Search Dental Tribune

Láser en Odontología Conservadora (8)

Tratamiento con láser de Er,Cr:YSGG de una caries en el premolar inferior, uno de los casos clínicos que presenta el autor de este artículo. (Foto: Josep Arnabat)

vie. 4 noviembre 2022

guardar

El Láser en Odontología 8 – Este es el octavo artículo de una Edición Especial de Dental Tribune sobre el Láser en Odontología.

— EL LASER EN ODONTOLOGIA —

Serie de 12 artículos de Dental Tribune

El Director del Máster de Láser en Odontología de la Universidad de Barcelona, Josep Arnabat, explica en este artículo las ventajas que ofrece el láser para la preparación de cavidades y la eliminación de las caries dentales, y cita la amplia literatura que prueba la efectividad de su efecto bactericida. Además, menciona uno de los beneficios más apreciados por los pacientes: evitar en muchos casos el uso de anestesia durante el tratamiento.

La tecnología láser es una técnica alternativa al instrumental rotatorio para realizar la preparación de cavidades y la eliminación de las caries dentales. Esta técnica permite eliminar la caries de forma más selectiva, siendo un tratamiento mínimamente invasivo que produce una mínima remoción de la estructura dental sana.

Sin embargo, no todos los láseres pueden ser utilizados para este tipo de tratamiento en los tejidos duros dentales. Para que el láser pueda ser utilizado en odontología conservadora, éste deberá tener unas características especiales, principalmente una buena absorción tanto en agua como en hidroxiapatita. La interacción entre el láser y esmalte/dentina dependerá básicamente de las propiedades ópticas de los tejidos, así como de la longitud de onda del láser que se utiliza. Para que haya interacción, el haz de láser debe ser absorbido por el tejido diana. Por ello, los láseres que pueden ser utilizados en este tipo de tratamiento son los láseres de erbio Er:YAG, con una longitud de onda de 2940 nm, y el Er,Cr:YSGG, de 2780 nm. Estos dos láseres se corresponden con los picos de mayor absorción tanto por el agua como por la hidroxiapatitia1.

En la actualidad, han aparecido nuevos láseres de CO2 con longitudes de onda de 9300 y 9600 nm que también podrían ser utilizados en los tratamientos en tejidos dentales duros, aunque de momento tienen pocas publicaciones científicas que refrenden sus resultados sobre dentina y esmalte.

PUBLICIDAD

En Odontología conservadora deberemos tener en cuenta la composición química tanto del esmalte como de la dentina. El esmalte es una estructura altamente mineralizada con una composición de un 85% de mineral, 12% de agua y un 3% de material orgánico. Mientras que la dentina contiene un componente orgánico de 33% y de agua de un 20% mayor, y el componente mineral llega sólo al 47% del volumen total. Debemos recordar también que en el caso que exista una caries con pérdida de material orgánico, hay un aumento tanto del agua como del componente orgánico, por lo que el volumen de agua en una caries puede aumentar al 27% y llegar en algunos casos al 54%.

Los láseres de la familia Erbium (2.94 y 2.78 μm) son altamente absorbidos en el agua y por la hidroxiapatita, siendo la longitud de onda del 2940 nm la más absorbida por el agua. Así pues, mientras el láser Er:YAG penetra aproximadamente 7 μm en el esmalte y 5 μm en la dentina, el láser Er,Cr:YSGG penetra tres veces más en profundidad; 21 μm en esmalte y 15 μm en dentina (Figura 1).

Figura 1. Gráfica de absorción (en escala logarítmica) donde se muestran los diferentes cromóforos y el grado de absorción para cada una de las longitudes de onda de diferentes láseres.

El mecanismo de acción por el cual se produce la eliminación de la dentina y esmalte es un proceso termomecánico también llamado fragmentación fototérmica. Para que este mecanismo se produzca, primero la emisión láser debe ser absorbida por el agua y por la hidroxiapatita, de esta forma se incrementa la temperatura del agua produciéndose su evaporación, lo que genera una alta presión de vapor que provoca micro explosiones del tejido dental por debajo de su punto de fusión (aproximadamente 1.200º C). La vaporización del agua dentro del sustrato mineral hace que el material circundante explote literalmente2.

"El láser es una avanzada herramienta terapéutica que ofrece una serie de ventajas para la preparación de cavidades y la eliminación de las caries dentales". 

El esmalte irradiado con los parámetros correctos presenta una superficie rugosa sin smear layer, y sin signos de fusión y carbonización, siendo su apariencia muy similar al tipo 1 de grabado ácido convencional, con los prismas del esmalte expuestos con profundas excavaciones centrales y márgenes prominentes. Mientras que la dentina irradiada con el láser de Er:YAG o Er,Cr:YSGG muestra una superficie irregular y rugosa, con túbulos dentinarios abiertos, sin capa de barrillo dentinario y con una dentina peritubular prominente. Una de las desventajas que se pueden observar en la dentina tratada con el láser es la afectación del colágeno, y por ello se debe tener en cuenta a la hora de la elección del sistema adhesivo, ya que la unión con el colágeno disminuye de forma sensible tras la irradiación con láser3 (Figura 2).

Figura 2. Imagen de dentina irradiada con láser de Er,Cr:YSGG, en la que se observan los túbulos dentinarios abiertos y libres de barrilllo dentinario, con la dentina peritubular algo más prominente que la dentina intertubular.

En función de los parámetros utilizados se puede producir el corte o ablación de esmalte o dentina, aunque si los parámetros no llegan al umbral de ablación se produce una modificación del esmalte o dentina que puede ser ideal para mejorar la adhesión en estas superficies tratadas con el láser. El valor umbral de ablación para el láser Er:YAG en dentina dental es de 2,97 - 3,56 J/cm2, mientras que para el láser Er,Cr:YSGG, es 2,69 - 3,66 J/cm2,con duraciones de pulso entre 50 y 80 ms4 (Figura 3).

Figura 3. Caries oclusal tratada con láser y control a los 9 años.

Figura 3.1.

Figura 3.2.

Figura 3.3. Las Figuras 3.1-3.3 muestran la eliminación de una obturación infiltrada con láser de Er:YAG.

Figura 3.4. Aspecto de la superficie irradiada de esmalte y dentina.

Figura 3.5. Aspecto inmediato tres el tratamiento conservador.

Figura 3.6. Control del molar tras nueve años en boca.

La elección correcta del sistema adhesivo a emplear es de vital importancia en las cavidades que han sido preparadas con el láser. Ante todo, debemos elegir los parámetros ideales para evitar el sobrecalentamiento del tejido duro. La elección de la energía por pulso conjuntamente con la duración del pulso es muy importante para evitar el sobrecalentamiento del tejido dentinario. La mayoría de los láseres de Er:YAG y Er,Cr:YSGG cuentan con un spray de agua/aire para disminuir la temperatura evitando así que se produzcan cracs, fisuras o fusión del tejido irradiado, a la vez que mejora el volumen de ablación de la dentina irradiada5.

"El efecto bactericida se produce al ser absorbido el láser por parte del agua que contienen las bacterias, lo que provoca la descomposición física de la estructura celular bacteriana".

La respuesta de la pulpa a las cavidades preparadas con láser Erbium, usando espray de aire y agua es mínima, reversible y comparable a la respuesta producida por las fresas de una pieza de mano de alta velocidad. Diferentes estudios han demostrado que cuando se utiliza correctamente el espray de agua/aire, el incremento de temperatura no supera los 5,5 °C, que es el valor crítico para no producir daño pulpar (Figura 4).

Figura 4. Caries a nivel del #12 tratada con láser.

Figura 4.1. Caries en el incisivo lateral.

Figura 4.2. Irradiación con láser de Er,Cr:YSGG.

Figura 4.3. Morfología del esmalte irradiado.

Figura 4.4. Visión palatina de la zona irradiada.

Figura 4.5. Restauración del incisivo lateral.

Figura 4.6. Visión final del tratamiento restaurador.

Una vez que se ha podido comprobar que la temperatura no produce daños pulpares y que la morfología de esmalte y dentina son apropiadas para el tratamiento conservador, se debe evaluar cuál es el sistema de adhesión que mejor se adapta a la dentina y esmalte irradiado con láser. Diferentes estudios han evaluado los mejores sistemas adhesivos para ser utilizados con los láseres de Er:YAG o Er,Cr:YSGG. En algunos de ellos los resultados son contrarios a la utilización del láser, en gran medida porque los parámetros que se han utilizado no son los más indicados, mientras que en otros la irradiación con el láser produce mejores resultados que con las técnicas habituales. De hecho, en muchos estudios se logran buenos resultados cuando se combinan densidades de energía bajas con los sistemas de adhesión basados en los autograbantes tipo self-etching de dos pasos. Los estudios muestran que el sistema de autograbado obtiene mayores fuerzas de unión para las superficies irradiadas con láser Er:YAG y Er,Cr:YSGG que los sistemas basados en el grabado total. Una de las mayores dificultades es la adhesión en dentina erosionada o esclerótica. Para estos casos, la irradiación con láser de Er,Cr:YSGG logra aumentar la adhesión en comparación con los sistemas convencionales. Los estudios de Esteves-Oliveria en este tipo de dentina demuestran que cuando se irradian con bajas fluencias y el sistema de adhesivo utilizado es un autograbante sus resultados son estadísticamente superiores que cuando el diente es tratado con fresas convencionales6 (Figura 5).

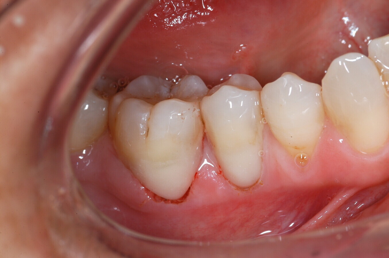
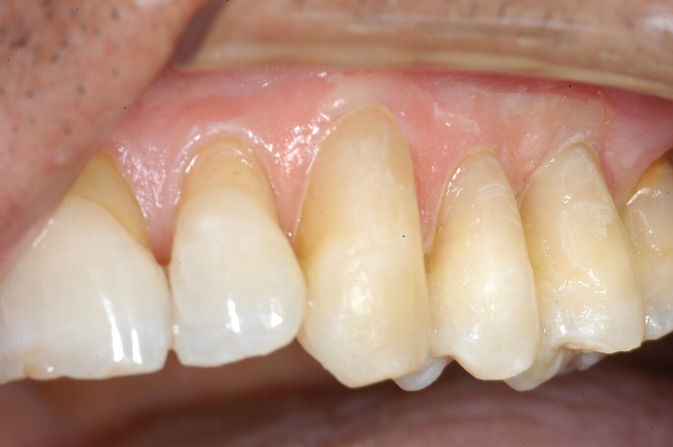
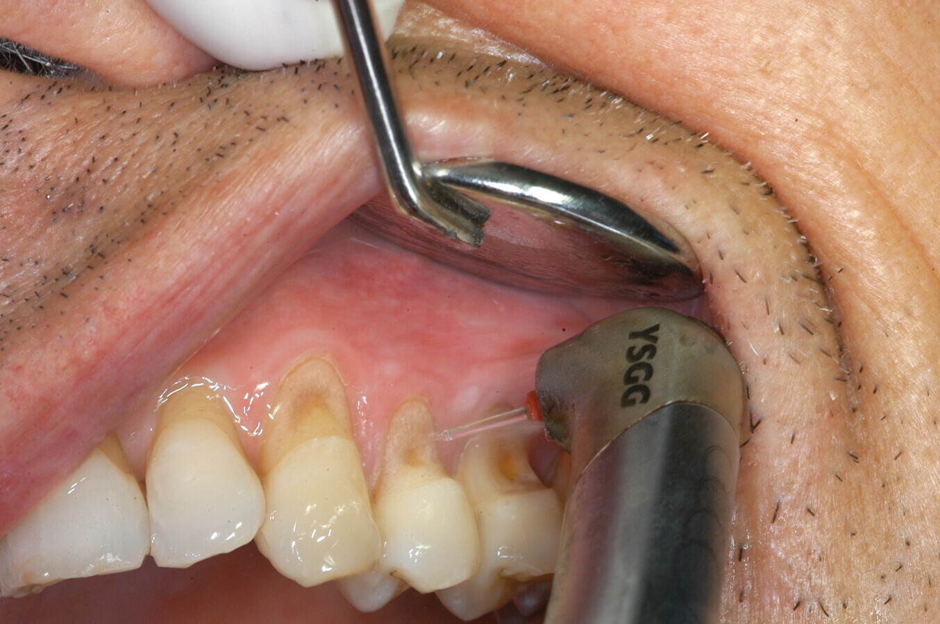
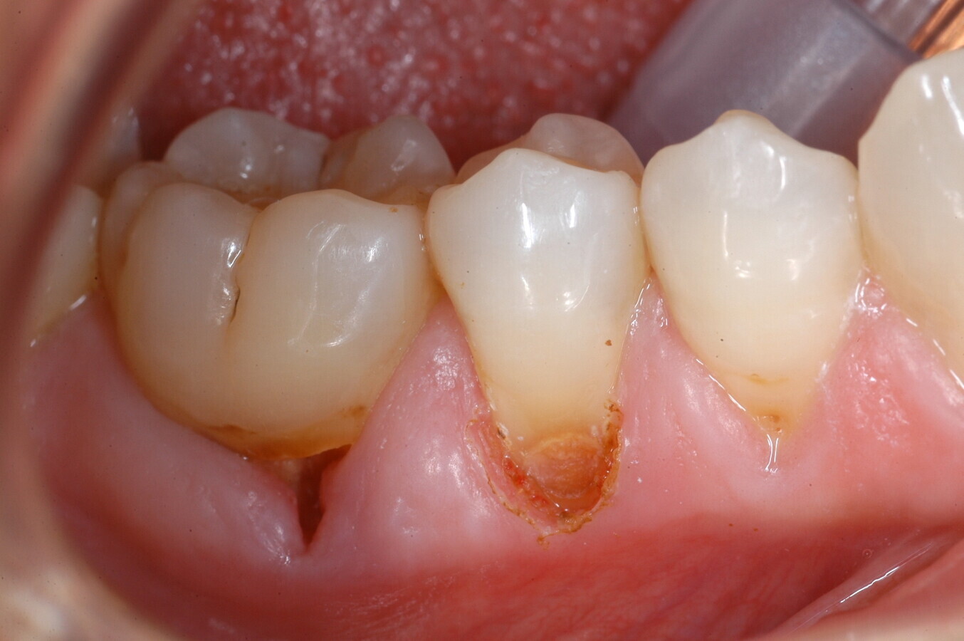
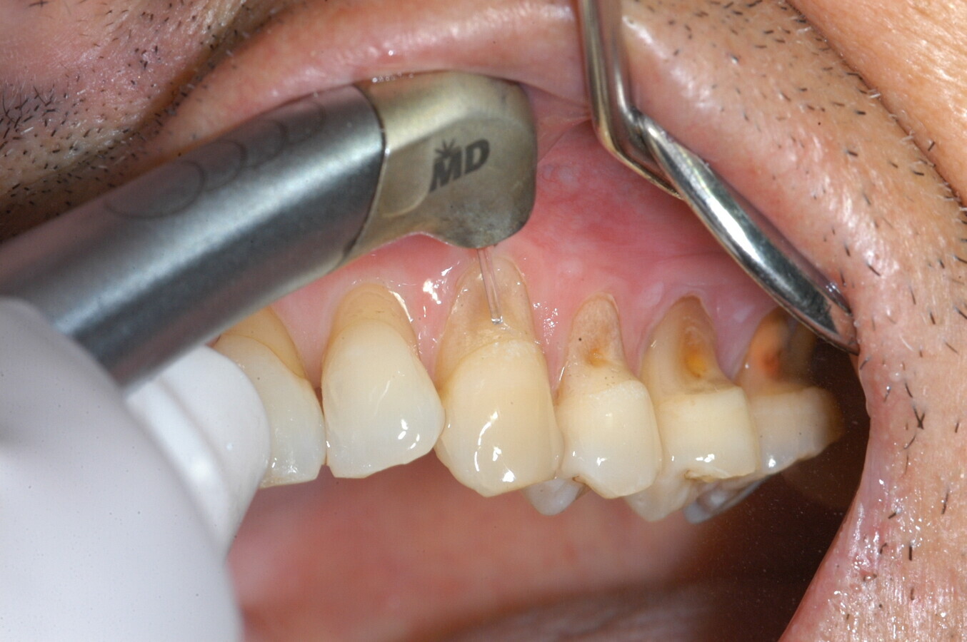
Figura 5. Gingivectomía con láser y restauración.

Figura 5.1. Caries cervicales en premolar y molar inferior.

Figura 5.2. Gingivectomía del premolar con el láser de Er,Cr:YSGG.

Figura 5.3. Visión de la gingivectomía del premolar inferior.

Figura 5.4. Irradiación de la dentina del molar inferior.

Figura 5.5. Restauración con ionómero de vidrio del premolar.

Figura 5.6. Final de la restauración del molar y premolar.

Recientes metaanálisis concluyen que la filtración marginal que se produce con el láser de Er,Cr:YSGG es similar a la que se produce con material rotatorio convencional, independientemente del tipo de diente, cavidad y material de restauración7. Sin embargo, la aplicación de un grabado ácido en el esmalte conjuntamente con la aplicación de adhesivos de tipo autograbante (self-etching) es recomendable tras la irradiación con el láser de Er,Cr:YSGG8 (Figura 6).

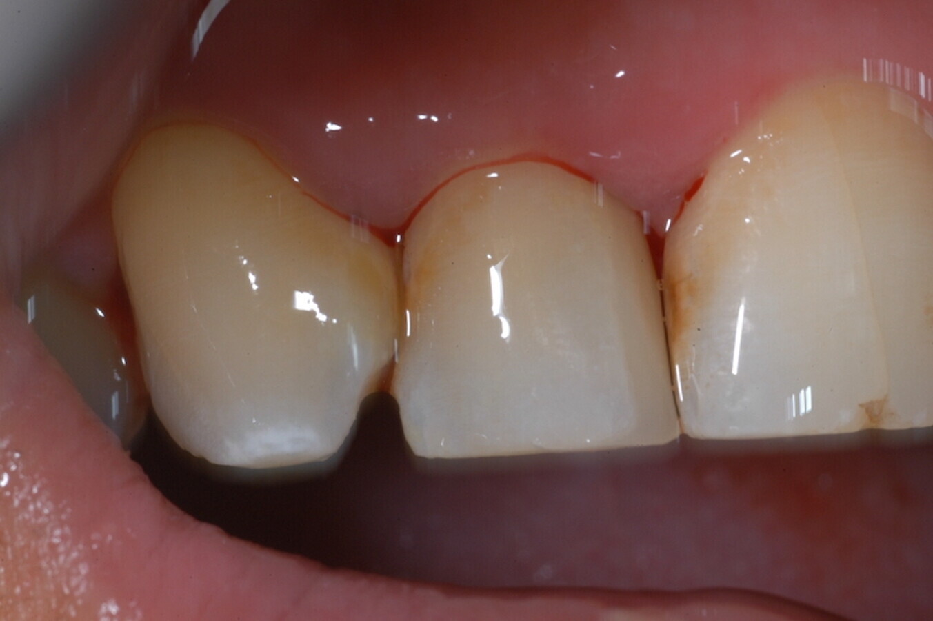
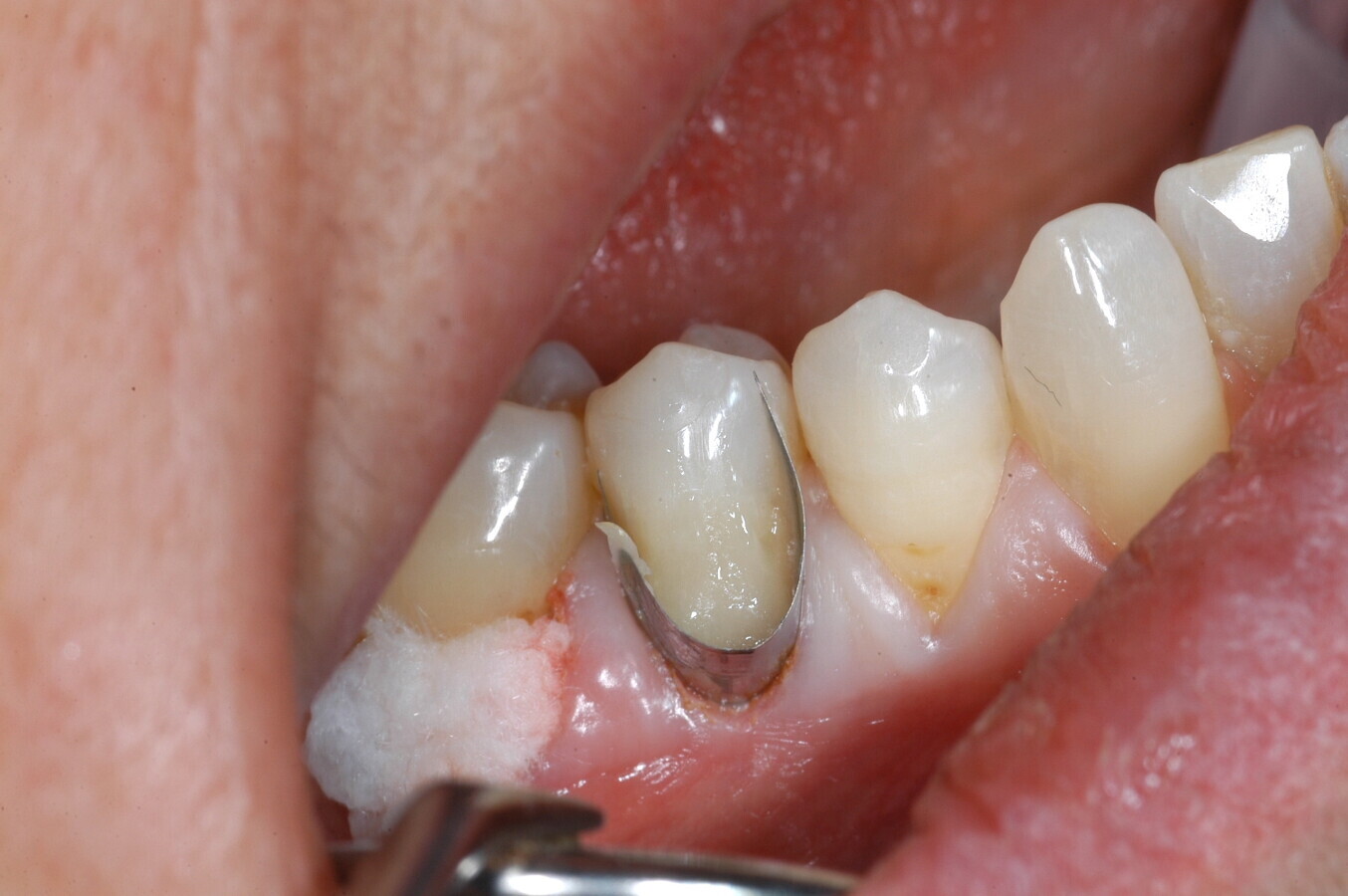
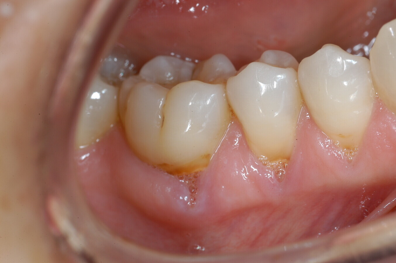
Figura 6. Caries Clase II en premolar inferior tratada con láser.

Figura 6.1.

Figura 6.2.

Figura 6.3.

Figura 6.1 - 6.4. Caries Clase II en el premolar inferior tratada con láser de Er,Cr:YSGG.

La utilización de los láseres de Er:YAG y Er,Cr:YSGG está indicada también para la prevención de la desmineralización tanto de dentina como del esmalte.

Efecto bactericida

Otra de las ventajas que presenta el láser en los tratamientos conservadores es el efecto bactericida sobre la superficie dentinaria, con lo cual podremos eliminar de forma muy significativa las bacterias que se pueden acantonar en la dentina remanente. Diferentes estudios han demostrado la eficacia de los láseres de Erbium en la eliminación de bacterias como el Streptococcus mutans. Este efecto bactericida se produce al ser absorbido el láser por parte del agua que contienen las bacterias, lo que provoca la descomposición física de la estructura celular bacteriana9 (Figura 7).

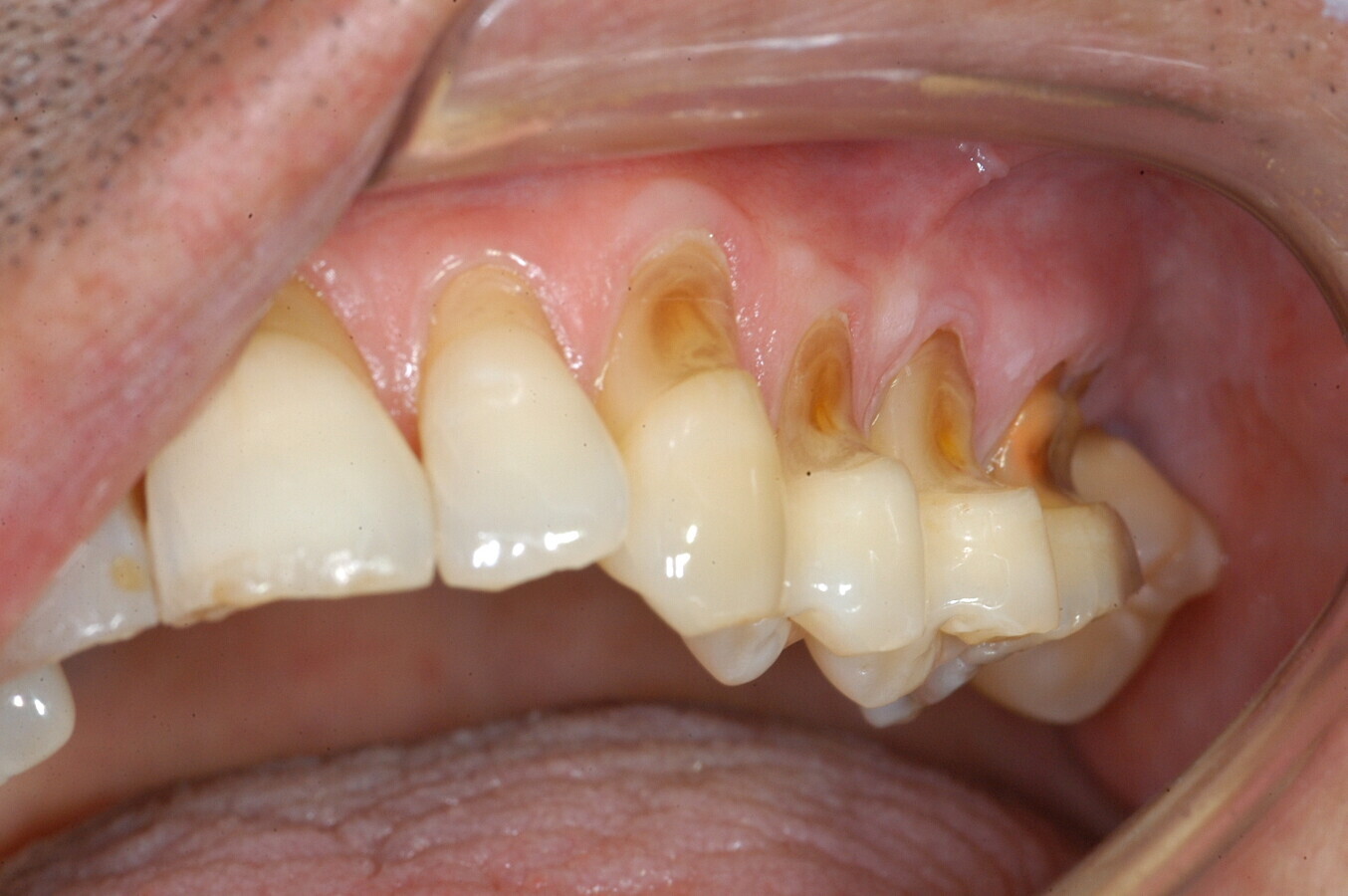
Figura 7. Modificación de la dentina con láser y control a los 3 años.

Figura 7.1. Abfracciones en premolares y molares.

Figura 7.2.

Figuras 7.2 y 7.3. Modificación de la superficie de la dentina erosionada mediante un láser de Er,Cr:YSGG.

Figura 7.4. Dentina y esmalte irradiada.

Figura 7.5. Aplicación del ácido ortofosfórico en esmalte.

Figura 7.6. Restauración final.

Figura 7.7. Control a los tres años.

La utilización de los láseres de Er:YAG y Er,Cr:YSGG está indicada también para la prevención de la desmineralización tanto de dentina como del esmalte. Esto es beneficioso para mantener el correcto estado de los tejidos duros dentales, así como también para la reducción de caries secundarias en los dientes tratados con el láser, ya que el tratamiento con láser incrementa la resistencia al ataque ácido. Los mejores resultados en diferentes estudios se obtienen cuando los tejidos son tratados con fluencias bajas, lo cual es compatible con los mejores resultados para obtener mejor adhesión10.   

Otra de las ventajas de la utilización del láser durante la preparación cavitaria es la posibilidad de realizar el tratamiento sin anestesia o con escasa cantidad de anestésico local. Diferentes estudios han demostrado que antes de preparar la cavidad se puede hacer un pretratamiento con el propio láser para producir una analgesia previa a la irradiación. El estudio de Poli y cols. demuestra que en un 80% de los casos es posible realizar el tratamiento sin necesidad de anestesia practicando previamente un protocolo que utiliza energías por pulso muy bajas entre 10 y 20 mJ y con una distancia de separación de la punta al diente a tratar de unos 10 mm. Con estos tratamientos y otros similares propuestos por diferentes autores se puede reducir, o evitar en algunos casos, la necesidad de anestesia, con lo que se logra una mayor aceptación por parte de los pacientes de este tipo de tratamientos10. Si embargo, el tiempo requerido para realizar la preparación con el láser suele ser más largo que con el sistema convencional con instrumental de alta velocidad (Figura 8).

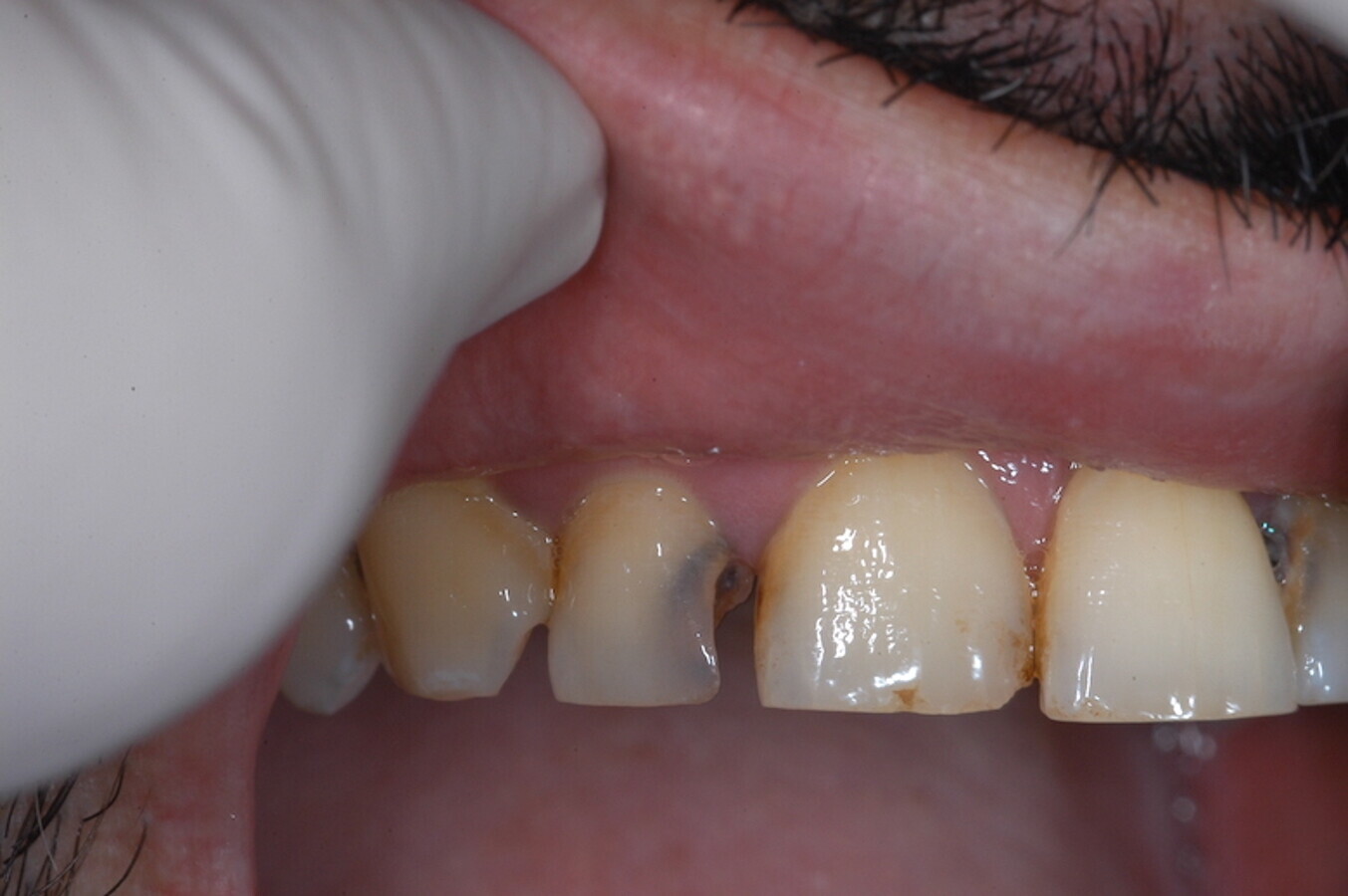
Figura 8. Caries en incisivo central tratada con láser.

Figura 8.1. Caries en incisivo central.

Figura 8.2. Irradiación con láser de Er,Cr:YSGG.

Figura 8.3. Irradiación con láser de Er,Cr:YSGG.

Figura 8.4. Esmalte irradiado con láser.

Figura 8.5. Restauración final del incisivo central.

En conclusión, el láser es una avanzada herramienta terapéutica que ofrece una serie de ventajas para la preparación de cavidades y la eliminación de las caries dentales, que junto con su efecto bactericida y la posibilidad de no tener que utilizar anestesia permite realizar tratamientos altamente efectivos y muy apreciados por los pacientes.

___________________________________________________________________________________________________________

El Dr. Josep Arnabat Domínguez es Doctor en Medicina y Cirugía. Médico especialista en Estomatología. Profesor agregado de la Escuela de Odontología de la Facultad de Medicina y Ciencias de la Salud. Universidad de Barcelona. Director del Máster de Láser en Odontología de la Universidad de Barcelona. Investigador del Grupo de Investigación de Patología i Terapéutica Oral y Maxilofacial de l’Institut d’Investigació Biomèdica de Bellvitge (IDIBELL). Ex Presidente y socio fundador de la Sociedad Española de Láser y Fototerapia en Odontología (SELO).

Ver Bibliografía debajo

Serie de artículos de Edición Especial sobre Láser en Odontología

01. Beneficios del uso del láser — Javier de Pisón
02. Introducción al uso del láser — Antoni España
03. Aplicaciones del láser en Cirugía Bucal — Antoni España
04. Rejuvenecimiento del labio superior — Kathrin Trelles y Mario Trelles
05. Utilización del láser en Implantología  Daniel Abad
06. El uso del láser en Periodoncia  Alfredo Aragüés
07. Terapia Fotodinámica — Marta Pascual
08. Láser en Odontología Conservadora — Josep Arnabat
09. Láser en Endodoncia — Jaime Donado
10. Láser en Prótesis Dental — Hernán Giraldo
11. Fotobiomodulación en odontología — María Pérez
12. Láser en Ortodoncia - Diana Montoya
 

13. EDICIÓN ESPECIAL de DENTAL TRIBUNE sobre Láser en Odontología

Incluye todos estos artículos, promociones, descuentos y extras

• Ediciones Digitales. Consulta más de 15 años de ediciones de Dental Tribune Latinoamérica.

Bibliografía

  1. Meister J, Franzen R, Forner K, Grebe H, Stanzel S, Lampert F, Apel C. Influence of the water content in dental enamel and dentin on ablation with erbium YAG and erbium YSGG lasers. J Biomed Opt. 2006 May-Jun;11(3):34030.
  2. De Moor RJ, Delmé KI. Laser-assisted cavity preparation and adhesion to erbium-lased tooth structure: part 1. Laser-assisted cavity preparation. J Adhes Dent. 2009 Dec;11(6):427-38
  3. Ekworapoj P, Sidhu SK, McCabe JF. Effect of different power parameters of Er,Cr:YSGG laser on human dentine. Lasers Med Sci. 2007 Sep;22(3):175-82.
  4. Apel C, Meister J, Ioana R, Franzen R, Hering P, & Gutknecht N. The ablation threshold of Er: YAG and Er: YSGG laser radiation in dental enamel. Lasers in Medical Science 2002;17,(4):246-252.
  5. Shinkai K, Takada M, Kawashima S, Suzuki M, Suzuki S. Effects of the percentage of air/water in spray on the efficiency of tooth ablation with erbium, chromium: yttrium-scandium-gallium-garnet (Er,Cr:YSGG) laser irradiation. Lasers Med Sci. 2019 Feb;34(1):99-105
  6. Ramos TM, Ramos-Oliveira TM, de Freitas PM, Azambuja N Jr, Esteves-Oliveira M, Gutknecht N, de Paula Eduardo C. Effects of Er:YAG and Er,Cr:YSGG laser irradiation on the adhesion to eroded dentin. Lasers Med Sci. 2015 Jan;30(1):17-26.
  7. Zhang Y, Chen W, Zhang J, Li Y. Does Er,Cr:YSGG reduce the microleakage of restorations when used for cavity preparation? A systematic review and meta-analysis. BMC Oral Health. 2020 Oct 6;20(1):269.
  8. Valenti C, Pagano S, Bozza S, Ciurnella E, Lomurno G, Capobianco B, Coniglio M, Cianetti S, Marinucci L. Use of the Er:YAG Laser in Conservative Dentistry: Evaluation of the Microbial Population in Carious Lesions. Materials 2021, 14:2387.
  9. Hossain, M., Kimura, Y., Nakamura, Y., Yamada, Y., Kinoshita, J.-I., &Matsumoto, K. A study on acquired acid resistance of enameland dentin irradiated by Er, Cr: YSGG laser. Journal of Clinical Laser Medicine & Surgery 2001;19:159-163.
  10. Poli R, Parker S, Anagnostaki E, Mylona V, Lynch E, Grootveld M. Laser Analgesia Associated with Restorative Dental Care: A Systematic Review of the Rationale, Techniques, and Energy Dose Considerations. Dent J (Basel). 2020 Nov 12;8(4):128.
To post a reply please login or register
advertisement
advertisement