Search Dental Tribune

Piezocirugía (5). El éxito de la cirugía apical en endodoncia

Los autores explican en este capítulo del libro "Cirugía piezoeléctrica. Generalidades y aplicaciones clínicas" las técnicas piezoeléctricas específicas para la terapia endodóntica con cirugía apical, incluyendo los insertos quirúrgicos que se utilizan en cada paso clínico.

La microcirugía endodóntica apical busca conservar la mayor cantidad de longitud de raíz y de hueso circundante sano para no afectar la estabilidad de la pieza. Tiene un nivel alto de éxito y evidencia una cicatrización ósea completa en el 74% de los casos al año de tratamiento. Este resultado está asociado a predictores de cada paciente, como la edad, tipo de pieza, profundidad de sondaje y extensión de la lesión.

Quinto de una serie de 11 artículos

Los tratamientos endodónticos tienen una predictibilidad de éxito variable (20-90%).1 Sin embargo y con cierta frecuencia (15%), pueden aparecer complicaciones a nivel apical2 posterior al tratamiento, o incluso cuando la pieza ya posee la restauración protésica definitiva.3 Estos escenarios no deseados pueden presentarse con sintomatología persistente o esporádica y estar acompañados de imágenes radiolúcidas/hipodensas apicales.

El origen puede ser bacteriano (colonias bacterianas persistentes4, patología periodontal asociada5, reinfecciones por falta de sellado coronal), mecánico (preparación deficiente, fractura de instrumentos, fracturas radiculares6, extravasación de material de obturación7 con ó sin compromiso de estructuras vecinas) y anatómico (conductos accesorios poco permeables o calcificados)8 (Figuras 1 - 4).

El libro "Cirugía piezoeléctrica. Generalidades y aplicaciones clínicas" explica los fundamentos de esta tecnología y muestra su utilidad práctica en el consultorio mediante casos clínicos.
Toque en la imagen para adquirir el libro.

 

Figura 1. Tomografía cone beam en la que se observa la pieza 1.4 aparentemente normal, sin signos de patologías.

 

Figura 2. Exodoncia de la pieza 1.4 indicada como parte de una planificación de implantes dentales.

 

Figura 3. Concrescencia a nivel apical en la pieza extraída.

 

Figura 4. El mayor aumento de la concrescencia es observa a nivel apical.

 

Frente a ello, se debe decidir entre un retratamiento de conductos, que involucra un probable retiro del espigo y de la prótesis cementada, o un abordaje microquirúrgico apical. El primero estima un éxito promedio del 80% y mayor riesgo de fracturas radiculares con posterior pérdida del diente; mientras que el segundo, tiene un éxito del 92%9 y brinda como principal ventaja una visualización y manipulación directa de la lesión problema.10

El procedimiento se inicia colocando anestesia y elevando un colgajo mucoperióstico a espesor completo y exponiendo la zona. En seguida se realiza la enucleación de la lesión, eliminando o creando una ventana en la lámina cortical que contiene el área del ápice.

La microcirugía endodóntica apical busca conservar la mayor cantidad de longitud de raíz y de hueso circundante sano para no afectar la estabilidad de la pieza.11 Por ello, es ideal el uso de microscopios, elementos de magnificación, instrumental específico (insertos de ultrasonido endodónticos) y materiales de sellado eficientes para el tratamiento retrogrado. Su éxito es alto y evidencia una cicatrización ósea completa en el 74% de los casos al año de tratamiento.12 Cabe destacar que este logro está asociado también, a predictores propios de cada paciente, como la edad, tipo de pieza, profundidad de sondaje y extensión de la lesión.1 El uso complementario de la tomografía computarizada es resaltante como el instrumento imagenológico de elección para la etapa de planificación microquirúrgica,13 ya sea para una ejecución a mano alzada o con guías prefabricadas.14,15 

Aplicaciones clínicas

El procedimiento se inicia colocando anestesia y elevando un colgajo mucoperióstico a espesor completo3 (incisión semilunar o intrasurcular con/sin protección papilar) y exponiendo la zona. En seguida se realiza la enucleación de la lesión, eliminando16 o creando una ventana17 en la lámina cortical que contiene el área del ápice; este retiro óseo se realiza con los insertos de forma aplanada dentada o inserto con cobertura diamantada plano o redondo, recordando ser lo más conservador posible (Figura 5).

Figura 5. Pieza dentaria sin lesión apical (a). Pieza endodonciada con lesión apical (b). Incisión y levantamiento de colgajo (c). Apertura de la ventana ósea con inserto de corte o diamantado (d).

 

Después de realizado el acceso e identificado el ápice, se procede a la limpieza de la zona con instrumentos manuales y/o con insertos diamantados de parte activa angulada para poder eliminar todo el tejido patológico del perímetro radicular apical y del tejido óseo circundante (Figura 6).

Figura 6. Eliminación mecánica con instrumento manual de tejido granulomatoso (a, b). Limpieza peri radicular del tejido dentario apical y óseo (c, d).

 

Figura 7. Tejido granulomatoso apical remanente de difícil acceso (a). Calibración y remoción de los 3 mm apicales radiculares (b, c).

 

Una vez limpia la zona apical, se corrobora la integridad de la raíz y se evalúa el grado de extensión de la lesión. Si el defecto óseo es pequeño, se procede a realizar la preparación del conducto y obturación retrógrada de ser el caso. Si el defecto óseo es de gran tamaño e inaccesible a los insertos, se procede a realizar un corte de por lo menos 3 mm de ápice radicular conteniendo los posibles conductos aún infectados11 empleando habitualmente insertos de borde aserrado con/sin marcas de medición para un trabajo seguro7 (Figura 7).

Aunque algunos autores recomiendan evitar los ángulos en bisel para no exponer excesivamente túbulos dentinarios por riesgo de una posterior microfiltración18, en la cirugía apical piezoeléctrica recomendamos realizar un bisel externo para tener un mejor acceso al ápice. La configuración de los insertos de piezoeléctrico permiten realizar un corte lo más cercano a los 0°-10° de bisel11 con acceso adecuado a la zona de posterior obturación (Figura 8).

Figura 8. Excéresis (a) y curetaje apical (b) que garantice una zona limpia para la terapia endodóntica apical.

 

Si el tratamiento de conducto previo es reciente y no está contaminado, se procede al cierre de la herida, previa evaluación de la necesidad de material de regeneración ósea en la zona. Si el tratamiento de conducto previo es de larga data y se encuentra contaminado, se procede a la preparación apical de la zona con los kits de insertos endodónticos, a una profundidad de 3 a 4 mm19 y mediante un movimiento vertical vibratorio constante sin pulsaciones que puedan causar microgrietas en la superficie.20 Los insertos especializados poseen diferentes angulaciones y configuraciones, lo que aporta versatilidad al proceso. La conformación más usada es la del inserto angulado de extremo troncocónico sin o con superficie diamantada con grano de 30 um en los milímetros finales. Tiene como función principal la limpieza y conformación del canal (Figura 9).

Figura 9. Preparación retrógrada del conducto radicular apical utilizando insertos de punta diamantada de diferentes angulaciones y calibres.

 

Para la obturación retrograda, el sellador más usado es el agregado de trióxido mineral (MTA)21 por sus propiedades hidrofílicas y de biocompatibilidad que favorece la neoformación ósea.3 Luego de la desinfección y secado, se realiza la obturación-compactación de rutina y se culmina con la reposición de los tejidos gingivales a través de puntos de sutura (Figura 10).</strong>

Figura 10. Obturación del conducto radicular por vía retrógrada apical (a). Colocación de material de relleno óseo y membrana de barrera reabsorvible (b, c). Reposición del colgajo y sutura (d).

 

Caso clínico: Apicectomía/curetaje apical y obturación retrógrada

Paciente de sexo femenino de 46 años, llega a la consulta por presentar odontalgia en la pieza 2.1. Al examen clínico se observa restauración coronaria con ausencia de movilidad dentaria y la paciente refiere dolor a la percusión vertical. En la evaluación tomográfica se observó tratamiento de conducto radicular y espigo intrarradicular acompañado de imagen hipodensa a nivel apical compatible con proceso infeccioso crónico. Se procede a realizar apicectomía mediante técnica por desgaste, finalizando con la preparación y obturación de conducto radicular apical por vía retrógrada.

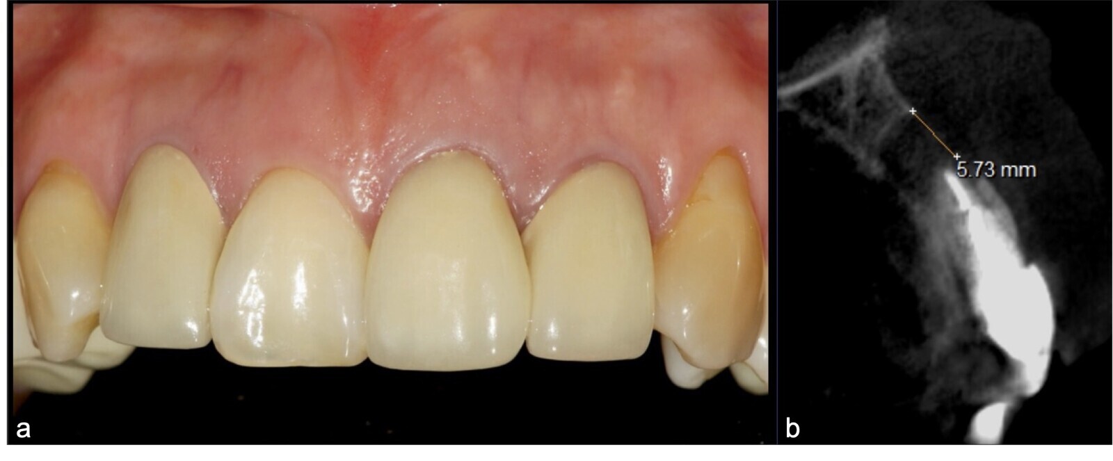
Figura 11. Fotografía frontal en la que el paciente presenta línea de sonrisa baja, y coronas de porcelana definitivas en incisivos superiores.

 

Figura 12. Fotografía frontal: restauraciones cerámicas definitivas, con ausencia de lesiones fistulosas (a). Corte sagital de TCCB pieza 2.1: imagen hipodensa compatible con lesión periapical osteolítica de aproximadamente 5.73 cm de diámetro, con compromiso de la tabla vestibular y palatina (b).

 

Figura 13. Secuencia de elevación del colgajo semilunar, eliminación de tejido granulomatoso y acceso a la zona periapical de la pieza 2.1 con inserto redondo de punta diamantada (a, b, c).

 

Figura 14. Acceso con osteotomía selectiva utilizando el inserto redondo de punta diamantada (a). Identificación del ápice y biselado apical con el inserto plano de punta diamantada (b).

 

Figura 15. Lecho quirúrgico limpio y delimitado (a, b, c).

 

Figura 16. Medición de la profundidad de trabajo del inserto (a) con la sonda Carolina del Norte (b).

 

Figura 17. Limpieza periradicular con inserto angulado de punta diamantada (a, b).

 

Figura 18. Finalización de la preparación del conducto radicular apical por vía retrógrada (a). Defecto óseo con comunicación palato-vestibular (b).

 

Figura 19. Agregado de Trióxido Mineral (a) para la obturación del conducto (b).

 

Figura 20. Biomaterial de relleno óseo: xenoinjerto bovino en bloque (a, b, c, d).

 

Figura 21. Injerto en bloque (a, b) combinado con antibiótico (clindamicina, tetraciclina).

 

Figura 22. Secuencia del llenado del lecho quirúrgico con xeoinjerto en bloque y particulado (a, b, c).

 

Figura 23. Compactación del biomaterial (a). Sutura con hilo de monofilamento (b).

 

Figura 24. Vista sagital TCCB pieza 2.1. Preoperatorio: imagen hipodensa de 6 mm de diámetro con osteólisis y pérdida de tabla vestibular y palatina (a). Control a los 3 años: imagen hiperdensa compatible con zona regenerada a nivel apical, con presencia de cortical palatina y vestibular (b). Vista coronal TCCB pieza 2.1 control a los 3 años: imagen hiperdensa compatible con hueso en proceso de reparación, presencia de cortical palatina y vestibular (c).

 

Conclusión

La piezocirugía endodóntica apical conserva la mayor cantidad de raíz y hueso circundante sano y obtiene una cicatrización ósea completa en el 74% de los casos al año de tratamiento, lo cual demuestra claramente su efectividad clínica.

Ver el próximo miércoles el siguiente artículo de la serie:

Piezocirugía (6). Exodoncia de terceros molares simplificada

 

ARTICULOS RELACIONADOS

Piezoeléctrico + Motor de implantes en un solo dispositivo

Nota Editorial

 

Fecha de publicación de la serie de artículos del libro “Cirugía Piezoeléctrica: Generalidades y aplicaciones clínicas”.

 

Septiembre 18

Piezocirugía 1. Las ventajas clínicas de la Cirugía Piezoeléctrica

 

Septiembre 25

Piezocirugía 2. "Esta tecnología cambió totalmente mi práctica clínica"

 

Octubre 2

Piezocirugía 3. La importancia de la biología ósea

 

Octubre 9

Piezocirugía 4. Principios generales de la Piezocirugía

 

Octubre 16

Piezocirugía 5. El éxito de la cirugía apical en endodoncia

 

Octubre 23

Piezocirugía 6. Exodoncia de terceros molares simplificada

 

Octubre 30

Piezocirugía 7. "Esta tecnología corta solo tejidos duros"

 

Noviembre 6

Piezocirugía 8. La llegada de la exodoncia atraumática

 

Noviembre 13

Piezocirugía 9. Ventajas del piezoeléctrico en la terapia sinusal

 

Noviembre 20

Piezocirugía 10. Efectividad del piezoeléctrico en la terapia ósea regenerativa

 

Noviembre 27

Piezocirugía 11. Casos clínicos de terapia ósea regenerativa con piezoeléctrico

 

Libro “Cirugía Piezoeléctrica: Generalidades y aplicaciones clínicas”.

 

Referencias

  1. Lui JN, Khin MM, Krishnaswamy G, et al. Prognostic factors relating to the outcome of endodontic microsurgery. J Endod. 2014;40(8):1071-1076.
  2. Kerekes K, Tronstad L. Long-term results of endodontic treatment performed with a standardized technique. J Endod. 1979;5(3):83-90.
  3. Lieblich SE. Endodontic surgery. Dent Clin North Am. 2012;56(1):121-ix.
  4. Walton RE, Ardjmand K. Histological evaluation of the presence of bacteria in induced periapical lesions in monkeys. J Endod.1992;18(5):216-27.
  5. Tronstad L, Barnett F, Cervone F. Periapical bacterial plaque in teeth with refractory to endodontic treatment. Endod Dent Traumatol. 1990;6(2):73-7.
  6. Jepsen K, Schneider E, Dommisch H, et al. Management of a Central Incisor with Horizontal Root Fracture for Esthetic and Functional Rehabilitation. Int J Periodontics Restorative Dent. 2016;36(1):65-73.
  7. Brito-Junior M, Faria-e-Silva AL, Quintino AC, et al. Orthograde retreatment failure with extruded MTA apical plug in a large periradicular lesion followed by surgical intervention: case report. Gen Dent. 2012;60(2):96-100.
  8. Szalma J, Soós B, Krajczár K, et al. Piezosurgical management of sealer extrusion-associated mental nerve anaesthesia: A case report. Aust Endod J. 2019;45(2):274-280.
  9. Kang M, In Jung H, Song M, et al. Outcome of nonsurgical retreatment and endodontic microsurgery: a meta-analysis. Clin Oral Investig. 2015;19(3):569-582.
  10. Abella F, de Ribot J, Doria G, et al. Applications of piezoelectric surgery in endodontic surgery: a literature review. J Endod. 2014;40(3):325-332.
  11. Kim S, Kratchman S. Modern endodontic surgery concepts and practice: a review. J Endod. 2006;32(7):601-23.
  12. Song M, Nam T, Shin SJ, Kim E. Comparison of clinical outcomes of endodontic microsurgery: 1 year versus long-term follow-up. J Endod. 2014;40(4):490-494.
  13. Lofthag-Hansen S, Huumonen S, Gröndahl K, et al. Limited cone-beam CT and intraoral radiography for the diagnosis of periapical pathology. Oral Surg Oral Med Oral Pathol Oral Radiol Endod. 2007;103(1): 114-9.
  14. Strbac GD, Schnappauf A, Giannis K, et al. Guided Modern Endodontic Surgery: A Novel Approach for Guided Osteotomy and Root Resection. J Endod. 2017;43(3):496-501.
  15. Moreno-Rabié C, Torres A, Lambrechts P, et al. Clinical applications, accuracy and limitations of guided endodontics: a systematic review. Int Endod J. 2020;53(2):214-231.
  16. Kocyigit ID, Atil F, Alp YE, et al. Piezosurgery versus conventional surgery in radicular cyst enucleation. J Craniofac Surg. 2012; 23(6):1805-8.
  17. Hirsch V, Kohli MR, Kim S. Apicoectomy of maxillary anterior teeth through a piezoelectric bony-window osteotomy: two case reports introducing a new technique to preserve cortical bone. Restor Dent Endod. 2016;41(4):310-315.
  18. Gagliani M, Taschieri S, Molinari R. Ultrasonic root-end preparation: influence of cutting angle on the apical seal. J Endod. 1998;24(11):726-30.
  19. Rubinstein RA, Kim S. Short-term observation of the results of endodontic surgery with the use of surgical operation microscope and Super-EBA as root end filling material. J Endod. 1999;25(1):43-8.
  20. Del Fabbro M, Tsesis I, Rosano G, et al. Scanning electron microscopic analysis of the integrity of the root-end surface after root-end management using piezoelectric device: a cadaveric study. J Endod. 2010;36(10):1693-7.
  21. Tsesis I, Rosen E, Taschieri S, et al. Outcomes of surgical endodontic treatment performed by a modern technique: an updated meta-analysis of the literature. J Endod. 2013;39(3):332-9.
  22. Bastien AV, Adnot J, Moizan H, et al. Secondary surgical decompression of the inferior alveolar nerve after overfilling of endodontic sealer into the mandibular canal: Case report and literature review. J Stomatol Oral Maxillofac Surg. 2017;118(6):389-392.

 

 

 

To post a reply please login or register
advertisement
advertisement