Search Dental Tribune

“I love your smile”

sáb. 10 octubre 2020

guardar

Caso clínico que presenta una combinación de impresión 3D, técnica de inyección y unión adhesiva para realizar una reconstrucción mínimamente invasiva en el sector anterior.

La reconstrucción de una sonrisa mediante carillas de cerámica nos ofrece la opción de un tratamiento mínimamente invasivo. Con el continuo desarrollo de los materiales y las tecnologías, también cambian los procesos de fabricación. La receta de éxito para la “unión adhesiva” se optimiza constantemente, entre otras cosas, en su manejo.

Un número cada vez mayor de pacientes consultan a su odontólogo con el deseo de conseguir una mejor sonrisa y una corrección de sus dientes. Sumado a este deseo estético está la exigencia de reducir la menor cantidad posible de estructura dental sana. Como resultado, la preparación de los dientes debe realizarse teniendo en cuenta los principios de preservación dental sin que esto interfiera en un resultado estético. Este equilibrio se puede alcanzar gracias a los materiales cerámicos modernos, en combinación con la cementación adhesiva. Para el equipo dental, esto significa que después de la planificación funcional y estética se debe efectuar una adecuada selección del material. Los dientes se preparan cuidadosamente, las restauraciones se adaptan a la sonrisa con sensibilidad “artística” y con conocimiento de las proporciones, y finalmente se integran de acuerdo con las especificaciones de la técnica de unión adhesiva. Entre otras cosas, el reto consiste en producir carillas de cerámica extremadamente delgadas, que presenten la dureza y estabilidad requerida. Además, es importante establecer una buena unión entre la restauración y la estructura dental mediante la sensible técnica adhesiva. Para un resultado de éxito a largo plazo, es recomendable utilizar productos coordinados de forma óptima.

Los materiales

Las propiedades ópticas de una cerámica moderna (por ejemplo, IPS e.max® Press) son semejantes a las del esmalte dental. Los tratamientos con carillas permiten imitar las propiedades translucidas de los dientes naturales y garantizar una óptima transmisión de luz. Además, debido a las buenas propiedades mecánicas de IPS e.max Press, se pueden producir restauraciones muy finas con un espesor mínimo de 0,3 mm. Esto coincide con la exigencia de tratamientos mínimamente invasivos, ya que sólo es necesario reducir muy poca cantidad de estructura dental sana. Las carillas consiguen su dureza final gracias a la fuerte unión con la estructura dental (cementación adhesiva). Aquí es determinante la forma de proceder durante la integración de las carillas (protocolo adhesivo). La gama de cerámicas de disilicato de litio dentro del sistema IPS e.max se coordina perfectamente con el composite de cementación Variolink® Esthetic. El “primer” de cerámica monocomponente Monobond® Etch & Prime, incluido en el sistema, graba y silaniza las superficies de cerámica vítrea en un solo paso de trabajo, y este patrón de grabado es menos agresivo al material que el grabado con ácido fluorhídrico.

Caso clínico

La paciente desea mejorar la estética en el sector anterior superior (Fig. 1). Ella presenta una apariencia cuidada y dientes sanos. Sin embargo, a la joven paciente no le gusta la forma de sus dientes y la relativa angostura de los mismos. Considera que son muy estrechos y desea obtener formas dentales más fuertes y grandes que confieran una hermosa armonía a su sonrisa. Después de una primera consulta, la paciente se decide por la opción de carillas. El reto es grande. Por una parte, los dientes sanos deben rectificarse lo menos posible. Por otra, el objetivo consiste en satisfacer los deseos de la paciente sin que los dientes adquieran una apariencia demasiado voluminosa con las carillas. Como resultado, se decide el uso de carillas ultra finas.

01. Situación inicial. La paciente desea unos dientes anteriores superiores más estéticos. 02 y 03. Fácil preparación en el borde cervical con una piedra de Arkansas. 04. Los dientes preparados para el tratamiento con carillas.

Preparación clínica

Después de la planificación estética y funcional en base a un “wax-up” en la región vestibular de los dientes del maxilar superior 15 a 25, se inicia la terapia estéticamente indicada. El objetivo fundamental de la preparación consiste en crear un espesor de capa uniforme de las carillas de cerámica con relación al resultado esperado. Debido a que en este caso debemos aumentar ligeramente el tamaño de los dientes, sólo se requiere un mínimo tallado de la estructura dental en la región vestibular del diente. Para evitar un tallado excesivo en la zona marginal y riesgo de inflamaciones gingivales, se crea cuidadosamente un hombro en el margen cervical utilizando piedras de Arkansas (Figs. 2 a 4).

Fabricación de las carillas en el laboratorio

IPS e.max Press resulta óptimo como material para carillas. En la primera fase de fabricación se ha utilizado la tecnología digital. Después de digitalizar el modelo maestro, en el software de CAD se diseñan las carillas finas y se imprimen en resina sintética, la cual no deja residuos. Las carillas impresas muestran un espesor mínimo de 0,3 mm, proporcionando una base perfecta para un modelado manual de las carillas (Fig. 5). Se requiere muy poca cantidad de cera para alcanzar las proporciones ideales. En particular en las zonas incisales y proximales, se corrige la forma de los dientes con cera. Se quiere lograr un desarrollo uniforme de las superficies vestibulares de los dientes 15 a 25 (Figs. 6 y 7).

Son evidentes las ventajas de las carillas impresas durante la preparación de la modelación para la técnica de inyección: son estables, lo cual facilita notablemente la colocación de los bebederos. El revestimiento, la inyección (IPS e.max Press) y la eliminación del revestimiento se efectúan conforme al procedimiento conocido (Figs. 8 y 9). El acabado de las delicadas carillas se limita a unos pocos pasos de trabajo. Después del pulido, las carillas se envían a la clínica dental (Fig. 10).

05. Carillas impresas hechas de resina sintética. 06 y 07. Modelación manual con cera sobre las carillas impresas. 08. Unión de los bebederos. 09. Aplicación de los bebederos para la técnica de inyección. 10. Acabado de las carilla cerámicas sobre el modelo.

Cementación adhesiva

Primero se efectúa la prueba de ajuste y la comprobación del color y translucidez. Para esto se pueden usar pastas Try-in hidrosolubles. Éstas corresponden en su color al composite de cementación polimerizado y permiten una buena evaluación estética. Después de limpiar los dientes y las carillas, se realiza un control de ajuste, primero de cada carilla individual y después de todas las carillas en conjunto.

La integración adhesiva de las restauraciones cerámicas es un procedimiento sensible a la técnica. La preparación correcta y el cumplimiento del protocolo de cementación son obligatorios para lograr una unión estable a largo plazo. Para acondicionar las restauraciones de cerámica se usa el “primer” de cerámica monocomponente Monobond Etch & Prime. El material se unta con un pincel Microbrush sobre la superficie de adhesión, frotando durante 20 segundos para eliminar la saliva y las impurezas de silicona (Fig. 11).

11. Aplicación de Monobond Etch & Prime.

En el transcurso de un tiempo de acción de 40 segundos, la superficie se agranda por el material (se hace rugosa) y se crea un patrón de grabado. Después de lavar el “primer” y secar (10 segundos bajo el chorro de aire), se inicia la reacción entre el silano y la cerámica vítrea activada. El resultado es una delgada capa de silano químicamente ligada, que asegura la unión confiable y en arrastre de fuerza con el diente. Para el usuario, una ventaja adicional de Monobond Etch & Prime es que el grabado y el silanizado se efectúan en un solo paso. Esto simplifica el sensible procedimiento de colocación y hace que el proceso sea más eficiente.

Después de preparar las superficies dentales conforme a las reglas de la técnica adhesiva, se realiza la cementación de las carillas con el composite de cementación fotopolimerizable (Variolink Esthetic LC, color: light) (Figs. 12 y 13). El material presenta una combinación equilibrada de fluidez y estabilidad, lo que facilita su manejo. Por esta razón, las carillas pueden adherirse con una aplicación de fuerza comparativamente reducida. Después de remover los excesos, se efectúa la fotopolimerización completa. Los márgenes de la restauración se cubren con gel de glicerina (Liquid Strip). El acabado de las zonas marginales es el paso final de la integración.

Posicionamiento de la carilla

Resultado

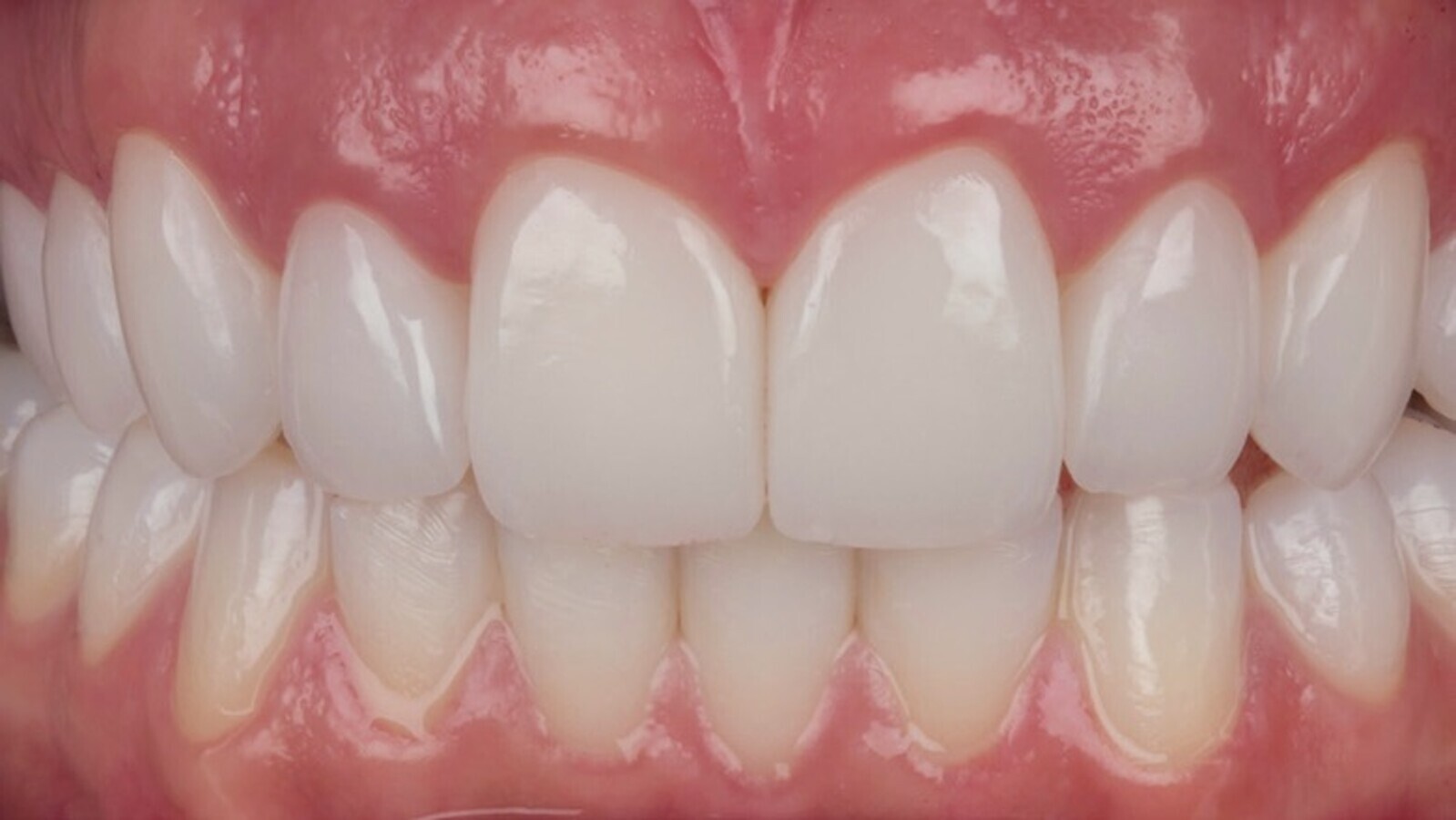
Con las carillas de cerámica se ha alcanzado el objetivo deseado (Fig. 14).

14. Situación después de la colocación. Todas las carillas se han cementado en boca.

Los dientes anterosuperiores presentan una apariencia más fuerte, tal y como se deseaba la paciente, y mucho más luminosa. Ahora los dientes armonizan bien con su entorno oral y con el rostro de la joven. El tejido blando también se ha adaptado muy bien. El deseo de la paciente se pudo cumplir: su sonrisa fue mejorada con una restauración mínimamente invasiva de estructura dental (Fig.15).

15. Una paciente satisfecha. Su deseo se pudo realizar con una restauración mínimamente invasiva.

Conclusión

Las masas de cerámica modernas, tales como IPS e.max Press, permiten reconstruir los dientes con una mínima excavación de sustancia dental. Se pueden fabricar incluso carillas ultradelgadas (espesor mínimo de capa 0,3 mm). En combinación con Variolink Esthetic, la cementación adhesiva se realiza de manera adaptada a la cerámica. Una ventaja del “primer” de cerámica vítrea monocomponente es que el grabado y la imprimación de la superficie de cerámica se efectúan en un solo paso. Por lo tanto, sólo existe un protocolo para todas las cerámicas. Esto representa un gran alivio en el trabajo cotidiano y aumenta la eficiencia.

_______________________________________________________________

Sobre el autor

El Dr. Mauricio Umeno Watanabe es un odontólogo brasileño con práctica en, Birigui, São Paulo. Contacto: mauriciowatanabe@yahoo.com.br

Nota. El artículo “I love your smile” – Reconstrucción mínimamente invasiva en el sector anterior”, fue publicado originalmente en Reflect Magazine 02/2018 y se reproduce con permiso.

To post a reply please login or register

“La odontología digital potencia nuestro criterio clínico”

He procurado utilizar las herramientas digitales para perseguir la excelencia clínica, afirma Alvaro Reuter. Fotos: cortesía de Alvaro Reuter.

vie. 17 abril 2026

guardar

La incorporación de workflows 100% digitales ha transformado profundamente la forma en que los profesionales planifican, ejecutan y comunican sus tratamientos. Así lo afirma Álvaro Reuter Mullor, especialista en odontología digital y rehabilitación de casos complejos con grandes atrofias.

Especialista en Rehabilitación Oral Digital y Estética, Reuter defiende que la tecnología permitirá que un mayor número de profesionales ofrezca una odontología de excelencia a más pacientes.

Licenciado en Odontología por la Universidad de Barcelona, Máster Oficial en Odontología Restauradora y Estética por la Universidad Internacional de Cataluña y candidato a doctor en Ciencias de la Salud, será uno de los ponentes del Dental Summit CoLife 2026.

 

“La digitalización reduce los tiempos de sillón, mejora los postoperatorios y optimiza la gestión de expectativas del paciente”.

 

¿Podría resumir brevemente su trayectoria?

Me formé en Barcelona y me especialicé en Prostodoncia a través del Máster en Odontología Restauradora y Estética. Actualmente desarrollo mi actividad clínica en un centro de referencia junto al Dr. Federico Hernández Alfaro y su equipo, centrada en la rehabilitación de casos complejos con grandes atrofias.

En este contexto, participamos activamente en la investigación de implantes subperiósticos, línea de trabajo vinculada a mi proyecto doctoral. Además, colaboro con la industria en el desarrollo de tecnologías orientadas a democratizar la odontología de excelencia, especialmente en el ámbito digital, que es mi gran pasión.

El experto español, que trabaja con un equipo de cirujanos maxilofaciales en Barcelona, afirma que la tecnología digital permite ofrecer tratamientos de alta calidad a más pacientes.

 

¿Cuál será el tema de su conferencia?

Junto a mi técnico dental y colaborador Albert Ramírez, presentaremos nuestra filosofía de trabajo basada en workflows 100% digitales.

Estos protocolos nos permiten ser más eficientes y predecibles en tratamientos de prótesis, cirugía y estética. La digitalización integral mejora la comunicación clínico-técnico, facilita la relación con el paciente y optimiza la experiencia global.

El resultado es claro: reducción de tiempos de sillón y de tratamiento, mejores postoperatorios y una gestión más realista de las expectativas del paciente.

Además, estos protocolos digitales nos permiten abordar y resolver casos de grandes atrofias que hasta hace poco no disponían de soluciones fijas predecibles, ampliando de forma significativa las posibilidades terapéuticas para este tipo de pacientes.

 

¿Por qué eligió este tema?

Porque representa un verdadero cambio de paradigma. La digitalización no solo transforma cómo trabajamos, sino también cómo pensamos y comunicamos nuestros tratamientos.

Compartir nuestro día a día nace del convencimiento de que mostrar procesos reales, con sus retos y soluciones, puede inspirar a otros profesionales a replantearse su forma de trabajar, a buscar nuevas ideas y, en definitiva, a seguir elevando el nivel de nuestra profesión.

 

¿Cuáles son sus principales ventajas?

La odontología digital aporta mayor control y la posibilidad de previsualizar el tratamiento, lo que mejora el diagnóstico, la planificación y la previsibilidad.

Además, reduce tiempos, optimiza la comunicación entre clínico, técnico y paciente, y permite estandarizar procesos.

 

La principal ventaja de la odontología digital es la previsualización del tratamiento, que mejora el diagnóstico, la planificación y la previsibilidad.

 

¿Qué papel juega la inteligencia artificial?

Hoy en día, la IA es una herramienta de gran utilidad para optimizar el diagnóstico y la planificación. No sustituye al clínico, sino que potencia su criterio.

 

¿Qué mensaje daría a otros profesionales?

Que la tecnología digital no es un fin, sino una herramienta al servicio de una mejor odontología. Bien integrada, mejora la precisión y la calidad de los tratamientos.

 

¿Cómo empezó su interés por la odontología digital?

Mi interés por la odontología digital surgió desde el inicio de mi especialización en prótesis. Durante el máster ya contábamos con escáneres intraorales y sistemas CAD/CAM en laboratorio, aunque su uso era todavía limitado, ya que la odontología convencional se percibía entonces como más fiable y predecible.

Aun así, siempre tuve la intuición de que la tecnología nos permitiría ir mucho más allá. Desde entonces, he incorporado progresivamente las herramientas digitales a mi práctica como una vía para aprender, evolucionar y perseguir la excelencia clínica, hasta convertirlas en un pilar fundamental de mi forma de trabajar.

 

¿En qué nivel está la odontología digital en su país?

Aunque existen barreras como la inversión inicial o la falta de formación, cada vez más profesionales están adoptando la odontología digital, impulsando una clara transformación del sector.

___________________________________________________________________________________________________________________________________

El Dental Summit CoLife 2026 se celebrará en Barranquilla, Colombia del 21 al 23 de mayo en el Centro de Convenciones Comfamiliar.

___________________________________________________________________________________________________________________________________

 

 

ARTICULOS RELACIONADOS

_______________________________________________________________________________________________________________________________

DENTAL SUMMIT COLIFE 2026

“La odontología digital potencia nuestro criterio clínico”

Alvaro Reuter 

_______________________________________________________________________________________________________________________________

DENTAL SUMMIT COLIFE 2026

Promover la salud oral para reducir la necesidad de restauraciones

Eraldo Pesaressi

_______________________________________________________________________________________________________________________________

DENTAL SUMMIT COLIFE 2026 

La odontología digital es el nuevo standard clínico

Ahmad Al-Hassiny

_______________________________________________________________________________________________________________________________

 

 

ARTICULOS RECOMENDADOS

_______________________________________________________________________________________________________________________________

EXPODENTAL MADRID

La robótica, nueva frontera en cirugía implantológica

Javier de Pisón

VER MAS

_______________________________________________________________________________________________________________________________

EXPODENTAL MADRID

El imparable ímpetu de Expodental Madrid

Javier de Pisón 

VER MAS

_______________________________________________________________________________________________________________________________

EXPODENTAL MADRID

Factores esenciales para adquirir un escáner intraoral 

Enrique Jadad 

VER MAS

_______________________________________________________________________________________________________________________________

REPORTAJE, PARTE 1

"Todo sistema que no tenga medición no es fotogrametría"

Javier de Pisón

VER MAS

 

REHABILITACION & IMPLANTOLOGIA ORAL

Relevancia de la fotogrametría en casos All-on-X

Enrique Jadad 

VER MAS

_______________________________________________________________________________________________________________________________

REVISION

Los dientes, guardianes silenciosos de nuestra salud

D. Suárez Quintanilla

VER MAS

_______________________________________________________________________________________________________________________________

GESTION DE LA CLINICA

Cómo fijar precios en Odontología 

Juan Carlos Mejía

VER MAS

_______________________________________________________________________________________________________________________________

FORMACION - EDICION ESPECIAL

Nuevas tecnologías en las clínicas universitarias

Varios autores

VER MAS

_______________________________________________________________________________________________________________________________

CIRUGIA ORAL

Todo lo que necesita saber sobre Cirugía Piezoeléctrica

José Rosas Díaz

VER MAS

_______________________________________________________________________________________________________________________________

ESTETICA

La belleza dental a través de la historia 

Javier de Pisón

VER MAS

_______________________________________________________________________________________________________________________________

 

 

 

 

 

 

 

Temas:
To post a reply please login or register
advertisement