Search Dental Tribune

El dispositivo infalible para evitar el ronquido y la apnea de sueño

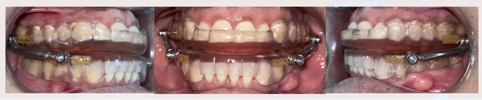
Figura 1. Paciente femenina con Apnea del Sueño referida a nuestra clínica para la fabricación de un DAM personalizado. Fotos: Salvador Romero Triana
S. Romero Triana y  JM Cortés Mejía

S. Romero Triana y JM Cortés Mejía

mar. 5 agosto 2025

guardar

El Dr. Salvador Romero Triana, autor de un capítulo del libro “Odontología en Medicina del Sueño 2”, explica en este artículo la relevancia clínica que tiene la Faringometría acústica en la valoración de las vías respiratorias para el tratamiento del ronquido y la apnea de sueño.

La Faringometría acústica, un método de medición de Áreas Seccionales Transversales y Volúmenes de la cavidad oral y faringe, basado en ondas acústicas, es una herramienta eficaz para detectar con precisión el tamaño, estructura y colapsabilidad de la vía aérea en la cavidad oral. Su utilización solo requiere de 2 a 5 minutos, es un procedimiento no invasivo en el que no hace falta preparación del paciente y permite tener de manera inmediata el resultado.

Más específicamente, la Faringometría permite medir el volumen de aire a nivel del Paladar, Úvula, Orofaringe, Epiglotis e Hipofaringe.

En apnea del sueño se utiliza para determinar la altura horizontal y vertical óptimas del Dispositivo de Avance Mandibular (DAM) para elaborar un diseño personalizado para el paciente que ofreza una predicción favorable de éxito para el tratamiento.


Caso clínico

Paciente femenina de 60 años con diagnóstico de Apnea del Sueño moderada referida de El Paso Sleep Center en Estados Unidos (Figura 1) a nuestra clínica en Ciudad Juárez, México, para la fabricación de un Dispositivo de Avance Mandibular personalizado.

En el diagnóstico dental se observan en radiografías y tomografías una excelente condición periodontal y radicular para el soporte del Dispositivo de Avance Mandibular, así como vías aéreas estrechas a nivel de la faringe (Figura 2).

 

Figura 2. La paciente presentaba buen soporte periodontal para el DAM y vías aéreas estrechas a nivel de la faringe

 

En el análisis de ATM todos los estudios muestran un funcionamiento normal en la rotación y translación del cóndilo en su Cavidad Glenoidea, siendo buena opción de tratamiento el DAM (Figura 3).

 

Figuras 4 y 5. La Faringometría muestra en la respiración colapsada del paciente un descenso considerable en el volumen.

 

En la Faringometría se puede apreciar en su respiración colapsada un descenso considerable en el volumen de 38.07 cc a 29.96 cc y en promedio de 3.17 cm2 a 2.50 cm2 (Figuras 4 y 5).

Con esos resultados se eligió un DAM pink series de la compañia Whole You con lámina bicapa (externa de acrílico rígido e interno de acrílico blando) con dos brazos tipo herbst para realizar el avance mandibular con activación inicial de 6 mm.

En cada cita del paciente se activará en promedio 1.5 mm (Figuras 6 y 7).

 

Figuras 6 y 7. El promedio del DAM se activó en 1.5 mm en cada cita del paciente.

 

La valoración de la dimensión vertical ideal y el desplazamiento horizontal para la paciente fueron de 4 mm y fueron determinadas por Faringometría y el sistema Airway Metric. Con dichas medidas se procede a escanear al paciente y al protocolo de envío a fabricación del Dispositivo de Avance Mandibular (Figura 8).

 

Figura 8. Escaneado del paciente para la fabricación del DAM.

 

La indicación es utilizarlo todas las noches, realizar higiene bucal del dispositivo y seguir algunas recomendaciones personalizadas. También le hacemos entrega del "bite tap", el cual va a usar por espacio de 1 minuto en las mañanas y se ajusta con agua caliente en la boca del paciente. (Figura 9).

Una vez terminadas las activaciones, se realizan en todos los pacientes una comparativa por medio de polisomnografía, durmiendo una noche sin el DAM y la otra con el DAM.

La paciente se observó una mejoría de 75.15% en el Indice Apnea Hipopnea (AHI), de 30.1 episodios sin el aparato a 4.9 con el dispositivo.

 

 

Conclusión

El DAM es definitivamente una excelente alternativa para los pacientes que tienen Apnea Leve (AHI de 1 a 10 eventos por hora) y Apnea Moderada (AHI de 10 a 30 eventos por hora). También es una buena opción para pacientes que NO toleran el adaptador Oronasal del Continuos Positive Air Pressure (CPAP), así como para pacientes que no se van a someter a Cirugía Ortognática.

En el capítulo Multidisciplina Odonto-Médico-Legal Actual del libro "Odontología en Medicina del Sueño 2", se puede consultar en mayor profundidad la utilización de la Faringometría y Rinometría Acústicas para valoración de vías aéreas y cómo realizar la selección del Dispositivo de Avance Mandibular más adecuado para las necesidades del paciente.

 

_______________________________________________________________________________________________________________________________

Autores

El Dr. Salvador Romero Triana ejerce en la clínica Orthosmile de Ciudad Juárez, es Ortodoncista por UACJ y miembro de la Asociación Mexicana de Ortodoncia.

El Dr. Juan Manuel Cortés Mejía, fundador de la Academia Mexicana de Medicina Dental del Sueño, es autor del libro "Odontología en Medicina del Sueño 2".

 

Nota Editorial: el Dr. Salvador Triana participará con un clase exclusiva sobre este tema para los alumnos del Diplomado Internacional de la Academia Mexicana de Medicina Dental del Sueño, institución que celebrará su Sexto Encuentro en la Ciudad de México en septiembre y ofrecerá créditos educativos de ADM (Asociación Dental Mexicana) y AMO (Asociación Mexicana de Ortodoncia).

 

ARTICULOS RECOMENDADOS

_______________________________________________________________________________________________________________________________

ODONTOLOGIA DEL SUEÑO

Cuando la Odontología va más allá de los dientes

Su enigmática sonrisa aparece y desaparece debido a cómo el ojo humano procesa las imágenes.

 

Juan Manuel Cortés Mejía

VER MAS

_______________________________________________________________________________________________________________________________

ESTETICA

Buscando la belleza en
los dientes de la Historia

Un libro investiga las intervenciones realizadas en los dientes desde los egipcios y los mayas hasta nuestros días.

Javier de Pisón

VER MAS

_______________________________________________________________________________________________________________________________

INVESTIGACION

Los inmensos beneficios en la salud general
de la Ortodoncia Médica 

Extraordinarios resultados en la sonrisa, la función y la estética facial, con procedimientos relativamente sencillos y poco invasivos.

David Suárez Quintanilla

VER MAS

_______________________________________________________________________________________________________________________________

CIRUGIA ORAL

Todo lo que necesita saber sobre Cirugía Piezoeléctrica

Serie de artículos basada en el libro de José Rosas Díaz y cols., que explica las aplicaciones clínicas de la cirugía piezoeléctrica, tecnología que permite cortar hueso sin afectar tejidos blandos adyacentes.

José Rosas Díaz

VER MAS

_______________________________________________________________________________________________________________________________

 

 

 

 

 

 

 

 

Temas:
To post a reply please login or register
advertisement