Desde hace algunos años se han reportado casos de Osteonecrosis Maxilar (OM) por bifosfonatos (medicamentos utilizados para tratar patologías como osteoporosis, hipercalcemia maligna, enfermedad de Paget, mieloma múltiple, metástasis ósea)1. Pero actualmente se ha reportado también aparición de OM por medicamentos que no son bifosfonatos.
Los bifosfonatos se clasifican en dos grandes grupos: bifosfonatos orales (alendronato, risedronato, ibandronato) e intravenosos (ácido zolendrónico y pamidronato de sodio).
Son varios los mecanismos propuestos de su etiología: los osteoclastos interfieren en su activación y diferenciación, dificultan su adherencia al hueso e inducen apoptosis, la interrupción de este ciclo homeostático por la interrupción de la reabsorción ósea resulta en la acumulación de osteocitos no vitales y en microfracturas de la matriz ósea mineralizada; sobre los queratinocitos y fibroblastos gingivales presentan efecto inhibitorio produciéndose alteraciones en la mucosa oral2 ; adicionalmente, los BP intravenosos presentan inhibición del factor de crecimiento endotelial vascular.
La aparición de osteonecrosis maxilar por medicamentos que no son bifosfonatos ha sido atribuida a agentes como los anticuerpos mononucleares Denosumab, Bevacizumab, los antineoplásicos inhibidores de la multikinasa Sunitinib, Sorafenib3, y la doxorubicina.
Las manifestaciones clínicas del Denosumab son similares a las reportadas con ácido zolendrónico4. La quimiotaxis de los macrófagos y la diferenciación osteoclástica se ven disminuidas en el tratamiento con este medicamento5.
Las agencias reguladoras de fármacos británica y francesa reportan 55 casos de OM asociados con el uso de Bevacizumab en aproximadamente 800.000 pacientes que han recibido tratamiento con este medicamento6. Del Sunitinib se han reportado 27 casos en aproximadamente 100.000 pacientes. Estos dos medicamentos tienen efectos antiangiogénicos; en los casos estudiados se encuentra colonización bacteriana de Actinomyces, pudiendo esto ser un factor etiológico en el desarrollo de esta patología7.
Otro medicamento antineoplasico es el Sorafenib, indicado para el carcinoma avanzado de células renales y el carcinoma hepatocelular avanzado. La FDA realizó un informe en 2013 de OM como reacción adversa a esta molécula8. Medsfacts reporta 13 casos de esta entidad9.
Otro medicamento del que existen reportes de OM es la doxorubicina (antibiótico antraciclino que ejerce sus efectos sobre las células cancerosas bloqueando la sintesis de AND). Entre octubre de 2012 y enero de 2004, 179 personas que tomaron este medicamento presentaron esta complicación10.
El tratamiento de la osteonecrosis maxilar asociado a bifosfonatos o a otros medicamentos radica en el uso de clorhexidina, antibioticoterapia con amoxicilina más metronidazol, amoxicilina/clavulanato de K, y clindamicina hasta por 14 días. Existen reportes de que el uso de pentoxifilina y tocoferol adicionada a la terapia antimicrobiana disminuye los síntomas en el área del hueso necrótico expuesto11.
Otros tratamientos alternativos son la terapia con oxigeno hiperbárico y ozono, los cuales pueden estimular la proliferación celular, la cicatrización del tejido blando y la disminución del dolor12. Varios informes indican que la aplicación del láser de baja intensidad tiene un efecto bioestimulante en el proceso reparativo, incrementando la matriz inorgánica de hueso y la actividad mitótica de los osteoblastos13.
Caso clínico
Paciente femenina de 14 años de edad es remitido por periodoncia por presentar zona ósea necrótica por vestibular a nivel de premolares superiores derecho e izquierdo; la madre refiere antecedentes de osteosarcoma en tibia derecha diagnosticado hace 18 meses aproximadamente.
Recibió quimioterapia durante un año con doxorubicina, ifosfamida, y posteriormente cisplastino y etoposido.
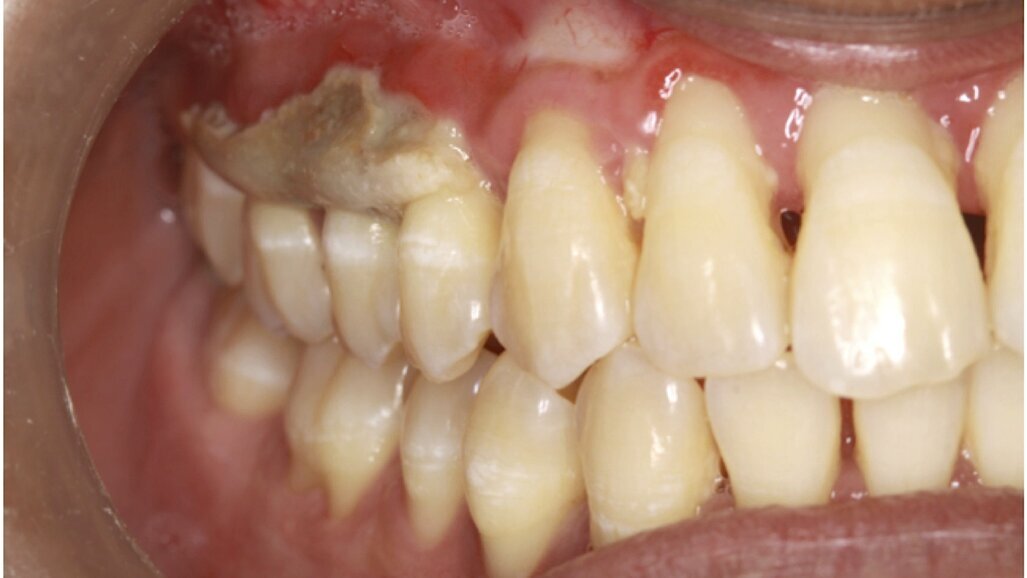
Al examen clínico intraoral se observa por vestibular tejido óseo expuesto a nivel de premolares y molares superiores derecho (Figura 1). Del lado izquierdo, entre primer premolar a segundo premolar se observa hueso vestibula,r conservándose las papilas, y el tejido blando circundante al hueso expuesto se observa inflamado y presenta sangrado espontaneo (Figura 2).
Se realizó anestesia troncular e infiltrativa con odontocaína al 3% (New Stetic, Colombia), se retiraron los fragmentos de tejido necrótico y enviados a patología para biopsia. La paciente fue manejada con Amoxtrix 500 mg (Laboratorio Farpag, Colombia), cada 8 horas por 7 días, k-trix (Laboratorio Farpag) lavado 2 veces al día, k-cit (Laboratorio Farpag) aplicado en la herida 3 veces al día.
A los 12 días se realizó un control, observándose mejoría y recuperación del tejido blando por vestibular (figuras 3 y 4).
El diagnóstico emitido en la biopsia fue osteonecrosis maxilar superior derecho e izquierdo.
embedImagecenter("Imagecenter_1_1690",1690, "large");
Conclusión
La osteonecrosis maxilar no es un efecto colateral exclusivo y relacionado solamente con los bifosfonatos, también está asociado con otros medicamentos como los anticuerpos monoclonales y los antiangiogénicos.
Referencias
1 Hillner BE, Ingle JN, Berenson JR, Janjan NA, Albain KS, Lipton A, et al. American Society of Clinical Oncology Guideline on the role of bisphosphonates in breast cancer. J Clin Oncol 2000;18:1378-91.
2 Hellstein JW, Kalmar JR. Systematic review :bisphosphonates and osteonecrosis
of the jaws. Ann Intern Med 2006;144(10):753–61 .
3 Stopeck AT, Lipton A, Body JJ, Steger GG, Tonkin K, de Boer RH, et al. Denosumab compared with zoledronic acid for the treatment of bone metastases in patients with advanced breast cancer: a randomized, double-blind study. J Clin Oncol. 2010;28(35):5132-9.
4 Stopeck AT, Lipton A, Body JJ, Steger GG, Tonkin K, de Boer RH, et al. Denosumab compared with zoledronic acid for the treatment of bone metastases in patients with advanced breast cancer: a randomized, double-blind study. J Clin Oncol. 2010;28(35):5132-9. Epub 2010 Nov 8.
5 Ayllon j, Launay-Vacher V, Medioni J, Cros C, Spano JP, Oudar S. Osteonecrosis of the jaw under bisphosfonate and antiangiogenic therapies : cumulative toxicity profile ¿ Ann Oncol 2009; 20 (3) :600-1
6 Bevacizumab, sunitinib: osteonecrosis of the jaw. Prescrire Int. 2011;20(117):155.
7 Estilo CL, Fornier M, Farooki A, Carlson D, Bohle G, 3rd, Huryn JM. Osteonecrosis of the jaw related to bevacizumab. J Clin Oncol. 2008;26(24):4037-8.
8 http://www.fda.gov/Safety/MedWatch/SafetyInformation/ucm280363.htm
9 http://medsfacts.com/study-SORAFENIB-causing- OSTEONECROSIS % 200F%20JAW.
10 http://medsfacts.com/study-DOXIL-causingOSTEONECROSIS%20OF%20JAW.php
11 Epstein MS, Wicknick FW, Epstein JB, Berenson JR, Gorskyy M. Management of bisphosphonate-associated osteonecrosis pentoxifylli- ne and tocpherol in addition in antimicrobial therapy. An initial case series. Oral Surg Oral Med Oral Pathol Oral Radiol Endod 2010;110:593-96.
12 Ripamonti CI, Cislaghi E, Mariani L, Maniezzo M. Efficacy and safety of medical ozone (O3) delivered in oil suspension applications for the treatment of osteonecrosis of the jaw in patients with bone metastases treated with bisphosphonates: preliminary results of a phase I-II study. Oral Oncology 2011;47:185-90.
20.
13 Vescovi P, Merigo E, Manfredi M, Meleti M, Fornaini C, Bonanini M, Rocca JP, Nammour S. Nd:YAG laser biostimulation in the treatment Bisphosphonate-associated ostenecrosis of the jaws (BON): experience in 26 cases. Photomed Laser Surg 2008 Feb;26(1):37-46.
____________________________________________________________________________
* El Dr. Herrera es periodoncista en la Universidad Metropolitana y especialista en Farmacia Clínica en la Universidad del Atlántico, ambas en Barranquilla (Colombia). Contacto: Iherrerau64@gmail.com..
____________________________________________________________________________
Consulte este y otros artículos clínicos en la edición digital
El número de casos de osteonecrosis inducida por medicamentos aumenta constantemente. Por ello, es indispensable conocer todos los fármacos implicados, ...
La necrosis avascular u osteonecrosis es una enfermedad provocada por la pérdida temporal o permanente de la entrada de sangre en los huesos. Sin ...
El autor explica en este artículo que el rol del odontólogo cobra especial relevancia en la detección y prevención de los graves efectos adversos ...
La xerostomía es la sensación de sequedad bucal que se produce cuando las glándulas salivales no producen suficiente saliva[1] para mantener la boca ...
Segundo de una serie de seis artículos. Este artículo es un resumen del capítulo sobre “Patologías del seno maxilar” del libro “Elevación ...
El presente trabajo describe la efectividad de un tratamiento ortopédico realizado en una niña de 3 años de edad con dentición ...
Este artículo explica las diferentes técnicas quirúrgicas a utilizar en presencia de maxilares atróficos, que imposibilitan o ...
El escáner de alto rendimiento Ceramill Map 600 hace que el escaneado analógico del paciente sea tan sencillo y preciso como nunca antes.
Los autores proponen una nueva técnica que utiliza injerto homogéneo particulado para corregir defectos óseos y permitir la ...
Los autores proponen una nueva técnica que utiliza injerto homogéneo particulado para corregir defectos óseos y permitir la ...
Webinars en vivo
mié. 29 de abril 2026
17:00 CST (Mexico City)
Dr. Renato Leonardo D.M.D.
Webinars en vivo
jue. 30 de abril 2026
11:00 CST (Mexico City)
Webinars en vivo
dom. 3 de mayo 2026
10:00 CST (Mexico City)
Dr. Rickard Brånemark MSc, MD, PhD, Dr. Robert Gottlander DDS
Webinars en vivo
dom. 3 de mayo 2026
18:00 CST (Mexico City)
Webinars en vivo
mar. 5 de mayo 2026
8:00 CST (Mexico City)
Webinars en vivo
mar. 5 de mayo 2026
10:00 CST (Mexico City)
Webinars en vivo
mar. 5 de mayo 2026
11:00 CST (Mexico City)
Dr. Maximilian Dobbertin M.Sc
La osteonecrosis por bisfosfonatos es más renuente , progresiva y difícil de tratar o llegar a una resolución, que la provocada por otros medicamentos .