Search Dental Tribune

Un ensayo clínico frena lesiones orales precancerosas

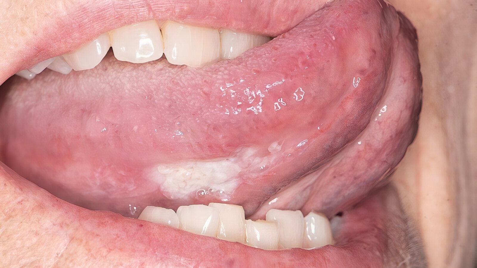
La leucoplasia, lesión precancerosa que se caracteriza por una placa blanca que no se desprende al raspado, podría ser tratada con este compuesto. Foto: UCLA
Consejo General de Dentistas de España

Consejo General de Dentistas de España

jue. 23 abril 2026

guardar

Los resultados del ensayo clínico han sido presentados en la Reunión Anual de 2026 de la Asociación Americana para la Investigación del Cáncer, celebrada en Estados Unidos.

Aproximadamente, el 5% de la población general presenta lesiones precancerosas en la boca que pueden conllevar un riesgo de entre el 1 y el 36% de progresión a cáncer oral, dependiendo del grado de anomalía de las células de la lesión. Y dado que no existen biomarcadores fiables para predecir el riesgo de progresión, muchos pacientes suelen someterse a una resección quirúrgica de sus lesiones, pero este procedimiento se asocia a una elevada morbilidad.Esta semana, en la Reunión Anual de 2026 de la Asociación Americana para la Investigación del Cáncer (AACR), se han presentado los resultados de un ensayo clínico de fase I que podrían abrir la puerta a un tratamiento esperanzador para pacientes con lesiones bucales potencialmente malignas.

El resultado del ensayo clínico nivolumab inyectado es una reducción de la lesión del 60% y una respuesta clínica favorable en el 85% de los pacientes. Gráfico: Consejo General de Dentistas

 

El Dr. Moran Amit, cirujano y profesor adjunto del Centro Oncológico MD Anderson de la Universidad de Texas, ha explicado que en dicho ensayo se incluyeron 29 pacientes con, al menos, una lesión oral potencialmente maligna no tratada. Estos pacientes recibieron 10 mg o 20 mg de nivolumab inyectados directamente en una de sus lesiones orales cada tres semanas durante un total de cuatro ciclos.

Catorce meses después de la primera inyección, el 85% de los pacientes había experimentado una disminución del tamaño de la lesión. De media, el área de la lesión se redujo un 60%, y 19 pacientes experimentaron reducciones superiores al 50%. Además, no se produjeron toxicidades limitantes de la dosis con el tratamiento, pues los acontecimientos adversos más frecuentes fueron fatiga, diarrea y erupción cutánea.

 

La inyección de nivolumab en lesiones bucales potencialmente malignas reduce el tamaño de las lesiones y ha permitido a algunos pacientes evitar la cirugía.

 

Es importante destacar que los resultados reportados por los pacientes indicaban también una calidad de vida mucho mejor en lo que respecta a síntomas relacionados con la cabeza y el cuello, como la deglución, el dolor bucal, la comunicación y el gusto.

Aunque se trata de resultados preliminares y serán necesarios estudios adicionales para confirmar su eficacia a largo plazo, la administración local de inmunoterapia en las lesiones bucales potencialmente malignas representa una prometedora línea futura en el tratamiento de esta patología y un ejemplo del progreso continuo en la investigación biomédica.

Desde el Consejo General de Dentistas y la Fundación Dental Española se han impulsado seis campañas de cáncer oral en los últimos años y, por este motivo, subrayamos la importancia de seguir promoviendo la prevención, el diagnóstico precoz y la investigación. Este tipo de avances refuerza la necesidad de continuar trabajando en nuevas estrategias terapéuticas que mejoren el pronóstico y la calidad de vida de los pacientes.

 

ARTICULOS RECOMENDADOS

_________________________________________________________________________________________________________________

DENTAL SUMMIT COLIFE 2026

El camino hacia la pasividad perfecta en implantología

VER MAS

_________________________________________________________________________________________________________________

DENTAL SUMMIT COLIFE 2026

“La odontología digital potencia nuestro criterio clínico”

VER MAS

_________________________________________________________________________________________________________________

DENTAL SUMMIT COLIFE 2026

Promover la salud oral para reducir la necesidad de restauraciones

VER MAS

_________________________________________________________________________________________________________________

DENTAL SUMMIT COLIFE 2026

La odontología digital es el nuevo standard clínico

Javier de Pisón

VER MAS

_________________________________________________________________________________________________________________

EXPODENTAL MADRID

La robótica, nueva frontera en cirugía implantológica

Javier de Pisón

VER MAS

_________________________________________________________________________________________________________________

EXPODENTAL MADRID

El imparable ímpetu de Expodental Madrid

Javier de Pisón 

VER MAS

_________________________________________________________________________________________________________________

EXPODENTAL MADRID

Factores esenciales para adquirir un escáner intraoral 

Enrique Jadad 

VER MAS

_________________________________________________________________________________________________________________

REPORTAJE, PARTE 1

"Todo sistema que no tenga medición no es fotogrametría"

Javier de Pisón

VER MAS

_________________________________________________________________________________________________________________

REHABILITACION & IMPLANTOLOGIA ORAL

Relevancia de la fotogrametría en casos All-on-X

Enrique Jadad 

VER MAS

_________________________________________________________________________________________________________________

REVISION

Los dientes, guardianes silenciosos de nuestra salud

D. Suárez Quintanilla

VER MAS

_________________________________________________________________________________________________________________

GESTION DE LA CLINICA

Cómo fijar precios en Odontología 

Juan Carlos Mejía

VER MAS

_________________________________________________________________________________________________________________

FORMACION - EDICION ESPECIAL

Nuevas tecnologías en las clínicas universitarias

Varios autores

VER MAS

_________________________________________________________________________________________________________________

CIRUGIA ORAL

Todo lo que necesita saber sobre Cirugía Piezoeléctrica

José Rosas Díaz

VER MAS

_________________________________________________________________________________________________________________

ESTETICA

La belleza dental a través de la historia 

Javier de Pisón

VER MAS

__________________________________________________________________________________________________________________

 

Temas:
To post a reply please login or register
advertisement
advertisement