Search Dental Tribune

Preservación del tejido gingival en la rehabilitación implanto protésica postortodóncica

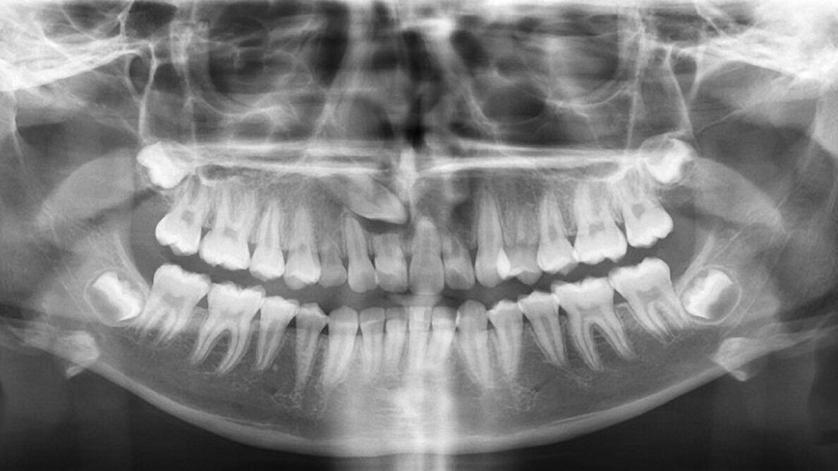
Fig. 1. Radiografía panorámica que muestra la ubicación del canino superior derecho retenido y alterando las estructuras óseas y dentarias.
Edgardo Guglielmetti y Santiago Noste

Edgardo Guglielmetti y Santiago Noste

lun. 25 octubre 2021

guardar

El respeto por la biología de las estructuras de soporte y protección del aparato óseo dentario ha cobrado importancia en las actuales técnicas de rehabilitación implanto protésicas. En muchos tratamientos de ortodoncia en adolescentes y adultos preparamos el terreno para la posterior rehabilitación protésica a fin de reponer piezas faltantes por exodoncia o por agenesias.

En publicaciones recientes en Dental Tribune, el Dr. Yuri Turanza1 se refirió a la gingivoentesis como unidad morfofuncional y el Dr. Julio García2 proponiendo con su filosofía la bioimplantología. Ambas ponencias son introductorias a este caso clínico que les presentamos. Cabe aclarar que el Dr. García ha diseñado para uso general un dispositivo llamado Sculgar que preserva el tejido gingival post colocación de implante, para reemplazar al típico tapón cicatrizal.

Caso clínico

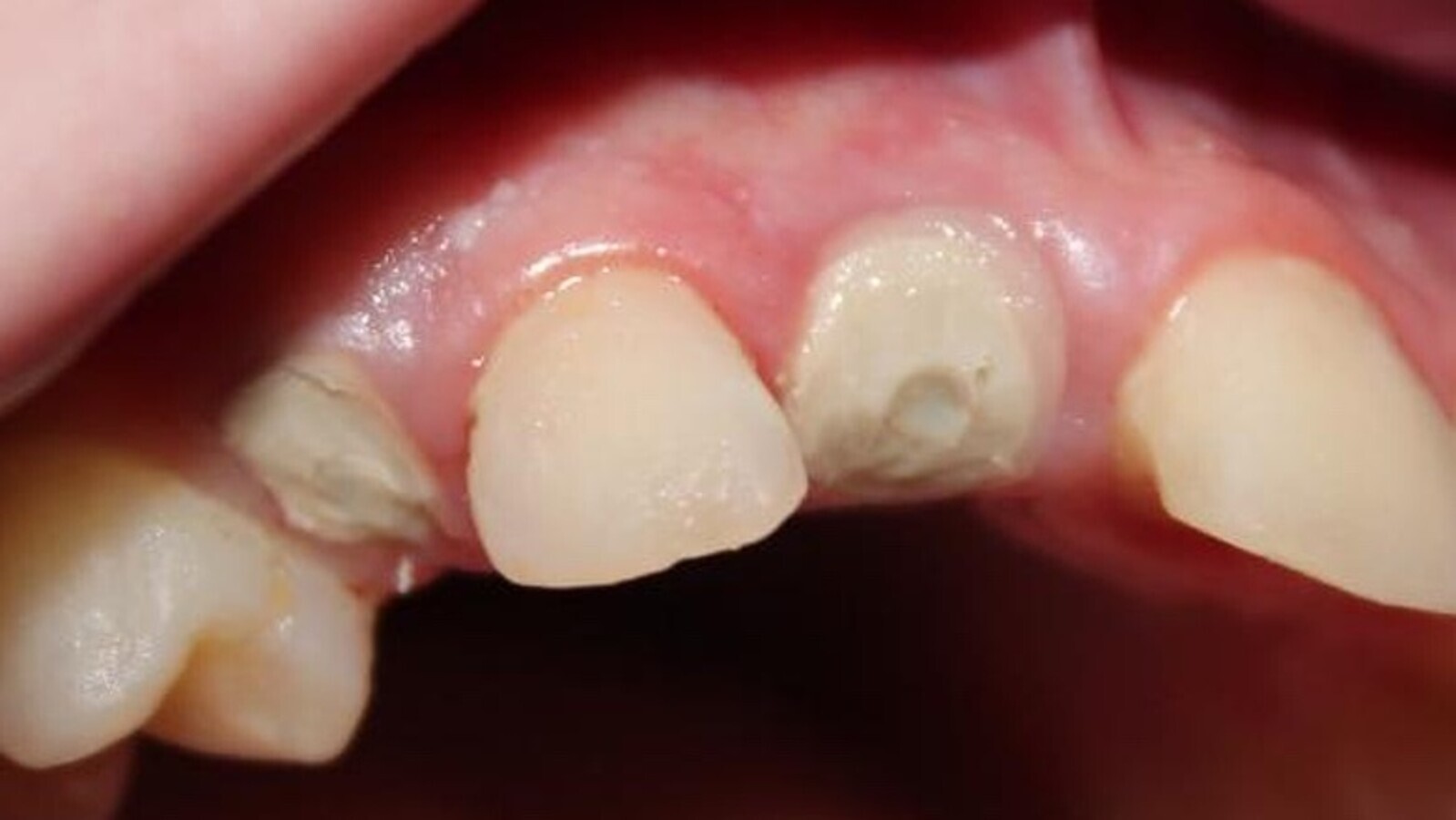
Paciente de 16 años presenta un canino superior retenido con una formación quística que ha reabsorbido las raíces de las a piezas 11, 12 y 53 (Fig. 1).

Fig. 2. Tomografía Cone Beam mostrando la reabsorción radicular de 11 y 53.

Luego de la extirpación quirúrgica de la pieza y del proceso quístico se procedió a realizar un tratamiento de ortodoncia convencional para alinear, nivelar y preparar el terreno para la rehabilitación implanto protésica.

Fig. 3. Tomografía Cone Beam con las mediciones apropiadas.
Fig. 4. Pieza 11 con desgastes proximales para la lograr exodoncia no traumática.
Fig. 5. Implante rectos NTI colocados sin realizar incisión ni sutura.

Etapa quirúrgica y de rehabilitación implanto protésica

El fresado propuesto por el sistema es a 50 y 150 r.p.m. y sin irrigación para permitir la afluencia sanguínea3. El implante posee un tratamiento superficial que acelera la integración y permite activar el implante a los tres meses4. Se instala con un torque de entre 8 y 12 Newtons.

Al paciente de 16 años en el momento de la cirugía, se le confeccionó una placa termo-moldeable con alivio en la zona implantar y dientes de acrílico para resolver la estética.

Aplicación del aditamento Sculgar

En principio, se utiliza para preservar el tejido gingival y engañar de alguna manera al cuerpo humano ante la pérdida de la pieza dentaria y la consecuente cicatrización fibrosa de la mucosa gingival5. No utilizamos tapones cicatrizales, ya que a veces resultan compresivos del tejido blando.

Fig. 6. Comparación entre un implante con tapa cicatrizal y otro con Sculgar (Imagen gentileza de NTI).
Fig. 7. Sculgar posicionados inmediatamente tras la cirugía.
Fig. 8. Estado gingival una semana posterior a la intervención.

Etapa de rehabilitación protésica

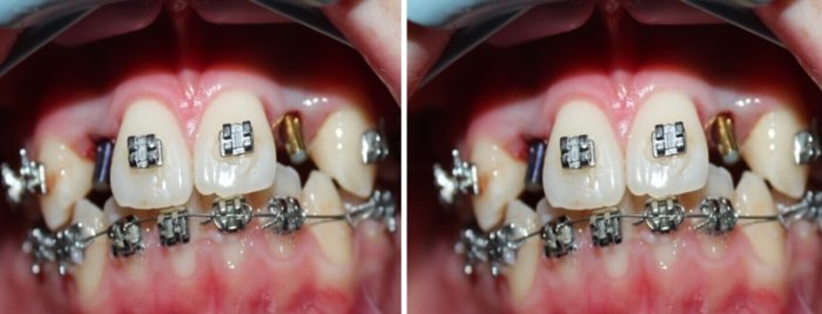
Pasados 90 días se procede a la activación de los implantes colocándoles perno muñones con tornillos pasantes y piezas provisorias.

Fig. 9. Perfil de emergencia comparando estado gingival con tapa cicatrizal y con Sculgar (Imagen gentileza de NTI).
Fig. 10. Estado gingival con provisorio colocado en pieza 13 y perfil y perno muñón en pieza 11.
Fig. 11. Estado gingival de otro caso tratado por agenesia de 12 y 22, con implantes sin Sculgar.
Fig. 12. Imágenes mostrando el estado gingival a 90 y 150 días después de la activación aun con provisorios.

Conclusión

La aplicación de un elemento biocompatible después de un tratamiento de ortodoncia en pacientes con agenesias y/o ausencias, puede mantener el estado de salud gingival para una buena rehabilitación implanto protésica.

Autores

El Dr. Santiago Noste es docente de postgrado en implantología y rehabilitación protésica.

El Dr. Edgardo Guglielmetti es especialista en ortodoncia y ortopedia funcional, docente de grado y postgrado en facultades públicas y privadas, e investigador.

Referencias

1 Turanza, Yuri. La implantología que no vemos. Dental Tribune. Agosto 2021

2 García, Julio Cesar. Bioimplantología. Dental Tribune. Septiembre 2021

3 Cabello Fuentes, Josué Abraham. Aspectos biológicos de los implantes dentales. Aspectos biológicos de los implantes dentales

4 Bohórquez Liliana, Rodríguez Douglas. Biomateriales y biomecánica de los implantes osteointegrados.

5 Wetzel A, Vlassis J, Caffesse R. Attempts to Obtain osseointegration. Chicago: Smith-Kline Beecham 1999. pp: 11-119.

To post a reply please login or register

Primer Atlas Dental de Latinoamérica y el Caribe

El estudio realizado por Rebmann Research ofrece datos contrastados sobre el sector dental en América Latina y el Caribe. Fotos: Rebmann Research

mié. 15 abril 2026

guardar

La publicación del informe de Rebmann Research sobre el mercado dental de América Latina y el Caribe presenta por primera vez un análisis de mercado detallado de una de las regiones de mayor crecimiento en el sector dental del futuro.

El informe, titulado “Atlas Dental de Latinoamérica y Caribe 2025/2026”, ha sido realizado por la empresa especializada Rebmann Research y presenta un nuevo estudio de mercado centrado en una de las áreas geográficas de mayor desarrollo en la industria odontológica. Rebmann Research ha publicado dos versiones del informe, una corta gratuita y otra.

En el contexto del acuerdo Mercosur, que ha creado una de las mayores zonas de libre comercio del mundo con más de 715 millones de habitantes, el informe destaca once países, además de Brasil, que es uno de los mercados de mayor crecimiento del sector dental a nivel mundial.

Basándose en información de expertos en el mercado, entrevistas y el conocimiento de una red de contactos, el estudio ofrece una visión integral de la organización y financiación de la atención dental en Latinoamérica, así como de las estructuras de los proveedores, las condiciones de la infraestructura, las características culturales, los riesgos financieros y los marcos regulatorios.

 

Volumen del mercado en equipos dentales en Latinoamérica

 

Mercados dinámicos

Rebmann Research amplía con el “Atlas Dental de Latinoamérica y Caribe 2025/2026” su cartera de estudios de mercado dental internacional para incluir una región de creciente importancia para Europa. Los países de Latinoamérica y el Caribe se presentan como mercados dentales dinámicos y orientados al crecimiento, con un gran potencial para el desarrollo de una fuerza laboral y una creciente clase media que valora cada vez más la apariencia y el bienestar.

Además, Latinoamérica está adquiriendo mayor relevancia a la luz de los cambios geopolíticos, la evolución de las relaciones comerciales globales y la creciente incertidumbre en las alianzas tradicionales. Si bien el acuerdo del Mercosur aún está sujeto a aprobación final, ya representa un avance significativo en la cooperación económica entre Europa y los países de Latinoamérica.

 

Volumen de importación de equipos dentales en Latinoamérica.

 

El estudio analiza en profundidad uno de los mercados dentales más grandes del mundo: Brasil, en especial su industria nacional de tecnología médica y el auge local de los escáneres intraorales en ese mercado. También examina a México como el mercado de ventas más importante para la tecnología médica alemana en Latinoamérica, incluyendo la creciente relevancia que ha adquirido el comercio electrónico.

Los análisis ofrecen también información valiosa sobre mercados más pequeños pero atractivos: por ejemplo, el estudio destaca la República Dominicana, conocida como la “Isla de los Dispositivos Médicos”, y describe las ventajas competitivas con las que cuenta, como las zonas de libre comercio.

Perfil del mercado dental en la República Dominicana.

 

Las nuevas tecnologías están haciendo que tratamientos antes exclusivos sean accesibles ahora a una población más amplia. El auge de la odontología estética es claramente visible en las exposiciones dentales de países como Brasil, Colombia y México.

Las redes sociales se han convertido en un componente esencial de la comunicación con el paciente, y no se debe subestimar la influencia que tienen los líderes de opinión clave. Al mismo tiempo, no se deben pasar por alto los desafíos. El estudio demuestra cómo los gobiernos locales, las condiciones de la política económica, las políticas comerciales y arancelarias, así como la creciente influencia de China, varían de un país a otro.

 

Bernd Rebman, fundador y CEO de Rebmann Research, compañía especializada en realizar estudios de mercado sobre el área de la salud.

Con el “Atlas Dental Latinoamérica y el Caribe 2025/2026”, Rebmann Research ofrece una guía práctica y bien fundamentada para fabricantes, distribuidores, dentistas, técnicos dentales y todos los actores involucrados en el mercado dental de esta diversa región.

Además de una versión gratuita más corta del informe, que ofrece una visión general concisa, está disponible una versión más larga y completa. La versión extendida incluye análisis adicionales por país, entrevistas con expertos y perspectivas más profundas de especialistas del sector dental latinoamericano. El estudio ya está disponible en línea en alemán e inglés; solo tiene que registrarse para acceder y descargarlo.

 

Sobre Rebmann Research
Durante más de 25 años, Rebmann Research ha sido uno de los principales proveedores de datos económicos y servicios digitales en el mercado de la salud, con amplia experiencia en aproximadamente 60 subsectores. Su cartera abarca desde análisis de mercado a pedido, hasta la planificación de inversiones para más de 300 dispositivos de tecnología médica o consultoría estratégica integral para consultorios.

Las soluciones en línea están diseñadas específicamente para las necesidades de los profesionales de la salud. Además de propietarios de consultorios y clínicas, los productos de Rebmann Research son utilizados principalmente por consultores especializados en finanzas, impuestos y gestión, empresas de tecnología médica y farmacéuticas, así como por instituciones públicas. Más información en www.rebmann-research.de.

 

ARTICULOS RECOMENDADOS

_______________________________________________________________________________________________________________________________

DENTAL SUMMIT COLIFE 2026

El camino hacia la pasividad perfecta en implantología

VER MAS

_______________________________________________________________________________________________________________________________

DENTAL SUMMIT COLIFE 2026

“La odontología digital potencia nuestro criterio clínico”

VER MAS

_______________________________________________________________________________________________________________________________

DENTAL SUMMIT COLIFE 2026

Promover la salud oral para reducir la necesidad de restauraciones

VER MAS

_______________________________________________________________________________________________________________________________

DENTAL SUMMIT COLIFE 2026

La odontología digital es el nuevo standard clínico

Javier de Pisón

VER MAS

_______________________________________________________________________________________________________________________________

 

EXPODENTAL MADRID

La robótica, nueva frontera en cirugía implantológica

Javier de Pisón

VER MAS

_______________________________________________________________________________________________________________________________

EXPODENTAL MADRID

El imparable ímpetu de Expodental Madrid

Javier de Pisón 

VER MAS

_______________________________________________________________________________________________________________________________

EXPODENTAL MADRID

Factores esenciales para adquirir un escáner intraoral 

Enrique Jadad 

VER MAS

_______________________________________________________________________________________________________________________________

REPORTAJE, PARTE 1

"Todo sistema que no tenga medición no es fotogrametría"

Javier de Pisón

VER MAS

_______________________________________________________________________________________________________________________________

REHABILITACION & IMPLANTOLOGIA ORAL

Relevancia de la fotogrametría en casos All-on-X

Enrique Jadad 

VER MAS

_______________________________________________________________________________________________________________________________

REVISION

Los dientes, guardianes silenciosos de nuestra salud

D. Suárez Quintanilla

VER MAS

_______________________________________________________________________________________________________________________________

GESTION DE LA CLINICA

Cómo fijar precios en Odontología 

Juan Carlos Mejía

VER MAS

_______________________________________________________________________________________________________________________________

FORMACION - EDICION ESPECIAL

Nuevas tecnologías en las clínicas universitarias

Varios autores

VER MAS

_______________________________________________________________________________________________________________________________

CIRUGIA ORAL

Todo lo que necesita saber sobre Cirugía Piezoeléctrica

José Rosas Díaz

VER MAS

_______________________________________________________________________________________________________________________________

ESTETICA

La belleza dental a través de la historia 

Javier de Pisón

VER MAS

_______________________________________________________________________________________________________________________________

 

 

 

 

 

 

 

 

 

 

 

Temas:
To post a reply please login or register
advertisement
advertisement