Search Dental Tribune

Resolución de sinusitis maxilar odontogénica mediante cirugía periapical

Control tomográfico a los 12 meses. A) Corte en el plano axial: se observa la cavidad sinusal sin opacificación. B) Corte coronal: se observa la cavidad sinusal limpia, la zona apical se observa más radiodensa, lo que sugiere la formación de hueso nuevo. C) Corte sagital: se aprecia cómo el engrosamiento de la membrana se asocia a la presencia del septo óseo del seno maxilar.
Dental Tribune International

Dental Tribune International

sáb. 18 julio 2020

guardar

Este caso clínico ha sido elaborado por expertos internacionales en Cirugía Bucal e Implantología de la Universidad de Valencia, España. Los autores son también los directivos de una verdadera primicia en el campo de la educación odontológica: el Primer Master Internacional ONLINE en Cirugía Oral e lmplantología, curso universitario que comienza en septiembre de 2020. Más información al final del artículo.

  CASO CLINICO 

La patología sinusal de origen odontogénico está asociada a procesos infecciosos endodónticos o periodontales que afectan a los segundos premolares y molares superiores, debido a la estrecha relación anatómica existente con el seno maxilar, siendo la afectación sinusal en la mayoría de las veces de carácter unilateral. En el presente artículo, se documenta la resolución de un caso de sinusitis maxilar de prominente origen dental, y leve sintomatología sinusal, asociada a una periodontitis apical sintomática. La patología sinusal y dental es tratada de forma satisfactoria mediante cirugía periapical como tratamiento primario. Los resultados clínicos se presentan con 12 meses de evolución.

Significado clínico

Una adecuada anamnesis es de vital importancia para el diagnóstico clínico y radiológico de las alteraciones del seno maxilar asociadas a patologías de origen dental. Es de especial interés monitorizar la presencia de patología en los dientes antrales (segundos premolares y molares superiores) ya que son más propensos a padecer de enfermedad periodontal, lesiones de furca y lesiones periapicales de origen endodóntico, y que pueden diseminarse hacia la cavidad sinusal, debido a su estrecha relación anatómica.

Introducción

La sinusitis maxilar crónica puede ser de origen rinogénico, carcinogénico, neoplásico, alérgico, iatrogénico y odontogénico (1). La etiopatogenia de la sinusitis maxilar de origen odontogénico (SMO) radica en la estrecha relación de los dientes antrales (premolares y molares superiores) y el seno maxilar. Estos dientes muestran una alta prevalencia de enfermedad periodontal, afectación de la furca inter-radicular y lesiones periapicales (2,3).

En algunas situaciones, estas estructuras están separadas por una densa cortical, pero en otros casos por una fina cortical recubierta de la membrana mucoperióstica. En presencia de patología periapical, esta estrecha relación se asocia con cambios anatómicos del seno maxilar como el engrosamiento de la membrana de sinusal y opacificaciones completas como la sinusitis maxilar odontogénica (4). A diferencia de la rinosinusitis crónica, que presenta una afectación bilateral de los senos maxilares, la sinusitis maxilar de origen odontogénico se suele presentar como una afectación unilateral del seno (5).

Una adecuada técnica de hemostasia es esencial en cirugía periapical, ya que mejora la visibilidad del campo operatorio, permite un adecuado manejo del material de obturación retrógrado, y reduce el tiempo operatorio.

La tomografía computarizada de haz cónico (TCHC) es la técnica estándar para la evaluación preoperatoria del maxilar posterior y el seno maxilar. La diferencia de riesgo estimada en un trabajo meta-analítico basado en 1190 senos maxilares evaluados con TCHC sugiere que 37 de cada 100 individuos con lesiones periapicales en dientes antrales, pueden padecer sinusitis maxilar de origen odontogénico; por otro lado, 36 de cada 100 pueden sufrir un engrosamiento de la membrana sinusal mayor a 2 mm en dientes antrales con afectación periapical (6).

El tratamiento de la sinusitis maxilar de origen odontogénico consiste en combinar la remoción quirúrgica del foco etiológico dental; en algunos casos se debe realizar la cirugía endoscópica funcional, complementado con cobertura antibiótica y antiinflamatoria.

La secuencia óptima de tratamiento es aún debatida en la literatura, debido a la limitada cantidad de evidencia. Por tanto, la decisión de realizar la cirugía endoscópica como intervención primaria, y el tratamiento del foco dental en una segunda instancia, dependerá en gran medida de la severidad de los síntomas (7).

El presente trabajo tiene como objetivo presentar la resolución de un caso de SMO asociado a periodontitis apical tratado con cirugía periapical.

Presentación clínica

Paciente de 37 años de edad referido a la Unidad de Cirugía Bucal de la Facultad de Medicina y Odontología de la Universidad de Valencia, en abril de 2018. El paciente presenta aparente buen estado general, no refiere antecedentes médicos ni sistémicos de consideración, no bebe y no fuma. Refiere dolor a nivel del 2.6 que está endodonciado, y rinorrea unilateral del lado izquierdo.

La combinación de una buena anamnesis, planificación clínica y ejecución quirúrgica, con un seguimiento postoperatorio acucioso, permitió alcanzar la resolución de un caso de SMO asociada a una periodontitis apical sintomática mediante cirugía periapical.

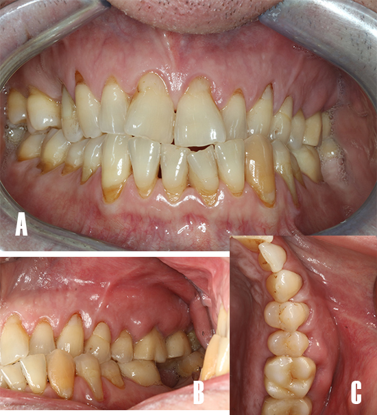
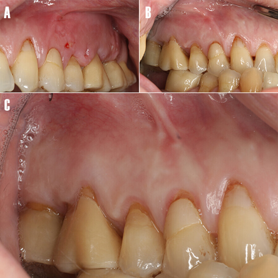
A la exploración clínica se observan recesiones gingivales generalizadas, y restauraciones con resina en la zona cervical de los dientes (Fig. 1A), presenta una restauración ceramo-metálica a nivel de 2.6 y 2.7, los tejidos blandos anexos al diente afecto se observan tumefactos, sin secreciones purulentas ni tracto sinuoso (Fig. 1B).

Figura 1. Fotografía intraoral. A) Vista frontal: nótese las recesiones gingivales generalizadas y restauraciones con resina en cervical de los dientes. B) Imagen lateral: nótese la zona tumefacta a nivel de 26 y 27. C) Vista oclusal: se observa el absceso periodontal tumefacto extendiéndose de distal 25 a media 27.

Figura 1. Fotografía intraoral. A) Vista frontal: nótese las recesiones gingivales generalizadas y restauraciones con resina en cervical de los dientes. B) Imagen lateral: nótese la zona tumefacta a nivel de 26 y 27. C) Vista oclusal: se observa el absceso periodontal tumefacto extendiéndose de distal 25 a media 27.

El molar 2.6 presentaba dolor a la percusión. Tras la evaluación periodontal se observan bolsas periodontales y sangrado al sondaje en la zona mesio-vestibular de 2.7 y 2.8. Los valores medios de pérdida de inserción clínica (2mm), la profundidad de sondaje (1.7 mm), índice de placa (19%) y sangrado al sondaje (9%), nos indican que estamos ante un caso de periodontitis (Estadío I) de complejidad localizada (<30% dientes). El caso periodontal está modificado por la presencia de absceso periodontal/lesión endo-periodontal, recesiones gingivales, fuerzas oclusales traumáticas.

Evaluación radiológica

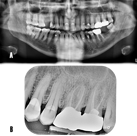
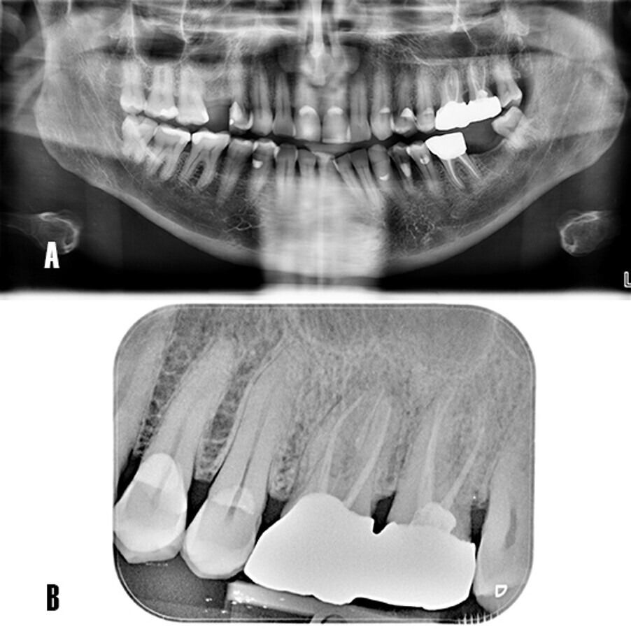
Tras realizar la evaluación radiológica bidimensional, en la ortopantomografía se observa los dientes 2.6 y 2.7 endodonciados y ferulizados mediante prótesis fija cementada (Fig. 2A). La radiografía periapical no evidencia una radiotransparencia bien definida a nivel apical. Las crestas alveolares interproximales se observan íntegras con bordes corticalizados bien definidos (Fig. 2B).

Fig. 2

Figura 2. Evaluación radiológica bidimensional. A) La ortopantomografía advierte el tratamiento de conductos a nivel 26 y 27, portadores de prótesis fija metal-cerámica. B) La radiografía periapical muestra los dientes 26 y 27 endodonciados, se observa una imagen radiotransparente poco definida en apical de 26.

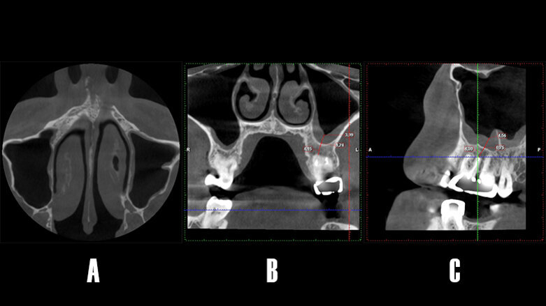
La TCHC muestra una imagen osteolítica menos radiodensa que afecta la región apical de 2.6, esta lesión compatible con un proceso osteolítico, es visible en los planos axial, coronal y sagital. Además, se observa cómo el seno maxilar izquierdo, relacionado al diente afectado, se torna más radiodenso y totalmente ocupado (Fig. 3).

Fig3

Figura 3. Tomografía de haz cónico. A) Corte en el plano axial: se puede observar un área poco radiodensa en la raíz palatina de 26, y advierte la presencia de un proceso osteolítico de origen endodóntico. B) Corte coronal: se observa cómo el patrón de la lesión se extiende en sentido vestíbulo-palatino, además, se aprecia la cavidad sinusal anexa al diente afecto muy radiodensa respecto a su par contralateral. D) Corte sagital: se aprecia la opacificación completa del seno maxilar, la presencia de una septo óseo. La lesión apical tiene una mayor dimensión en la raíz palatina de 26.

Tratamiento

Basado en la anamnesis y la evaluación clínica, el diente afectado presenta una periodontitis apical sintomática, la cual se ha diseminado de forma secundaria a la cavidad sinusal produciendo una SMO.

El diente afectado se trata mediante cirugía periapical. Se utiliza membranas de A-PRF+ para rellenar la cripta ósea y cubrir la ostectomía de acceso a manera de barrera. El paciente autoriza el tratamiento mediante la firma de un consentimiento informado, así como el empleo de sus datos para fines de investigación.

¡EXCLUSIVO: Inscríbete al Primer Máster Online Cirugía e Implantología de la Universidad de Valencia haciendo click aquí y pide el descuento de Dental Tribune!

Preparación de membranas de A-PRF+

Se realiza la venopunción de la vena cubital media para extraer tres tubos de vidrio de 10 ml sin aditivos (Plain Vacuum Tube, A-PRF™+, Process for PRF, Nice, France). Los tubos fueron centrifugados a 1300 rpm (208 g) durante 8 minutos (A-PRF™ DUO centrifuge, Process for PRF). Los coágulos de fibrina obtenidos se extrajeron con pinzas especiales y tijeras, evitando el componente de sangre roja debajo de la capa leucocitaria. La fibrina se procesa en un recipiente estéril, para la obtención de membranas con un espesor estandarizado (PRF-BOX, Process for PRF).

Técnica quirúrgica

La cirugía se realizó bajo anestesia local infiltrativa con articaína al 4% (1:100,000) (Inibsa; Lliça de Vall, Barcelona, Spain). Se realizó una incisión a espesor completo con una hoja bisturí 15c, para elevar un colgajo mucoperióstico de Newmann trapezoidal. Tras la elevación del colgajo se realizó una osteotomía con una fresa redonda de carburo tungsteno 0.27mm de diámetro (Jota AG, Rüthi SG, Switzerland) empleando una pieza de mano recta 1:1 (Synea Vision, W&H Dentalwerk, Bürmoos, Austria). Tras acceder a la cripta ósea, se realizó la resección de la porción apical de las raíces, se instrumentó una cavidad retrógrada de 3 mm de profundidad con puntas ultrasónicas (Piezomed, W&H Dentalwerk, Bürmoos, Austria). La hemostasia se realizó empleando gasas estériles impregnadas con epinefrina (B. Braun, 1 mg/ml; Rubí, Barcelona, Spain) y con tiras de politetrafluoretileno (PTFE) previamente esterilizadas en autoclave, y que se compactaron dentro de la cripta ósea (Fig. 4).

Fig4

Figura 4. Técnica quirúrgica. A) Incisión a espesor total para elevar un colgajo de Newmann trapezoidal. B) Despegamiento del colgajo. Se observa la cortical vestibular intacta. C) Ostectomía de acceso a la cripta ósea, nótese el tamaño de la lesión. D) Hemostasia: esta se obtiene aplicando gasas impregnadas con epinefrina y tiras de PTFE compactadas hacia las paredes de la cripta ósea, y surte un efecto de barrera mecánica.

La cavidad retrógrada se secó con puntas de papel estériles y luego se obturó con mineral trióxido agregado (MTA, Dentsply Tulsa Dental, Tulsa, OK, USA). Se colocaron membranas de A-PRF+ para rellenar la cripta ósea y para cubrir la ostetomía de acceso. El colgajo se suturó con puntos interrumpidos empleando seda no reabsorbible (Fig. 5).

Fig5

Figura 5. Obturación retrógrada. A) Cavidades apicales son obturadas con MTA. B) La cripta ósea se rellena con membranas de A-PRF+. C) La osteoctomía es cubierta con una membrana de fibrina rica en plaquetas. D) Sutura del colgajo con puntos interrumpidos.

Se indicó una radiografía periapical postoperatoria inmediata (Fig. 6).

Fig6

Figura 6. Radiografía postoperatoria inmediata.

Se suministró 1 gramo de amoxicilina 1 hora antes de la cirugía. Se indicaron cuidados post-operatorios y terapia analgésica durante 3 días.

Tratamiento farmacológico de la sinusitis maxilar de origen odontogénico

El enfoque terapéutico fue combinado y paralelo a la remoción quirúrgica del foco de infección. El objetivo tras la cirugía fue proporcionar cobertura antibiótica que cubra el espectro polimicrobiano inherente a este tipo de patologías. Por lo que se prescribió amoxicilina 875mg + ácido clavulánico 125mg durante 14 días. Por otro lado, debido a que la inflamación generalizada de la membrana de Schneider producía una obliteración del ostium maxilar impidiendo un adecuado drenaje mucoso, se indicaron corticoides tópicos Nasonex 50 mgr (Fluorato de mometasona) en forma de spray nasal 3 veces al día durante un mes, y vasoconstrictores Pensa (Nafazolina 0.05%) en forma de spray nasal 3 veces al día para facilitar su permeabilización.

Resultado clínico

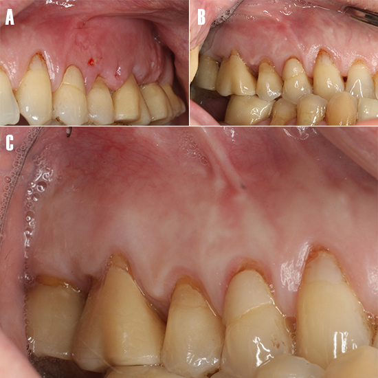
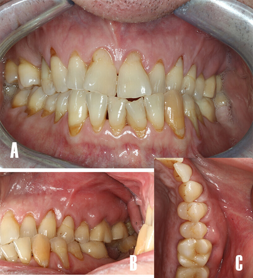
La sutura se removió una semana después de la cirugía. Se pudo observar como la tumefacción de los tejidos blandos remitió (Fig. 7A). El paciente fue citado 4 semanas tras la cirugía para monitorizar la sintomatología clínica y evaluar la zona tratada (Fig. 7B). A los 12 meses se reevaluó el caso (Fig. 7C) y se realizó una TCHC para valorar el seno maxilar afectado, se pudo observar como la cicatrización de la periodontitis apical y la patología sinusal remitieron (Fig. 8).

Fig7

Figura 7. Evolución clínica tras la cirugía. A) Tejidos blandos tras el retiro de puntos a los 7 días, observándose cierta inflamación. B) A los 30 días, se aprecia que la inflamación ha remitido en su totalidad. C) Estado periodontal a los 12 meses.

 

Figura 8. Control tomográfico a los 12 meses. A) Corte en el plano axial: se observa la cavidad sinusal sin opacificación. B) Corte coronal: se observa la cavidad sinusal limpia, la zona apical se observa más radiodensa, lo que sugiere la formación de hueso nuevo. C) Corte sagital: se aprecia cómo el engrosamiento de la membrana se asocia a la presencia del septo óseo del seno maxilar.

Figura 8. Control tomográfico a los 12 meses. A) Corte en el plano axial: se observa la cavidad sinusal sin opacificación. B) Corte coronal: se observa la cavidad sinusal limpia, la zona apical se observa más radiodensa, lo que sugiere la formación de hueso nuevo. C) Corte sagital: se aprecia cómo el engrosamiento de la membrana se asocia a la presencia del septo óseo del seno maxilar.

Discusión

El presente caso clínico muestra la evolución satisfactoria tras un año de seguimiento desde la cirugía endodóntica.

Los agentes infecciosos forman biopelículas en la raíz del diente, y suelen ser resistentes a los antibióticos e incluso al tratamiento endodóntico ortógrado (9). Las patologías periodontales y dentales son polimicrobianas (p.ej. anaerobios, aerobios, infecciones fúngicas por aspergillus y cándida) (10). La familia Actinomyces es prevalente en las lesiones apicales persistentes, y evita la fagocitosis (9). Además, el 70% de las bacterias que provocan sinusitis son susceptibles al ácido clavulánico, debido a que el 80% de los estafilococos, bacterias aerobias presentes en la sinusitis maxilar de origen odontogénico, producen betalactamasa (10).

La eliminación del foco de infección desencadenante de la sinusitis maxilar de origen odontogénico es esencial para prevenir la persistencia de la sintomatología clínica (8) y resolución de la enfermedad. Existe un fuerte consenso a favor del seguimiento del paciente durante uno o dos meses tras el tratamiento dental, para confirmar la resolución de sinusitis maxilar de origen odontogénico. En caso sintomatología persistente tras este periodo, la cirugía endoscópica funcional debe ser indicada (7).

El enfoque terapéutico presentado combina la cirugía dental como abordaje primario, junto a un enfoque antibiótico y antiinflamatorio. Esto se debe a que el paciente presentaba una sintomatología rinosinusal tolerable y mínima, además de mostrar una afectación unilateral de los senos maxilares, asociada a un prominente compromiso de origen dental.

Una adecuada técnica de hemostasia es esencial en cirugía periapical. Esta mejora la visibilidad del campo operatorio, permite un adecuado manejo del material de obturación retrógrado, y reduce el tiempo operatorio.

En el presente caso, hemos empleado tiras de PTFE como adyuvante a las gasas impregnadas con epinefrina; esta técnica hemostática en cirugía periapical ha mostrado una eficacia en el control de sangrado similar a la del cloruro de aluminio (12).

Su aplicación es de especial interés en sitios con estrecha relación a estructuras críticas, como lo son el piso del seno maxilar y la membrana sinusal. A diferencia de otros hemostáticos, las tiras de PTFE no se adhieren a las paredes de la cripta ósea, facilitando su completa remoción. Se trata de una opción barata, fácil de implementar e inocua, pues no deja trazas de material que puedan afectar la cicatrización.

A este respecto, se ha reportado como otros materiales hemostáticos (p.ej., cera de hueso, cloruro de aluminio), han mostrado efectos citotóxicos que pueden exacerbar la respuesta inflamatoria postoperatoria (13).

Conclusión

En resumen, la combinación de una buena anamnesis, planificación clínica y ejecución quirúrgica, con un seguimiento postoperatorio acucioso, es un enfoque que permitió alcanzar la resolución de un caso de sinusitis maxilar odontogénica asociada a una periodontitis apical sintomática mediante cirugía periapical. Cabe mencionar que la decisión de proceder con el abordaje odontológico como enfoque primario dependerá de la sintomatología y clínica del paciente.

Autores

  • David Peñarrocha Oltra, DDS, PhD, Profesor Contratado, Doctor, Unidad de Cirugía Bucal e Implantología Oral, Facultad de Medicina y Odontología, Universidad de Valencia, Valencia, España.
  • David Soto Peñaloza, DDS, MSc, PhD, Máster de Cirugía Bucal e Implantología Oral, Facultad de Medicina y Odontología, Universidad de Valencia, Valencia, España.
  • Juan Carlos Bernabeu Mira,, DDS, MSc, Máster de Cirugía Bucal e Implantología Oral, Facultad de Medicina y Odontología, Universidad de Valencia, Valencia, España.
  • Miguel Peñarrocha Diago, DMD, DDS, PhD, Catedrático de Cirugía Bucal, Facultad de Medicina y Odontología, Universidad de Valencia, Valencia, España.

Correspondencia: David Soto Peñaloza. Correo electrónico: dr.davidsotpe@gmail.com 

NOTA: Los autores son los directivos de un extraordinario equipo compuesto por 100 expertos de prestigio internacional que impartirán el Primer Master Internacional ONLINE en Cirugía Oral e lmplantología de la Universidad de Valencia, España. Este Máster universitario es una oportunidad única para aprender de grandes figuras desde la comodidad de tu hogar o clínica. Consulta el programa completo siguiendo el enlace bajo estas líneas. 

Referencias

  1. Arias-Irimia O, Barona-Dorado C, Santos-Marino JA, Martínez-Rodríguez N, Martínez-González JM. Meta-analisis of the etiology of odontogenic maxillary sinusitis. Med Oral Patol Oral Cir Bucal. 2010;15:e70-3.
  2. Nascimento EHL, Pontual MLA, Pontual AA, Freitas DQ, Perez DEC, Ramos-Perez FMM. Association between Odontogenic Conditions and Maxillary Sinus Disease: A Study Using Cone-beam Computed Tomography. J Endod. 2016;42:1509-15.
  3. Lemagner F, Maret D, Peters OA, Arias A, Coudrais E, Georgelin-Gurgel M. Prevalence of Apical Bone Defects and Evaluation of Associated Factors Detected with Cone-beam Computed Tomographic Images. J Endod. 2015;41:1043-7.
  4. Walter C, Weiger R, Zitzmann NU. Periodontal surgery in furcation-involved maxillary molars revisited—an introduction of guidelines for comprehensive treatment. Clin Oral Investig. 2011;15:9-20.
  5. Saibene AM, Pipolo GC, Lozza P, et al. Redefining boundaries in odontogenic sinusitis: a retrospective evaluation of extramaxillary involvement in 315 patients. Int Forum Allergy Rhinol. 2014;4(12):1020-1023.
  6. Peñarrocha-Oltra S, Soto-Peñaloza D, Bagán-Debón L, Bagan JV, Peñarrocha-Oltra D. Association between maxillary sinus pathology and odontogenic lesions in patients evaluated by cone beam computed tomography. A systematic review and meta-analysis. Med Oral Patol Oral Cir Bucal. 2020;25(1):e34-e48.
  7. Craig JR, Tataryn RW, Aghaloo TL, et al. Management of odontogenic sinusitis: multidisciplinary consensus statement [published online ahead of print, 2020 Jun 7]. Int Forum Allergy Rhinol. 2020;10.1002/alr.22598.
  8. Workman AD, Granquist EJ, Adappa ND. Odontogenic sinusitis: developments in diagnosis, microbiology, and treatment. Curr Opin Otolaryngol Head Neck Surg. 2018;26(1):27-33.
  9. Taschieri S, Torretta S, Corbella S, et al. Pathophysiology of sinusitis ofodontogenic origin. J Investig Clin Dent 2017; 8:1-7.
  10. Belibasakis GN, CharalampakisG, Bostanci N, et al. Peri-implant infections of oral biofilm etiology. Adv Exp Med Biol 2015; 830:69-84.
  11. Saibene AM, Vassena C, Pipolo C, et al. Odontogenic and rhinogenic chronic sinusitis: a modern microbiological comparison. Int Forum Allergy Rhinol 2016; 6:41-45.
  12. Peñarrocha-Oltra D, Soto-Peñaloza D, Peñarrocha-Diago M, Cervera-Ballester J, von Arx T Dr. med. dent, Peñarrocha-Diago M. Hemostatic Agents in Endodontic Surgery: A Randomized Controlled Pilot Study of Polytetrafluoroethylene Strips as an Adjunct to Epinephrine Impregnated Gauze Versus Aluminum Chloride. J Endod. 2019;45(8):970-976.
  13. von Arx T, Jensen SS, Hänni S, Schenk RK. Haemostatic agents used in periradicular surgery: an experimental study of their efficacy and tissue reactions. Int Endod J. 2006 Oct;39(10):800-8.

 

To post a reply please login or register
advertisement
advertisement