El siguiente caso fue realizado utilizando el LOCimplant System de ENGimage, el cual consiste en la colocación de los pilares de localización-cicatrización LOC-i, que marcan la posición y orientación de los implantes en boca. Las impresiones en alginato se registran en formato STL para el diseño de la prótesis. Una tomografía CBCT convertida en archivo DICOM se envía luego a ENGimage para alinear los archivos de las impresiones. A continuación, el laboratorio protésico fabrica las coronas de porcelana, buscando el color ideal y comprobando la oclusión y otros parámetros del paciente.
1. Pre - Fase Clínica En la primera cirugía se insertan dos implantes de hexágono interno en las piezas premolares 14 y 15 dentro del primer cuadrante del sector posterior.
2. Fase Clínica: colocación de los LOC-i En una fase posterior a la primera cirugía se colocan los pilares de locacalización-cicatrización LOC-i de la firma ENGimage de 6mm de altura atornillados a la conexión del implante de hexágono interno. Estos localizadores nos marcarán la posición y orientación de los implantes en boca.
3. Fase Clínica: toma de registro El siguiente paso del protocolo de LOCimplant consiste en realizar un registro de alginato en una cubeta cerrada de los tejidos blandos con los pilares de localización puestos en el maxilar de cirugía y otro registro de los dientes antagonistas.
Estas dos impresiones se vacían en clínica para evitar contracciones y son enviadas al laboratorio protésico para ser escaneadas en un escáner de luz, transformando dichas impresiones en formatos STL de la encía y de los dientes antagonistas, referencias necesarias para que el protésico pueda diseñar la posterior prótesis.
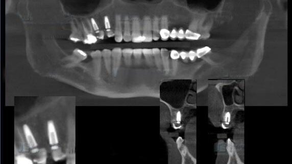
4. Fase Radiológica CBCT Una vez tomados los registros al paciente, éste fue enviado a la sala de radiología para tomarle un CBCT "Disparo Cónico en 3D" del sector donde tenía situado los implantes, concretamente con un FOV de 4x4. La toma se realizó con la inmovilización total de la cabeza del paciente del CBCT y se obtuvo un fichero DICOM que fue enviado a ENGIMAGE vía internet para su posterior procesado y alineación con los ficheros STL resultantes de las impresiones.
5. Procesado y tratamiento de datos en ENGimage Una vez el protésico hubo escaneado los registros anteriores y estos fueron transformados en un archivo STL, éste es enviado a los centros de ENGIMAGE para que junto el archivo DICOM resultante del CBCT fueran alineados por nuestros técnicos, obteniendo la siguiente información protésica: situación y orientación de los implantes, fotografía basal de la encía, dientes antagonistas, línea media, dimensión vertical y oclusión. Esta información será inmediatamente reenviada al laboratorio para el posterior diseño de la prótesis mediante software específico.
6. Fase protésica: creación de estructura sinterizada por CAM Una vez el protésico ha diseñado la prótesis definitiva utilizando todos los parámetros estéticos antes descritos, enviará un fichero STL, con las conexiones correspondientes al tipo de implante utilizado para que el centro de fresado construya la estructura de cromo-cobalto que sustentará la prótesis definitiva atornillada a los implantes.
Una vez fabricada la estructura, el clínico hará una prueba de metal en la boca del paciente para comprobar el ajuste pasivo de la misma y que pasiviza perfectamente.
7. Fase protésica: estética y carga de cerámica Finalmente, el laboratorio protésico construye las coronas de porcelana fresadas y su posterior carga de cerámica, buscando el color ideal y comprobando la oclusión y demás parámetros. Una vez todo es testado, colocamos la prótesis definitiva en boca y constatamos que encaja y se adapta perfectamente en estética y funcionalidad.
* El Dr. Soriano es Co-Director del Departamento de Cirugía, Periodoncia, Prostodoncia e Implantología de la Universidad Alfonso X de Madrid (España), y experto en cirugías avanzadas con atrofias óseas severas y de implantes cigomáticos. ____________________________________________________________________________
El Dr. Edgar Salas ilustra la facilidad en que resulta la colocación de un implante utilizando un nuevo sistema de guías quirúrgicas preformadas. Este ...
El Dr. Edgar Salas ilustra la facilidad en que resulta la colocación de un implante utilizando un nuevo sistema de guías quirúrgicas preformadas. Este ...
Zolid HT+ Preshades pertenecen a una nueva generación de piezas de óxido de circonio de la casa Amann Girrbach, que son el complemento perfecto de la ...
La Clínica Universitaria de la Escuela Superior de Implantología y Rehabilitación Oral (Esiro) anuncia una nueva serie de cursos personalizados para ...
Formación
Webinars en vivo mar. 19 de mayo 2026 9:00 CST (Mexico City)
La odontología moderna ya no depende únicamente de la excelencia clínica.
Hoy, dirigir un consultorio rentable exige saber interpretar datos financieros,...
Decenas de miles de odontólogos, técnicos dentales y estudiantes recorrieron los stands comerciales de los principales distribuidores de la industria ...
To post a reply please login or register