Search Dental Tribune

Estética y blanqueamiento dental en la era digital (Capítulo 10)

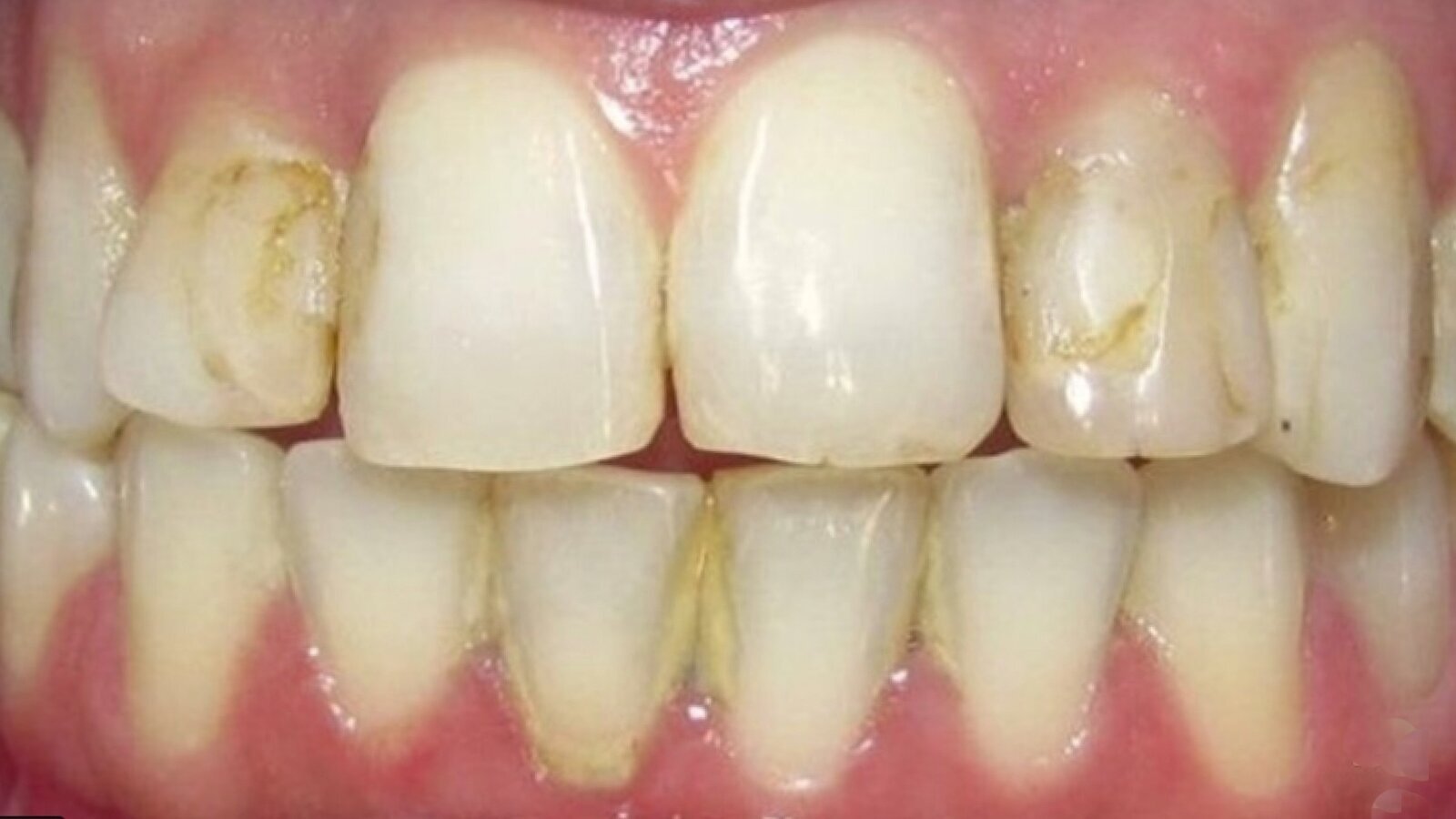
Obturaciones estéticas deficientes que deben ser removidas y cambiadas antes del blanqueamiento.
Andrea Kaplan, Julio Chávez Lozada

Andrea Kaplan, Julio Chávez Lozada

lun. 7 octubre 2024

guardar

Los autores del libro “Estética y blanqueamiento dental en la era digital”, abordan en esta ocasión un tema crucial, como son los efectos que producen los peróxidos sobre los tejidos dentarios y biomateriales. De hecho, el éxito de los resultados del aclaramiento depende de la eficacia de los materiales que se utilicen, lo cual está directamente relacionado con el menor impacto de los mismos en los tejidos dentarios, en los tejidos blandos y en los materiales restauradores del paciente.

Capítulo 10. Efectos de los peróxidos sobre los tejidos dentarios y biomateriales

Cuando el profesional se enfrenta a la necesidad de realizar un tratamiento blanqueador, uno de los aspectos más importantes que debe definir es la correcta selección de productos aclaradores que generen resultados adecuados con el menor impacto posible en los tejidos dentarios, en los tejidos blandos y por supuesto en los materiales restauradores que pueda presentar el paciente.

Figura 1. A: Falla adhesiva y cohesiva de una restauración deficiente a nivel de una pared axial en un elemento dentario restaurado con composite, situación muy desfavorable para el aclaramiento. B: Corte longitudinal de un espécimen donde puede verse que la restauración oclusal cerámica (inlay) presenta una importante filtración marginal y nanopercolación.

De la misma manera, es crucial respetar los protocolos establecidos para las diferentes aplicaciones de estos agentes. Según se ha descrito a lo largo de este libro, los productos empleados para aclaramientos se basan en la aplicación de diferentes compuestos (peróxido de hidrógeno o peróxido de carbamida y, en menor medida, perborato de sodio) que al entrar en contacto con agua (proveniente en algunos casos, del medio bucal), producen la liberación de oxígeno naciente como elemento esencial en el proceso de aclaramiento del color dentario.

Portada del libro "Estética y blanqueamiento dental en la era digital", que ofrece respuestas clínicas basadas en años de investigación.
Toque en la imagen para adquirir el libro.

Este componente activo ingresa en el interior de la estructura dentaria, inicialmente hasta el límite amelo-dentinario y luego a través de la dentina, donde oxida los pigmentos hacia un color más claro. Si además se tiene en cuenta que el oxígeno es un elemento de gran actividad, es posible esperar alteraciones de los tejidos dentarios, tanto en su microdureza como en su micromorfología, y de los materiales restauradores como consecuencia de su aplicación.

Por otro lado, la contundencia de los resultados obtenidos con los diferentes materiales existentes en base a su componente activo o su concentración puede llevar a inferir una diferente interacción con el esmalte, dentina y/o cemento.

Si se tiene en cuenta que para que se produzca el desdoblamiento y fraccionamiento de las cadenas moleculares complejas que forman los pigmentos es necesaria la penetración del oxígeno en el interior de la estructura adamantina, es esperable un aumento de la permeabilidad de este tejido que debería ser proporcional a la actividad y concentración de oxígeno activo.

En este capítulo se analizan los efectos de los materiales blanqueadores sobre el esmalte y la dentina, sobre la pulpa y sobre distintos tipos de material restaurador, que van de composites, ionómeros vítreos, porcelanas a la amalgama.

Se ha descrito también el efecto sensibilizante que produce en caso de exposición del cemento radicular, más específicamente en caso de retracciones gingivales, con lo cual, debe considerarse su efecto sobre este tejido dentario.

Figura 2. Forma de difusión del peróxido desde la superficie adamantina hasta la dentina.

Si se analiza el posible efecto de estos productos sobre los materiales restauradores, sin dejar a un lado las restauraciones, es importante no sólo referirse a la posibilidad de ataque al material, sino a la probable difusión del oxígeno a través de la interfase estructura dentaria-restauración. Esta es una situación de riesgo ya que aumentaría la permeabilidad y los peróxidos llegarían con mayor facilidad a la cámara pulpar.

En este capítulo del libro se analizan en profundidad los efectos que tienen de los materiales blanqueadores sobre el esmalte y la dentina, sobre la pulpa y sobre los distintos tipos de material restaurador (composites, ionómeros vítreos, porcelanas y amalgama). De la misma manera, se abordan también los efectos citotóxicos que producen sobre los tejidos blandos, y las causas y consecuencias de la reabsorción cervical externa.

Conclusión

Los agentes blanqueadores afectan en forma adversa las fuerzas de unión entre composite y tejido dentario por la presencia de oxígeno residual. La concentración de calcio y fósforo estaría significativamente disminuida y la parte más superficial de los cristales adamantinos estaría morfológicamente alterada. Estas situaciones parecen normalizarse en una semana por el efecto remineralizador del fluoruro y la saliva.

El peróxido de hidrógeno al 35% produce cambios celulares en la pulpa según puede constatarse por estudios in vitro, pero debe tenerse en cuenta que in vivo existen mecanismos de defensa que convierten el oxígeno reactivo en oxígeno molecular.

El peróxido de carbamida al 10% es el método más seguro para blanqueamiento externo, ya que no produce cambios en la microdureza de la superficie del esmalte. Otros compuestos, en otras concentraciones, producen cambios muy leves en dicha superficie. Partiendo de un correcto diagnóstico de la patología que produjo la alteración de color, cualquiera de las técnicas descriptas en esta obra, utilizando productos de marcas reconocidas, y que posean un aval científico importante, pueden ser empleadas con total tranquilidad por el profesional.

NOTA: Ver el próximo lunes el Capítulo 11: Blanqueamiento e hipersensibilidad dentinaria.

Autores

Andrea Kaplan, Profesora Titular, Cátedra Materiales Dentales, Facultad de Odontología, Universidad de Buenos Aires.

Julio Chávez Lozada, Doctor en Odontología (PhD). Docente de la Facultad de Odontología de la Universidad Nacional de Córdoba, Argentina. Ex presidente de la Sociedad de Operatoria Dental y Materiales Dentales de Córdoba, Argentina.

_____________________________________________________________________________

Para adquirir el libro en Latinoamérica hacer clic aquí. 

_____________________________________________________________________________

 

Serie de artículos del libro "Estética y blanqueamiento dental en la era digital"

Dental Tribune ofrece en abierto con acceso libre los primeros seis artículos de este libro. Para ver los demás artículos, por favor inscríbase para recibir nuestra Newsletter, un servicio que le ofrecemos de forma gratuita.

 

Capítulo 1. La estética del color dentario

Descripción de los distintos métodos para evaluar el color de los dientes, de gran importancia para realizar restauraciones imperceptibles ...  Ver más

 

Capítulo 2. Las alteraciones de color dental

Un correcto diagnóstico etiológico de cada paciente es fundamental para el éxito del tratamiento blanqueador ...  Ver más

 

Capítulo 3. Agentes blanqueadores y mecanismos de acción

Cada agente blanqueador es descrito en detalle, así como sus características diferenciales y sus distintas formas de comercialización ...  Ver más

 

Capítulo 4. El blanqueamiento externo

Pasos clínicos de cada técnica, precauciones y pronóstico de cada una y los distintos productos ...  Ver más

 

Capítulo 5. Blanqueamiento externo profesional

Una correcta técnica de blanqueamiento profesional incluye fotografías previas y registro del color inicial, higiene de ... Ver más

 

Capítulo 6. La técnica de la microabrasión

Se describen la técnica operatoria correcta de la microabrasión y las recomendaciones clínicas para un procedimiento más ...  Ver más

 

Suscríbase gratis haciendo clic aquí para ver los demás capítulos del libro

 

Capítulo 7. Blanqueamiento interno de dientes no vitales

La probabilidad de que este tratamiento produzca reabsorción radicular externa es cada vez más lejana si se ... Suscríbase gratis

Capítulo 8. Blanqueamiento de dientes calcificados

Las alternativas son el blanqueamiento externo en piezas vitales y no vitales, y/o el blanqueamiento interno de ... Suscríbase gratis

Capítulo 9. Aclaramiento y mantenimiento

Los resultados del blanqueamiento dental pueden cambiar a través del tiempo, por lo que es importante incluir un ... Suscríbase gratis

Capítulo 10. Efectos de los peróxidos sobre los tejidos dentarios y biomateriales

Se analizan los efectos de los materiales blanqueadores sobre el esmalte y la dentina, sobre la pulpa y sobre distintos ... Suscríbase gratis

Capítulo 11. La hipersensibilidad dentinaria

El tratamiento requiere identificar los signos, descartar otras causas, educar sobre las técnicas correctas de cuidado oral y ... Suscríbase gratis

Capítulo 12. Diseño Digital de la Sonrisa

El DSD combina la tecnología digital con los principios estéticos y funcionales de la odontología para crear un diseño personalizado de ... Suscríbase gratis

Capítulo 13. La Odontología Digital

El flujo de trabajo digital se utiliza para el diagnóstico, la planificación, y el tratamiento involucra estos tres procesos ... Suscríbase gratis

Capítulo 14. Carillas estéticas de cerámica

Las carillas son alternativas de trabajo viables, que nos conducen hacia la “armonía estética”, pero que ... Suscríbase gratis

Capítulo 15. Aclaramiento dental durante la ortodoncia

En este tratamiento se deben utilizar agentes aclaradores con bajas concentraciones, que minimizan el riesgo de ... Suscríbase gratis

Capítulo 16. Ortodoncia con alineadores

Es aconsejable no realizar el blanqueamiento en los inicios de la ortodoncia, ya que el movimiento dentario muchas veces ... Suscríbase gratis

Capítulo 17. Blanqueamiento y rehabilitación integral

Para obtener los mejores resultados estéticos, la oportunidad de realizar una rehabilitación prostética debe ser ... Suscríbase gratis

Capítulo 18. Comunicación y marketing

Este capítulo ofrece consejos para promocionar la clínica dental y explica el futuro de ... Suscríbase gratis

Capítulo 20. Consideraciones legales

Antes de comenzar un tratamiento estético, todos los procedimientos clínicos deben estar totalmente claros para el paciente ... Suscríbase gratis

Capítulo 21. Inteligencia Artificial y su aplicación odontología estética

Los escáneres faciales permiten crear modelos digitales precisos de la cara del paciente y su dentadura que se utilizan para ... Suscríbase gratis

Suscríbase gratis haciendo clic aquí para ver todos los capítulos del libro

 

 

Nota editorial:

Este resumen de “Estética y blanqueamiento dental en la era digital” se publica con la autorización de la editorial del libro.

 

MAS SERIES DE ARTICULOS

 

• Edición Especial sobre Odontogeriatría
• Edición Especial sobre Láser en Odontología
• Edición Especial sobre Cirugía Piezoeléctrica
To post a reply please login or register
advertisement
advertisement