La Asociación Americana de Endodoncia (AAE) considera que una obturación adecuada se define como el relleno tridimensional del sistema de conductos radiculares, lo más cerca posible de la constricción dentino-cementaria.
La etapa final del tratamiento biomecánico del sistema de conducto radicular, al igual que las etapas que la preceden de diagnóstico y preparación biomecánica, es fundamental para el éxito a largo plazo. Su objetivo es lograr un sellado lo más hermético posible a nivel del "cdc" (1).
La obturación ideal debe cumplir con las siguientes características:
- Ser tridimensional y hermética para impedir la percolación y microfiltración hacia y desde los tejidos periapicales.
-
- Utilizar una mínima cantidad de cemento sellador para que una la gutapercha con las paredes del conducto.
-
- Ser biocompatible y no generar reacción a cuerpo extraño por parte del organismo.
-
- Ser radiopaco para verificar su presencia radiográficamente (2).
embedImagecenter("Imagecenter_2_2034",2034,"small");
Los materiales de obturación se clasifican en sólidos (conos de gutapercha), semisólidos (gutapercha reblandecida) y en estado plástico (cementos y pastas) (3).
La gutapercha es el material más utilizado y aceptado, y puede presentarse en tres formas distintas:
Dos formas esteáricas cristalinas (alfa y beta) y una amorfa o fundida. Las tres forman parte de la obturación de los conductos radiculares.
Las puntas convencionales están hechas de fase beta, la que se transforma a fase alfa cuando se calienta a 42-49 grados centígrados.
En el calentamiento continuado se pierde la forma cristalina para formar una mezcla amorfa a partir de 59 grados centigrados (4).
Técnicas de obturación
• Condensación lateral en frío
• Condensación lateral caliente
• Gutapercha en frío (Gutta Flow)
• Gutapercha termoplastificada inyectable
• Compactación termomecánica
• Portadores de gutapercha (5).
Caso clínico
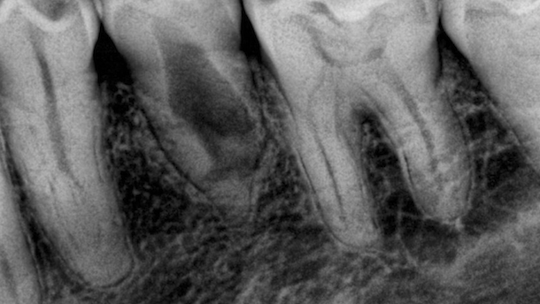
Paciente de 46 años que se presenta en la consulta por un cambio de color en la corona del diente 35 (segundo premolar inferior izquierdo). Clínicamente, las pruebas de sensibilidad al frío y al calor son negativas. Acusa percusión dolorosa. Radiográficamente (Figura 1), se observa un conducto de forma irregular compatible con reabsorción interna (Figuras 2, 3, 4). Diagnóstico: necrosis pulpar posterior a reabsorción interna.
Tratamiento
Ante la irregularidad del conducto es imposible realizar una preparación manual o rotatoria, por lo que se realiza una irrigación abundante con hipoclorito de sodio activado por movimiento sónico con Endo Activator (Dentsply Maillefer).
Se procede a realizar una obturación con inyección de gutapercha termoplastificada (termoreblandecida) mediante la pistola de Back Fill (Meta Biomed) (Figura 5) previo a la utilización de cemento sellador resinoso AdSeal (Meta Biomed) (Figura 6), el cual fue llevado con la ayuda de lentulos (Dentsply Maillefer).
Recursos
• Meta Biomed
Referencias
1. Leonardo MR, Leonardo RT. Endodoncia conceptos biológicos y recursos tecnológicos. Sao Paulo, Editorial Artes Médicas 2009.
2. American Association of Endodontist. Appropriateness of care and quality assurance guidelines. In: Cohen S, Burns R. Vias de la pulpa, 8 edición, Barcelona: Mosby.
3. Leonardo M, Leal J. Endodoncia. Tratamiento de los conductos radiculares. Editorial Panamericana. Argentina 1994.
4. Oguntebi BR, Shen C. Effect of different sealers on thermoplasticized Gutta-percha root canal obturations. J. Endod. 1992;18(8):363-6.
* El Dr. Alvaro Barrios Angulo es endodoncista graduado en la Universidad Javeriana de Bogotá, Colombia. Contacto: abarriosangulo@yahoo.com
La compañía coreana META BIOMED presentará en IDS el EQ-V, un nuevo sistema de obturación de onda continua que promete ...
Un equipo interdisciplinario ha descubierto que las partículas minerales de la dentina se precomprimen y que esta tensión interna evita la ...
El empresa española Global Medical Implants (GMI) presentó en el Congreso de Arequipa su sistema de implantes, aditamentos y kits ...
La técnica de reducción interproximal (RIE) del esmalte, requiere gran delicadeza. Las nuevas tiras perforadas de 6 mm son de gran utilidad para esta ...
Este artículo presenta un caso clínico de rehabilitación de un paciente con enfermedad periodontal y múltiples caries dentales, ...
La Asamblea General de la Organización Colegial de Dentistas de España ha fallado sus premios anuales, que se entregarán en diciembre, en el tradicional ...
Los verdaderos generadores de valor en la práctica dental son el entorno, la experiencia y la marca. Una simple botella de agua puede enseñarnos más ...
La formación en Odontología es especialmente relevante para el éxito profesional. Pocas instituciones han alcanzado alcanzado el nivel de excelencia que ...
Las enfermedades dentales está aumentando, especialmente la periodontitis, estimándose actualmente la existencia de más de 1.100 millones de casos de ...
La principal exposición comercial del sector dental de España volvió a demostrar su empuje y popularidad entre empresas dentales y profesionales de la ...
Webinars en vivo
mar. 19 de mayo 2026
9:00 CST (Mexico City)
Webinars en vivo
mar. 19 de mayo 2026
11:00 CST (Mexico City)
Prof. Dr. med. dent. Ivo Krejci
Webinars en vivo
mié. 20 de mayo 2026
5:00 CST (Mexico City)
Dr. Graham Carmichael BDSc (Hons), DClinDent (Pros), FRACDS, Dr. Robert Gottlander DDS
Webinars en vivo
mié. 20 de mayo 2026
7:00 CST (Mexico City)
Webinars en vivo
mié. 20 de mayo 2026
9:00 CST (Mexico City)
Webinars en vivo
mié. 20 de mayo 2026
11:00 CST (Mexico City)
Prof. Dr. med. dent. Tim Joda PhD, MSc, eMBA
Webinars en vivo
jue. 21 de mayo 2026
10:00 CST (Mexico City)
Dr. Leonardo Muniz DDS, MSC
To post a reply please login or register