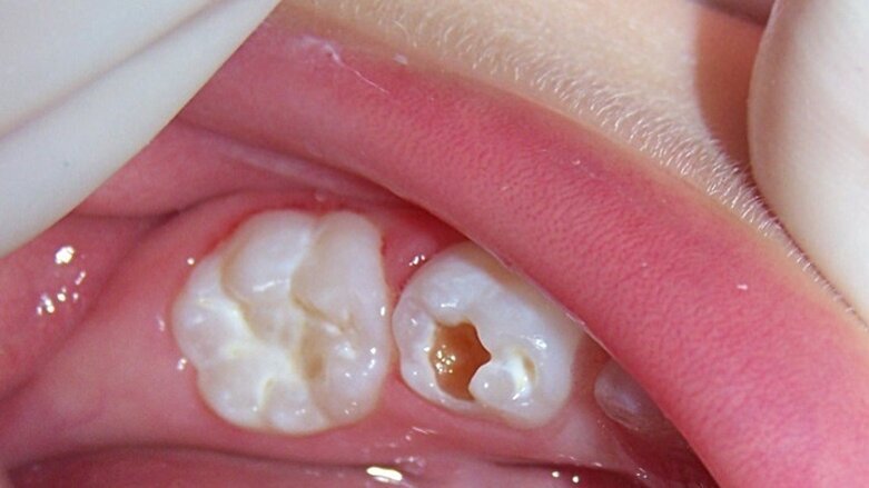
Figura 1. Paciente de 35 meses de edad con lesión de caries en dentina en el órgano dentario 74 (ICDAS 5) y lesión inicial de caries en el 75 (ICDAS 2).
Este artículo es el último de una serie de 14 artículos sobre la pandemia elaborada por la organización educativa ROCA Internacional y Dental Tribune.
EDICION ESPECIAL: LA ODONTOLOGIA EN TIEMPOS DE CORONAVIRUS
Este artículo es parte de una Edición Especial sobre las consecuencias de la pandemia del Coronavirus en la profesión odontológica, elaborada por ROCA Internacional y Dental Tribune Latinoamérica. El objetivo de esta segunda Edición Especial sobre el Coronavirus, compuesta por 14 artículos, es ofrecer información útil para que los colegas tengan las herramientas necesarias para competir y triunfar, durante y depués de la pandemia. Síganos a diario para acceder a estos artículos, que se publicarán periódicamente en Dental Tribune durante el mes de agosto. Vea el índice en la parte inferior.
El nuevo coronavirus (SARS-CoV-2) es un virus altamente contagioso que tuvo su origen en la ciudad de Wuhan, China, en diciembre de 2019. La Organización Mundial de la Salud (OMS) declaró esta infección como una pandemia el 11 de marzo de 2020, provocando una paralización de la práctica odontológica de rutina, realizando sólo tratamientos de urgencia con todas las medidas necesarias de bioseguridad. Nuestra profesión al estar en contacto directo con gotas respiratorias, saliva y al generar aerosoles pueden desencadenar un alto riesgo de infección por Covid-19.1
La práctica odontológica durante la pandemia de Covid-19, implica además del uso de protocolos de bioseguridad bien establecidos, tratamientos basados en evidencias que no generen aerosoles, reduciendo el riesgo de infección cruzada entre las consultas odontológicas.
Considerando que algunos pacientes pueden ser asintomáticos1, es importante seguir estrictamente todas las medidas de bioseguridad y desinfección preconizados por la OMS y las entidades de salud de sus respectivos países, ante este nuevo virus que puede ser letal y que, lamentablemente, aún no presenta ningún tratamiento preventivo.
"La teleodontología promueve el acceso a los servicios odontológicos monitoreando la salud oral de los pacientes y manteniendo el distanciamiento social".
Actualmente, la teleodontología promueve el acceso a los servicios odontológicos monitoreando la salud oral de los pacientes y al mismo tiempo manteniendo el distanciamiento social,
Figura 2. Se realiza la remoción selectiva de tejido cariado del órgano dentario 74 mediante el TRA con cemento de ionómero de vidrio de alta viscosidad.
2 reduciendo así un posible rebrote de personas infectadas por Covid-19. En los casos que se requiera tratamiento, la teleodontología permite un menor tiempo en la consulta y promueve un acercamiento inicial con el niño, siendo necesario brindar explicaciones sobre el uso del Equipo de Protección Personal (EPP) y el manejo odontológico.
Los tratamientos mínimamente invasivos forman parte de una filosofía de práctica arraigada principalmente en la Odontopediatría, a diferencia de otras áreas que realizan tratamientos restauradores convencionales usando piezas de mano (fresas) y anestesia local. La Odontología de Mínima Intervención (OMI) es un enfoque holístico de la salud bucal que incluye habilidades operativas mínimamente invasivas para la caries dental.3 El tratamiento de la enfermedad caries dental se basa principalmente en el control de los agentes etiológicos y no meramente en el tratamiento de las secuelas del daño bajo un procedimiento restaurador.
El Tratamiento Restaurador Atraumático (TRA) es un enfoque mínimamente invasivo que consiste en la eliminación del tejido cariado utilizando solo instrumentos manuales, sin el uso de anestesia y equipo eléctrico (alta rotación), y la restauración de la cavidad se realiza con un material adhesivo.4
Programa Académico ROCA 2020.
El TRA es un método para controlar la caries dental basado en 2 pilares: selladores para prevenir lesiones cariosas en fosas y fissuras, y restauraciones para lesiones cariosas cavitadas en dentina. La cantidad de tejido cariado que debe eliminarse depende principalmente de la profundidad de la cavidad.5 Se recomienda la remoción selectiva de tejido cariado a dentina firme para lesiones superficiales o moderadamente profundas, mientras que para lesiones profundas (que se extienden cerca de la pulpa) en dientes con pulpas vitales sin antecedentes de dolor espontáneo, se recomienda la remoción selectiva de dentina blanda (piso/pared pulpar) para evitar la exposición pulpar y preservar la salud de la pulpa de dientes primarios y permanentes.6 El ionómero de vidrio de alta viscosidad utilizado en el TRA presenta una tasa de sobrevida en los selladores similar a la resina, y en tratamientos restauradores de superficie única y múltiple de dientes primarios coincide con la amalgama y resina compuesta; asimismo, en cavidades de superficie única en dientes permanentes.3
Recientemente, revisiones sistemáticas7-9 fundamentan el uso del Fluoruro Diamino de Plata al 38% (FDP) como un tratamiento costo-efectivo no invasivo, rápido y fácil de operar para la paralización de lesiones de caries. Es una opción terapéutica prometedora para niños pequeños y en aquellos que presentan necesidades especiales, principalmente porque evita la generación de aerosoles. Sin embargo, la tinción oscura de la superficie tratada es el principal efecto adverso.
La remoción selectiva de tejido cariado como base del tratamiento restaurador atraumático; así como el tratamiento no invasivo con el uso de FDP, son opciones terapéuticas mínimamente invasivas para controlar la emisión de aerosoles, reduciendo así, la posibilidad de infección por Covid-19 para el equipo de salud oral. Debido a los beneficios descritos, la filosofía de trabajo de la OMI debe ser extrapolada a la práctica odontológica del clínico general principalmente durante la pandemia en los tiempos post-cuarentena del nuevo coronavirus.
Meng L, Hua F, Bian Z. Coronavirus Disease 2019 (COVID-19): Emerging and Future Challenges for Dental and Oral Medicine. J Dent Res. 2020 May, 99(5):481-87.
Yang Y, Zhou Y, Liu, X, Tan J. Health services provision of 48 public tertiary dental hospitals during the COVID-19 epidemic in China. Clin Oral Investig. 2020; 24(5): 1861–64. doi.org/10.1007/s00784-020-03267-8
Frencken JE. Atraumatic Restorative Treatment and Minimal Intervention Dentistry. Br Dent J. 2017. 223(3): 183-89.
Dorri M, Martinez-Zapata MJ, Walsh T, Marinho VCC, Sheiham A, Zaror C. Atraumatic restorative treatment versus conventional restorative treatment for managing dental caries. Cochrane Database Syst Rev. 2017; (12): CD008072.
Ricketts D, Innes N, Schwendicke F. Selective Removal of Caries Tissue. Monogr Oral Sci. 2018; 27:82-91.
Contreras V, Toro MJ, Elías-Boneta AR, Encarnación-Burgos MA. Effectiveness of silver diamine fluoride in caries prevention and arrest: a systematic literature review. Gen Dent. 2017;65(3):22.
Chibinski AC, Wambier LM, Feltrin J, Loguercio AD, Wambier DS, Reis A. Silver Diamine Fluoride has Efficacy in Controlling Caries Progression in Primary Teeth: A Systematic Review and Meta-Analysis. Caries Res. 2017; 51(5):527-41.
Oliveira BH, Rajendra A, Veitz-Keenan A, Niederman R. The Effect of Silver Diamine Fluoride in Preventing Caries in the primary Dentition: A Systematic Review and Meta-Analysis. Caries Res. 2019; 53(1):24-32.
Indice de artículos. EDICION ESPECIAL CORONAVIRUS No. 2
A continuación ofrecemos un índice de los artículos sobre las consecuencias del coronovirus en la profesión odontológica que se publicarán periódicamente en Dental Tribune Latinoamérica.
Imaginando el futuro (editorial). Por Melania González y Rivas (Argentina)
Contigo en la distancia (educación telemática). Por Melania González y Rivas (Argentina)
Cuento de Pandemia (incertidumbre y bruxismo). Por Carlos Peña (Argentina)
Situación de la Odontología en Chile (mercantilización de la odontología). Por Marcos Cornejo y Andrea Muñoz (Chile)
La cirugía, la implantología y la covid 19 (impacto en las especialidades). Por Eduardo Bava (Argentina)
Docente en innovación (teoría del aprendizaje). Por Silvia Grilli (Argentina)
El rol de la odontológica en el sistema de salud (la situación en Paraguay). Por Cristina Caballero (Paraguay)
La odontopediatría en tiempos de coronavirus (comentario). Por Laura Martínez de Hetner (Argentina)
Bolivia en la era covid-19 (comentario). Por Shirley Flores (Bolivia)
Coronavirus, embarazadas y bebés (poblaciones especiales). Por Ildefonso Ishikawa (Argentina)
Bioseguridad en la atención odontológica (desinfección y esterilización). Por Silvia Rubio (Argentina)
La pandemia en El Salvador (comentario). Por Silvia Navas (El Salvador)
Mea culpa (reflexiones para después de la covid-19). Por José Flores Alatorre (Paraguay)
Mínima Intervención en Odontopediatría (visión de la pandemia). Por Gustavo Tello y Marlene Seclén (Perú).
One thought on “Mínima Intervención en Odontopediatría”
La Red Odontológica de Capacitación Internacional y Edudental organizaron recientemente un programa de educación continuada sobre “Inmersión Intensiva...
La tecnología en salud oral cada día nos sorprende con mayores aplicaciones en todas las especialidades, así es como una nueva terminología empieza a ...
El Dr. Apolinar Madrigal, especialista en estética dental que ejerce y enseña en Estados Unidos, explica las ventajas que ofrecen las carillas cerámicas ...
Los autores presentan un caso clínico de caries de primera infancia severa y explican que es una afección que puede condicionar la salud bucodental en la ...
Formación
Webinars en vivo mar. 19 de mayo 2026 9:00 CST (Mexico City)
La odontología moderna ya no depende únicamente de la excelencia clínica.
Hoy, dirigir un consultorio rentable exige saber interpretar datos financieros,...
Decenas de miles de odontólogos, técnicos dentales y estudiantes recorrieron los stands comerciales de los principales distribuidores de la industria ...
Gracias por la información compartida es de gran ayuda en estos tiempos de pademia.