Search Dental Tribune

El tratamiento con ozono de la osteonecrosis asociada a bifosfonatos

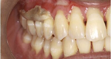
Imagen después de la retirada completa de la prótesis mixta en arcada superior de la paciente.
Vicente Ferrer

Vicente Ferrer

dom. 17 marzo 2013

guardar

La necrosis avascular u osteonecrosis es una enfermedad provocada por la pérdida temporal o permanente de la entrada de sangre en los huesos. Sin sangre, el tejido óseo muere y causa que el hueso colapse. Esta enfermedad también se conoce como osteonecrosis, necrosis aséptica, o necrótico por isquemia1.

Existen muchas causas que provocan necrosis avascular, tales como el alcoholismo2, uso excesivo de esteroides3, síndrome de descompresión4,5, compresión vascular6, hipertensión, vasculitis, trombosis, daño por radiación, anemia falciforme7 o la Enfermedad de Gaucher8. En algunos casos es idiopático9, y el reumatismo artrítico y el lupus son también causas comunes.

Si bien esta patología no solía verse en nuestra profesión, de un tiempo a esta parte se ha convertido en protagonista de las complicaciones de nuestra práctica diaria, al comprobarse el exponencial incremento de casos de osteonecrosis asociadas con el uso de bifosfonatos.

Los bifosfonatos son fármacos se utilizan para la prevención y tratamiento de enfermedades con reabsorción ósea, como la osteoporosis y el cáncer con metástasis ósea, sea éste con o sin hipercalcemia, asociadas con cáncer de mama y de próstata. También se prescriben en la enfermedad de Paget y en otros trastornos que provocan fragilidad ósea; de hecho, son el tratamiento de elección en estos casos debido a su gran alta eficacia.

Más allá de la complicación en sí, el dilema reside en que no existe un protocolo concreto en la prevención o el tratamiento. Parece claro que retirar los bifosfonatos durante unos meses, cuando se trata de fármacos orales, es fundamental. La cobertura antibiótica pre y post- tratamiento, una perfecta higiene bucal y el uso de colutorios como la clorhexidina son la piedra angular de la prevención de esta patología10,11. Pero a pesar de limitar el número de factores causales, estas precauciones no eliminan los riesgos y una vez aparecidas las complicaciones el número de variantes en cuanto a forma, extensión o tejidos que afecta nos impide tratar todos los casos del mismo modo.

Los tratamientos más instaurados se basan en el uso combinado de antibióticos y cirugía resectiva del tejido óseo dañado12. Desde hace unos años se han empezado a buscar otras vías menos agresivas y más eficaces. La terapia hiperbárica13,14 parece ser uno de los caminos, aunque la infraestructura necesaria limita su disponibilidad. Algunos autores han visto en el uso del láser otra vía de ataque15,16, mientras que otros han empezado a utilizar el ozono17,18,19,20, principalmente a través de aceites ozonizados21.

El ozono es un gas muy inestable, difícil de manipular y conservar; de hecho, es conveniente que se emplee justo después de su generación. Sus efectos a nivel médico son conocidos: aumenta la oxigenación sanguínea, tiene acción bactericida, fungicida y virucida, disminuye la agregación plaquetaria, tiene actividad antiálgica y antiinflamatoria y también es un estimulante del sistema retículo-endotelial.

De un tiempo a esta parte, en odontoestomatología se viene usando ozono con muy buenos resultados en endodoncia, periodoncia, cirugía e incluso en odontología conservadora. El ozono generado mediante descargas eléctricas de aplicación inmediata y localizada está bien documentado, pero no se ha descrito hasta la fecha el uso de los dispositivos generadores de ozono para el tratamiento de la osteonecrosis. Conociendo las capacidades médicas de este gas, nos propusimos tratar un caso clínico de esta patología.

Caso clínico
Acude a nuestra consulta una mujer de 57 años, tratada anteriormente mediante prótesis mixta en arcada superior, pero que tras 10 años empieza a presentar problemas, por lo que se decide como primera opción su retirada completa. (Fig.1).

La historia clínica limita su tratamiento: fumadora, operada de cáncer de mama, emocionalmente comprometida por problemas familiares y en tratamiento con bifosfonatos orales desde hace 8 años.

Se le explica a la paciente todas las posibles complicaciones que pueden surgir por la extracción de la piezas residuales, pero su convicción es inalterable, quiere proseguir con el tratamiento y solicita una prótesis fija completa superior implantosoportada.

Se insta a la paciente a que acuda a su oncólogo para tratar de que retire la administración de bifosfonatos durante por lo menos 6 meses, a lo cual accede, y también a que deje de fumar, que también acepta.

Pasado este tiempo, se procede a las exodoncias de las 6 piezas restantes y a la colocación de 6 implantes inmediatos. Se premedica a la paciente con amoxicilina-clavulánico 500/125 durante los 3 días previos y se le insta a que empiece con el uso de colutorio de clorhexidina. Esta pauta es la que la paciente seguirá durante los 10 días posteriores a la cirugía, a pesar de las complicaciones que surgieron.

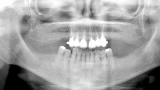
Algunas de la piezas presentan signos de anquilosis, por lo que se hace uso de ultrasonidos para facilitar las exodoncias (Figs. 2, 3). Se procede a la colocación de 6 implantes Frontier (GMI, IlerImplant, España) en las posiciones 16, 14, 12, 22, 24,y 26 (Figs. 4, 5).

El post-operatorio inmediato cursa de modo normal, pero a las 72 horas se empieza a observar una lesión a nivel de las piezas 12-13 (Fig. 6) con leve dolor a la palpación, así como exposición ósea. Al cabo de una semana se procede a la retirada de suturas, se observa que la lesión ha aumentado de tamaño (Fig. 7) y es entonces cuando se empieza con la terapia basada en ozono. Tomamos las copas de silicona de mayor diámetro para poder abarcar una mayor superficie de tratamiento y realizamos aplicaciones (Fig. 8) cada 48 horas de 3 ó 4 minutos de duración cada sesión.

Los resultados no se hacen esperar: la sintomatología desaparece tras la primera sesión, y ya en la tercera se ve claramente que la proliferación capilar cambia el color de la lesión (Fig. 9). Seguimos eliminando las pequeñas exposiciones óseas existentes con pieza de mano.

En la quinta sesión, la involución del cuadro es casi completa y la remisión de la sintomatología completa (Fig. 10), por lo que las sesiones de ozonoterapia se limitan a una por semana durante tres semanas más (Fig. 11).

El caso sigue su curso en la más completa normalidad (Fig. 12) y se colocan los pilares de cicatrización dos meses después después de la implantación, no habiendo ningún fracaso, ni siquiera en la zona afectada (Fig. 13).

Figura 1   Figura 2   Figura 3
Figura 1   Figura 2   Figura 3
         
Figura 4   Figura 5   Figura 6
Figura 4   Figura 5   Figura 6
         
Figura 7   Figura 8   Figura 9
Figura 7   Figura 8   Figura 9
         
Figura 10   Figura 11   Figura 12
Figura 10   Figura 11   Figura 12
         
    Figura 13    
    Figura 13    

Discusión
La ozonoterapia no es nueva, ni siquiera en el campo de la cirugía bucal. Los efectos terapeúticos del ozono descritos en otras especialidades médicas son extrapolables a nuestra profesión y a la mayoría de especialidades odontológicas.

Primero que nada hay que destacar su capacidad antimicrobiana, mejoría de la oxigenación de los tejidos debido a la acción del ozono sobre la hemoglobina y los erirocitos, su acción trófica regeneradora de tejidos, en particular muy activa sobre las paredes capilares destruidas, disminución de la agregación plaquetaria, estimulación del sistema retículo-endotelial o su capacidad antiálgica y antiinflamatoria. Todas estas cualidades fomentan la reparación de las lesiones que provoca una osteonecrosis, a sabiendas que los posibles efectos secundarios de la ozonoterapia son mínimos.

No podemos especficar el mecanismo de acción del ozono que es responsable de la reversión del cuadro, quizás porque el proceso sea multifactorial. Ahora bien, clínicamente podemos certificar la completa curación de la lesión. Quizás otros estudios posteriores puedan dilucidar el mecanismo de acción de este gas para reparar daños, tanto en tejidos duros como en blandos, provocados por osteonecrosis.

El protocolo empleado fue un tanto aleatorio y sujeto a la propia evolución del cuadro, por lo que las dosis de exposición y el tiempo transcurrido entre sesiones se puede adaptar con el fin de obtener mejores resultados.

EL tratamiento más razonable es hacer un seguimiento exhaustivo de la patología para evitar su propagación. Es evidente que cualquier pequeña lesión será mucho más fácil de tratar que otra que se haya extendido. Esta pauta es fundamental en el caso de la osteonecrosis.

Conclusión
La aplicación ambulatoria de ozono es una alternativa de fácil aplicación, bajo costo, muy poco agresiva y altamente efectiva para el tratamiento de la osteonecrosis.

NOTA: El Dr. Ferrer es Profesor asociado del Departamento de Odontología Integrada del Adulto en la Facultad de Odontología de la Universidad de Murcia (España) y conferencista a nivel internacional. Contacto: vicentefp@gmail.com 

Referencias
1. DiGiovanni CW, Patel A, Calfee R, Nickisch F. Osteonecrosis in the Foot. J Am Acad Orthop Surg 2007;15: 208–227.
2. YC Chao, et al. Investigation of alcohol metabolizing enzyme genes in Chinese alcoholics with avascular necrosis of hip joint, pancreatitis and cirrhosis of the liver. Alcohol Alcohol 2003:431-436.
3. Juery P. Avascular necrosis after a steroid injection. CMAJ 2007; 176(6): 814.
4. Zhang L. D.; (1990). «Distribution of lesions in the head and neck of the humerus and the femur in dysbaric osteonecrosis» (en inglés). ISSN 0093-5387.
5. Lafforgue, P., (2007). Pathophysiology and natural history of avascular necrosis of bone. Joint Bone Spine, pp. 500-5007. ISSN 1297-319X.
6. Laroche, M., (2002). Intraosseous circulation from physiology to disease. Joint Bone Spine, pp. 262-269. ISSN 1297-319X.
7. Marti-Carvajal, A.; R. Dunlop, and L. Agreda-Perez, (2004). Treatment for avascular necrosis of bone in people with sickle cell disease. «38». The Merck Manual (18° edición). pp. 311. «9»
8. Day S, O.R; Chao E, Rubin C, Aro H, Einhorn T, (200). Bone injury, regeneration, and repair, in Orthopaedic Basic Science, pp. 372-399. ISBN 0-89203-177-8. OCLC 42969533
9. Hoefert S, Eufinger H. Relevance of a prolonged preoperative antibiotic regime in the treatment of bisphosphonate-related osteonecrosis of the jaw. J Oral Maxillofac Surg. 2011 Feb;69(2):362-80.
10. Rogers SN, Hung J, Barber AJ, Lowe D. Br A survey of consultant members of the British Association of Oral and Maxillofacial Surgeons regarding bisphosphonate-induced osteonecrosis of the jaws. J Oral Maxillofac Surg. 2009 Dec;47(8):598-601. .
11. Surgical management of bisphosphonate induced osteonecrosis of the jaws. Williamson RA. Int J Oral Maxillofac Surg. 2010 Mar;39(3):251-5. Epub 2009 Dec 16.
12. Management of osteonecrosis of the jaws in patients with history of bisphosphonates therapy. Antonini F, Pereira CC, Parente EV, Azambuja FG. J Craniofac Surg. 2010 Nov;21(6):1962-6.
13. Use of FDG PET to evaluate hyperbaric oxygen therapy for bisphosphonate-related osteonecrosis of the jaw. Yamazaki Y, Kitagawa Y, Hata H, Abe T, Murai C, Shiga T, Tamaki N. Clin Nucl Med. 2010 Aug;35(8):590-1. No abstract available.
14. Treatment of bisphosphonate-induced osteonecrosis of the jaws with Nd:YAG laser biostimulation. Luomanen M, Alaluusua S. Lasers Med Sci. 2011 May 20.
15. Observation of pain control in patients with bisphosphonate-induced osteonecrosis using low level laser therapy: preliminary results. Romeo U, Galanakis A, Marias C, Vecchio AD, Tenore G, Palaia G, Vescovi P, Polimeni A. Photomed Laser Surg. 2011 Jul;29(7):447-52. Epub 2011 Jan 16.
16. Ozone therapy in extractive surgery on patients treated with bisphosphonates. Agrillo A, Sassano P, Rinna C, Priore P, Iannetti G.J Craniofac Surg. 2007 Sep;18(5):1068-70.
17. Role of ozone therapy in the treatment of osteonecrosis of the jaws in multiple myeloma patients. Petrucci MT, Gallucci C, Agrillo A, Mustazza MC, Foà R. Haematologica. 2007 Sep;92(9):1289-90.
18. New therapeutic protocol in the treatment of avascular necrosis of the jaws. Agrillo A, Petrucci MT, Tedaldi M, Mustazza MC, Marino SM, Gallucci C, Iannetti G. J Craniofac Surg. 2006 Nov;17(6):1080-3.
19. Ozone therapy in the treatment of avascular bisphosphonate-related jaw osteonecrosis. Agrillo A, Ungari C, Filiaci F, Priore P, Iannetti G. J Craniofac Surg. 2007 Sep;18(5):1071-5.
20. Efficacy and safety of medical ozone (O(3)) delivered in oil suspension applications for the treatment of osteonecrosis of the jaw in patients with bone metastases treated with bisphosphonates: Preliminary results of a phase I-II study. Ripamonti CI, Cislaghi E, Mariani L, Maniezzo M. Oral Oncol. 2011 Mar;47(3):185-90.

To post a reply please login or register
advertisement
advertisement