Search Dental Tribune

Colocación de implante con guía quirúrgica preformada

Figura 1. Inicialmente, se debe tener la guía quirúrgica preformada.
Edgar Salas

Edgar Salas

mié. 19 junio 2019

guardar

El Dr. Edgar Salas ilustra la facilidad en que resulta la colocación de un implante utilizando un nuevo sistema de guías quirúrgicas preformadas. Este sistema tiene la gran ventaja de que se puede utilizar sin necesidad de usar un escáner intraoral ni una impresora 3D, dos dispositivos que elevan considerablemente la complejidad, el tiempo y el costo del tratamiento.

  CASO CLINICO  

Paciente que presenta zona edéntula en pieza dentaria 2.5 y 2.6, por lo que se evalúa para la posible colocación de un implante dental en zona del 25 para evitar perforación del seno maxilar, puesto que el paciente no quería procedimientos complejos.

Figura 2. Se realiza una tomografía Cone Beam con la guía puesta en boca del paciente.

 

Figura 3. Ya con la tomografía Cone Beam, se procede a medir altura y espesor óseo.

 

Figuras 4a, 4b. Con la información proporcionada por la tomografía Cone Beam, realizamos la planificación virtual del implante, angulación e inserción ósea, utilizando el software del propio tomógrafo.

 

Figura 5a. Cirugía con la guía quirúrgica y colocación del implante.

 

Figura 5b. Cirugía con la guía quirúrgica y colocación del implante.

 

Figura 5c. Cirugía con la guía quirúrgica y colocación del implante.

 

Figuras 6a, 6b. Tomografía Cone Beam post-quirúrgica.

 

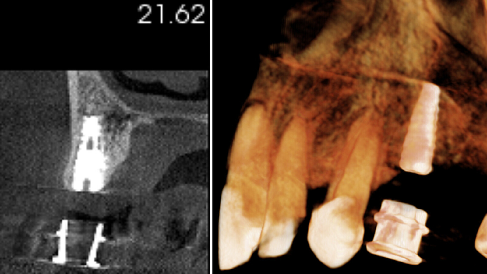
Figuras 7a, 7b PRE Qx. En la tomografía Cone Beam pre-quirúrgica se observa la planificación digital del implante en cuanto a su angulación, dirección y posicionamiento.

 

Figuras 7a, 7b POST Qx. En la tomografía post-quirúrgica se evidencia el implante ya colocado en boca de igual forma a cómo se realizó en la planificación inicial, lo que confirma que esta técnica muy efectiva para el especialista, y que además minimiza riesgos.

 

Conclusión

Este nuevo sistema de guías preformadas simplifica todos los pasos de los procedimientos que se siguen para la colocación de implantes, por lo que es una excelente solución en implantología oral que ahorra tiempo y costos, a la vez ofrece seguridad y efectividad.

_____________________________________________________________________________

* El Dr. Edgar Salas es odontólogo colombiano graduado en la Universidad Javeriana de Bogotá, con especialización en cirugía y patología oral en el mismo centro, implantología (Universidad Militar y Universidad de Miami) y odontología láser (Mastership in Laser Dentistry, Universidad de Barcelona).

NOTA: las Guías Quirúrgicas Preformadas para diferentes procedimientos quirúrgicos dentales, un sistema patentado en Estados Unidos, las distribuye en América Latina la empresa Digital Dental Systems 4D.

 

 

 

 

La impresión 3D transforma la práctica odontológica

Arturo Arciniega destaca que la impresión 3D permite mejorar la precisión de las restauraciones en rehabilitación oral. Fotos: Cortesía del autor

jue. 23 abril 2026

guardar

La odontología vive una transformación profunda impulsada por la digitalización. Tecnologías como el escaneo intraoral, el diseño CAD y la impresión 3D están redefiniendo la forma en que los clínicos planifican, ejecutan y comunican sus tratamientos.

El Dr. Arturo Arciniega Valverde, especialista en rehabilitación oral, implantología y estética, analiza en este artículo cómo estos avances permiten ofrecer una odontología más precisa, eficiente y personalizada.

La incorporación de flujos de trabajo digitales completos ya no es una tendencia, sino una realidad en expansión. En la práctica clínica diaria, estas herramientas permiten optimizar procesos que antes dependían de múltiples pasos analógicos, reduciendo tiempos y mejorando la predictibilidad de los resultados.

“La odontología digital no es una tendencia, es una evolución natural de la profesión”, afirma el Dr. Arciniega.

 

Con más de quince años de experiencia, el Dr. Arciniega ha integrado la tecnología digital en todas las áreas de su consulta. Desde el escaneo intraoral hasta la fabricación mediante impresión 3D, su enfoque se basa en la creación de flujos de trabajo digitales que mejoran la eficiencia y la personalización de los tratamientos.

 

La impresión 3D en la consulta

Uno de los pilares de esta transformación es la impresión 3D, que permite fabricar dispositivos como guías quirúrgicas, restauraciones provisionales o guardas oclusales de forma rápida y precisa en la propia consulta o clínica. Esta tecnología no solo optimiza el trabajo clínico, sino que también mejora la comunicación con el paciente al facilitar la visualización de los resultados.

En el Dental Summit CoLife 2026, donde será uno de los conferenciantes, el tema de la plática del Dr. Arciniega abordará la integración de la impresión 3D en el flujo clínico diario, particularmente en rehabilitación estética y restauradora.

 

El experto presentará casos clínicos de aplicación diaria, sobre fabricación de guías quirúrgicas, guardas oclusales, restauraciones provisionales y planificación estética.

 

“La presentación se centra en cómo la tecnología digital —escaneo intraoral, diseño CAD y fabricación mediante impresión 3D— permite optimizar procesos clínicos, reducir tiempos de tratamiento y mejorar la precisión en múltiples procedimientos”, explica el experto mexicano.

“También discutiré casos clínicos donde esta tecnología se aplica en la práctica diaria, como guías quirúrgicas para implantes, guardas oclusales, restauraciones provisionales y planificación estética”, agrega.

La tecnología digital facilita tratamientos más eficientes, personalizados y predecibles para los pacientes.

 

La precisión es otro de los grandes beneficios de la odontología digital. La captura de datos tridimensionales con alta exactitud mejora la adaptación de restauraciones y dispositivos, reduciendo errores y aumentando la calidad final de los tratamientos.

Además, la digitalización permite una mayor eficiencia en los tiempos de tratamiento. Muchos procedimientos pueden realizarse en menos citas, lo que beneficia tanto al clínico como al paciente.

La inteligencia artificial comienza a desempeñar un papel relevante. Herramientas basadas en IA ayudan a analizar imágenes diagnósticas, automatizar el diseño de restauraciones y optimizar la planificación implantológica.

 

Mejorar resultados

Aunque estas tecnologías no sustituyen al profesional, sí potencian su criterio clínico, permitiendo tomar decisiones más informadas y mejorar los resultados terapéuticos.

El crecimiento de la odontología digital es especialmente notable en países como México, donde cada vez más clínicas adoptan estas tecnologías para responder a la demanda de tratamientos más estéticos y personalizados.

A pesar de los avances, el Dr. Arciniega insiste en que la clave está en la integración progresiva de estas herramientas, comenzando por aplicaciones prácticas que permitan a los profesionales adaptarse de forma gradual al flujo de trabajo de la odontología digital.

“Mi interés es compartir cómo estas herramientas pueden integrarse de manera práctica en la consulta diaria, no solo en grandes centros o laboratorios, sino también en clínicas privadas”, concluyó el Dr. Arciniega.

___________________________________________________________________________________________________________________________________

El Dental Summit CoLife 2026 se celebrará en Barranquilla, Colombia del 21 al 23 de mayo en el Centro de Convenciones Comfamiliar.

___________________________________________________________________________________________________________________________________

 

 

ARTICULOS RELACIONADOS

_______________________________________________________________________________________________________________________________

DENTAL SUMMIT COLIFE 2026 

La impresión 3D transforma la práctica odontológica

Arturo Arciniega

_______________________________________________________________________________________________________________________________

DENTAL SUMMIT COLIFE 2026 

El camino hacia la pasividad perfecta en implantología

Marinelly Mendes

_______________________________________________________________________________________________________________________________

DENTAL SUMMIT COLIFE 2026

“La odontología digital potencia nuestro criterio clínico”

Alvaro Reuter

_______________________________________________________________________________________________________________________________

DENTAL SUMMIT COLIFE 2026 

Promover la salud oral para reducir la necesidad de restauraciones

Eraldo Pesaressi

_______________________________________________________________________________________________________________________________

DENTAL SUMMIT COLIFE 2026

La odontología digital es el nuevo standard clínico

Ahmad Al-Hassiny 

_______________________________________________________________________________________________________________________________

 

 

ARTICULOS RECOMENDADOS

_______________________________________________________________________________________________________________________________

EXPODENTAL MADRID

La robótica, nueva frontera en cirugía implantológica

Javier de Pisón

VER MAS

_______________________________________________________________________________________________________________________________

EXPODENTAL MADRID

El imparable ímpetu de Expodental Madrid

Javier de Pisón 

VER MAS

_______________________________________________________________________________________________________________________________

EXPODENTAL MADRID

Factores esenciales para adquirir un escáner intraoral 

Enrique Jadad 

VER MAS

_______________________________________________________________________________________________________________________________

REPORTAJE, PARTE 1

"Todo sistema que no tenga medición no es fotogrametría"

Javier de Pisón

VER MAS

_______________________________________________________________________________________________________________________________

REHABILITACION & IMPLANTOLOGIA ORAL

Relevancia de la fotogrametría en casos All-on-X

Enrique Jadad 

VER MAS

_______________________________________________________________________________________________________________________________

REVISION

Los dientes, guardianes silenciosos de nuestra salud

D. Suárez Quintanilla

VER MAS

_______________________________________________________________________________________________________________________________

GESTION DE LA CLINICA

Cómo fijar precios en Odontología 

Juan Carlos Mejía

VER MAS

_______________________________________________________________________________________________________________________________

FORMACION - EDICION ESPECIAL

Nuevas tecnologías en las clínicas universitarias

Varios autores

VER MAS

_______________________________________________________________________________________________________________________________

CIRUGIA ORAL

Todo lo que necesita saber sobre Cirugía Piezoeléctrica

José Rosas Díaz

VER MAS

_______________________________________________________________________________________________________________________________

ESTETICA

La belleza dental a través de la historia 

Javier de Pisón

VER MAS

_______________________________________________________________________________________________________________________________

 

 

 

 

 

 

 

 

 

Temas:
To post a reply please login or register
advertisement