Caso clínico elaborado por expertos internacionales en Cirugía Bucal e Implantología de la Universidad de Valencia, España. Los autores son también los directivos de una verdadera primicia en el campo de la educación odontológica: el Primer Master Internacional ONLINE en Cirugía Oral e lmplantología, curso universitario que comienza en septiembre de 2020. Más información al final del artículo.
Por David Peñarrocha Oltra, David Soto Peñaloza, Juan Carlos Bernabeu Mira, Miguel Peñarrocha Diago
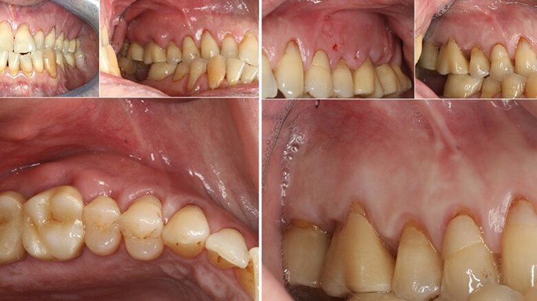
La patología sinusal de origen odontogénico está asociada a procesos infecciosos endodónticos o periodontales que afectan a los segundos premolares y molares superiores, debido a la estrecha relación anatómica existente con el seno maxilar, siendo la afectación sinusal en la mayoría de las veces de carácter unilateral. En el presente artículo, se documenta la resolución de un caso de sinusitis maxilar de prominente origen dental, y leve sintomatología sinusal, asociada a una periodontitis apical sintomática. La patología sinusal y dental es tratada de forma satisfactoria mediante cirugía periapical como tratamiento primario. Los resultados clínicos se presentan con 12 meses de evolución.
Significado clínico
Una adecuada anamnesis es de vital importancia para el diagnóstico clínico y radiológico de las alteraciones del seno maxilar asociadas a patologías de origen dental. Es de especial interés monitorizar la presencia de patología en los dientes antrales (segundos premolares y molares superiores) ya que son más propensos a padecer de enfermedad periodontal, lesiones de furca y lesiones periapicales de origen endodóntico, y que pueden diseminarse hacia la cavidad sinusal, debido a su estrecha relación anatómica.
VER CASO CLINICO: SOLO DISPONIBLE PARA SUSCRIPTORES
Caso clínico elaborado por expertos internacionales en Cirugía Bucal e Implantología de la Universidad de Valencia, España. Los autores son también los...
Este caso clínico ha sido elaborado por expertos internacionales en Cirugía Bucal e Implantología de la Universidad de Valencia, España. Los autores son...
El autor describe las ventajas de la cirugía piezoeléctrica para la extracción atraumática de dientes. Esta tecnología ultrasónica permite realizar ...
El autor describe las ventajas de la cirugía piezoeléctrica para la extracción atraumática de dientes. Esta tecnología ultrasónica permite realizar ...
Caso clínico elaborado por expertos internacionales en Cirugía Bucal e Implantología de la Universidad de Valencia, España, donde se describe el manejo ...
Los responsables del desarrollo del nuevo motor quirúrgico Implantmed Plus II, Isabella Schmied, Gerente de Producto de Cirugía Oral, y Andreas ...
Uno de los problemas más difíciles de manejar en odontología son las infecciones de origen odontogénico, que pueden ser de bajo ...
Uno de los problemas más difíciles de manejar en odontología son las infecciones de origen odontogénico, que pueden ser de bajo ...
Caso clínico elaborado por expertos internacionales en Cirugía Bucal e Implantología de la Universidad de Valencia, España, donde se describe el manejo ...
Segundo de una serie de seis artículos. Este artículo es un resumen del capítulo sobre “Patologías del seno maxilar” del libro “Elevación ...
Webinars en vivo
dom. 3 de mayo 2026
10:00 CST (Mexico City)
Dr. Rickard Brånemark MSc, MD, PhD, Dr. Robert Gottlander DDS
Webinars en vivo
dom. 3 de mayo 2026
18:00 CST (Mexico City)
Webinars en vivo
mar. 5 de mayo 2026
8:00 CST (Mexico City)
Webinars en vivo
mar. 5 de mayo 2026
10:00 CST (Mexico City)
Webinars en vivo
mar. 5 de mayo 2026
11:00 CST (Mexico City)
Dr. Maximilian Dobbertin M.Sc
Webinars en vivo
mar. 5 de mayo 2026
13:00 CST (Mexico City)
Webinars en vivo
mié. 6 de mayo 2026
11:00 CST (Mexico City)
To post a reply please login or register