El experto dominicano en estética dental, Rony Joubert, explica de forma simple y sencilla la rehabilitacion del paciente edéntulo con una prótesis híbrida cerámica.
DESDE SANTO DOMINGO
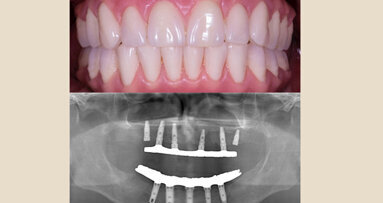
La implantología dental ha permitido que los pacientes edéntulos totales puedan pasar a ser portadores de prótesis removibles o fijas asistidas por fijaciones óseointegradas, lo que genera un aumento en las función masticatoria del paciente así como una disminución, o la eliminación, de la pérdida de hueso alveolar remanente. A esto se le suma el hecho de que los aparatos implanto-asistidos le producen más seguridad y confort al usuario.
La prótesis fijas sobre implantes dentales osteointegrados pueden ser de tipo cementadas o atornilladas. En el caso de las prótesis totales atornilladas, predominan las llamadas prótesis híbridas (plásticas o cerámicas), donde con la estructura protésica podemos crear los tejidos blandos perdidos, así como reponer los dientes ausentes.
Las prótesis híbridas atornilladas cerámicas están indicadas en los siguientes casos, cuando:
1) los dientes antagonistas sean naturales o cerámicos
2) se requieran trabajos de larga duración
3) los dientes opuestos no estén disminuidos periodontalmente
4) existan posibilidades de tiempo y económicas para ser fabricadas
5) Otras.
Fig. 2. Colocación adecuada de implantes salvando los músculos mentonianos.
Las ventajas de estas estructuras cerámicas son: su resistencia y duralidad, su alta estética y estabilidad de color a través del tiempo, su excelente función masticatoria, entre otras. Sin embargo, estas prótesis tienen limitantes importantes como: son complejas de fabricar, difícil de reparar, costosas.
La técnica de planificacion y determinación de la cantidad de implantes a colocar y la ubicación de los mismos en el arco dentario es compleja, amén de que la construcción del aparato es muy difícil y los ajustes oclusales de los casos son muy tediosos.
En líneas generales, se colocan entre 4 y 5 implantes en la arcada inferior y 5 o más en la superior, buscando asentar fijaciones de más de 10 milímetros de longitud con diámetros que varíen entre 3.3 y 4.2 milímetros. Los mismos debería estar distribuidos generando el mejor polígono de sustentación posible, y salvando las estructuras anatómicas nobles del área (dentario inferior y seno maxilar superior). El paralelismo entre los implantes debería ser adecuado, aunque algunas técnicas preconizan la posibilidad de colocarlos angulados (ejemplo All-on-4, 5 ó 6), de forma que se pueda proteger órganos importantes. Si la distribución y ferulización de los implantes es adecuada, se permiten pónticos a extensión distal de hasta de 13 milímetros sin que se comprometa la biomecánica del aparato.
Las impresiones definitivas deben de hacerse a cubeta abierta para generar la menor cantidad de tensiones posibles y las infraestructuras metálicas deben ser confeccionadas en pequeños bloques, para luego ser soldadas, generando esto mejor adaptación de las estructuras a los conectores de los implantes. La cerámica de revestimiento sobre el metal puede ser de tipo feldespática o disilicato de litio, o puede confeccionar toda la estructura en óxido de zircornio en monobloque para luego revestirla de alguna cerámica con fase vítrea.
Fig. 3. Impresión definitiva con silicona.
La planificación con modelos de estudio, encerados, radiografías y tomografías nos deberá guiar para que las chimeneas de los aparatos aflore preferiblemente por oclusal y/o lingual, evitando salidas en la parte externa de la prótesis.
Fig. 4. Sistema Multiunit colocado en boca.
Las prótesis se asientan en sus sistemas de conexión y los tornillos de fijación se torquean a la fuerza determinada por cada fabricante.
Fig. 5. Vista apical de la prótesis con su sistema de conexión-asentamiento.
Idealmente, estos aparatos se debendesmontar una o dos veces al año para inspección visual, pero teniendo extremo cuidado con no correr los tornillos.
Fig. 6. Prótesis Híbrida Inferior atornillada. Prótesis superior convencional con diente de "composite" para evitar efecto castañueleo".
* El Prof. Dr. Rony Joubert es un experto en rehabilitación bucal e implantes y conferencista internacional que ejerce en Santo Domingo, República Dominicana. El Dr. Valera es endodoncista y el Dr. Rodríguez ortodoncista.
La confección de microcarillas no invasivas mediante sistemas CAD/CAM planteaba hasta ahora un difícil reto debido a la fragilidad de los materiales ...
El Dr. Andreas Kurbad, experto alemán en Odontología Estética, explica en el siguiente caso clínico que las correcciones estéticas con carillas deben ...
El Dr. Andreas Kurbad, experto alemán en Odontología Estética, explica en el siguiente caso clínico que las correcciones estéticas con carillas deben ...
La Clínica Universitaria de la Escuela Superior de Implantología y Rehabilitación Oral (Esiro) anuncia una nueva serie de cursos personalizados para ...
El autor describe paso a paso la restauración mediante corona sobre pilar de un caso en el que se utilizaron supraconstrucciones para absorber las fuerzas ...
La planificación de un caso clínico en el laboratorio dental implica una colaboración multifacética entre el clínico y el técnico dental. Este proceso...
Este artículo describe los métodos que permiten restaurar al edéntulo mandibular en un plazo de 3 a 8 días y presenta 10 casos clínicos con seguimiento...
Formación
Webinars en vivo mar. 19 de mayo 2026 9:00 CST (Mexico City)
La odontología moderna ya no depende únicamente de la excelencia clínica.
Hoy, dirigir un consultorio rentable exige saber interpretar datos financieros,...
Decenas de miles de odontólogos, técnicos dentales y estudiantes recorrieron los stands comerciales de los principales distribuidores de la industria ...
To post a reply please login or register