posición 3.7 (Fig. 11).

Figura 11. Planificación de implantes. Evaluación intraoral de la zona tratada. A) Se evalúa las necesidades protésicas y calidad de los tejidos blandos. B) En un vista oclusal, se observa los tejidos blandos saludables y presencia de mucosa queratinizada. C) Se realiza una TCHC y se planifica la colocación de dos implantes dentales en posición 3.5 y 3.7.

Figura 11. Planificación de implantes. Evaluación intraoral de la zona tratada. A) Se evalúa las necesidades protésicas y calidad de los tejidos blandos. B) En un vista oclusal, se observa los tejidos blandos saludables y presencia de mucosa queratinizada. C) Se realiza una TCHC y se planifica la colocación de dos implantes dentales en posición 3.5 y 3.7.

Dos implantes de 4.7 mm de diámetro y 11 mm de longitud fueron instalados (Phibo TSA®, Phibo Dental Solutions, Barcelona, Spain). El defecto residual en distal de 3.7 fue regenerado de forma simultánea con ß-fosfato tricálcico (KeraOs®, Keramat, A Coruña, Spain) (Fig. 12).

Figura 12. Cirugía de implantes. A) Despegamiento de colgajo a espesor total. B) Tras la preparación del lecho implantario se instalan dos implantes dentales en posición 3.5 y 3.7. C) Colocación de tapas de cierre. D) Se coloca un injerto particulado aloplástico para regenerar el defecto óseo distal del implante en posición 3.7. E) Cierre del colgajo con puntos interrumpidos con seda no reabsorbible.

Figura 12. Cirugía de implantes. A) Despegamiento de colgajo a espesor total. B) Tras la preparación del lecho implantario se instalan dos implantes dentales en posición 3.5 y 3.7. C) Colocación de tapas de cierre. D) Se coloca un injerto particulado aloplástico para regenerar el defecto óseo distal del implante en posición 3.7. E) Cierre del colgajo con puntos interrumpidos con seda no reabsorbible.

Tras un periodo de osteointegración de tres meses se realizó una cirugía de acceso para colocar el pilar de cicatrización de implante 3.7 y posterior registro con escáner intraoral (3shape Trios®, Copenaghen, Denmark) (Fig. 13), para la confección de la prótesis atornillada definitiva (Fig. 14)

Figura 13. Fase protésica. A) A las 12 semanas de la cirugía de implantes, se realizó una segunda cirugía para colocar el pilar de cicatrización a nivel de 3.7. B) Pilar de cicatrización atornillado. C) A los 15 días se procede tomar registros de impresión con un escáner intraoral. Nótese los scan-bodies en posición.

Figura 13. Fase protésica. A) A las 12 semanas de la cirugía de implantes, se realizó una segunda cirugía para colocar el pilar de cicatrización a nivel de 3.7. B) Pilar de cicatrización atornillado. C) A los 15 días se procede tomar registros de impresión con un escáner intraoral. Nótese los scan-bodies en posición.

 

Figura 14. Fase protésica. Imágenes intraorales. A) Vista oclusal de la salud de los tejidos periimplantarios el día de colocación de la prótesis. B) Vista oclusal de la prótesis ceramo-metálica atornillada. C) Vista lateral de la prótesis definitiva, nótese el esquema oclusal de la restauración.

Figura 14. Fase protésica. Imágenes intraorales. A) Vista oclusal de la salud de los tejidos periimplantarios el día de colocación de la prótesis. B) Vista oclusal de la prótesis ceramo-metálica atornillada. C) Vista lateral de la prótesis definitiva, nótese el esquema oclusal de la restauración.

Tratamiento farmacológico

El enfoque terapéutico tras la cirugía consistió en 2gr de Amoxicilina 1 hora antes a la cirugía, y Amoxicilina 500 mg 1 comprimido cada 8 horas durante una semana postoperatoria. La terapia analgésica fue condicional al dolor, se prescribió Ibuprofeno 600 mg 1 comprimido cada 8 horas durante 3 días.

Resultado clínico

El caso fue evaluado a los 24 meses de carga funcional. El examen radiológico mostró un adecuado nivel del hueso marginal respecto al día de instalación de los implantes, así como la neoformación de la zona asociada a la patología quística (Fig. 15).

Figura 15. Ortopantomografía. A) Día de la colocación de implantes. B) A los 24 meses tras la carga funcional de los implantes.

Figura 15. Ortopantomografía. A) Día de la colocación de implantes. B) A los 24 meses tras la carga funcional de los implantes.

Discusión

Un quiste es una cavidad que retiene contenido líquido, semilíquido o gaseoso, no ocasionado por el acúmulo de pus. Además suele estar revestido por un epitelio, aunque no siempre de forma exclusiva.

La formación del quiste dentígero se inicia con la separación del folículo de la corona de un diente incluido por lo que siempre queda asociado a esta parte del diente no erupcionado. Puede causar expansión de la cortical ósea, desplazamiento de dientes, pérdida de vitalidad de dientes contiguos, así como asimetría facial5.

Radiográficamente se caracteriza como una zona radiotransparente unilocular bien definida. Una característica radiológica importante de este tipo de quistes es que se insertan en la unión cemento esmalte. Aunque también algunos quistes dentígeros son excéntricos, y se desarrollan de la pared lateral del folículo, ocupando un área lateral a la corona del diente6. Debido a que en el presente caso fueron observados los patrones clínicos y radiográficos antes mencionados, el diagnóstico presuntivo inicial fue de quiste dentígero.

Los quistes dentígeros son reportados como lesiones únicas y solitarias. Sin embargo, en algunas enfermedades las lesiones múltiples son más frecuentes, como la displasia cleidocraneal, el síndrome de Maroteaux-Lamy o en pacientes tratados con ciclosporina7.

El diagnóstico diferencial debe evaluarse con precaución, debido a la similitud con otras patologías como el ameloblastoma uniquístico o el queratoquiste odontogénico, siendo el análisis histopatológico el que confirme el diagnóstico definitivo de la patología.

El tratamiento para la resolución del proceso ostelítico consistió en realizar un colgajo a espesor total, seguido por la extracción de los dientes afectados por la rizólisis, enucleación de la patología y posterior extracción de los dientes impactados. Antes del cierre del colgajo, la cavidad quística fue legrada, y se irrigó con abundante solución salina estéril. El cierre del colgajo se realizó de forma inmediata con sutura no reabsorbible y puntos interrumpidos.

El enfoque terapéutico descrito en el presente caso, permitió realizar la cirugía de implantes tras 12 meses de cicatrización. La ortopantomografía mostró cómo la zona tratada se torna más radiodensa, imagen compatible con neoformación ósea. Sin embargo, la TCHC mostró un defecto residual en la zona distal del implante en posición 3.7, por lo que se realizó una regeneración ósea simultánea con un biomaterial aloplástico particulado.

Los implantes osteointegraron de forma satisfactoria, y fueron sometidos a carga a las 16 semanas de tratamiento tras la confección de la restauración definitiva mediante técnica de escaneado intraoral. Los hallazgos clínicos y radiográficos durante el seguimiento mostraron que el enfoque terapéutico resultó ser predecible y satisfactorio.

Autores

  1. David Peñarrocha Oltra, DDS, PhD, Profesor Contratado Doctor, Unidad de Cirugía Bucal e Implantología Oral, Facultad de Medicina y Odontología, Universidad de Valencia, Valencia, España.
  2. David Soto Peñaloza, DDS, MSc, PhD, Máster de Cirugía Bucal e Implantología Oral, Facultad de Medicina y Odontología, Universidad de Valencia, Valencia, España.
  3. Juan Carlos Bernabeu Mira, DDS, MSc, Máster de Cirugía Bucal e Implantología Oral, Facultad de Medicina y Odontología, Universidad de Valencia, Valencia, España.
  4. Miguel Peñarrocha Diago, DMD, DDS, PhD, Catedrático de Cirugía Bucal, Facultad de Medicina y Odontología, Universidad de Valencia, Valencia, España.

Correspondencia: Dr. David Soto Peñaloza: dr.davidsotpe@gmail.com

Correspondencia: Dr. David Soto Peñaloza: dr.davidsotpe@gmail.com

NOTA: Los autores son los directivos de un extraordinario equipo compuesto por 100 expertos de prestigio internacional que impartirán el Primer Master Internacional ONLINE en Cirugía Oral e lmplantología de la Universidad de Valencia, España. Este Máster universitario es una oportunidad única para aprender de grandes figuras desde la comodidad de tu hogar o clínica. Consulta el programa completo siguiendo el enlace bajo estas líneas. 

Referencias

  1. Kramer I.R.H. Changing views on oral disease. Proceedings of the Royal Society of Medicine 1974; 67: 271–276.
  2. Speight PM, Takata T. New tumour entities in the 4th edition of the World Health Organization Classification of Head and Neck tumours: odontogenic and maxillofacial bone tumours. Virchows Arch. 2018;472:331-339.
  3. Kammer PV, Mello FW, Rivero ERC. Comparative analysis between developmental and inflammatory odontogenic cysts: retrospective study and literature review. Oral Maxillofac 2020;24(1):73-84.
  4. Wu YH, Chang JYF, Chang HH, Chiang CP. Langerhans cells in dermoid cyst lining epithelium. J Formos Med Assoc. 2016; 115: 57e8.
  5. Riachi F, Khairallah CM, Ghosn N, Berberi AN. Cyst volume changes measured with a 3D reconstruction after decompression of a mandibular dentigerous cyst with an impacted third              Clin Pract. 2019;9:1132.
  6. White SC, Pharoah MJ. Cysts and cystlike lesions of the jaws. In: Oral radiology, Principles and 6th ed. St. Louis: Elsevier 2008. p. 346.
  7. Allais M, Maurette E, Haiter M. Tratamiento de quiste dentígero bilateral mandibular por medio de dos tipos de tratamientos: Relato de caso clínico y comparación entre las técnicas.   Acta Odontol Venez. 2007; 45: 109-112.
To post a reply please login or register

Primer Atlas Dental de Latinoamérica y el Caribe

El estudio de Rebmann Research ofrece datos contrastados sobre el sector dental en América Latina y el Caribe. Fotos: Rebmann Research

mié. 15 abril 2026

guardar

La publicación del informe de Rebmann Research sobre el mercado dental de América Latina y el Caribe presenta por primera vez un análisis de mercado detallado de una de las regiones de mayor crecimiento en el sector dental del futuro.

El informe, titulado “Atlas Dental de Latinoamérica y Caribe 2025/2026, ha sido realizado por la empresa especializada Rebmann Research y presenta un nuevo estudio de mercado centrado en una de las áreas geográficas de mayor desarrollo en la industria odontológica. Rebmann Research ha publicado dos versiones del informe, una corta gratuita y otra completa y de pago.

En el contexto del acuerdo Mercosur, que ha creado una de las mayores zonas de libre comercio del mundo con más de 715 millones de habitantes, el informe destaca once países, además de Brasil, que es uno de los mercados de mayor crecimiento del sector dental a nivel mundial.

Basándose en información de expertos en el mercado, entrevistas y el conocimiento de una red de contactos, el estudio ofrece una visión integral de la organización y financiación de la atención dental en Latinoamérica, así como de las estructuras de los proveedores, las condiciones de la infraestructura, las características culturales, los riesgos financieros y los marcos regulatorios.

Volumen del mercado en equipos dentales en Latinoamérica.

 

Mercados dinámicos

Rebmann Research amplía con el “Atlas Dental de Latinoamérica y Caribe 2025/2026” su cartera de estudios de mercado dental internacional para incluir una región de creciente importancia para Europa. Los países de Latinoamérica y el Caribe se presentan como mercados dentales dinámicos y orientados al crecimiento, con un gran potencial para el desarrollo de una fuerza laboral y una creciente clase media que valora cada vez más la apariencia y el bienestar.

Además, Latinoamérica está adquiriendo mayor relevancia a la luz de los cambios geopolíticos, la evolución de las relaciones comerciales globales y la creciente incertidumbre en las alianzas tradicionales. Si bien el acuerdo del Mercosur aún está sujeto a aprobación final, ya representa un avance significativo en la cooperación económica entre Europa y los países de Latinoamérica.

Volumen del mercado en equipos dentales en Latinoamérica.

 

El estudio analiza en profundidad uno de los mercados dentales más grandes del mundo: Brasil, en especial su industria nacional de tecnología médica y el auge local de los escáneres intraorales en ese mercado. También examina a México como el mercado de ventas más importante para la tecnología médica alemana en Latinoamérica, incluyendo la creciente relevancia que ha adquirido el comercio electrónico.

Los análisis ofrecen también información valiosa sobre mercados más pequeños pero atractivos: por ejemplo, el estudio destaca la República Dominicana, conocida como la “Isla de los Dispositivos Médicos”, y describe las ventajas competitivas con las que cuenta, como las zonas de libre comercio.

 

Perfil del mercado dental en la República Dominicana.

 

Las nuevas tecnologías están haciendo que tratamientos antes exclusivos sean accesibles ahora a una población más amplia. El auge de la odontología estética es claramente visible en las exposiciones dentales de países como Brasil, Colombia y México. Las redes sociales se han convertido en un componente esencial de la comunicación con el paciente, y no se debe subestimar la influencia que tienen los líderes de opinión clave. Al mismo tiempo, no se deben pasar por alto los desafíos. El estudio demuestra cómo los gobiernos locales, las condiciones de la política económica, las políticas comerciales y arancelarias, así como la creciente influencia de China, varían de un país a otro.

Bernd Rebman, fundador y CEO de Rebmann Research, compañía especializada en realizar estudios de mercado sobre el área de la salud.

 

Con el “Atlas Dental Latinoamérica y el Caribe 2025/2026”, Rebmann Research ofrece una guía práctica y bien fundamentada para fabricantes, distribuidores, dentistas, técnicos dentales y todos los actores involucrados en el mercado dental de esta diversa región.

Además de una versión gratuita más corta del informe, que ofrece una visión general concisa, está disponible una versión más larga y completa. La versión extendida incluye análisis adicionales por país, entrevistas con expertos y perspectivas más profundas de especialistas del sector dental latinoamericano. El estudio ya está disponible en línea en alemán e inglés; solo tiene que registrarse para acceder y descargarlo.

 

Sobre Rebmann Research

Durante más de 25 años, Rebmann Research ha sido uno de los principales proveedores de datos económicos y servicios digitales en el mercado de la salud, con amplia experiencia en aproximadamente 60 subsectores. Su cartera abarca desde análisis de mercado a pedido, hasta la planificación de inversiones para más de 300 dispositivos de tecnología médica o consultoría estratégica integral para consultorios. Las soluciones en línea están diseñadas específicamente para las necesidades de los profesionales de la salud. Además de propietarios de consultorios y clínicas, los productos de Rebmann Research son utilizados principalmente por consultores especializados en finanzas, impuestos y gestión, empresas de tecnología médica y farmacéuticas, así como por instituciones públicas. Más información en www.rebmann-research.de.

 

ARTICULOS RECOMENDADOS

_______________________________________________________________________________________________________________________________

DENTAL SUMMIT COLIFE 2026

El camino hacia la pasividad perfecta en implantología

VER MAS

_______________________________________________________________________________________________________________________________

DENTAL SUMMIT COLIFE 2026

“La odontología digital potencia nuestro criterio clínico”

VER MAS

_______________________________________________________________________________________________________________________________

DENTAL SUMMIT COLIFE 2026

Promover la salud oral para reducir la necesidad de restauraciones

VER MAS

_______________________________________________________________________________________________________________________________

DENTAL SUMMIT COLIFE 2026

La odontología digital es el nuevo standard clínico

Javier de Pisón

VER MAS

_______________________________________________________________________________________________________________________________

 

EXPODENTAL MADRID

La robótica, nueva frontera en cirugía implantológica

Javier de Pisón

VER MAS

_______________________________________________________________________________________________________________________________

EXPODENTAL MADRID

El imparable ímpetu de Expodental Madrid

Javier de Pisón 

VER MAS

_______________________________________________________________________________________________________________________________

EXPODENTAL MADRID

Factores esenciales para adquirir un escáner intraoral 

Enrique Jadad 

VER MAS

_______________________________________________________________________________________________________________________________

REPORTAJE, PARTE 1

"Todo sistema que no tenga medición no es fotogrametría"

Javier de Pisón

VER MAS

_______________________________________________________________________________________________________________________________

REHABILITACION & IMPLANTOLOGIA ORAL

Relevancia de la fotogrametría en casos All-on-X

Enrique Jadad 

VER MAS

_______________________________________________________________________________________________________________________________

REVISION

Los dientes, guardianes silenciosos de nuestra salud

D. Suárez Quintanilla

VER MAS

_______________________________________________________________________________________________________________________________

GESTION DE LA CLINICA

Cómo fijar precios en Odontología 

Juan Carlos Mejía

VER MAS

_______________________________________________________________________________________________________________________________

FORMACION - EDICION ESPECIAL

Nuevas tecnologías en las clínicas universitarias

Varios autores

VER MAS

_______________________________________________________________________________________________________________________________

CIRUGIA ORAL

Todo lo que necesita saber sobre Cirugía Piezoeléctrica

José Rosas Díaz

VER MAS

_______________________________________________________________________________________________________________________________

ESTETICA

La belleza dental a través de la historia 

Javier de Pisón

VER MAS

_______________________________________________________________________________________________________________________________

 

 

 

 

 

 

 

 

 

 

 

Temas:
To post a reply please login or register
advertisement
advertisement