Este artículo presenta un caso clínico de rehabilitación de un paciente con enfermedad periodontal y múltiples caries dentales, cuyo plan de tratamiento consistió en la exodoncia de todas las piezas dentales y la colocación de una prótesis inmediata.
La rehabilitación del maxilar completamente edéntulo presenta un gran reto, especialmente cuando se planea ofrecerle al paciente una rehabilitación fija con implantes endoóseos.
Debido al patrón de reabsorción de la maxila y la densidad del hueso disponible en este área, el porcentaje de éxito del tratamiento disminuye. Por este motivo, se debe realizar un buen diagnóstico y plan de tratamiento.
Introducción
Cuando se rehabilita con implantes una maxila completamente edéntula, hay que tener en consideración los siguientes factores:
• Anatomía del hueso residual
• Cantidad y calidad de hueso residual
• Tipo de prótesis
• Número de implantes
• Fuerzas oclusales
• Antagonista
• Interrelación de arcos dentarios
Usualmente cuando se observa, clínica y radiográficamente, una maxila edéntula, se pueden identificar dos patrones: reabsorción en sentido bucal-palatino y neumatización de los senos maxilares.
Fig. 2. Patrón de reabsorción de la maxila.
Estos dos patrones juegan un papel muy importante en la selección del tipo de prótesis a utilizar. Además, determinan la inclusión en el plan de tratamiento de fases quirúrgicas adicionales, como injertos en bloque, para disminuir la discrepancia antero-posterior y levantamiento de la membrana de seno maxilar para corregir la discrepancia vertical en la zona posterior.
Una vez realizada la evaluación completa del maxilar se debe escoger la rehabilitación protésica a efectuar. Debido a la naturaleza prostodóntica de la implantología, la cantidad y posición de los implantes está determinada por el tipo de prótesis con el que se restaurará al paciente.
Al hablar de opciones protésicas para la maxila totalmente edéntula, se describen varios tipos de tratamientos utilizando implantes, que se dividen en dos grupos básicos: restauraciones fijas y restauraciones removibles.
Misch1 describe la rehabilitaciones protésicas con implantes en cinco tipos:
- FP-1 Prótesis fija, que reemplaza solamente la corona y se ve como un diente natural.
- FP-2 Prótesis fija, que reemplaza la corona y parte de la raíz, se observa un contorneado natural de la corona en el tercio medio-oclusal, pero alongado o híper contorneado en el tercio cervical o gingival.
- FP- 3 Prótesis fija, que reemplaza corona, tejido y hueso perdido, y la prótesis utiliza dientes de dentadura y encía de acrílico.
- RP- 4 Prótesis removible, sobredentadura soportada completamente por implantes.
- RP-5 Prótesis removible, sobredentadura soportada por tejido suave e implantes.
La selección del tipo de prótesis fija o removible, utilizando implantes dentales, se realiza teniendo en cuenta varios factores:
• La pérdida de hueso maxilar en sentido antero-posterior
• Clasificación del maxilar según su forma
• La distancia del borde residual al plano oclusal (crown height space)
El factor más determinante en la selección del tipo de prótesis es la distancia del borde residual al plano oclusal. Esta distancia se ve aumentada por la pérdida vertical de hueso y tejido suave que se produce en los pacientes edéntulos. Cuando clínicamente un paciente presenta una distancia mayor de 15mm, la prótesis más indicada es del tipo removible (sobredentadura), ya que se puede compensar los tejidos perdidos utilizando acrílico. La utilización de restauraciones fijas del tipo metal porcelana se ven comprometidas, ya que puede resultar en la fabricación de dientes elongados, poco estéticos.
Fig. 3. Distancia del borde residual al plano oclusal..
En 1987 Zarb et al.2 describen un tipo de tratamiento fijo en maxilas completamente edéntulas severamente reabsorbidas, con distancias mayores a 15mm. Estos autores describen la fabricación de una prótesis híbrida utilizando una estructura metálica sobrecontorneada, con acrílico y dientes de dentadura convencional. Este tipo de restauración se puede clasificar, según Misch, como FP-3, prótesis fija que reemplaza corona, tejido y hueso perdido y cuya prótesis utiliza dientes de dentadura y encía de acrílico.
Una de las principales ventajas atribuidas a este tipo de prótesis es la reducción del impacto de las fuerzas oclusales, ya que el acrílico actúa como intermediario entre los dientes y la estructura metálica.
En las rehabilitaciones fijas en maxila, como es el caso de la prótesis híbrida, la literatura plantea la colocación de entre 6 y 10 implantes distribuidos bilateralmente en la zona maxilar posterior.
La colocación de implantes en la zona posterior plantea un reto debido a la neumatización del seno maxilar. Generalmente, se debe realizar un levantamiento de la membrana del seno maxilar para injertar hueso y ganar el volumen necesario para la colocación de implantes.
Una vez colocados los implantes, el clínico debe escoger el protocolo a utilizar, en cuanto a carga se refiere. Misch4 describe varios protocolos:
Carga inmediata: carga oclusal en las 2 primeras semanas posteriores a la colocación del implante.
Carga oclusal temprana: entre 2 semanas y 3 meses después de la colocación del implante.
Restauración inmediata no funcional: restauración implanto-soportada en las 2 primeras semanas después de la colocación del implante sin carga oclusal directa.
Carga oclusal retardada: restauración con carga oclusal 3 meses después de la colocación del implante.
Restauración temprana no funcional: restauración implanto-soportada entre 2 semanas y 3 meses después de la colocación del implante sin carga oclusal directa.
Cuando se trabaja en la maxila, especialmente en la zona posterior, post levatamiento de seno maxilar, se utiliza un protocolo de carga oclusal retardada, esperando entre 6 y 8 meses antes de la entrega de la rehabilitacion final, ya que se trabaja en un hueso con densidad tipo III - IV, descrito en la literatura como principalmente esponjoso, de muy baja calidad para soportar implantes dentales.
Fig. 4. Clasificación de la densidad ósea (Mish, 2000)..
Caso clínico
Paciente masculino de 68 años, sano. Clínicamente presenta enfermedad periodontal y múltiples caries en los dientes remanentes, los cuales no se pueden salvar. Entre sus quejas plantea la incomodidad de usar la prótesis total superior debido a que nunca lo ha hecho y no quiere un aparato removible. Desea tener una restauración protésica fija.
Después de una evaluación detallada del caso utilizando radiografías, escaneado dental tridimensional, modelos, fotografías del paciente y, teniendo en cuenta las variables mencionadas anteriormente, se planifica una rehabilitación con una prótesis fija de tipo 3 (FP – 3), según la clasificación de Mitch, para reponer hueso, tejido suave y dientes.
Factores tomados en cuenta:
1. Pérdida severa de hueso antero-posterior
2. Distancia del reborde residual al plano oclusal > 15mm
3. Volumen y densidad ósea
Fig. 5. Radiografía preoperatoria.
Fig. 6. Vista panorámica de tomografía dental volumétrica.
Debido al patrón de reabsorción del maxilar del paciente, se tuvieron que realizar procedimientos quirúrgicos adicionales, que incluyeron levantamiento de la membrana del seno maxilar izquierdo utilizando hueso autógeno en combinación con matriz ósea desmineralizada alogénica (Zimmer Puros Putty). Seis meses después del injerto, el paciente vuelve a la clínica para realizar las segunda fase del tratamiento. Se le colocan bilateralmente ocho implantes endoóseos (Zimmer), de zona canina a zona molar, utilizando una técnica con osteotomos para obtener una mejor calidad de hueso y por consiguiente mejor estabilidad inicial.
Fig. 7. Vista panorámica de tomografía dental volumétrica post extracciones y levantamiento de seno maxilar izquierdo.
Figs. 7 a 15. Cortes sagitales de tomografía dental volumétrica, en donde se realizan las mediciones en las zonas donde se desea colocar los implantes dentales.
Figs. 16 y 17. Colocación de pines de paralelismo e implantes endoóseos, según la guía quirúrgica.
Una vez colocados los implantes, se esperan 6 meses para la osteointegración de los mismos. Después de este tiempo, se realiza la cirugía de segunda fase de los implantes, en la que éstos son descubiertos a la cavidad; una vez descubiertos, se coloca el tornillo de sanado y se esperan dos semanas para que los tejidos suaves se estabilicen y poder así tomar las impresiones finales.
Fig. 18. Vista panorámica de tomografía dental volumétrica post operatoria a la colocación de implantes.
En este caso se utilizaron implantes endoóseos Zimmer de dos fases TSVB. Debido a esto, al momento de prepararse para realizar la parte protésica del tratamiento, se debe tener en consideracion la utilizacion de un poste transgingival, conocido como "shoulder abutment", y su respectivo poste de impresión y análogo. Este poste permite realizar la conexión de la dentadura y los implantes a un nivel supragingival, facilitando así la limpieza y el mantenimiento de los mismos.
Figs. 19 y 20. Botones de sanado en la cirugía de segunda fase y modelo en yeso de la impresión de los botones de sanado para fabricar barra en Duralay.
Figs. 21 y 22. Articulado de los dientes y guía vestibular en Putty para obtener posición final de los dientes y poder así realizar la barra.
Figs. 23 y 24. Pilares transmucosos (shoulder abutments) torqueados a los implantes a 30 Ncm2 y modelo en yeso de la impresión de los botones de sanado y la barra en Duralay.
Figs. 25 y 26. Pilares transmucosos en posición con sus respectivos postes de impresión e impresión final con los análogos de pilares transmucosos.
Figs. 27 y 28. Se colocan los pilares UCLA para barra sobre los pilares transmucosos y los mismos se ferulizan con la barra de Duralay.
Figs. 29 y 30. Ferulización de la barra a los pilares UCLA con Duralay (técnica de polvo líquido).
Una vez colocados los pilares transmucosos, se colocan los postes de impresión para los mismos y se toma la impresión final, utilizando polivinilsiloxano de consistencia pesada y liviana. En este caso se utilizó una técnica de cubeta cerrada, ya que la posición paralela de los implantes lo permite. Si los implantes son divergentes, debe utilizarse una técnica de cubeta abierta. Una vez tomada la impresión, se unen los postes de impresión de los pilares transmucosos con los análogos específicos para los mismos y se trasfieren a la impresión tomada. Se debe tomar en cuenta la guía de los postes de impresión para colocarlos en una posición correcta al realizar la transferencia.
Figs. 31 y 32. Modelo de trabajo para realizar el articulado de los dientes y barra de Duralay con los análogos en posición.
La impresión se envía al laboratorio, donde es vaciada y montada en un articulador para realizar la confección de la barra y el montaje de los dientes. Se proceden a fabricar dos modelos; el primero, que fue tomado con material de impresión, será remontado utilizando la llave de Putty y se articulan los dientes una vez esté fabricada la barra. El segundo es la barra ferulizada de Duralay que contiene los pilares UCLA, la misma que se vacía en una base de yeso para generar un modelo maestro y fabricar la barra.
Figs. 33 y 34. Modelo de yeso sobre el cual se fabrica barra híbrida, encerado final listo para castear.
En la siguiente cita se realiza la prueba de barra y dientes en cera. Se debe obtener el asentamiento pasivo de la barra metálica a los pilares transmucosos. Si no hay pasividad entre los componentes, se debe cortar la barra y soldarla. Las consecuencias de atornillar una barra no pasiva incluyen pérdida de hueso, fractura de los componentes y, por último, movilidad del implante.
Se calcula que una brecha de 50µm entre los componentes, obliga al implante a moverse 20µm en el hueso, antes de lograr un asentamiento pasivo, lo que en un implante ya osteointegrado puede ser fatal.
Figs. 35 y 36. Prueba estética y de barra, la cual debe estar pasiva sobre los pilares transmucosos..
Figs. 37 y 38. Prótesis híbrida maxilar procesada.
Teniendo en cuenta este punto, se realiza la prueba de barra y de dientes en cera, y si la barra está pasiva y el paciente satisfecho con la prueba estética, se remueve la prótesis híbrida y se envía al laboratorio para el procesado final.
Una vez que el laboratorio procesa la prótesis, se cita al paciente para entregarle la prótesis. Se utiliza torque a 30 Ncm2 y se coloca SysTemp Onlay® (Ivoclar) para sellar los accesos oclusales.
Figs. 39 y 40. Prótesis híbrida final.
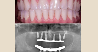
Fig. 41. Radiografía panorámica final.
Fig. 42. Vista panorámica de tomografía dental volumétrica.
Figs. 43 a 50. Cortes sagitales de tomografía dental volumétrica en los que se observa la posición final de los implantes con la rehabilitación respectiva.
Discusión
La variedad de tratamientos con implantes dentales que se le puede ofrecer a un paciente totalmente edéntulo ha aumentado en los últimos tiempos, pero la elección final depende del deseo del paciente y de los factores mencionados en este artículo. Debido a ello, se debe realizar un análisis detallado de la anatomía del maxilar utilizando todas las herramientas disponibles, incluyendo modelos en yeso, imágenes radiográficas (ortopantomografías, Dental Scan), fotografías del paciente, encerados de estudio, etc.
Se debe recordar que la implantología es una ciencia restauradora con un componente quirúrgico, y que siempre se debe iniciar el plan de tratamiento con la prótesis final en mente para luego determinar el número de implantes y su posición, para poder así colocar los implantes prostodónticamente predeterminados.
Conclusión
La confección de una prótesis híbrida maxilar es una opción viable para rehabilitar maxilares edéntulos, que se debe incluir entre las opciones de tratamiento cuando se evalúa al paciente.
La prótesis híbrida maxilar ofrece una serie de ventajas sobre otras alternativas protésicas con metal porcelana, como menor costo, excelente estética, mejor propiocepción, facilidad de limpieza, menor mantenimiento protésico, versatilidad. Como se trata de una prótesis fija removible, el clínico puede retirarla en cualquier momento y realizar reparaciones, cambiar acrílico y dientes a un costo muy bajo.
La implantología oral crece día a día, y el desarrollo de nuevas técnicas quirúrgicas y protésicas abre un mundo nuevo de opciones que se deben explorar para así poder ofrecer al paciente mejores tratamientos.
1. Director del Programa de Implantología Oral en la Universidad Latinoamericana de Ciencia y Tecnología (ULACIT) de Costa Rica, es especialista en Implantología Oral por la Universidad de Miami/Jackson Memorial Hospital.
2. Especialista en Implantología Oral por la Universidad de Miami/Jackson Memorial Hospital.
Contacto: ivan@implantdentistrycr.com ____________________________________________________________________________
Referencias 1. Misch CE. Contemporary Implant Dentistry. 3 Edetion, 2008. Mosby Elsevier, St. Louis, Missouri.
2. Cox JF, Zarb GA. The longitudinal clinical efficacy of osseointegrated implants a 3 year report, International Journal Oral and Maxillofacial Implants2:91-100,1987.
3. Misch CE. Dental Imaplnt Prosthetics. 2005. Mosby Elsevier, St. Louis, Missouri.
4. Mish CE, Wang HL, Mish CM, et al. Rationale for the application of immediate load in the implant dentistry: part1. Implant Dentistry. N2004; 13:207-217.
5. Branemark PL, Hansson BO, Adelll R, et al. Osseointegrated implants in the treatment of the edentulous jaw. Experience from a 10-year period. Scand J Plast Reconstr Surg 1977; 11(Suppl 16),1-132 Trabajo en el que se define el concepto de osteointegración como punto de partida de la aplicación clínica de los implantes dentales.
6. Cawood Jl, Howell RA. A classification of the edentulous jaws. Int J Oral Maxillofac Surg 1988;17:232-6.
7. Lekholm U, Zarb GA. Patient selection. In: Brånemark P-I, Zarb GA, Albrektsson T (eds), Tissue-Integrated Prostheses: Osseointegration in Clinical Dentistry. Chicago: Quintesence, 1985:199-209.
8. Boyne PJ, James RA. Grafting of the maxillary sinus floor with autogenous marrow and bone. J Oral Surg 1980;38:613-6.
9. Sinus Graft Consensous Conference, Academy of Osseointegration, Wellesley, MA, Nov 16-17, 1996. Int J Oral Maxillofac Implants 1998;13 (suppl).
10. Cawood JI, Stoelinga PJW. International Research Group on Reconstructive Preprosthetic Surgery. Int J Oral Maxillofac Surg 2000; 29:159¬62. 8. Schwarz MS, Rothman LG, Rhodes ML, Chafetz N. Computed Tomography. Part II. Preoperative assessment of the maxilla for endosseous implant surgery. Int J Oral Maxillofac Implants 1987;2:143-8.
11. Wood RM, Moore DL. Grafting of the maxillary sinus with intraorally harvested autogenous bone prior to implant placement. Int Oral Maxillofac Implants 1998;3:209-14.
12. Jensen J, Simonsen EK, Sindet-Pedersen S. Reconstruction of the severaly reabsorved maxilla with grafting and osseointegrated implants. J Oral Maxillofac Surg 1990;48:27-32.
13. Kent JN, Block MS. Simultaneous maxillary sinus floor bone grafting and placement of hidroxiapatite-coated implants. J Oral Maxillofac Surg 1989;47:238-42.
14. Lozada JL, James RA, Boyne P, Lorca FJ. Valoración clínica y respuesta histológica de materiales autólogos y heterólogos, empleados en la elevación de seno maxilar, para la colocación de implantes endoóseos. Actualidad Implantológica 1992;3:33-41.
15. Nishibori M, Betts N, Salama H, Listgrten MA. Short-Term Healing of Autogenous and Allogenic Bone Grafts After Sinus Augmentation: A report of 2 Cases . J Periodontol 1994; 65:958-66.
16. Urist MR. Bone: Transplants, implants, derivatives and substitutes-a survey of research of the past decade. Am Acad Orthop Surg 1960;17:184-8.
17. Guglielmotti MB, Alonso C, Itoiz ME, Cabrini RL.
18. Increased osteogenesis in alveolar wound healing elicited by demineralised bone powder. J Oral Maxillofac Surg 1990;48:487-90.
19. Lundgren S, Nyström E, Gunne J, Lindhagen O. Bone grafting to the maxillary sinuses , nasal floor and anterior maxilla in the atrophic edentulous maxilla. A two-stage technique. Int J Oral Maxillofac Surg 1997;26:428-34.
20. Balshi TJ, Wolfinger GJ, Balshi II SF. Analysis of Pterigomaxillary Implants in Edentulous Arches for Fixed Prosthesis Anchorage. Int J Oral Maxillofac Implants 1999;14:398-406.
21. Rosen PS, Summers R, Mellado JR, Salkin LM, Shanaman RH, Marks MH, Fugazzotto PA. The Bone-Added Osteotome Sinus Floor Elevation Technique: Multicenter Retrospective Report of Consecutively Treated Patients. Int J Oral Maxillofac Implants 1999;14:853-8.
22. Engelke W, Schwarzwäller W, Behnsen A, Jacobs HG, Decco O, Giorgi O. Clinical results of the subantroscopic sinus floor elevation with algipore. Friascience 2001;1:26.
El experto dominicano en estética dental, Rony Joubert, explica de forma simple y sencilla la rehabilitacion del paciente edéntulo con una prótesis ...
Este artículo describe los métodos que permiten restaurar al edéntulo mandibular en un plazo de 3 a 8 días y presenta 10 casos clínicos con seguimiento...
El concepto de carga inmediata en implantes dentales está en aumento y bien documentado en la literatura científica. La sobrevivencia de estos implantes, ...
La Dra. Marinelly Mendes, experta en Estética dental y Rehabilitación Oral y Prótesis sobre Implantes, es una de las conferencistas que participarán en ...
El autor presenta el caso clínico de una paciente de edad avanzada con problemas de salud sistémicos a la que se le realizó una rehabilitación fija del ...
La Clínica Universitaria de la Escuela Superior de Implantología y Rehabilitación Oral (Esiro) anuncia una nueva serie de cursos personalizados para ...
La odontología moderna ya no depende únicamente de la excelencia clínica.
Hoy, dirigir un consultorio rentable exige saber interpretar datos financieros,...
Decenas de miles de odontólogos, técnicos dentales y estudiantes recorrieron los stands comerciales de los principales distribuidores de la industria ...
To post a reply please login or register