Search Dental Tribune

Lesiones de la mucosa oral en pacientes mayores (9)

Foto: figura de dos amantes que es parte de “Arte a la intemperie”, exposición de esculturas de Antoni Miró, Altea, Alicante / Javier de Pisón)
Gracias a innovaciones odontológicas como los implantes osteointegrados, cada vez hay más adultos mayores que conservan sus dientes naturales, una población que requiere un cuidado dental personalizado.

Las autoras de este artículo, profesoras de Medicina, Cirugía e Implantología Oral e investigadoras en la Universidad de Barcelona y la Universidad de Santiago de Compostela, realizan una minuciosa descripción de las lesiones de la mucosa oral que afectan a los pacientes mayores y describen sus causas y sus formas de tratamiento.

Noveno artículo

EDICION ESPECIAL SOBRE ODONTOGERIATRIA 

Serie de 12 artículos sobre la especialidad de Dental Tribune

La población de adultos mayores ha aumentado en todo el mundo en los últimos años. Este cambio demográfico ha resultado en el incremento de la proporción de población mayor, y se cree que de 2015 a 2030 la proporción de población mayor de 75 años aumente un 50%. Paradójicamente, el número de edéntulos está disminuyendo. Cada vez hay más adultos mayores que conservan sus dientes naturales, en parte porque las innovaciones en los tratamientos dentales, como los implantes osteointegrados, han permitido mejorar la salud y la calidad de vida de esta población.

Con el aumento de la edad, el riesgo de enfermedades y discapacidades aumenta. Las enfermedades sistémicas pueden incrementar el riesgo de las enfermedades orales y viceversa. El deterioro de la salud oral compromete la capacidad masticatoria y de tragar, lo que tiene un efecto negativo en el estado nutricional, la calidad de vida, el nivel cognitivo y la fragilidad corporal. Otra de las complicaciones se debe al uso de un alto número de medicaciones que aumentan la xerostomía. Se estima que un 10% de los adultos mayores consumen al menos 10 o más medicaciones diarias.

El envejecimiento causa en la mucosa oral una serie de cambios macroscópicos y microscópicos que la hacen más susceptible a padecer patologías.

En la vejez, muchas personas necesitan ayuda con las actividades de la vida diaria y el cuidado oral debería ser proporcionado por profesionales. Es más, con la debilidad que produce el paso de los años, un porcentaje considerable de la población pierde contacto con sus proveedores de salud oral1.

El envejecimiento causa en la mucosa oral una serie de cambios macroscópicos y microscópicos que la hacen más susceptible a padecer patologías2.

En la mucosa oral se produce atrofia del epitelio, disminución de la queratinización, reducción de la cantidad de células en tejido conectivo, aumento de sustancias intercelulares y descenso del consumo de oxígeno; la falta de elasticidad con sequedad y atrofia tiende a la hiperqueratosis3. Esto viene determinado por el envejecimiento de sus células, las conexiones entre ellas, la unión de las células con la membrana basal, la alteración de las estructuras del tejido conjuntivo subyacente y la hidratación salival.

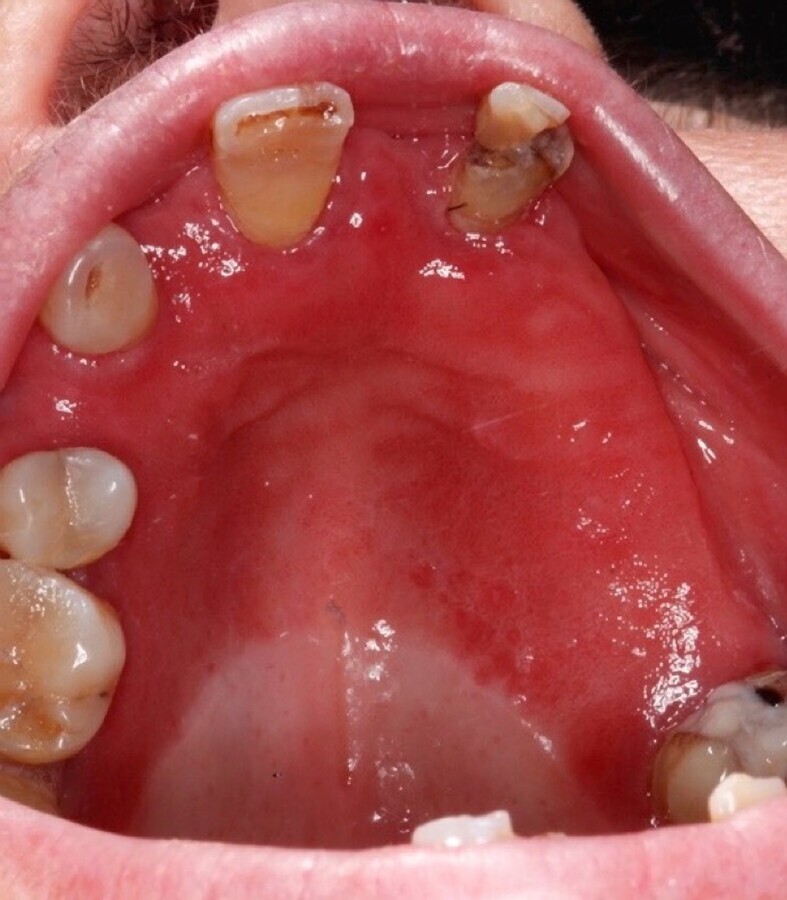
Tres lesiones frecuentes de la mucosa oral en pacientes mayores: úlcera traumática (a) que puede ser dolorosa y cuyas causas incluyen el uso de retenedores rotos; fibromas (b), que son lesiones delimitadas, localizadas en zonas de fricción e hiperplasia inflamatoria papilar (c).

El envejecimiento de las células origina una disminución de la renovación celular desde la capa basal a la capa córnea, un aumento de la rigidez de la membrana celular, una disminución de las principales organelas energética de las células (mitocondrias), una irregularidad estructural de la membrana nuclear y una alteración en la disposición de la cromatina con un acortamiento progresivo de los telómeros. Las conexiones intercelulares y de las células con la membrana basal se hacen más rígidas a medida que aumenta la edad; así, los complejos de unión (desmosomas y hemidesmosomas) son menos eficaces para mantener la unión celular. Por otro lado, el tejido conjuntivo subyacente disminuye la cantidad de fibras elásticas y colágenas con una reducción de los fibroblastos y células de defensa, lo que hace que el soporte epitelial se encuentre disminuido. Todos estos procesos se ven favorecidos por una disminución del flujo salival2.

Con la edad, las glándulas salivales se hacen menos efectivas por un mecanismo químico y celular. El mecanismo químico incluye la disminución del agua, sales minerales, alfa-amilasa, lipasa, peroxidasa, inmunoglobulinas y lisozima. El mecanismo muscular se produce por una disminución de la contracción de los mioepiteliocitos encargados de exprimir el contenido glandular para enviarlo al interior de la cavidad oral. La mucosa masticatoria, en particular la encía, presenta una renovación celular muy alta, por lo que sufre pocos cambios en el envejecimiento. Aunque, clínicamente, se pueden observar cambios asociados a la atrofia de la apófisis alveolar de los maxilares que originan la retracción gingival y el debilitamiento del soporte de la tabla alveolar de los maxilares2. En la lengua podemos encontrar reducción del epitelio, atrofia de papilas con mayor afectación de las filiformes, agrandamiento varicoso nodular de venas en la superficie ventral de la lengua y con frecuencia se produce una hipertrofia relacionada generalmente con el grado de desdentamiento en el paciente3 (Tabla 1).

La edad no es el único factor que causa estas lesiones orales. Estos cambios, acompañados de otras causas locales (edentulismo, xerostomía, portadores de prótesis removibles) y sistémicas (enfermedades sistémicas, medicación, malnutrición), causan esta mayor prevalencia de lesiones orales en el adulto mayor2.

1. Lesiones traumáticas

1.1. Lesiones traumáticas agudas

Se producen por prótesis mal adaptadas, hábitos como introducir palillos o bolígrafos, el cepillado agresivo. Se clasifican en erosiones y úlceras.

1.1.1. Erosión aguda de origen traumático

Es una lesión por pérdida de sustancia superficial. Suele deberse a pequeños roces y traumatismos, no suele ser muy dolorosa y cicatriza en 2 o 3 días. El agente causal suele ser identificado y eliminado. Cuando hay fricción sobre la mucosa se puede desprender de forma superficial el epitelio, causando lesiones de tipo erosivo.

1.1.2. Úlcera aguda de origen traumático

Consiste en una pérdida de sustancia en que la lesión afecta a todo el espesor del epitelio. Suelen ser dolorosas y pueden dejar cicatriz. Existe una relación causa-efecto. Se deben eliminar los retenedores rotos, cambiar obturaciones antiguas con bordes cortantes, además de interrogar sobre hábitos alimentarios y parafuncionales (Figura 1).

Figura 1. Úlcera traumática que puede ser dolorosa y cuyas causas incluyen retenedores rotos, obturaciones antiguas con bordes cortantes y hábitos alimentarios del paciente.

1.2. Lesiones traumáticas crónicas

Se producen cuando el agente causal persiste en el tiempo.

1.2.1. Hiperqueratosis friccional

La fricción de baja intensidad sobre la mucosa oral produce una reacción de defensa del epitelio, que resulta en un aumento de la capa de queratina. No se desprenden al raspado, son asintomáticas y hay una relación causa-efecto. Suelen encontrarse en zonas de oclusión dentaria o espacios edéntulos.

1.2.2. Morsicatio buccarum

Consiste en lesiones blanquecinas esfaceladas por mordisqueo de la mucosa yugal o labial. Se trataría de un hábito parafuncional. Puede estar asociada con un estado de ansiedad.

1.2.3. Fibroma

Son lesiones exofíticas, bien delimitadas, localizadas en zonas de fricción. Suelen ser asintomáticas, de mismo color que la mucosa subyacente y consistencia fibrosa y firme. Son reactivas ante un traumatismo (Figura 2).

Figura 2. Los fibromas son lesiones exofíticas, bien delimitadas, localizadas en zonas de fricción.

1.2.4. Hiperplasia papilar inflamatoria

Generalmente, se presenta en la mucosa palatina de portadores de prótesis, aunque hay casos descritos en respiradores orales. Consiste en un aumento de volumen de las papilas. Su consistencia es blanda, aunque si el tiempo de evolución es largo, pueden fibrosarse (Figura 3).

Figura 3. Biopsia en paciente con hiperplasia inflamatoria papilar.

1.2.5. Épulis fisuratum

Se trata de lesiones crónicas reactivas a un mal ajuste de la prótesis. Suelen ser asintomáticas y del mismo color que la mucosa subyacente. Se deberá eliminar el tejido alterado y realizar un correcto rebase o nueva prótesis4 (Figura 4).

Figura 4. Épulis fusiratum son lesiones crónicas debidas a un mal ajuste de la prótesis.

2. Patología oral infecciosa

2.1. Enfermedades fúngicas

Las enfermedades fúngicas más frecuentes son las provocadas por Candida albicans. Hasta en el 60% de la población no causan patología. Diferentes factores pueden alterar el ambiente orofaríngeo para que un individuo desarrolle la enfermedad por Candida, como pueden ser cambios en la cantidad/calidad de la saliva o las prótesis dentales (Figura 5), medicación, deficiencias nutricionales, enfermedades sistémicas o inmunosupresión5 (Tabla 2).

Figura 5. Estomatitis subplaca causada por Candida, debida en muchos casos a cambios en la cantidad de la saliva o a prótesis dentales.

En pacientes inmunocomprometidos, las vesículas provocadas por el virus del herpes simple pueden producirse por toda la mucosa oral, diseminarse y causar una infección generalizada.

2.2. Infecciones víricas

Hay más de 80 virus del herpes conocidos, al menos 8 de ellos pueden causar infecciones en humanos. Estos incluyen el virus del herpes simple (VHS), el varicela-zóster (VVZ), virus del Epstein-Barr, citomegalovirus, el HHV-6 y el virus del sarcoma de Kaposi (KSHV).

2.2.1. Virus herpes simple (VHS)

Después de la resolución de la infección primaria del VHS, el virus migra por las terminaciones nerviosas sensitivas de la piel o mucosa al cuerpo ganglionar y queda acantonado en el ganglio trigeminal. La reactivación del VHS puede deberse a la exposición al frío, luz solar, estrés, traumatismos o inmunosupresión. El herpes labial es la forma más común de infección recurrente, y las lesiones orales y periorales se suelen presentar 1 ó 2 días después del inicio de pródromo. Típicamente se presenta en la unión mucocutánea del labio en forma de vesículas. En pacientes inmunocomprometidos, estas vesículas pueden producirse por toda la mucosa oral, diseminarse y causar una infección generalizada.

2.2.2. Virus varicela-zóster (VVZ)

Después de la primoinfección (varicela), el virus queda latente en los nervios sensitivos. En el 0,3-0,5%, el virus se reactiva causando el herpes zóster. Los síntomas iniciales incluyen erupciones vesiculares ulcerativas que siguen la rama nerviosa afectada. Como factores desencadenantes se encuentran el frío, el estrés, infecciones o inmunosupresión2.

2.2.3. Virus del papiloma humano (VPH)

El virus del papiloma humano es causante de múltiples lesiones hiperplásicas, verrucosas y papilomatosas de las células epiteliales de piel y mucosas. Se clasifican en bajo riesgo (6, 11, 40, 42, 43, 54, 61, 72, 81) y alto riesgo (16, 18, 31, 33, 35, 39, 45, 51, 52, 56, 58, 59, 66, 68 y 82).

Las lesiones producidas por el virus del papiloma se clasifican en dos grupos, las lesiones benignas y las lesiones potencialmente malignas y/o malignas6 (Tabla 3). 

3. Enfermedades mucocutáneas

Una reacción adversa a un medicamento (RAM) es toda aquella respuesta nociva, no deseada y no intencionada, que se produce tras la administración de un fármaco a las dosis utilizadas habitualmente en la especie humana para prevenir, diagnosticar o tratar una enfermedad, y las derivadas de la dependencia, el abuso y el uso incorrecto de los medicamentos (utilización fuera de los términos de la autorización de comercialización y errores de medicación).

Uno de los motivos de urgencia dermatológica más comunes debido a una reacción adversa a un medicamento es la aparición de ampollas.

Los mecanismos de producción de las RAM son variados y es difícil hacer una clasificación que los abarque todos. En la cavidad oral, las RAM se pueden clasificar según el tipo de tejido afectado7. El objeto de estudio son las RAM que afectan la mucosa oral.

3.1. Reacciones liquenoides

Las reacciones liquenoides reciben su nombre debido a su apariencia clínica, similar a la de las lesiones producidas por liquen plano, secundarias a la ingesta de un medicamento. Su dificultad diagnóstica reside en que pueden aparecer años después de la instauración de un tratamiento médico. Cuando se elimina dicho medicamento desaparecen las lesiones.

Existen diversos compuestos que pueden causar reacciones liquenoides, como por ejemplo las sales de oro y bismuto, la cloroquina, la quinacrina (antimalárico). También se han relacionado con ciertos tratamientos para la artritis reumatoide y enfermedades del colágeno, los antihipertensivos, (enapril, captopril, propanolol, metildopa), los diuréticos (furosemida), los antiinflamatorios no esteroideos (AINE) (fenilbutazona, ibuprofeno)8.

3.2. Lesiones vesiculoampollosas (pénfigo, penfigoide, eritema exudativo multiforme)

Dentro de las RAM, la aparición de ampollas es uno de los motivos de urgencia dermatológica más comunes. El grupo de manifestaciones ampollosas está constituido por una variedad de afecciones cuyo diagnóstico diferencial es complejo. El propósito de este apartado es resumir algunos medicamentos que se relacionan con estos procesos, pero para poder conocerlos en profundidad recomendamos acudir a la literatura9.

3.2.1. Pénfigo y Penfigoide

Fármacos como el captopril, la penicilamina, el cilazapril, el nifedipino, la dipirona, la rifampicina y otras drogas fenólicas se han relacionado con la aparición de ampollas intraepiteliales, superficiales, similares a las observadas en el pénfigo.

Las estatinas, los antibióticos, los antagonistas del calcio, los betabloqueantes, los inhibidores de la dipeptidil peptidasa IV (vildagliptina), los neurolépticos y los diuréticos se han asociado también con ampollas subepiteliales que recuerdan al penfigoide ampolloso, con aparición de ampollas tensas en las caras flexoras y en las mucosas9.

3.3. Estomatitis alérgicas I: erupciones fijas medicamentosas y eritema exudativo multiforme

Se consideran reacciones alérgicas tras la administración sistémica de un fármaco. No se relacionan con la dosis administrada, desaparecen al eliminar el medicamento y vuelven a aparecer si se vuelve a administrar. Son afecciones diferentes, pero que tienen similitudes, y ambas pueden verse desencadenadas por la ingesta de medicamentos. Las erupciones fijas medicamentosas suelen aparecer después de 2-4 días de tratamiento, en forma de máculas que se convierten en ampollas y cicatrizan dejando una lesión hiperpigmentada. Rara vez hay afectación sistémica grave y las lesiones se presentan preferentemente en la mucosa oral y genital, y en el tronco. En el eritema exudativo multiforme, las lesiones suelen ser de menor tamaño, más simétricas y afectar a las partes acras9.

El eritema exudativo multiforme puede presentarse de manera localizada, en su forma minor, o con afectación grave, en su forma mayor o síndrome de Stevens-Johnson.

Clásicamente, se ha relacionado esta enfermedad con una reacción antígeno-anticuerpo desencadenada por la presencia de algunos virus, como el del herpes, o por la ingesta de algunos medicamentos, como antibióticos, AINE, dapsona, barbitúricos e inhibidores de la bomba de protones8.

En el eritema exudativo multiforme aparecen lesiones en forma de diana en la piel y costras serohemáticas en los labios. En la mucosa oral pueden aparecer ampollas mixtas, intraepiteliales y subepiteliales, que suelen remitir espontáneamente en 2 semanas, una vez eliminado el agente causal.

En su forma mayor o síndrome de Stevens-Johnson, se asocia a sulfonamidas y barbitúricos. Este cuadro es más grave, puede haber afectación extensa y su mortalidad se encuentra en torno al 10%. Se asocia a alopurinol, benzodiacepinas y tiazidas, además de antibióticos y AINE.

La necroepidermólisis epidérmica tóxica o enfermedad de Lyell se considera una reacción medicamentosa grave, con aparición de eritema, vesículas y ampollas mucocutáneas, que alcanza una mortalidad cercana al 50%. Se asocia con medicamentos como antibióticos, betalactámicos, analgésicos y AINE.

3.4 Estomatitis alérgicas II: estomatitis venenata o alergia de contacto en la mucosa oral

Se considera una reacción de hipersensibilidad de tipo IV. Dentro de los medicamentos o cosméticos que producen esta respuesta de forma más habitual se encuentran pastas de dientes con amonio cuaternario, bencidamina, mentol, eugenol y ácido benzoico. También colutorios con clorhexidina, o con anestésicos.

3.5 Úlceras

Las úlceras pueden aparecer en la cavidad oral como consecuencia de la acción directa de un medicamento (quemadura por ácido acetilsalicílico o por caramelos de lidocaína, e incluso por algunos colutorios con alcohol etílico) o por acción indirecta.

Cuando ocurren por acción indirecta, suelen aparecer en episodios recurrentes, en forma de estomatitis aftosa. Los fármacos más comúnmente asociados a la estomatitis aftosa son los AINE, los antibióticos, los betabloqueantes, los inhibidores de la enzima convertidora de la angiotensina y aquellos para la angina de pecho.

En pacientes sometidos a quimioterapia se puede observar una mucositis en general por metotrexato y agentes alquilantes (5-fluorouracilo), o se pueden producir úlceras por mielosupresión. Algunos inmunosupresores, como el sirolimus, también se asocian a la aparición de úlceras como RAM10.

Conclusión

El tratamiento de las lesiones de la mucosa oral en los pacientes mayores requiere un conocimiento profundo de los cambios que produce el envejecimiento en una serie de tejidos con objeto de poder seleccionar su forma más efectiva de tratamiento.

_________________________________________________________________________________________________________________________

Autores

  1. La doctora Sonia Egido Moreno es Profesora de Máster de Medicina, Cirugía e Implantología Oral en la Universidad de Barcelona y Profesora asociada de Medicina Oral, Universidad de Barcelona.
  2. La doctora Berta Rivas Mundiña es Profesora Asociada PTD1 en la Universidad de Santiago de Compostela y Profesora del Máster de Cirugía Oral I, Universidad de Santiago de Compostela.

___________________________________________________________________________________________________________________

“Mirando a Miró”. Las imágenes que ilustran este número monográfico pertenecen a “Mirando a Miró”, ensayo fotográfico de Javier de Pisón sobre la obra escultórica del artista Antoni Miró. Esta serie de esculturas de Miró, realizadas entre 2008 y 2011, tiene doble cara (anverso y reverso o positivo y negativo), están hechas en acero corten, y se exhibieron en Altea, Alicante, como parte de las exposiciones "De mar a mar"(2022) y “Arte a la intemperie” (2023).

___________________________________________________________________________________________________________________

Referencias

  1. Ástvaldsdóttir Á, Boström AM, Davidson T, Gabre P, Gahnberg L, Sandborgh Englund G, Skott P, Ståhlnacke K, Tranaeus S, Wilhelmsson H, Wårdh I, Östlund P, Nilsson M. Oral health and dental care of older persons-A systematic map of systematic reviews. Gerodontology. 2018;35(4):290-304.
  2. Blanco-Carrión A, Gándara-Rey JM, Gamallo-Moure A, Gándara-Vila P (2012). Patología de la mucosa oral en Sociedad Española de Gerodontología (1ª edición, pp. 185-203).
  3. Sáez-Carriera R, Carmona, Jiménez-Quintana M, Jiménez-Quintana Z, Alfaro X. (2007). Cambios bucales en el adulto mayor. Revista Cubana de Estomatología (online), 2007;44(4).
  4. Somacarrera Pérez ML, López Sánchez AF, Martín Carreras-Presas C, Díaz Rodríguez M. Lesiones traumáticas en la mucosa oral de los adultos mayores. Av. Odontoestomatol 2015;31(3):129-134.
  5. Stoopler ET, Sollecito TP. Oral mucosal diseases: evaluation and management. Med Clin North Am. 2014;98(6):1323-52.
  6. Cháirez-Atienzo, P, Vega-Memíje ME, Zambrano Galván G, García Calderón AG, Maya García IA, Cuevas González JC. Presencia del Virus Papiloma Humano en la Cavidad Oral: Revisión y Actualización de la Literatura. International Journal of Odontostomatology 2015;9(2):233-238.
  7. Vargas E, Salas R, Terleira A. Reacciones adversas a los medicamentos. En: Lorenzo Fernández P, Moreno González A, Leza Cerro JC, Lizasoain Hernández I, Moro Sánchez MA, Portolés Pérez A, editores. Velázquez. Farmacología básica y clínica. 19.ª ed. Madrid: Médica Panamericana; 2018;70:1115-1127.
  8. Bakhtiari S, Sehatpour M, Mortazavi H, Bakhshi M. Orofacial manifestations of adverse drug reactions: a review study. Clujul Med. 2018;91:27-36.
  9. Cheraghlou S, Levy Fixed drug eruptions, bullous drug eruptions, and lichenoid drug eruptions. Clin Dermatol. 2020;38:679-92.
  10. Monteiro L, Mello FW, Warnakulasuriya S. Tissue biomarkers for predcting the risk of oral camcer in patients diagnosed with oral leukoplakia: a systematic review. Oral Dis. 2021;27:1977-92.

___________________________________________________________________________________________________________________

Ver la Edición Especial sobre Odontogeriatría de Dental Tribune.

    RECIBE GRATIS TODOS LOS ARTICULOS SOBRE ODONTOGERIATRIA

 

ARTICULO AUTOR
1 Introducción del número: el arte y la ciencia de la Odontogeriatría Belisa Olmo González
2 Gerodontología para el paciente vulnerable institucionalizado o en domicilio Belisa Olmo, Manuel Ribera
3 Importancia de evaluar el rápido deterioro de la salud oral entre los adultos mayores Leonardo Marchini
4 Elaboración de prótesis parciales removibles en pacientes ancianos Rosa Moreno
5 La dependencia en la atención sanitaria y dental en gerodontología Fuensanta López, Susana Martínez
6 Fitoterapia en la tercera edad Claudia Elena
7 Tratamiento preventivo en el paciente adulto mayor José Carmelo Ortola
8 Relación de la enfermedad periodontal con enfermedades sistémicas en el paciente adulto mayor Patricia Truchuelo, Luis Sánchez-Labrador
9 Lesiones de la mucosa oral en odontogeriatría Sonia Egido, Berta Rivas
10 Xerostomía en paciente adulto mayor repercusiones en el manejo dental Ana Póveda
11 Uso de la sedación consciente con óxido nitroso en Gerodontología Victor Gil, Angela Galeotti
12 La cirugía bucal en el paciente adulto mayor Pedro Luis Ruiz Sáenz, Juan Santos Marino

 

 

 

 

To post a reply please login or register
advertisement
advertisement